SESIN FORMATIVA EN CUIDADOS CONTINUOS Nuevos frmacos nuevas





































- Slides: 37
SESIÓN FORMATIVA EN CUIDADOS CONTINUOS Nuevos fármacos, nuevas toxicidades: Manejo de Toxicidad de Terapias Antidiana e Inmunoterapia. Dra. Susana Hernando Polo H. Universitario Fundación Alcorcón
Cambio tangible en el tipo de toxicidades EMESIS NEUTROPENIA FEBRIL DIARREA
TERAPIAS ANTIDIANA INMUNOTERAPIA Bloquean el crecimiento del cáncer al interferir en moléculas específicas Estimula el sistema inmune para combatir el crecimiento tumoral MAYOR ESPECIFICIDAD = MENOR TOXICIDAD ¿?
INMUNOTERAPIA
PERFIL TÓXICO DE LA INMUNOTERAPIA Tasa de eventos adversos: § Cualquier grado: 40 -50% § Grado 3 -4: 22 -24% Anti. CTLA 4 >>> PD 1 (excepto cutánea) >>> Anti. CTLA 4 + anti PD-1 Eur J Cancer 2016; 54: 139. JM Michot et al.
TRATAMIENTO TOXICIDAD INMUNOMEDIADA: VISIÓN GENERAL CONOCER LA POTENCIAL TOXICIDAD ADIESTRAR PACIENTE EN SINTOMATOLOGÍA DE LA TOXICIDAD MÁS HABITUAL FORMACIÓN DE MÉDICOS DE ATENCIÓN PRIMARIA Y MÉDICOS DE URGENCIA INICIO PRECOZ DE CORTICOTERAPIA
TIMING CUTANEA Semanas 2 -10 50% DIGESTIVA ENDOCRINA PULMONAR Semanas 5 -14 Semanas 7 -20 Semanas 8 -12 29% 6% 30% 6 m INICIO INMUNOTERAPIA FIN INMUNOTERAPIA The Oncologist 2016; 21: 804
TOXICIDAD CUTANEO MUCOSA
TOXICIDAD CUTANEO-MUCOSA Grado 1: < 10% s. corporal Grado 2: 10 -30% s. corporal Grado 3: > 30% s. corporal Grado 4: Compromete la vida Evento adverso más frecuente (50%) Leve-Moderado (5% discontinuación tto) Más frecuente en melanoma que otros tumores
Curr Opin Oncol 2016, 28: 254; Eur J Cancer 2016; 60: 190
TOXICIDAD CUTANEA: TRATAMIENTO DIAGNÓSTICO VALORACIÓN POR DERMATOLOGÍA BIOPSIA CUTÁNEA GRADO 1 GRADO 2 SUSPENDER TTO -- -- REINICIAR TTO 100% dosis HOSPITALIZAR -- -- -- CORTICOTERAPIA TÓPICO? TÓPICOS Betametasona, clobetasol 0. 5 mg/Kg/d 1 -2 mg/Kg/d OTRO TRATAMIENTO Hidratación Anti. H 1 Doxicicilina vía oral Doxicicilina oral Curr Opin Oncol 2016, 28: 254 GRADO 3 � GRADO 4 � No �
TOXICIDAD DIGESTIVA
TOXICIDAD DIGESTIVA: Hepatitis/Diarrea Grado 1: < 4 depos. /d Grado 2: 4 -7 depos. /d, sintomático Grado 3: > 7 depos. /d, muy sintomático, sueroterapia iv Grado 4: Compromete la vida ANTI CTLA 4 >>ANTI PD-1 Diarrea (30%; 15% G 3 -4) Colitis (5%) Hepatitis (transaminitis 25%; G 3 -4 < 1. 5%) Descartar colitis infecciosa, clostridium difficile, reactivación vírica Eur J Cancer 2016; 60: 190
