Sklkov semin Tel 2012 Ppad 6 MUDr Marta






























- Slides: 30
Sklíčkový seminář Telč 2012 Případ č. 6 MUDr. Marta Ježová, ÚPA FN Brno
Klinické údaje • • • 28 -letá žena 1/2010 Missed abort in grav. hebd. 11/10 Původní závěr: rezidua post abortum • Diagnosa z revize archivního materiálu ? 10/2011 Abortus inductus Mors fetus intrauterina in grav. hebd. 30 Hypotrophia fetus gravis 30/24 (570 g/28 cm) VVV fetus multipl. susp. Infertilitas Trombophilia matris
Histologický nález 1/2010
CK 7
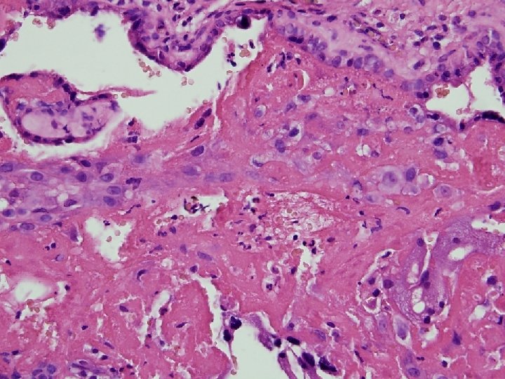
PAS
Modrý trichrom
Weigert (fibrin)
Jaká je Vaše diagnóza ?
MFD (Gitterinfarkt) • 1967 Benirschke, Driscoll • Názvosloví: – – – MFI = Maternal floor infarction (USA) MFD = Massive perivillous fibrin deposition (VB) Massive perivillous fibrinoid Gitterinfarkt (Něměcko) Mřížovitý/síťový infarkt (Jurkovič) • Nadměrné ukládání fibrinoidu v placentě – MFI: v bazální/mateřské ploténce – MFD: depozita v intervilosním prostoru celé výšky placenty transmurální • Některými autory pokládány za zvláštní, i když příbuzné, patologické jednotky – Nejedná se o ischemickou koagulační nekrózu, infarktu placenty se podobá jen ztuhnutím postižené tkáně.
MFD (Gitterinfarkt) - dg. kritéria • Katzman, Genest 2002 – MFI: rozšíření celé bazální ploténky ukládáním fibrinoidu, alespoň na jednom skle ≥ 3 mm – MFD: ukládání fibrinoidu v celé výšce placenty, alespoň na jednom skle zavzato ≥ 50% chor. klků – hraniční (borderline) MFD – 25 -50% chor. klků alespoň na jednom skle • Redline – Klinicko-patologická korelace (gyn. anamnéza: předčasný porod, těžká IUGR a/nebo hypoxie plodu a/nebo potvrzení recidivy – revize archivního materiálu!) – Žádná kvantitativní kritéria
MFD (Gitterinfarkt) - incidence • • 0, 5% placent (Naeye 1985) 0, 09 % (Anders 1990) 0, 028 % (Bane 2003) 0, 005 % Katzman, Genest (2002) – TISKOVÁ CHYBA, uvádějí 0, 5% • I. -III. trimestr
MFD (Gitterinfarkt) - makro • Placenta malá (small for gestational age), deformovaná • Tuhá na pohmat (nativní) • Mateřská ploténka – Zhrubělá, nepravidelně zrnitá – Chybí členění v kotyledony • Na řezu – Mateřská ploténka zesílená a nažloutlá – Síť bílých sept tuhé konzistence vybíhajících až k fetální ploténce – Drobné cysty • V I. trimestru (materiál z RCUI) nemusí být postřehnutelné
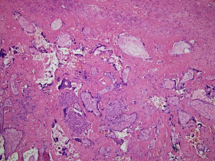
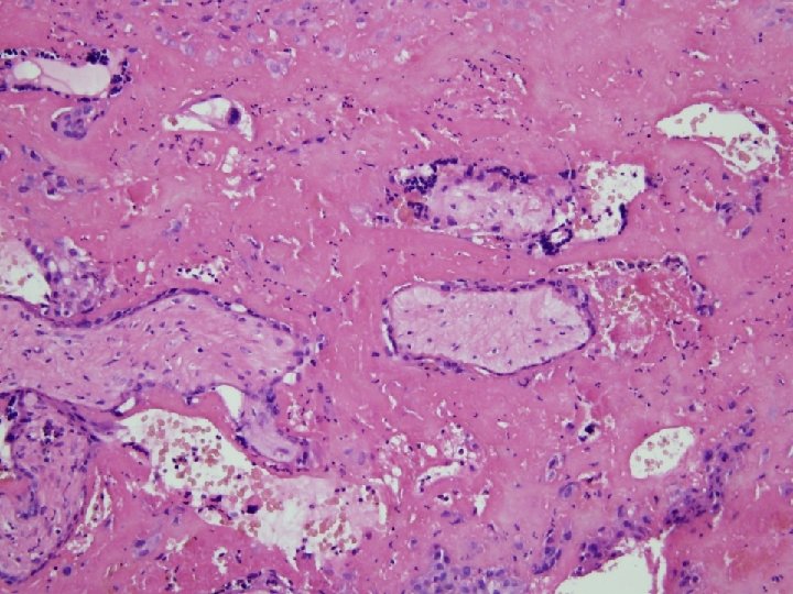
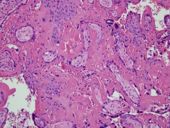
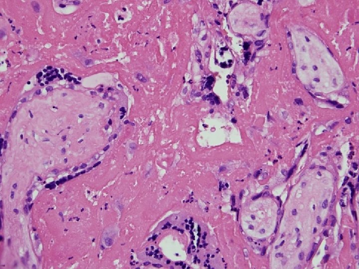
MFD histologie • Choriové klky jsou zality eozinofilně se barvící hmotou (fibrinoid) – V časné fázi jsou klky intaktní – V pozdní fázi • Degenerace a zánik syntitiotrofoblastu • Fibróza klků, hyalinní dystrofie • Obliterace cév - avaskulární klky – Proliferace extravilosního trofoblastu (X bb. ) v masách fibrinoidu event. tvorba cyst • Zůstavají nepostižená místa s volným intervilosním prostorem
30. t. g
Fibrinoid • Extracelulární fibrinu podobná hmota – Směs • fibrinu krevního séra (fibrin-type fibrinoid) • sekrečních produktů extravilosního trofoblastu (matrix-type fibrinoid): kolagen IV, laminin, fibronektiny, merosin, heparansulfát aj. – PAS +, modrý trichrom (světle modrá/červená), slabě Kongo červeň (nejde o amyloid), barvení na fibrin fokálně pozitivní – Univerzální součást lidských placent – Množství fibrinoidu stoupá k termínu porodu – Subchoriálně (subchoriální pseudoinfarkty) perivilosně, intravilosně, v mateřské ploténce, marginálně – Neznámá funkce
