Sensation and Perception Sensation your window to the






















































































































































































- Slides: 182
Sensation and Perception Sensation: your window to the world Perception: interpreting what comes in your window.
Sensation • Sensation – process of detecting a stimulus through sensory receptors and the nervous system. • Process of sensing our environment through taste, sight, sound, touch and smell • Example: – Hearing Mrs. Joseph speak, the sound waves travel to the ears. The hair on the cells in the cochlea help transmit the information to the brain – Prosopagnosia – face blindness • All sensation, no perception
Bottoms-up Processing • Bottoms Up Processing (AKA - Feature analysis) • Begins with the sensory receptors and works its way up to the brain • Use the features of the object itself to process the information • Examples: – seeing the individual fruits in this picture – Hearing a voice speak about AP Psych
• Find the following hidden items: • Scissors • Banana • Screwdriver • Horn • Heart • fish • boat • Shoe • needle
Perception • Perception – process by which we select, organize, and interpret sensory information to recognize meaningful objects and events – Based on our prior experiences and expectations • Example: – Seeing letters on a page (sensation)interpreting them as our favorite passage in a novel (perception)
Top Down Processing • Top Down Processing information from the senses with higher level mental processes using our experiences and expectations • Using your background knowledge to fill in the gaps • Examples: – Seeing the face in the picture made up of fruit – I _ope yo_ get an 5 on t_ _ A _e_am – Negative expectations about the pain of childbirth can increase pain during the birthing process
• Aoccdrnig to a rscheearch at an Elingsh uinervtisy, it deosn’t mttaer in what oredr the ltteers in a word are, th olny iprmoetnt tihng is that frist and lsat ltteer is at the rghit pclae. The rset can be a toatl mses and youcan still raed it wouthit a porbelm. This is bcuseae we do not raed erveylteter by it slef but the word as a wlohe.
Selective Attention • Selective Attention - Ability to focus our conscious awareness on a particular stimulus • Example: Cell phone usage while driving a car
Selective Attention Example
The Stroop Effect • Stroop Effect – the difficulty attending to the color because of the interference with the meaning of the word
Cocktail-party phenomenon • cocktail party effect - ability to focus one's listening attention on a single talker among a mixture of conversations and background noises, ignoring other conversations. • Form of selective attention. • Example: – You are at the football game and are cheering for the Comets when you hear Ms. Short call your name
Inattentional Blindness • Inattentional Blindness – failing to see visible objects when our attention is directed elsewhere – Example: • Change Blindness • Choice Blindness • Change Deafness
Selective Inattention • Change Blindness - Falling to notice changes in the environment – Example: Man providing directions to a construction worker fails to notice construction worker has been replaced when people interrupt them with a door. – Failing to notice the curtains changing color in the Gorilla experiment – Choice Blindness - failure to notice a switch in a choice that is made • Example: Participants asked to pick between two photographed faces, when photographs are switched… – Change deafness – failure to notice a change in voices that are speaking • Example: Listening to Mrs. Joseph speak, failure to notice that Mrs. Harvey is now speaking
Change Blindness
Choice Blindness
Pop Out Effect • Pop out – stimuli we don’t chose to attend to but they draw our eyes and demand our attention • Example: Picture on the left
Researchers found that 40% of people focused on repeating a list of challenging words, failed to notice a change in the person speaking. This illustrates 1. Top Down Processing 2. Bottoms up Processing 3. The Difference Threshold 4. Change Deafness 5. Perception
You typically fail to consciously perceive that your own nose is in you line of vision. This illustrates 1. Subliminal perception 2. Change blindness 3. Perception 4. Selective Attention 5. The cocktail party effect
The ability to pay attention to only one voice at a time is called 1. Subliminal perception 2. Change blindness 3. Perception 4. The cocktail party effect 5. Choice blindness
Learning Target Students will explain 4 concepts of Thresholds including: Absolute Threshold • Signal Detection Theory • Difference Threshold • Sensory Adaptation
Psychophysics • Psychophysics – a branch of psychology that studies the stimuli human’s can detect (sensation) and its effect on our psychological experience (perception) • Example: Stimulus is parallel RR Tracks, we perceive them as converging.