TOXICIDAD DIGESTIVA DIAGNÓSTICO ANALÍTICA ECO/TAC ABDOMINAL CALPROTECTINA EN HECES COLONOSCOPIA + BX / BX HEPÁTICA GRADO 1 GRADO 2 SUSPENDER TTO -- REINICIAR TTO 100% dosis HOSPITALIZAR -- -- CORTICOTERAPIA Budesonida rectal ó 0. 5 mg/Kg/d OTRO TRATAMIENTO Hidratación � Hidratación GRADO 3 � dosis � GRADO 4 � No � 1 mg/Kg/d 1 -2 mg/Kg/d Hidratación iv Micofenolato Infliximab (no en hepatotoxicidad)
ENDOCRINOPATÍAS
ENDOCRINOPATÍAS: tipos 20 -29%, cualquier grado Screening: PERFIL TIROIDEO HIPOTÁLAMO HIPOFISITIS (2 -17% anti. CTLA 4) HIPÓFISIS GÓNADAS TIROIDES GLÁNDULA SUPRARRENAL ADRENALITIS (3 -4%) TIROIDITIS (5%) HIPOTIROIDISMO (9%) HIPERTIROIDISMO (3%) PANCREAS DIABETES MELLITUS The Oncologist 2016; 21: 804. Eur J Cancer 2016; 60: 190
ENDOCRINOPATÍAS HIPOFISITIS TIROIDITIS HIPOTIROIDIS MO HIPERTIROIDIS MO INSUF. SUPRARRENAL P. COMPLEMENTARIAS RMN SNC ECO TIROIDEA TSH, T 3 L, T 4 L CORTISOL, ACTH, ALDOSTERONA, RENINA CORTICOIDES 1 -2 mg/d Descenso en 1 mes Según gravedad Habitualmente no. Sí en enf. Graves Hidrocortisona 20 -0 -10 mg Fludrocortisona 0. 1 mg/d HORMONA SUSTITUTIVA Sí, las que precise Nunca H. crecimiento. Levotiroxina 1. 6 mcg/Kg/d TSH cada 4 -8 s No Sí SUSPENDER INMUNOTERAPIA No, salvo riesgo vital No, salvo riesgo No vital habitualmente Sí, enf. Graves ACTH, CORTISOL, TSH, T 3 L, T 4 L, FSH. LH, PROLACTINA, TESTOSTERONA, ESTRADIOL No, salvo riesgo vital
ENDOCRINOPATÍAS: a destacar GRAVEDAD: § HIPOFISITIS § ENF. GRAVES (HIPERTIROIDISMO) § DIABETES MELLITUS: Tipo 1. Insulino-dependiente. No pautar corticoides!! § CRISIS ADRENAL: shock hipovolémico, dolor abdominal § Hidrocortisona 100 mg/8 h + Hidratación iv § Tto de Insuficiencia adrenal residual VALORACIÓN CONJUNTA CON ENDOCRINOLOGÍA
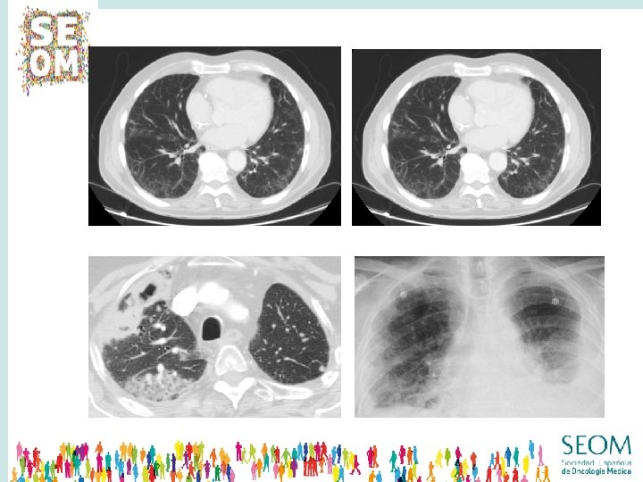
NEUMONITIS
NEUMONITIS Grado 1: hallazgo radiológico Grado 2: Tos seca + Disnea Grado 3: Insuficiencia respiratoria Grado 4: Compromete la vida 2 -6% Grado 2 -3 Neumonitis fatal 0. 7% § Rx tórax § TAC § FBC + bx pulmonar
SOSPECHA DE NEUMONITIS DIAGNÓSTICO DIFERENCIAL INFECCIÓN RESPIRATORIA LINFANGITIS GRADO 1 GRADO 2 � SUSPENDER TTO Valorar REINICIAR TTO 100% dosis HOSPITALIZAR -- -- CORTICOTERAPIA -- 0. 5 -1 mg/Kg/d OTRO INMUNOSUPRESOR -- -- GRADO 3 � Dosis � GRADO 4 � No � 1 -2 mg/Kg/d -- Infliximab Micofenolato Eur J Cancer 2016; 60: 210
MISCELANEA: ASTENIA § § Moderada habitualmente 20 -40% Tratamiento sintomático Descartar: Anemia hemolítica inmunomediada § Sd. Constitucional por progresión tumoral - Bilirrubina no conjugada, LDH, reticulocitos § Anemia - Ac antiglobulina § Endrocrinopatía Corticoides 2 mg/Kg/d, prolongado