MFD (Gitterinfarkt) - důsledky • Omezený průtok mateřské krve intervilosním prostorem Chronická placentární insuficience • MFD vykazuje silnou asociaci s: – Intrauterinní růstovou retardací plodu (IUGR) • 31% -100% – Odúmrtím plodu • 17 -40%, průměrně 30% – Předčasným porodem • Spontánní i indukovaný – Psychomotorickou retardací
MFD (Gitterinfarkt) - recidivnost • Riziko opakování v další graviditě – 14 -78% – průměrně uváděno 30% • 14% při výskytu v II. a III. trimestru • 50% při abortu v I. trimestru
MFD (Gitterinfarkt) - etiologie • Příčiny jsou neznámé • Hypotézy – – – Infekce (latetní HSV, jiné) Poškození deciduy (ischémie, infekce) Genetické faktory (AD dědičnost pro recidivnost až 50% ? ) Porucha imunitní reakce – rejekce Difuzní poškození trofoblastu s aktivací koagulační kaskády na obnažené BM či poškozeném trofoblastu (ischemické, infekční, imunitní, cytotoxické působky, spont. degenerace trofoblastu ? ) – Abnormální proliferace extravilosního trofoblastu – Asociace s AI chorobami matky – Asociace s trombofilními stavy matky • Vrozené trombofilie (deficit proteinu S, Leidenská mutace aj) • Získané trombofilie (antifosfolipidový sy primární či sekundární) – Asociace s trombofilními stavy plodu • AD dědičnost, alely maternální i paternální • Konečné stádium různých typů poškození ?
MFD (Gitterinfarkt) dif. dg. • Přirozené množství fibrinoidu v placentě – Subchoriálně, marginálně, bazálně • • • Infarkty placenty Retence mrtvého plodu (několik týdnů) Intervilosní tromby Chronická vilitida Fetální trombotická vaskulopatie – (trombóza fetálních cév a její důsledky – region avaskulárních klků)
• Rezidua post abortum • V placentě byla zjištěna závažná patologie – masivní perivilosní depozita fibrinu (maternal floor infarkt, Gitterinfarkt). Jedná se o vzácnou patologii, která je dle literatury v části případů asociována s trombofilními stavy vrozenými i získanými. Porucha je někdy spojena s nepříznivou reprodukční anamnézou, protože má tendenci opakovat se v dalších graviditách. Riziko recidivy je vyšší při výskytu v I. trimestru. • Doporučení – – – Vyšetření trombofilií u matky (i otce) Terapie LMW heparinem, aspirinem Intenzivní sledování fetoplacentární jednotky Indukce předčasného porodu AFP v séru matky (při absenci VVV) UZ markery: IUGR plodu, oligohydramnion, hyperechogenní lůžko
pacient věk G. týden Výsledek gravidity Hmotnost plodu Nález u plodu L. H 28 11 tg Missed ab. nezn. nelze L. H 29 30 tg Missed abort 548 g IUGR Makrocefalie Macerace II. K. M. 27 40 tg Porod s. c. 2150 g AS 2 -6 -7 K. Ř 26 20 tg Missed abort 390 g Macerace III. K. Ř 27 22 tg Spont. abort 377 g Macerace I. 30 tg Missed abort 854 g IUGR Macerace 35 tg Předčasný porod mrtvého plodu 1344 g IUGR Macerace II. K. Ř 34 35 OA matky Trombofilie (mutace protrombinu heterozygot) Ter. : Clexan Recidivující IMC anamn. Kuřačka GA matky 1 x SA v I. trimestru 2 x porod v terminu 1 x porod zdravého dítěte Psychatrické onemocnění anamn. 1 x předčasný porod 24. t. g. dítě zemřelo -3 x SA v I. trimestru