Thresholds • Absolute threshold – minimum stimulation needed to detect a stimulus (light, sound, pressure, taste or order) 50% of the time • Examples: Light A candle flame at 30 miles on a dark, clear night. Sound The tick of a mechanical watch under quiet conditions at 20 feet. Taste One teaspoon of sugar in two gallons of water. Smell One drop of perfume diffused into the entire volume of a three-bedroom apartment. Touch The wing of a bee falling on your cheek from a distance of one centimeter.
Absolute Threshold
Signal Detection Theory • Signal Detection Theory Predicts how and when we detect a signal amid background noise • Assumes no absolute threshold • Detection depends partly on a person’s experience, expectations , motivation and alertness…people respond differently to same stimuli • Example: Enemy submarine,
Think Pair Share You are having a party at your home (post COVID), and your friends start saying they are hungry and you should order pizza. You, of course are a great host, and oblige. You all proceed to enjoy the party, while you are awaiting the pizza and your doorbell to ring. 1. Explain a hit, miss, false alarm and correct rejection 2. Explain under what circumstances you would or would not detect the pizza’s arrival
Difference Threshold (AKA Just Noticeable Difference) – the amount a change needed in a stimulus (stronger or weaker) for us to recognize the change has occurred • the greater the intensity (ex. , weight) of a stimulus, the greater the change needed to produce a noticeable change. • Example: – The point at which you notice a light on a dimmer switch getting brighter or your mother turning down the volume on the TV
Weber’s Law • Weber’s Law (Related to JND) - For people to really perceive a difference, the stimuli must differ by a constant "proportion" not a constant "amount". • Proportion varies depending on the stimulus
Weber’s Law • JND - smallest difference needed to detect a change – – Pitch =. 003 Loudness =. 10 Saltiness =. 20 Light =. 08 • Example: – JND for a 10 oz weight = 1 oz. To notice a 50 oz weight would be 5 oz – JND for a 10 decibel sound =. 10 decibels. To notice a sound of 30 decibels would be _______?
Sensory Adaptation • Sensory Adaptation Diminished sensitivity as a consequence of constant stimulation • Example: Jumping into a cold swimming pool, doesn’t feel cold after a while Stop noticing the sound of the highway or a busy street near your home
Warm-up Use Signal Detection theory to explain a hit, miss, false alarm and correct rejection for a doctor who is examining a patient who might have cancer. How do experiences, expectation, motivation and alertness influence the doctors absolute threshold
Which theory emphasizes that personal expectations and motivations influence the level of absolute thresholds? 1. Signal detection theory 2. Just noticeable difference 3. Weber’s law 4. Bottoms-up theory 5. Tops-down theory Table
After listening to the television for 10 minutes, you fail to notice how loud the volume is. This is an example of 1. 2. 3. 4. Weber’s Law Habituation Sensory adaptation Just noticeable difference 5. Absolute threshold Table
Which theory emphasizes that personal expectations and motivations influence the level of absolute thresholds? 1. Signal detection theory 2. Just noticeable difference 3. Weber’s law 4. Bottoms-up theory 5. Tops-down theory Table
Julie’s book bag is twice as heavy as Chandler’s. If it takes 3 extra books to make Chandler’s feel heavier, how many books will it take to make Julie’s feel heavier? A. B. C. D. E. 1 2 3 5 6
Subliminal Stimulation • Subliminal – below one’s absolute threshold for conscious awareness • Example: – Listening to tapes in your sleep to get you to lose weight • Priming – increased sensitivity to certain stimuli due to prior experience usually outside conscious awareness – Masking – presenting a visual stimulus immediately after another briefly flashed stimulus in order for the first stimulus to unconsciously perceived – Example: briefly flashing a kitten, then pictures of faces, participants rated the faces more attractive, than if a dead body was flashed
Do Subliminal Messages work? • Some people do respond to stimuli below the absolute threshold, under some circumstances. – Priming can briefly influence preferences or perceptions – Complex behaviors are NOT influenced by subliminal messages ■ drug addictions, shoplifting
Subliminal messaging vs. Priming • Why the difference between priming studies and subliminal message studies? – priming: immediate, short-term effect on simple judgments and actions – subliminal messages: aim for long-term effects on consumer purchases, voter sentiment, or even suicide – most studies not proven to provide long term effects
The Eye
Energy v. Chemical senses Energy Senses Chemical Senses
Transduction • Transduction -Transforming stimulus energy (signals i. e. light rays, sound waves etc. ) into neural impulses • an action potential. • Each sense has its own process of transduction • Information goes from the senses to the thalamus , then to the various areas in the brain. • Example: Converting Light Rays into neural messages Remember Ethan in Sky High. He changes his body to slime. Solid form to liquid form. Transduction is changing from one form of energy to another.