MISCELANEA § ARTROMIALGIAS, ARTRITIS § NEUROLÓGICAS § Guillain-Barré, Miastenia Gravis, Sd. Encefalopatía posterior reversible, Mielitis transversa § Corticoides y valorar tratamiento habitual de dicho proceso. § OFTALMOLÓGICAS § Epiescleritis, conjuntivitis, uveitis § CARDIOPATÍA § NEFROPATÍA
CONCLUSIONES : TOXICIDAD INMUNOMEDIADA GRADO 1 Asintomático-paucisintomático Suspender fármaco a criterio del facultativo Vigilancia estrecha GRADO 2 Síntomas moderados Suspender fármaco de forma transitoria y reiniciar a dosis plenas cuando toxicidad < grado 1 Corticoterapia 0. 5 -1 mg/kg/día; descenso progresivo en un mes GRADO 3 Síntomas severos. Hospitalización. Suspender fármaco de forma transitoria y reiniciar a dosis reducidas cuando toxicidad < grado 1 Corticoterapia 1 -2 mg/kg/día; descenso progresivo en un mes GRADO 4 Síntomas severos. Hospitalización. Suspender fármaco de forma definitiva Corticoterapia 1 -2 mg/kg/día + otro inmunosupresor
CONCLUSIONES : TOXICIDAD INMUNOMEDIADA Una vez iniciado corticoide sistémico: § Mantener 2 mg/kg/d 3 -5 días y bajar a 1 mg/Kg/d § Una vez resuelto o con toxicidad < 2 (2 semanas) § Iniciar pauta lenta descendente de corticoides (1 mes) § Reiniciar inmunoterapia (< 12 semanas) cuando toxicidad < 1 y dosis de corticoides < 10 mg/día § Micofenolato: 500 mg-1 g/12 horas vo § Infliximab: 5 mg/Kg iv § Otros: ciclosporina, metotrexato Excepciones: § Toxicidad cutánea: preferiblemente tópicos (evitar si sobreinfección) § Endocrinopatías: § A menudo basta con tratamiento hormonal sustitutivo § Evitar corticoides en diabetes tipo 1 inmunomediada
TERAPIAS ANTIDIANA
INHIBIDORES DE BRAF § VEMURAFENIB § DABRAFENIB INHIBIDORES DE MEK § COBIMETINIB § TRAMETINIB
TOXICIDAD CUTANEA § RASH ACNEIFORME § TUMORES CUTANEOS § Ca epidermoide, Queratoacantomas § Melanomas? § Resección. Seguimiento por dermatología LA TOXICIDAD CUTANEA DISMINUYE SIGNIFICATIVAMENTE CUANDO SE ADMINISTRAN COMBINADOS UN INHIBIDOR BRAF CON UN INHIBIDOR DE MEK Tiempos de inducción cortos Oncologist 2013; 18: 314; JCO 2016; 34: 871; NEJM 2015; 372: 30
TOXICIDAD CUTANEA INHIBIDORES-ANTICUERPOS EGFR CARA-TRONCO INHIBIDORES VEGFR INICIO PRECOZ < 2 SEM. INHIBIDORES MEK Y BRAF GRADO 1 GRADO 2 GRADO 3 INMUNOTERAPIA GRADO 4 SUSPENDER TTO -- -- REINICIAR TTO 100% dosis No -- TÓPICOS Betametasona, clobetasol SISTÉMICOS (0. 5 -1 mg/kg/d) CORTICOTERAPIA OTRO TRATAMIENTO Hidratación Anti. H 1 Doxiciclina vo? Ann Oncol. 2011; 22(3): 524. � (<0. 5 mg/Kg/d) � Doxiciclina Isotretinoin 20 -30 mg/d (puede agravar Doxicicilina vo 100 mg/12 h 4 sequedad, fotosensibilidad): 6 sem. añadir emoliente y protección solar
