Sistema Circolatorio Cuore Arterie vene capillari sinusoidi e



















































- Slides: 51
Sistema Circolatorio Cuore Arterie, vene, capillari, sinusoidi e vasi linfatici
Sistema circolatorio Composto da • Cuore – Pompa il sangue • Vasi – Arterie, capillari, venule e vene • Portano il sangue in tutti i distretti corporei • Struttura dei vasi dipende dalle richieste dei tessuti che irrorano
Voi ed il sistema circolatorio • Sangue è circa il 7% del peso corporeo • Circa 5 litri di volume totale • Sistema circolatorio si divide in tre parti – Circolazione polmonare • Alimenta i polmoni – Circolazione coronarica • Alimenta il cuore – Circolazione sistemica • Alimenta il resto del corpo • Funzione… Funzione senza di lui sareste degli insetti
Sistema circolatorio
Arterie e Vene • Arterie – Portano il sangue dal cuore verso i capillari – Sostengono alta pressione – Pareti posseggono strato di muscolatura • Vene – Riportano il sangue dai tessuti al cuore – Pressione minore • Si distinguono tre strati – – – Tonaca intima (TI) media (TM) avventizia (TA)
Schema delle tonache Endotelio Tonaca Intima Connettivo Lasso Valvola Tonaca Intima Tonaca Media Capillare Tonaca Avventizzia Tonaca Media Tonaca Avventizzia Vena Arteria Venula Arteriola
Tonaca Intima • Strato più interno • Suddiviso in tre strati – Endotelio – Sub-endotelio • Tessuto connettivo – Lamella elastica interna (i. EL) • Non visibile nelle vene
• Strato intermedio • Composto da fibre Tonaca Media – Muscolo Liscio – Collagene – ECM – Tessuto Elastico • Ridotta nelle vene • Presenza di lamella elastica esterna • Questo strato tende ad essere più largo Fino a 40 strati di muscolo in molte arterie liscio nelle arterie! – Elevata Pressione
Tonaca Avventizia • Strato più esterno • Principalmente Tessuto Connettivo • Contiene i Vasa Vasorum – “Vasi dei vasi” – Osservabile nelle grandi arterie e vene Nelle vene può essere difficile distinguere TA dalla TM
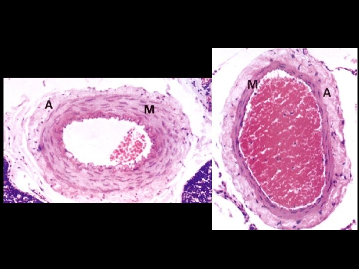
Aspetto dei 3 strati Arterie Vene
Arterie • Arterie elastiche – Arterie di conduzione (Aorta) – Tonaca media 40 -70 membrane elastiche fenestrate – Cellule muscolari liscie intersperse – Vasa Vasorum nella parte esterna della T. media e nella T. avventizia
Arterie • Arterie muscolari –Arterie di distribuzione (A. femorale) – 40 foglietti cellule muscolari lisce –Spessa lamina elastica esterna –Vasa Vasorum non prominenti
Arteriole o Venule ?
Capillari • Estremamente stretti e sottili – 5 -10 mm di diametro Arteriola Sfintere precapillare – 0. 5 mm lo spessore delle pareti • Cellule endoteliali circondate da lamina basale • Periciti – A volte osservabili tra l'endotelio e la lamina basale – Cellule indifferenziate che assomigliano a muscolari liscie Meta-arteriola Capillare vero – Funzione di supporto – Aiutano la contrazione – Potenzialmente utili nella rigenerazione Venule
Capillari • Si distinguono tre tipi – Continui • Strato continuo di endotelio – Tipo più comune – Fenestrati • Endotelio saltuariamente interrotto da spazi – Discontinui/Sinusoidi • Endotelio incompleto e lamina basale
Capillari Continui • Privi di fenestratura • Cervello, pelle, muscolo, tessuto connettivo, timo, polmoni, ghiandole esocrine, tessuto nervoso • Si possono osservare vescicole pinocitotiche – Trasporto attraverso endotelio – No nel sistema nervoso • Barriera sangue-cervello
Trasporto attraverso l’endotelio • Ossigeno, anidride carbonica e glucosio, diffondono liberamente • Pori piccoli – 9 -11 nm Ø, discontinuità tra le giunzioni delle endoteliali – Acqua e molecole idrofiliche piccole attraverso le giunzioni • Pori grandi – 50 -70 nm Ø – Fenestrae o Vescicole di trasporto – TRANSCITOSI – Vescicole pinocitotiche – Vescicole dal trans Golgi – Entrambe si fondono e formano canali
Capillari Continui
• Periciti (P) – Sostengono le cellule endoteliali dei capillari • Fibroblasti (F) – Producono il connettivo di supporto ed il collagene (C)
Capillari Fenestrati • Lamina basale continua • Rene, intestino e ghiandole endocrine • Fenestrae 60 -80 nm • Chiuse da un diaframma – Più sottile della membrana plasmatica – Non ha aspetto trilaminare Fenestrae Permettono gli scambi tra il sangue ed i tessuti
Fenestratura dell'endotelio
Fenestratura dell'endotelio Fenestrae Lamina Basale.
