Sensation Perception II 3270 Lecture 7 smell KEYWORDS




























































- Slides: 60
Sensation & Perception (II) 3270 Lecture 7 smell
KEYWORDS ---- TASTE I Taste Primaries: sweet, sour, salty, bitter, papilla (nipple) types: fungiform (fungus-like), foliate (leaf -like), circumvallate (around the ramparts), taste buds (found on papilla), respond to more than one ‘primary' taste cells (found within taste buds), no axons, connect/synapse with afferent fibres coding of quality, activity across a population, pattern of firing of nerves related to perceptual abilities in rats (responses to different salts, ammonium, potassium and sodium chloride), most fibres respond to more than one primary
KEYWORDS ---- TASTE II taste thresholds depend on: temperature (different primaries alter differently), tongue region, genetics (phenylthiocarbamide: to 2/3 rds of white western folk tastes bitter; 1/3 rd no taste), concentration (eg. saccharin low sweet; high bitter), age, adaptation,
KEYWORDS ---- TASTE III taste preferences, Humans: sweet (+); bitter (-), mostly in place at birth; Cats and chickens: indifferent to sweet; rat/cat/rabbit/sheep: salt (+); hamster: salt (-) taste cravings, salt, calcium, potassium, etc. . specific changes in threshold when deprived (eg. for salt) cultural influences, conditioned taste aversion neural pathway, uncrossed, taste cells, VII cranial nerves (corda tympani division of facial nerve), IX cranial nerve (glossopharyngeal), solitary nucleus, ventral posterior medial nucleus of thalamus, taste cortex (near mouth representation of somatosensory cortex), brain stem vomit centres
The 12 Cranial Nerves 1 olfactory 2 optic 3 oculomotor 4 trochlear 5 trigeminal 6 abducens 7 facial 8 auditory and vestibular 9 glossopharyngeal 10 vagus 11 accessory 12 hypoglossal
Sensory Processes 3270 Chemical senses SMELL
FUNCTIONS of SMELL • Gatekeepers (good in, bad reject) • orient in space • mark territory • guide to find other animals • guide to find food • sex • humans, perfumes indicate still important • detect spoiled food • fire • anosmia • sex?
Digi. Scents is developing this device, dubbed the i. Smell, to puff appropriate smells at you as you surf the Web. Image courtesy of Digiscents, Inc.
Bloodhounds can pick up a 24 hr old trail. Dogs have 1, 000, 000 olfactory receptors and we have about 10, 000. We can smell happiness and fear. Everyone has an unique smell. . except identical twins! Sniffer rats have been used to detect explosives!!!
An olfactometer
Discrimination threshold Weber Fractions Taste Brightness Loudness Vibration Line length Heaviness Electric shock 0. 08 0. 05 0. 04 0. 03 0. 02 0. 01 8% 8% 5% 4% 3% 2% 1% For smell, can be as low as 5% (for n-butyl alcohol). .
Episodic odours 100% N of recall Lab vision Lab odours 60% time 1 yr RECALL OF ODOURS
HUMAN OLFACTORY ABILITIES undershirts -- 75% identify themselves -- 75% identify gender infants can identify mothers from milk smell Mc. Clintock effect (synchonized menstrual cycles) -- works through sweat
THREE PARTS TO SMELL SYSTEM 1 --- OLFACTORY 2 --- VOMERONASAL 3 --- SOMATOSENSORY --- trigeminal --- CHEMESTHESIS --- texture, heat, irritation
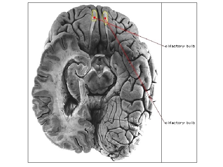
OLFACTORY BULB
The olfactory mucosa
OLFACTORY EPITHELIUM
Olfactory receptor neurones ---replaced every 60 days --- about 10, 000 (in humans) --- about 1, 000 types olfactory receptors (on the olfactory receptor neurones) --- about 1, 000 types olfactory binding proteins --- delivers odorants to receptor neurones.
Figure 15. 5 (a) A portion of the olfactory mucosa. The mucosa contains 350 types of ORNs and about 10, 000 of each type. The red circles represent 10, 000 of one type of ORN, and the blue circles, 10, 000 of another type. (b) All ORNs of a particular type send their signals to one or two glomeruli in the olfactory bulb.
CONVERGENCE
The olfactory receptor protein is a ‘G’ protein. It crosses the membrane 7 time. Similar to the VISUAL PIGMENT. There about 1000 variations.