ANTIANGIOGÉNICOS Efecto clase antiangiogénicos: § Cardiovascular § No-cardiovascular
EFECTOS DE CLASE: CARDIOVASCULARES HTA § 22 -25% §IECAs/Ara-II §Ca antagonistas dihidropirimidínicos: Amlodipino §Diuréticos: Hct §Beta bloqueantes: Atenolol §Alfa-betabloqueante: carvedilol (cardiopatía) Cancer. 2015 Jan; 121(2): 311 -9. TROMBOEMBOLIAS §ARTERIALES 2. 5% Bevacizumab, Aflibercept, Ramucirumab y TKIs §AP de emb. Arterial < 6 m §Manejo habitual + suspender fármaco (vs continuar + anticoagulación? ) §VENOSOS §Dudosa relación
EFECTOS DE CLASE: NO VASCULARES PROTEINURIA/SD NEFRÓTICO 20 -60% Severa (Sd. Nefrótico) 2% • Proteinuria pre-dosis • Parar si >2 g/día; definitivamente si > 3 g/día SD. MANO PIE Precoz en primeras 3 semanas Prevenir Hidratación e higiene Calzado Manicura y pedicura previa SANGRADO- RETRASO CICATRIZACIÓNFÍSTULAS-PERFORACIÓN G-I Ca epidermoide pulmón, cavitación central, afectación central, invasión de grandes vasos. EN CASO DE CIRUGÍA: 2 semanas cx menor > 4 semanas cx mayor (6 -8 sem) Hidratante-vaselina tópica. Cremas exfoliantes humectantes Corticoides tópicos Reducir dosis o cambiar esquema
INHIBIDORES DE MTOR: Temsirolimus, Everolimus § MUCOSITIS § NEUMONITIS § ALTERACIONES BIOQUÍMICAS § Hiperglucemia § Hipofosfatemia § Hipercolesterolemia/Hipertrigliceridemia § Elevación asintomática de amilasa-lipasa Pancretatitis
OTRAS TOXICIDADES CARDIOTOXICIDAD Bradicardia Prolongación QT ↓FE TOXICIDAD PULMONAR Derrame pleural Hipertensión pulmonar Neumonitis HEMATOLÓGICA INHIBIDORES ALK: Crizotinib, ceritinib y alectinib INHIBIDORES ALK, Inhibidores Tyr Kinasa VEGFR INHIBIDORES HER 2: trastuzumab, lapatinib, pertuzumab, emtansina 3% FE (0. 5% sintomático) FE basal y cada 3 meses o síntomas. Fc riesgo: INHIBIDORES MULTIKINASA: Dasatinib, imatinib > 55 a Antraciclinas previas (300 mg/m 2 dosis acumulada) HTA PALBOCICLIB, INH. PARP SD. MIELODISPLÁSICO
CONCLUSIONES § Nuevas toxicidades… § Aprender a prevenirlas y a tratarlas § Seguimiento conjunto con otras especialidades: § Instruir a Pacientes, Médicos de Familia y Médicos de urgencias § Corticoterapia temprana para toxicidad inmunomediada § Y no olvidarnos de las viejas toxicidades
Gracias por la atención