Capillari discontinui o Sinusoidi • Diametro più ampio – Rallentano la circolazione • Fenestrae di 30 -40 nm – Manca il diaframma • Fegato • Midollo Osseo • Milza
Capillari discontinui e Sinusoidi venosi • Più ampi dei capillari • Delimitati da endotelio squamoso semplice
Caratteristiche dei vasi
Cuore • Pompa a 4 camere – 2 Atri • Ricevono il sangue – 2 Ventricoli • Pompano il sangue • Miocardio – Muscolo striato cardiaco • 70% della massa • Tessuto connettivo
Cuore • Vena cava superiore ed inferiore – Portano sangue sistemico refluo all’atrio destro • Valvola Tricuspide – Atrio-ventricolare destra – Sangue da atrio destro a ventricolo destro • Ventricolo destro – Pompa il sangue nel tronco polmonare – Piccolo circolo, arterie polmonari destra e sinistra
Cuore • Atrio sinistro – Riceve il sangue ossigenato dal piccolo circolo – Vene polmonari • Valvola mitrale o bicuspide – Atrio ventricolare sinistra – Sangue da atrio sinistro a ventricolo sinistro • Ventricolo sinistro – Pompa il sangue nell’aorta – Grande circolo
Parete Cardiaca Tre strati – Equivalenti alla tonaca intima, media ed avventizia dei vasi sanguigni – Endocardio – Miocardio – Pericardio
Endocardio • Continuità con tonaca intima dei vasi collegati al cuore – Endotelio • Epitelio semplice appiattito • Strato di fibre collagene ed elastiche • Fibroblasti sparsi Strato sotto-endocardico – Connettivo lasso • Piccoli vasi, nervi e fibre del Purkinje • Si continua con endomisio del muscolo cardiaco
Miocardio • Strato medio e più spesso • Cellule muscolari cardiache – Disposte in spirali complicate intorno agli orifizi – Ancorano miocardio allo scheletro fibroso cardiaco – Specializzate in secrezione endocrina – Generano e conducono impulsi
Pericardio • Strato viscerale del pericardio – Omologo della tonaca avventizia – Mesotelio • Epitelio pavimentoso semplice – Connettivo lasso sub-pericardico • Vasi coronarici, nervi e gangli nervosi • Grasso superficiale – Strato sieroso del pericardio parietale • In continuità con strato viscerale in prossimità dei vasi che entrano ed escono dal cuore • Cavità pericardica contiene fluido lubrificante
Battito cardiaco • Nodo Seno-atriale – Regola il ritmo cardiaco – Giunzione tra vena cava ed atrio destro – Muscolari modificate in grado di depolarizzarsi spontaneamente – Impulso diffonde nella camera atriale • Nodo Atrioventricolare – Nel setto atrioventricolare sopra valvola tricuspide – Cellule specializzate ricevono impulso e lo trasmettono al miocardio degli atri attraverso il Fascio di His
Battito cardiaco • Fascio di His – Portano impulso alla muscolatura provocando la contrazione ritmica – Fascio di fibre che passa nel connettivo lasso sub-endocardico – Fibre del Purkinje • Cellule muscolari cardiache modificate • Trasmettono impulsi alle cellule dell’apice del cuore • Sistema nervoso autonomo – Non innesca battito ma modula il ritmo del battito – Simpatico accelera – Parasimpatico rallenta
Battito cardiaco • Cellule a secrezione endocrina – Cellule specializzate nella parete atriale e nel setto interventricolare – Producono peptidi • Atriopeptina • Polipeptidico natriuretico atriale • Cardodilatina • Cardionatrina – Mantenimento fluidità del sangue, equilibrio ellettrolitico e abbassamento della pressione sanguigna
Fluidodinamica della Circolazione • Correlazione tra – Pressione – Flusso – Resistenza – Meccanismi di controllo della pressione – Flusso attraverso i vasi
Pressione sanguigna • Misura la forza esercitata dal sangue sulle pareti • Senza pressione non ci sarebbe flusso • Misurata ascoltando i rumori emessi dal flusso turbolento nelle arterie, come funzione del rilascio di una costrizione
