Sinapsi elettriche COMPORTAMENTI STEREOTIPATI E SINCRONIZZATI 1 Rapidit


























- Slides: 26
Sinapsi elettriche (COMPORTAMENTI STEREOTIPATI E SINCRONIZZATI) 1. Rapidità della trasmissione 2. Sincronizzazione 3. Accoppiamento metabolico Sinapsi chimiche (COMPORTAMENTI CHE VARIANO IN BASE ALL’ESPERIENZA) 1. Trasmissione “lenta” 2. Modulabilità della risposta 3. Variazione temporale della risposta
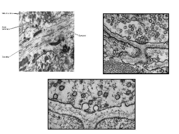
• The effects of nerve stimulation and hemicholinium on synaptic vesicles at the mammalian neuromuscular junction S. F. Jones and Suthiwan Kwanbunbumpen J Physiol. 1970 March; 207(1): 31ミ 50. 4 • • • 1. Electron micrographs of nerve terminals in rat phrenic nerve—diaphragm preparations have been studied. This has been done before and after prolonged nerve stimulation. The effectiveness of nerve stimulation has been monitored by intracellular micro-electrode recordings from the muscle cells. 2. Characteristic changes in the form and distribution of the nerve terminal mitochondria were noted after nerve stimulation. 3. Synaptic vesicle numbers in the region of nerve terminal less than 1800 Å from the synaptic cleft were significantly greater in tissue taken 2 and 3 min after nerve stimulation, than in unstimulated preparations. 4. The long and short diameters of the synaptic vesicle profiles less than 1800 Å from the synaptic cleft were measured. Analysis of the distribution of the diameters indicated synaptic vesicles to be basically spherical structures. Estimates of synaptic vesicle volume were made from the measurements. Synaptic vesicle volume was significantly reduced in tissue taken 2 and 4 min following nerve stimulation. 5. If hemicholinium, a compound which inhibits acetylcholine synthesis, was present during the period of nerve stimulation, much greater reductions in synaptic vesicle volume occurred. Synaptic vesicle numbers in the region of nerve terminal less than 1800 Å from the synaptic cleft were also reduced, compared with unstimulated control preparations. 6. These results are regarded as support for the hypothesis that the synaptic vesicles in nerve terminals at the mammalian neuromuscular junction represent stores of the transmitter substance, acetylcholine.
• • Precisione Rapidità Nessuna perdita di efficienza (esaurimento) Modulabilità
• • Precisione Rapidità Nessuna perdita di efficienza (esaurimento) Modulabilità
Weimer, R. M. et al. J Cell Sci 2003; 116: 3661 -3666
nsf