Vision • Our most dominating sense. • Visual Capture – tendency to allow visual images to dominate our perception • Example: In a movie theater tend to think voices are coming from the screen, rather than the speakers
Phase One: Gathering Light reflecting off an object - The surface of the red apple absorbs all of the colored light rays except red. It reflects red to the eye, so the apple is perceived as red.
The Stimulus Input: Light Energy • Wavelength – distance from one wave to the next • Determines hue (color)
Phase One: Gathering Light HUE • Hue - The length of the wave gives us it’s hue (color). • ROY G BIV Example: • Red = longest wavelength • Blue-violet = shortest wavelength
The Physical Property of Waves Intensity • Intensity - the amount of energy in a light wave, determined by amplitude or height • Height of a wave gives us it’s intensity (brightness). Example: The higher the height, the brighter the color • The lower the height, the duller the color
Hue and Amplitude
Phase Two: Getting the lightwaves in the eye
The Eye Cornea – protects the eye and bends light Iris – ring of muscle tissue that controls the size of the pupil opening Pupil – small adjustable opening in the center of the eye which light enters � Dilation of the pupil allows more light to reach the periphery of the retina where the rods are located so you can see in dim light Lens – transparent structure that focuses light onto the retina � Accomodation - process by which the lens changes shape (curvature and thickness) to focus near or far images on the retina Retina – light sensitive, inner membrane of the eye containing rods and cones where the process of transduction occurs. Fovea is located here.
• Rods - receptor cells – – Retina Black, white, gray sensitive Peripheral vision Twilight, Night vision Sensitively to dim light - High • Cones – receptor cells – – – Color sensitive – distinguish different wavelengths of light central vision Daylight, well-lit Fine detail Sensitivity to dim light - Low • Fovea - center of the retina where most cones are – Sharp, detailed vision – needed for reading, driving or any activity where detail is important – Contains only CONES
Rods versus Cones Example: Peripheral vision and color vision
Optic Nerve • Optic Nerve – nerve that carries neural impulses from the eye to the brain • Blind Spot – point at which optic nerve leaves the eye – Blind spot = no receptor cells • Example: Pg. 127 in textbook Black dot and red car
Phase III: Transduction Overview: cornea, iris, pupil, lens, retina, bipolar cells, ganglion cells, optic nerve, thalamus, occipital lobe, visual cortex, feature detector cells.
Transduction 1. Rods and Cones convert light energy to neural impulses = transduction (an action potential occurs) 2. Rods and cones synapse with neurons called bipolar cells located in the retina – – Cones hotline to the brain Direct link between single cone to bipolar preserves fine detail of cones message 3. Bipolar Cells transmit to ganglion cells (another type of neuron) whose axons form the Optic Nerve) 4. 1/2 axons in optic nerve crisscross (called optic chasm) sending impulses to opposite side of brain
Visual Problems • Farsighted – cornea too flat or distance from cornea to retina too short • Nearsighted – cornea too curved or distance from cornea to retina too long • Astigmatism – irregularly shaped cornea (like a football instead of a baseball
Rank the following from most important to least important --What do you think is the most important part of the eye? Why? Least important? Why • Cornea • Pupil • Iris • Lense • Retina • Rods • Cones • Fovea • Optic Nerve
Light wave amplitude determines its 1. Intensity of color 2. Color hue we experience 3. Firing of rods in the retina 4. Curvature and thickness of the lens 5. Parallel processing of a scene Table
The distance from one light wave to the next determines 1. 2. 3. 4. 5. Intensity Amplitude Hue Absolute threshold Transduction Table
The amount of light entering the eye is regulated by the 1. 2. 3. 4. 5. Lens Iris Retina Optic Nerve Feature Detectors Table
Objects are brought into focus on the retina by changes in the curvature and thickness of the 1. 2. 3. 4. 5. Rods and cones Lens Bipolar cells Optic nerve Cornea Table
The receptor cells that convert light energy into neural signals are called 1. 2. 3. 4. 5. Bipolar cells Ganglion Cells Rods and cones Lens Iris Table
The most light-sensitive receptor cells are the 1. 2. 3. 4. 5. Bipolar Cells Ganglion Cells Rods Cones Iris Table
Phase IV: In the Brain Example: Feature Detector cells – allow you to see the lines, motion, curves and other features of this turkey. • Thalamus to Occipital lobe to Visual Cortex to… • Feature Detectors – nerves cells in the brain that respond to specific features – edges, lines, angles and movement – Example: Turkey • Supercell clusters – teams of cells that fire in response to complex patterns – Example: Perceiving Faces
Think Pair Share • What are the receptor cells in the eye? • What is the difference between a rod and a cone? • Why are rods and cones so important to the process of seeing? • Explain how light travels through the eye up to the brain (be sure to include ALL of the steps) • What is the role of Feature Detectors and who discovered them?
