Shoulder Pain in a Rugby Athlete Kevin Mc
Shoulder Pain in a Rugby Athlete Kevin Mc. Award MD James Moriarity MD University of Notre Dame
Patient History • This 21 yo male All-American Rugby player and a former High School state champion wrestler presented on Dec 4, 2015 for evaluation of generalized right shoulder pain. There was no history, past or present, of a specific shoulder injury, but the athlete had recreationally wrestled a few nights before and lifted weights prior to his visit. He complained of a dead arm sensation of his right arm and generalized discomfort globally in the shoulder. Motion was limited secondary to pain but no focal muscle weakness was present. The patient had a positive Hawkins, a positive O’Brien’s test thumb up and thumb down, a positive apprehension sign, and no gleno-humeral laxity. The patient was given diclofenac and scheduled for follow-up.
Follow up • The patient returned for follow up after Christmas Break. Generally, he was better. He had begun weight lifting at home but noticed the pain returning at a different location: his posterior scapular region. He also noted that he was weaker with certain motions. He denied any numbness, tingling or recurrent dead arm syndrome. Examination confirmed weakness to external shoulder rotation. Hawkins and O’Briens tests were unrevealing. No shoulder laxity identified in this heavily muscled athlete.
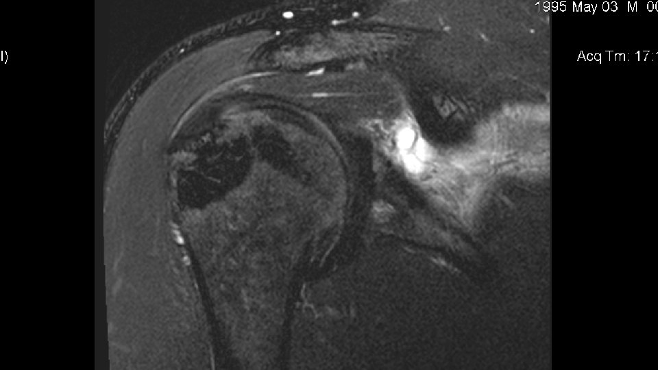
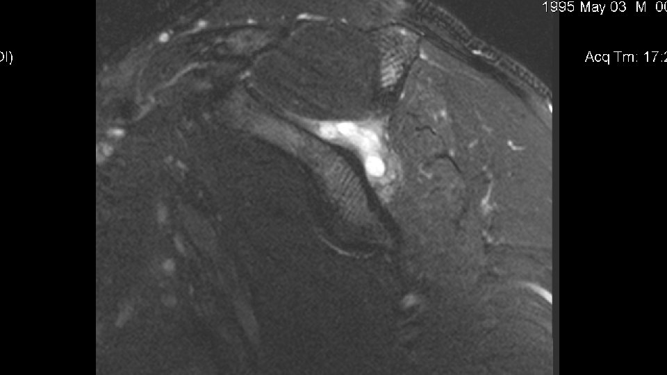
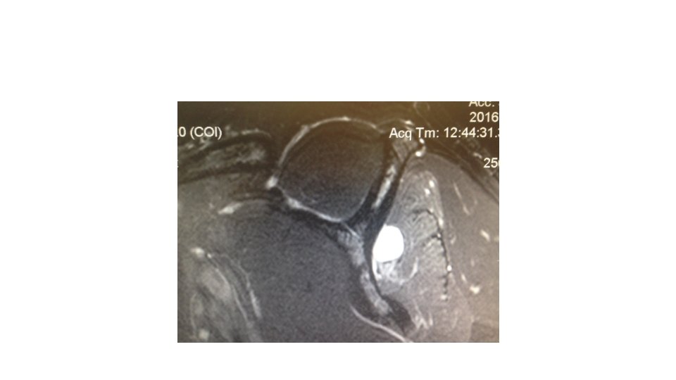
Disposition • The patient was scheduled for MRI
Anything else you want to know?
Decision Making • As mentioned in the history, the athlete is an All-American Rugby athlete. Spring season is rapidly approaching. • Options?
- Slides: 17