Skin and Its Appendages Skin epidermis dermis and




































- Slides: 36
Skin and Its Appendages
Skin : epidermis, , dermis and its appendages
1. Epidermis 1. 1 The stratum of epidermis stratum basale stratum spinosum epidermis stratum granulosum stratum lucidum stratum corneum
stratum basale Basal cell: cuboidal or columnar,stem cell. , basophilic, rich in desmosomes, layer) undifferentiated cell. (germinal
stratum 4 -10 -layer prickle cells: spinosum polyhedral, basophilic cytoplasm, rich in desmosomes, abundant in keratin filaments.
stratum granulosum 3 -5 -layer cells: spindle shaped,with degenerative nuclei and organelles; basophilic, abundant in granules consisting of keratohyalin; more keratin filaments.
stratum lucidum transparent and homogeneous,without nuclei and organelles, indistinct cell boundaries. similar with cells of stratum corneum
stratum corneum Dead cells: without nuclei and organelles. with disorganized desmosomes. easy to be shed off.
1. 2 cells of epidermis keratinocyte cells of epidermi s Melanocyte unkeratinocyte Langerhans cell Merkel cell
melanocyte L/M: lies between basal cells, with thin and long processes which present amongst the cells of the stratum basale and stratum spinosum. E/M:① abundant in ribosomes, RER and Golgi complex; ② with membrane bound melanosomes. Function:protection from the hurt by UV light.
Melanocytes contain melanosomes which contain tyrosinase. Tyrosinase albinism tyrosine melanin protection absorb UV
Melanocyte
Melanin granules
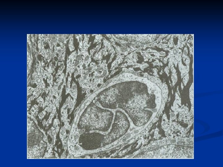
Langerhans cell L/M:lies in the superficial layer of stratum spinosum E/M:containing characteristic Birbeck bodies which section looks like racket. Function: antigen presenting cell(APC).
Langerhans cell
Langerhans cell
Merkel cell L/M:lie in stratum basale,flat cell. E/M: related to sensory nerve endings. Function:related to sense
2. dermis papillary layer dermis reticular layer
2. 1 papillary layer free Connective tissue. Abundant in capillaries, nerve endings and tactile corpuscles. 2. 2 reticular layer dense connective tissues, consisting of bundles of collagen fibers, numerous elastic fibers, etc. containing blood vessels, nerve fibers , lamellar
tactile corpuscle
Lamellar corpuscle
Lamellar corpuscle
stratum basale stratum spinosum epidermis stratum granlosum stratum lucidum Skin stratum corneum papillary layer dermis reticular layer
3. appendages of skin
appendages of skin
3. 1 hair Hair shaft、hair root、hair follicle、 hair bulb、hair papilla、arrector pili muscle
hair shaft hair root hair bulb
3. 2 sebaceous gland Localization: between the hair root and arrector pili muscle Function: secreting sebum.
sebaceous gland
sebaceous gland
3. 3 sweat gland Typical sweat glands: merocrine , apocrine holocrine Function: secreting sweat. regulating body temperature and related to metabolism. Atypical sweat glands: apocrine the secretions are viscous, odourless, and contain proteins
Sweat gland
Key points 1) composition of the skin: epidermis, dermis and its appendages. 2) 5 layers of the epidermis, the epidermis: keratinocyte and unkeratinocyte. 3) 3 types of the unkeratinocyte and their functions. 4) 2 kinds of sweat glands and their secretions.