Parallel Processing - Vision Parallel Processing – brain simultaneously process stimulus elements Example: Visual cortex allows you to simultaneously see the color, form, depth, and motion of a rhino charging you Blindsight – localized area of blindness in part of their field of vision caused by damage to visual cortex while unconscious visual processing in other brain areas are not damaged Example: Can’t perceive your textbook on your desk but you can read the title
Color Vision • Two Major Theories: 1. Trichromatic 2. Opponent Process • Both are valid in explaining color vision
Trichromatic Theory/ Young-Hemholtz Theory Trichromatic Theory Three types of cones: • Red • Blue • Green • These three types of cones can make millions of combinations of colors. • Explains color blindness • Does not explain afterimages
Opponent-Process Theory Opponent Process Theory - The sensory receptors come in pairs. • Red/Green • Yellow/Blue • Black/White • If one color is stimulated, the other is inhibited. • Opponent process cells are located in the thalamus Example: Afterimages
Afterimages
Which of the following types of cells are located in the brain's occipital lobe? 1. 2. 3. 4. 5. Rods Cones Ganglion Cells Bipolar Cells Feature Detector Cells
The human ability to speedily recognize familiar objects best illustrates the value of 1. Accomodation 2. Parallel Processing 3. Subliminal Stimulation 4. Sensory Interaction 5. Difference Threshold
Experiencing a green afterimage of a red object is most easily explained by 1. Opponent process theory 2. Gate control Theory 3. Place Theory 4. The Young Helmholtz Theory 5. Frequency Theory
Hearing, Touch, Taste and Smell
Hearing Audition – the sense of hearing
Frequency of Sound Waves • Frequency - the number of the waves gives us the pitch if the sound. Example: short wavelength = high pitch; long wavelength = low pitch
Amplitude of Sound Waves • Amplitude - the height of the wave = loudness of the sound Example: High height = loud noise; low height = soft noise
Absolute Threshold • Absolute Threshold = zero decibels • 10 decibels = 10 X increase in sound intensity • Example: – A 30 decibel sound is _____ times louder than a 10 decibel sound • 10 X 10 = 100 – A 40 decibel sound is _____ A rock concert is ______ times louder than a 10 times louder than normal decibel sound • 10 X 10 = 1000 Conversation
Parts of the Ear
Transduction • Overview – Pinna, Auditory Canal, Eardrum, Hammer, Anvil, Stirrup, Oval Window, Cochlea, Auditory Nerve, Thalamus, Temporal Lobe, Auditory Cortex 1. Outer Ear - Pressure waves to … Pinna, Auditory Canal, 2. Middle Ear –Ear Drum – tight membrane that vibrates with sound waves. Transmits sound to the bones of the middle ear. Produces Mechanical waves from… hammer, anvil, stirrup (ossicles) to cochlea’s oval window 3. Inner Ear – oval windows produces Fluid waves in… Cochlea – coiled fluid filled tube where transduction occurs vibrations cause basilar membrane’s hair cells (Cillia) also known as the Organ of Corti to turn vibrations into neural impulses 4. Auditory Nerve – sends neural messages to thalamus. It is all about the 5. Thalamus to Temporal lobes to Auditory cortex vibrations!!!