Flusso sanguigno • Flusso sanguigno – Quantità di sangue che percorre un tratto di vaso in un determinato tempo – Direttamente proporzionale alle differenze di pressione – Inversamente proporzionale alla resistenza
Legge di Poiseuille e Viscosità • Legge di Poiseuille – Flusso diminuisce quando la resistenza aumenta – La resistenza diminuisce all’aumentare delle dimensioni dei vasi • Viscosità – Misura la resistenza del liquido a fluire – Aumento della viscosità richiede aumento di pressione per mantenere flusso costante
Flusso turbolento e laminare • Flusso laminare – Continuo, non turbolento Parete del vaso Flusso Parete del vaso Costrizione Flusso – La porzione esterna si muove più lentamente della centrale • Flusso turbolento – Interrotto – Il flusso eccede la velocità critica – Flusso passa una costrizione, una curva o una superficie sconnessa
Controllo del flusso • Controllo locale – Nella maggior parte dei tessuti il flusso è proporzionale alle richieste metaboliche • Sistema Nervoso – Responsabile dell’indirizzamento e del mantenimento della pressione • Controllo Ormonale – Ormoni sono importanti regolatori del flusso sanguigno
Controllo locale del flusso Sfintere precapillare Muscolo Liscio • Flusso può aumentare 7 -8 volte, in seguito a vasodilatazione degli sfinteri delle meta-rteriole e dei pre-capillari come risposta ad un aumento dell’attività metabolica – Sostanze vasodilatatorie prodotte quando metabolismo aumenta – Sfinteri precapillari si stringono e si rilassano in continuazione
Sistema Linfatico Tonsille Timo Linfonodi ascellari Linfonodi cervicali Plesso mammario Dotto toracico Milza Vasi linfatici Linfonodi inguinali • Linfa • Vasi linfatici • Tessuti linfatici • Noduli linfatici • Linfonodi • Tonsille • Milza • Timo
Vasi del Sistema Linfatico Assorbe elettroliti e proteine dai capillari e dai tessuti Il fondo dei vasi è chiuso • Linfa si forma alla fine della porzione arteriosa dei capillari, dove la pressione è elevata • Acqua, elettroliti ed alcune proteine trasudano nel tessuto • L'inversione di pressione nella porzione venosa, non è in grado di produrre un completo riassorbimento nelle vene
Linfa • Il fluido interstiziale che entra nei capillari linfatici – Circa 30 litri passano dai capillari sanguigni agli spazi interstiziali – Solo 27 litri tornano ai capillari sanguigni – Restanti 3 litri entrano nei capillari linfatici e attraverso il sistema linfatico ritornano al sangue – Costituita da acqua e soluti – Ioni, nutrienti, gas e proteine derivanti dal plasma – Ormoni, emzimi e prodotti di rifiuto dalle cellule
Funzione del Sistema Linfatico • Bilancio dei fluidi – Eccesso di fluidi interstiziali entrano nei capillari linfatici e diviene linfa • Assorbimento del grasso – Assorbimento grasso ed altre sostanze dal tratto digerente • Difesa – Microorganismi ed altre sostanze vengono “filtrate” dalla linfa nei linfonodi e dal sangue nella milza
Vasi Linfatici Arteriola Capillare Venula Fluido entra nel capillare Valvola chiusa impedisce riflusso Linfa Valvola aperta Cellule del tessuto Fluido entra nel capillare Al sistema venoso linfatico Capillare linfatico Flusso linfatico Cellule epiteliali sovrapponenti • Trasportano la linfa dai tessuti • Capillari linfatici – Sono più permeabili dei capillari sanguigni – L’epitelio funziona come una valvola a senso unico
Vasi Linfatici • Privi di fenestrazione • Privi di lamina basale • Filamenti di ancoraggio (microfibrillle) nell'endotelio mantengono il vaso aperto e ne prevengono il collasso • I vasi più grandi hanno numerose valvole