A bishop’s mitre
Olfactory receptor Neurones Mitral cells Granule cells
ZONES of the OLFACTORY MACULA & glomerulus
GLOMERULI -- balls of tangled connections between MITRAL cells and OLFACTORY RECEPTOR NEURONES. -- four zones (from macula) -- convergence (about 1, 000 to 1) -- olfactory receptor types kept organized -- properties sharpened by lateral inhibition -- send information to ANCIENT paleocortex
Figure 15. 9 (a) The underside of the brain, showing the neural pathways for olfaction. On the left side, the temporal lobe has been deflected to expose the olfactory cortex. (Adapted from Frank & Rabin, 1989).
mitral cells in the olfactory bulb conscious discrimination piriform cortex olfactory receptor neurones thalamus orbitofrontal cortex emotional response amygdala
thal amu s emotional response conscious discrimination Figure 15. 10 Flow diagram of the pathways for olfaction. (From Wilson and Stevenson, 2006)
Coding
putrid fragrant ethanol burned spicy resinous HENNING SMELL PRISM
Figure 15. 2 (a) Two molecules that have the same structures, but one smells like musk and the other is odorless. (b) Two molecules with different structures but similar odors.
Figure 15. 6 Recognition profiles for some odorants. Large dots indicate that the odorant causes a high firing rate for the receptor listed along the top; a small dot indicates a lower firing rate for the receptor. The structures of the compounds are shown on the right. (Adapted from Malnic et al. , 1999. )
Codes in olfactory receptors fibres chemicals across-fibre pattern coding
This sort of coding means you can distinguish many smells at once
ZONES of the OLFACTORY MACULA & glomerulus
GLOMERULAR LAYER OF OLFACTORY BULB (hot spots)
Two similar compounds. Radioactive deoxyglucose. … so there is an element of mapping there too
Olfactory receptor Neurones Mitral cells Granule cells
MULTIMODAL INFLUENCES
smell and taste
Multi-modal convergence in the ORBITOFRONTAL CORTEX
Neurone 1 Neurone 2 Orbito-frontal cortex: bimodal cells
cognitive factors: same chemical, different responses
PHEROMONES & the VOMERONASAL system
VOMERONASAL SYSTEM
VOMERONASAL SYSTEM
VOMERONASAL SYSTEM
SUMMARY Functions of smell; Emotional content PATHWAYS Olfactory binding protein Olfactory receptor neurones Glomerulus of mitral cells convergence, lateral inhibition, zones Ancient paleocortex (piriform) Amygdala Thalamus Orbitofrontal cortex CODING Across-fibre pattern coding, some mapping Increased specificity of cells in cortex MULTISENSORY Visual, taste, olfaction, somatosensory VOMERONASAL Accessory olfactory bulbs; brainstem projection; pheromones
Introduction to hearing under 2220_10 Speech under 3270_(speech)
KEYWORDS -- SMELL I olfactory binding protein, olfactory receptors cells continuously regenerate (about every 60 days), cilia (on olfactory receptor cells), glomerulus (contact zones between receptor cells and mitral cells: plural glomeruli), convergence (1, 000: 1), mitral cell, olfactory tubercle of entorhinal cortex (part of paleocortex), medial dorsal nucleus of thalamus , olfactory neocortex paleocortex associated with limbic system, limbic system associated with emotions (electrical stimulation causes sham rage), limbic system associated with memories (H. M. had lesions here and lost the ability to memorize things), no topographic mapping in olfactory cortex (unusual), some hot spots in olfactory tubercle and on olfactory mucosa
KEYWORDS -- SMELL II odour quality, no primaries identified in olfactory system, poor tuning of receptors (to chemicals or chemical types) (sharpened by lateral inhibition, inhibitory interneurones, granule cells), Henning smell prism, stereochemical theories based on lock and key partially successful, BUT no receptor sites identified, similar shaped molecules can be associated with different smell perceptions cells broadly tuned (responding to many different chemicals associated with many different smells) coding intensity= firing rate/recruitment, quality = distributed pattern code, problems in identifying many smells at once, binding problem
KEYWORDS -- SMELL III odour thresholds, olfactorium; unique technical problems!, humans very sensitive (eg. mercaton can be detected at 1 part per 50, 000, 000), affected by gender; can be affected by menstrual cycle, affected by age adaptation, thresholds raised (by exposure), masking (by other chemicals), some cross effects: eg. adapting to orange affects smell of lemons identification, can identify gender from shirt, prefer own odours, odour memories long lasting; associated with emotions (via limbic system) "designed not to forget”, pheromones, releasers (immediate effect), eg. bitch on heat, territorial markers, humans? , Mc. Clintock effect (synchronized menstrual cycles), primers (longer term) eg. mice need males around for proper oestrus cycles
KEYWORDS -- SMELL IV PATHWAYS olfactory receptor cells to mitral cells in olfactory bulb to olfactory tubercle in paleocortex THEN 1 to medial dorsal thalamus to olfactory cortex (ORBITOFRONTAL CORTEX) 2 to limbic system 3 brain stem pathways associated with pheromones ALSO inhibitory pathway (via inhibitory interneurone: granule cells) from one olfactory bulb to the other to do with detecting the DIRECTION from which a smell originates