SHAG A propos dun cas Elodie Marguillier interne



























- Slides: 27
SHAG – A propos d’un cas Elodie Marguillier – interne du CHU de Rennes Pr Poulain – Pr Levêque – Dr Mainguy – Dr Turlin
Cas clinique Mme C. 27 ans Antécédents: 2 AVB à terme Grossesse de déroulement normal HDM: consultation à 28 SA ½ à Saint Malo * malaise vagal & anorexie depuis 72 h * CU douloureuses * notion d’extraction dentaire la veille avec prise de 6 g de paracétamol/jour
A l’examen : Versant maternel : * constantes : TA normale, absence de SFHTA, ROTs normaux, apyrétique * BU: protéinurie et leucocyturie * douleurs lombaires majorées à l’ébranlement * TV: col 1 doigt, court, tête haute Versant fœtal : * monitoring : RCF NONR 125 bpm, CU régulières et douloureuses * à l’échographie: siège décomplété, fœtus eutrophe, LA en quantité normale, dopplers normaux
Biologie : hyperleucocytose en rapport avec une infection urinaire en cours ( ECBU: BGN très nombreux au direct ) absence de thrombopénie ou d’anémie insuffisance rénale débutante coagulation: fibrinogène normal, TP 31 %, facteur V 27 %, lésion cellulaire : LDH 1137 bilan hépatique: cytolyse majeure avec ASAT 3486 (100 N), ALAT 2148 (50 N)
Hypothèses diagnostiques: SHAG: Stéatose Hépatique Aigue Gravidique HELLP syndrome Hépatite virale Intoxication au paracétamol
=> TIU au CHU maturation pulmonaire : une injection 1 g de rocéphine IVL introduction de sulfate de magnésium à l’arrivée nouveau bilan sanguin : stable transfusion de 4 PFC Décision de césarienne en urgence pour sauvetage maternel
Césarienne sous AG, extraction facile d’un garçon de 1, 350 kg, Apgar 5. 9. 9, bonne adaptation à la vie extra utérine Ph: 7, 38, lactates : 4, 9 mmol/l réalisation d’une ponction-biopsie hépatique pour analyse anatomopathologique envoi du placenta en anatomopathologie saignements totaux 1100 cc
Evolution en suite de couches cliniquement: peu douloureuse, lochies physiologiques, absence de plainte, TA normale, apyrétique biologiquement: franche amélioration * diminution de la cytolyse hépatique: ASAT 35 N à J 1, 2 N à J 5; ALAT 30 N à J 1, 7 N à J 5 * normalisation de la fonction rénale * disparition des troubles de la coagulation * paracétamolémie revenue négative ainsi que les sérologies virales
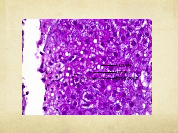
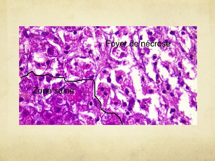
Anatomopathologie placenta: eutrophe, dépourvu de lésions inflammatoires. Aspect microscopique placentaire de vasculopathie déciduale basale sans infarctus avec probable décollement placentaire. ponction- biopsie hépatique: stéatose des zones centro lobulaires avec une composante micro-vacuolaire prédominante. Foyers de nécrose et de réaction inflammatoire associés. Absence d’éléments en faveur d’une hépatopathie chronique sous-jacente.