The structure of the ear Mechanical vibrations triggered by sound waves are transduced into neural impulses by _______? _______ do the same job for vision as _____ do for audition
Neural impulse to the brain
Perceiving Loudness – # of activated hair cells allows us to perceive loudness – If hair cells lose sensitivity to soft sounds can still respond to loud sounds – Compression – amplify soft sounds and not loud • Hearing aids produce compressed sound
Pitch Theories Place Theory and Frequency Theory
Place Theory or Herman von Helmholtz Theory • Place Theory - Brain determines pitch by recognizing the place on the membrane that is generating the neural impulse • Best explains how we sense high pitches • Example: High frequencies produce large vibrations at beginning of cochlear membrane
Frequency Theory • Frequency Theory - Brain knows pitch by the frequency of the neural impulse – Frequency (speed) of sound wave matches the speed of the neural impulse. • Theory limitations: Can’t explain high pitch sounds (neural impulses can only travel at 1000 impulses per sec. ) • Best explains how we hear low pitches • Example: Frequency of sound wave = 100 waves per second, then 100 impulses per sec. travel to the auditory nerve
Volley Principle • Volley Principle. Neural cells alternate firing in rapid succession • Can achieve a combined frequency of above 1000 waves/sec
Locating Sound • Sound waves strike one ear sooner and more intensely in the direction of the sound
Think Pair Share • A musician is walking home alone late one night and is startled when a dog in a yard to his left barks unexpectedly – How does he know the sound is on his left – Using the two theories of pitch perception explain how the brain might process the pitch of the dog’s bark.
Deafness Conduction Deafness - Nerve (sensorineural) Deafness • Damage to the mechanical • The hair cells on the basilar system that conducts membrane in the cochlea get vibrations in the middle damaged. ear (hammer, anvil, • Loud noises can cause this stirrup)…. or eardrum type of deafness. • You can replace the bones • NO WAY to replace the hairs. of the inner ear through • Cochlea implant - converts surgery sound waves to into electrical signals. • Example: Punctured Eardrum with a • Example: Old age, prolonged Q-tip, Old age exposure to loud noises
Think Pair Share • Dog scenario again - A musician is walking home alone late one night and is startled when a dog in a yard to his left barks unexpectedly. – Using the two theories of pitch perception explain how the brain might process the pitch of the dog’s bark. – Explain how the musician would know that the bark originated to his left without even seeing the dog.
Compare the eye to the ear Eye Ear Frequency hue pitch Amplitude Brightness loudness Transduction Retina Cochlea Receptor cells Rods and cones Hair cells Path to brain Cornea, Iris, Pupil, Lens , Retina, Rods and Cones, bipolar cells, ganglion cells, optic nerve, thalamus, occipital lobe, visual cortex, feature detector cells, cerebral cortex/supercluster cells Pinna, auditory canal, eardrum, hammer, anvil stirrup, cochlea, basilar membrane hair cells, auditory nerve, thalamus, temporal lobe, auditory cortex Theories Opponent-Process Trichromatic Frequency Pitch Volley principal
The loudness of a sound is determined by what? 1. The frequency of a sound wave 2. The amplitude of a sound wave 3. The pitch of a sound wave 4. The decibel level of a sound wave 5. The vestibular level of a sound wave Response Counter
Which theory best explains how we perceive low-pitched sounds? 1. Place theory 2. Opponent process theory 3. Frequency Theory 4. Gate Control Theory 5. Young-Hemholtz Theory Response Counter
Cones and rods are to vision as ____ are to audition. 1. 2. 3. 4. 5. Eardrums Cochleas Oval windows Hair cells Semicircular canals Table
Touch • Receptors located in our skin. • Types of touch –Pressure* –Warmth –Cold –Pain • Sensation of hot
Kinesthetic Sense • Kinesthetic Sense - Tells us where our individual body parts are. • Receptors located in our joints, tendons, bones and ears • Example: Playing volleyball you know where your limbs are located to hit, pass, set or run to the ball • Proprioseption – loss of Kinesthetic sense. Can only move body when they can see their body parts Without the kinesthetic sense you could not touch the button to make copies of your buttocks.