Diagnostic retenu : Stéatose Hépatique Aigue Gravidique Acute Fatty Liver of Pregnancy
Epidémiologie 1/10000 à 15000 grossesses Mortalité maternelle: 18% (80 % avant 1980) Mortalité infantile: 23% garçon > fille ( 2/1 à 3/1) grossesse gémellaire (14 -19% cas ) prédominance chez les primipares
Présentation clinique Phase pré ictérique : > Prédominance de signes digestifs: nausées, vomissements (70 à 100%) et douleurs abdominales (50 à 80%) > Signes généraux: asthénie, anorexie, fébricule sans foyer infectieux, céphalées, tachycardie, prurit très rare+++ > Autres signes: oedème des MI, HTA, protéinurie, syndrome polyuropolydipsique
Présentation clinique Phase ictérique: 2 à 15 jours après les premiers symptômes > Ictère: cutanéomuqueux d’intensité variable d’aggravation rapide > Persistance et aggravation de la symptomatologie initiale: digestive , AEG, neurologique > Association fréquente avec une néphropathie gravidique: HTA: 70% des cas , OMI: 60 à 75% des cas, protéinurie positive dans 60% des cas
Sur le plan biologique Fonction hépatique: > Insuffisance HC * Hypoglycémie * Hypoalbuminémie * Chute des facteurs (I, II, V, VII, X) * Hyperammoniemie > Hyper bilirubinémie: 3 à 5 fois la normale > Cytolyse hépatique souvent majeure: ASAT -ALAT
Sur le plan biologique Troubles de l’hémostase: > CIVD+ IHC (75%)- thrombopénie- PDF augmentésfibrinogène bas- ATIII diminuée Fonction rénale: insuffisance rénale - hyper uricémie (80% des cas) Hématologie: hyperleucocytose à PNN, thrombopénie, anémie
Formes graves : IRA : hypo volémie – CIVD - Atteinte du parenchyme rénal Complications hémorragique: hémorragie digestive – hémorragie génitale Troubles neurologiques: hyperammoniémie –hypoglycémie avec encéphalopathie hépatique Ascite (HTP) - atteinte pancréatique - complications iatrogènes (thromboembolique, infectieuses)
Physiopathologie
Imagerie Echographie Abdominale : foie homogène, brillant, hyperéchogenicité diffuse TDM abdominal: Hypodensité hépatique diffuse Seule la biopsie hépatique permets de faire le diagnostic certain de la maladie
Histologie Stéatose micro-vacuolaire centro-lobulaire avec microvacuoles intra cytoplasmique remplies de graisses (AGL) ( macrovacuoles rares) Noyau hépatocytaire en place Nécrose hépatocytaire limitée Cholestase inconstante Infiltration cellulaire inflammatoire Evolution après traitement: régression de la stéatose sans séquelle
Diagnostics différentiels Clinical Anesthesia, Paul Barash, Bruce F. Cullen, Robert K. Stoelting, Michael Cahalan, Christine M. Stock, Rafael Ortega Autres : hépatites virales ou toxiques, SHU et PTT…
Prise en charge Multidisciplinaire : étroite collaboration entre obstétriciens et anesthésistes-réanimateurs Extraction fœtale en urgence pour sauvetage maternel: césarienne dans la majorité des cas avec correction des troubles de l’hémostase au préalable Taux de récidive pour une grossesse ultérieure: en cas de mutation de LCHAD: 20 -70 %, sinon exceptionnel
Bibliographie Acute fatty liver of pregnancy: A case report of an uncommon disease Kalpana S. Vora, Veena R. Shah, and Geeta P. Parikh 2009 Acute fatty liver of pregnancy associated with severe acute pancreatitis: A case report. Cássio Vieira de Oliveira, Alecsandro Moreira, Julio P Baima, Leticia de C Franzoni, Talles B Lima, Fabio da S Yamashiro, Kunie Yabuki Rabelo Coelho, Ligia Y Sassaki, Carlos Antonio Caramori, Fernando G Romeiro, and Giovanni F Silva Differentiation of acute fatty liver of pregnancy from syndrome of hemolysis, elevated liver enzymes and low platelet counts. Minakami H 1, Morikawa M, Yamada T, Akaishi R, Nishida R. Acute fatty liver of pregnancy: an experience in the diagnosis and management of fourteen cases. Usta IM 1, Barton JR, Amon EA, Gonzalez A, Sibai BM. Acute fatty liver of pregnancy: a clinical study of 12 episodes in 11 patients. H Reyes, L Sandoval, A Wainstein, J Ribalta, S Donoso, G Smok, H Rosenberg, and M Meneses Reversible peripartum liver failure: a new perspective on the diagnosis, treatment, and cause of acute fatty liver of pregnancy, based on 28
Merci de votre attention !