Vestibular Sense • Vestibular Sense Enables you to sense your body position and balance • Located in our semicircular canals in our ears. • Example: Spinning around in a chair, you lose your vestibular sense
Pain • Biological Influences – Nociceptors – sensory receptors that detect hurtful temperatures, pressure or chemicals – – • Located in skin, joints & tendons, organs Gate-control theory* Endorphins - gene Phantom limb sensations Tinnitus • Psychological influences – Distraction – Memory of Pain – peak pain, end pain • Socio Cultural Influences – More pain when others experience pain – Mirror neurons that empathize with others pain
Gate Control Theory • Gate Control Theory – spinal cord contains a “gate” that blocks pain signals or allows them to pass through to the brain • Example: – Opened by small nerve fibers = pain sent – Closed by large nerve fibers = pain not sent
The pain circuit
Taste aka Gustatory Sense • Sweet, sour, salty and bitter – Umami • Taste buds – Chemical • Taste is Adaptive • Declines with age – Smoking, alcohol sense
Taste • Bumps on our tongue are called papillae. • Taste buds are located on the papillae 200+ each containing a pore. • Pore – 50 -100 taste receptor cells that sense food molecules
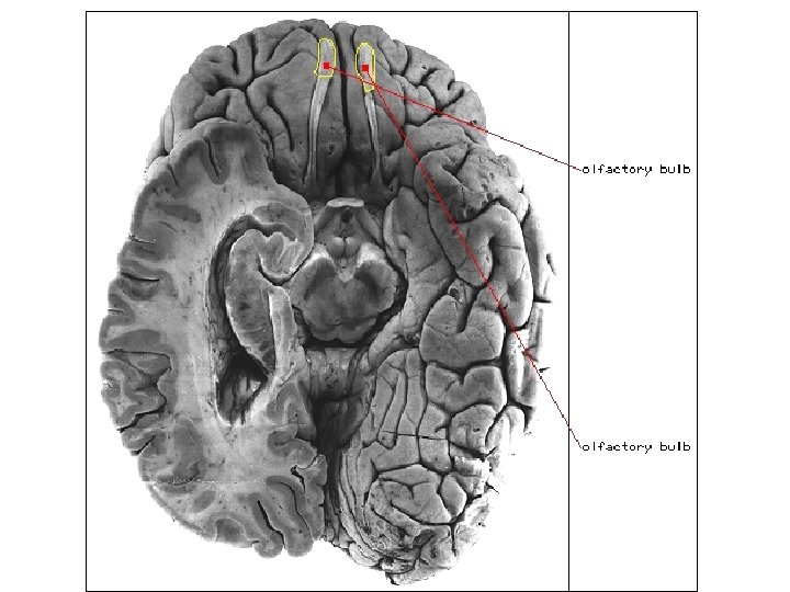
Smell • Olfaction – Chemical sense – Olfactory receptors - odor molecules fit into receptors like a lock and key located in the olfactory bulb – Olfactory bulb – transmits smell from the nose to the brain – Olfactory nerve – sends neural messages from the olfactory bulb directly to the olfactory cortex in the brain bypassing the thalamus – Olfactory cortex – receives information from the olfactory bulb • Conscious awareness of odors • Identification of odors – Hotline between olfactory cortex and limbic system (memory and emotion)
Smell (olfaction)
Smell and age
Sensory Interaction • Sensory interaction – some senses influence others • Examples: Jello in the shape of a brain looks so unappetizing, it tastes terrible too Mc. Gurk Effect – seeing mouth movements for ga, but hearing ha, we may perceive da (saying one syllable, while hearing another, you perceive a third)
The semicircular canals are most directly relevant to 1. 2. 3. 4. 5. Hearing Kinesthetic Sense Pain Vestibular Sense Accomodation Table
Alex tickles his brother by stroking adjacent ____ spots on his skin. 1. 2. 3. 4. 5. Pressure Warmth Cold Pain Kinethesis Table
Taste and smell are both what kind of senses? 1. 2. 3. 4. 5. Vestibular Kinesthetic Energy Chemical Perceptual Table
Which theory suggests that large-fiber activity in the spinal cord can prevent pain signals from reaching the brain? 1. Signal Detection Theory 2. Gate Control Theory 3. Young-Helmholtz Theory 4. Place Theory 5. Opponent Process Theory Table
Perception
Perception • The process of organizing, and interpreting sensory information enabling us to recognize meaningful objects and events • Example: – 7’ 9” vs. 6’ 9”
Top Down Processing • Processing information from the senses with higher level mental processes using our experiences and expectations • Using your background knowledge to fill in the gaps • Examples: – Closure Happy Birthday to you, happy birthday dear Aaron, happy birthday to…
Gestalt Psychology • Gestalt - mind tends to perceive objects as a unified wholes rather than the bits and pieces that make up those wholes and patterns. – Whole exceeds the sum of the parts • Examples: – Figure ground – Grouping Necker cube – Do you see circles with white lines or a cube? Do you see the x in the center in the front edge or the back?
Figure Ground Relationship Figure –ground – organization of the visual field into objects (figure) that stand out from their surroundings (ground) Example: At an assembly, Ms. Short speaking is the figure, people, curtain etc. on stage behind her is the ground
Grouping – tendency to organize stimuli into coherent groups and not isolated elements. • Examples – pictures on the right closure
Grouping • Proximity - group objects that are close together as being part of same group • Example – three girls standing in the hallway next to each other • Similarity - objects similar in appearance are perceived as being part of same group • Example – black toy poodles and red toy poodles are seen as two different groups of dogs • Continuity - objects that form a continuous form are perceived as same group • Example – grout between tiles is seen as a single straight line • Connectedness – objects that are uniform and linked are perceived as a single unit • Example – beads on a necklace • Closure - how humans fill in visual gaps in order to perceive disconnected parts as a whole object. • Example – IBM Logo
The perceptual tendency to group together stimuli that are near each other is called 1. 2. 3. 4. 5. Interposition Proximity Similarity Closure Retinal Disparity Table
A floating sea vessel is to the ocean water as ______ is to _______. 1. Light and shadow; relative height 2. Closure; continuity 3. Proximity; similarity 4. Top down; bottoms up 5. Figure; ground Response Counter
Depth Cues • Depth Perception – visual ability to see the world in 3 -D even though images strike retina in 2 -D – Ability to perceive the distance to an object
Depth Perception Development of Depth Perception in Humans • Is depth perception innate or gained through experience? • Visual Cliff Experiment Eleanor Gibson • Depth perception is partially innate • Crawling experience helps with depth perception
Depth Perception Cues • Binocular cues – depth • Monocular cues – depth cues that depend on cues that need only one the use of two eyes. eye • Used to judge distance of object up of object far away close. from you • Examples: – Retinal Disparity – Convergence – – – – Interposition Relative size Linear Perspective Relative height Texture gradient Shadowing Relative Motion Parallax
Binocular Cues • Binocular cues – both eyes are needed to judge the distance of an object that is close to us • Examples: • Retinal Disparity - the difference between the visual images that each eye perceives because of the different angles in which each eye views the world. – as an object comes closer to us, the differences in images between our eyes becomes greater. • 3 -D Movies – simulate retinal disparity • Convergence - as an object comes closer our eyes have to come together to keep focused on the object.
Monocular Cue Interposition - closer objects cut off the view of part or all of a more distant one
Monocular Cues Relative size - the smaller of two objects is perceived as farther away
Monocular Cue Relative Height - objects higher in our field of vision furthest away
Monocular Cue Linear Perspective - provides a cue to distance when parallel lines seem to converge in the distance
Monocular Cue Texture Gradient - closer objects have a more distinct texture and farther away objects appear more densely packed and smooth
Monocular Cue Light and Shadow - brighter ones seems closer and dimmer one seems further away
Monocular Cue Relative Motion/Motion Parallax - objects beyond the fixation point appear to move with you, objects in front of the fixation point appear to move backward
Motion Parallax • Motion Parallax - nearby objects seem to pass by more quickly than do more distant objects
Which of the following is most helpful in perceiving the distance of objects far away from you? 1. 2. 3. 4. 5. Retinal Disparity Phi phenomenon Monocular Cues Convergence Perceptual Adaptation
Which of the following is a monocular cue? 1. Retinal Disparity 2. Perceptual Set 3. Perceptual Adaptation 4. Interposition 5. Convergence
Which of the following is a binocular cue for the perception of distance? 1. 2. 3. 4. 5. Interposition Size Constancy Linear Perspective Relative Height Convergence
How many monocular cues can you find? List and explain them
Muller-Lyer Illusion Which line in the longest?
Muller-Lyer Illusion - occurs because of depth perception cues. When the fins are pointing in toward the shaft of the line, we perceive it as sloping away much like the corner of a building. This depth cue leads us to see that line as further away and therefore shorter.
Perceived Motion • Perceived Motion by the changing size of the image on our retina – objects retreating are getting smaller, enlarging objects are approaching. • Stroboscopic effect – continuous movement in a rapid series of slightly varying images – Example: animated film • Phi phenomenon – an allusion created when two or more adjacent lights blink on and off in quick succession • Example: Blinking Christmas Lights
Constancy • Perpetual constancy – perceiving objects as unchanging even as illumination and retinal images change • Objects change in our retina constantly as we or they move…. but we are able to maintain content perception • Examples • • Shape Constancy Size Constancy Brightness Constancy Color Constancy
Perceptual Constancy • Shape constancy – perceive objects as having a constant shape even though the shape of the object on our retina changes
Perceptual Constancy • Shape Constancy illusion– some times we perceive the shape of something to change with the angle of our view
Perceptual Constancy • Size constancy – perceive objects as having a constant size even though the size of the image on our retina changes
Perceptual Constancy • Size constancy illusion– sometimes we perceive objects as having a changing size because of the interplay between perceived size and distance Moon Illusion Ponzo Illusion
Ames Room
Ames Room
Lightness Constancy • Lightness constancy aka Brightness constancy – perceiving an object as having constant lightness even though light waves reflected change • Depends on… – Relative luminance – the amount of light an object reflects relative to its surroundings
Color Constancy • Color constancy – familiar objects are perceived to be the same color even if the light they reflect changes. • Depends on what we’re comparing it to… – Surrounding context – perceived color is influenced by its surrounding context – Surrounding objects – perceived color is influenced by its surrounding objects Example: color of these blue circles are identical. Because the brain computes the color of an object relative to its context, the perceived color changes Apple in a bowl of fruit appears to be red even if the light changes because the brain perceives (expects) it to be red.
Light Constancy refers to the fact that 1. 2. 3. 4. 5. The frequency of light waves has a fixed relationship to the brightness of the light objects are perceived to have consistent lightness even if the amount of light they reflect changes. light waves reflected by an object remain constant despite changes in illumination levels. the perceived whiteness of an object has a constant relation to its lightness. one of the depth cues involves perceiving dimmer objects as being farther away.
Although the image of a car on our retina becomes smaller as the car moves farther away, we perceive the car to as able to still hold 4 passengers. Which of the following best describes this phenomenon 1. 2. 3. 4. 5. Perceptual Set Context Effect Lightness Constancy Size Constancy Context Effects
On a cloudy day, you are likely to perceive a yellow flower as _______on a clear sunny day 1. 2. 3. 4. 5. Less colorful than Less yellow than Equally as yellow as More whiter than More yellow than
Sensory Deprivation and Restored Vision • Experiments on sensory deprivation – Brains cortical cells don’t develop normal connections to interpret visual stimuli – Critical period - specific time during which an organism has to experience stimuli in order to progress through developmental stages properly. • There is a critical period for normal perceptual development
Perceptual Adaptation Perceptual adaptation – the ability to adjust to artificially displaced or inverted visual field • Demonstrates the impact of experience on perception Example: – Displacement goggles – wearing glasses that shift the visual field from right side-up to up-side down we get used to them and adapt to seeing upside down
Perceptual Interpretation • How we interpret things…is it nature or nurture? • Experience helps us construct perception: – critical period in perception (nurture and nature) – perceptual adaptation, perceptual set, schemas, and context effects are all influenced by experience
Perceptual Set Perceptual set (aka mental predisposition) – mental predisposition to perceive one thing and not another – greatly influence what we perceive – Schemas – organized units of knowledge about objects and events –a file folder about a topic that is based on our experience. • They help us interpret unfamiliar info/ambiguous situations �Expectations, experience and assumptions affect how we interpret a situation Examples: Do we see a saxophonist or woman’s face Do we see a Lochness Monster, or a log Does pilot hear “Cheer up” or “Gear up”
Context Effects • Context effects – perceptual set can be influenced by the context (expectations and emotions, and motivations) • Examples: – eel of orange or eel of wagon – Sun Ming 7’ 9”vs. “little guy” at 6’ 9”
Perception is a Biopsychosocial Phenomenon
Humans born blind or kittens raised under restricted conditions do not have the cortical regions needed to interpret visual stimuli. Sensory restriction does not appear to do damage if it occurs later in life. This suggests that 1. a critical period exists for normal perceptual development. 2. perceptual adaptation to changed visual input can be dramatic. 3. a given stimulus may trigger widely different perceptions. 4. detecting a stimulus depends on the signal's strength and our psychological state. 5. much of our information processing occurs automatically.
Although Chris sees his teacher in school everyday, he didn’t recognize her when he saw her at Menchies. This best illustrates the importance of 1. 2. 3. 4. 5. Monocular Cues Perceptual Set Context Effects Proximity Perceptual Adaptation