Seminarios Elizabeth Inga Saavedra MIR Oncologa Mdica CASO
Seminarios Elizabeth Inga Saavedra MIR Oncología Médica
CASO Nº 1
Anamnesis • Paciente varón de 50 años. • No alergias medicamentosas. • Antecedentes Personales: ü IQ: Desviación del tabique nasal por accidente (2010) ü Ex Fumador: 1 paquete día desde hace 10 años. IPA=10 paquete/año IPA = Nº Cigarrillos diarios x Nº años/20
• • Antecedentes familiares: No refiere contacto con animales ni viajes recientes. Medicación Habitual: No refiere No existen registros anteriores de atención en urgencias.
Enfermedad actual • TE: 3 semanas • Acude al servicio de urgencias por presentar desde dolor torácico tipo punzante (hemitórax derecho) intermitente que aumenta con la respiración, no irradiado, no acompañado de síntomas vegetativos. Acompañado de disnea a medianos esfuerzos. • No fiebre, no ortopnea, no tos ni expectoración, no edemas, no pérdida de peso, no recorte de diuresis, no alteraciones del tracto intestinal, no otra clínica asociada.
SINTOMA GUIA DOLOR TORÁCICO: CARACTERÍSTICAS PLEURÍTICAS
Exploración Física TA=100/65 mm. Hg, Sat. O 2: 96%, FC: 60 lpm T=36. 6ºC BEG, VOC, eupneico en reposo tolerando el decúbito, BH y BP. Cy. C: No adenopatías ni IY. AC: ruidos cardiacos rítmicos, no soplos. AR: hipofonesis con casi abolición de mv en HT derecho, no soplo pleural. ABD: RHA presentes, blando, depresible, no dolor, no masas ni megalias. MMII: no edemas, no signos de insuficiencia venosa, no TVP.
PRUEBAS COMPLEMENTARIAS HEMOGRAMA BIOQUIMICA • Hb: 15. 8 g/dl Hto: 45 VCM: • Glucosa: 68, urea 28, Cr: 1. 04 • FGE>60, sodio 138, potasio 90 • Leucocitos: 9000 (Neutrófilos 62%) • Plaquetas: 272 000 4. 1 • Calcio 9. 3, LDH 474, CPK 100 • GOT 21, GPT 17 • Proteínas 6. 2 g/dl
COAGULACIÓN ECG • TP, TTPA normales • INR 1. 06 • Fibrinógeno: 472. • Ritmo sinusal a 75 lpm, QRS estrecho, sin alteraciones de la repolarización.
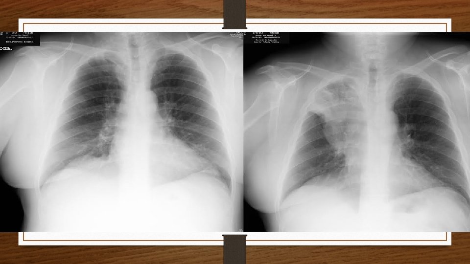
Radiografía de Tórax
TC TÓRAX
RESUMEN • Paciente varón de 50 años fumador • Dolor torácico de características pleuríticas y disnea • Exploración: hipofonesis + abolición mv • Rx + TC: Derrame pleural derecho
¿Y ahora quien podrá ayudarnos?
Toracocentesis diagnóstica 1. Diferenciar entre Trasudado y Exudado. 2. Características del Liquido Pleural (LP) CRITERIOS DE LIGHT q Cociente Proteínas en LP/proteínas es suero > 0. 5 q Cociente LDH en LP/LDH en suero > 0. 6 q LDH en LP superior a 2/3 de su valor normal en suero Presencia de uno de estos criterios identifica exudados. S=95 -100% E=7090%
Trasudado Insuficiencia cardiaca Cirrosis hepática Atelectasia Síndrome Nefrótico Diálisis peritoneal Urinotórax Embolia pulmonar Hipotiroidismo Exudado INFECCIOSO IATROGÉNICO MALIGNIDAD INFLAMATORIAS: Pancreatitis, radioterapia, urémico, Síndrome Dressler, etc. INCREMENTO DE LA PRESIÓN NEGATIVA INTRAPLEURAL ENFERMEDAD DEL TEJIDO CONECTIVO ENFERMEDADES ENDOCRINAS ENFERMEDADES LINFÁTICAS MOVIMIENTO DE FLUÍDO DEL ABDOMEN AL ESPACIO PLEURAL
LP del paciente • • • Apariencia: serohemático. Glucosa 91 Proteínas totales: 4. 9 Albúmina: 4. 1 Amilasa: 91 LDH 1107 • Hematíes: 100/ul • Predominio Mononucleares 95% PMN 5% • No se observan gérmenes • Citología: ? ? ?
LIQUIDO PLEURAL ANALITICA DE SUERO Proteínas totales: 4. 9 g/dl Proteínas totales 6. 2 g/dl LDH 1107 LDH 474 Entonces… q 4. 9/6. 2= 0. 7 q 1107/474= 2. 33 q 2/3 (1107) = 738
? ? ? Citología del LP Compatible con Carcinoma
PAAF guiada por TC Anatomía Patología Muestra: Nódulo de 2 cm en LSD asociado a derrame pleural Bordes deflecados, irregulares de elementos celulares con aumento de la relación núcleo/citoplasma y citoplasma moderado. Estos hallazgos son compatibles con carcinoma de células no pequeñas tipo adenocarcinoma.
CASO Nº 2
Anamnesis • Paciente varón de 60 años. • No alergias medicamentosas. • Antecedentes Personales: ü HTA. DM tipo 2 en tratamiento con ADO. DLP ü IQ: Prótesis de cadera derecha 2013. ü Ex Fumador: 3 paquetes día desde hace 10 años. IPA=30 paquetes año
• Antecedentes familiares: No refiere. • No refiere contacto con animales ni viajes recientes. • Medicación Habitual: Metformina 850: 1 -1 -1. Atorvastatina: 1 -0 -0.
Enfermedad actual • Acude al servicio de urgencias por presentar desde dolor torácico de predominio derecho hace un mes, no aumenta con la respiración, no irradiado, no acompañado de síntomas vegetativos. Acompañado de tos no productiva. Ha consultado varias veces en su CS siendo catalogado de dolor osteomuscular, pautándole analgesia con leve mejoría. • Desde hace una semana presenta disnea moderados esfuerzos y expectoración hemoptoica ocasional junto con edema facial/edema de cuello más llamativos a primeras horas del día.
• Su mujer ha notado cambio de tono de voz en los últimos 3 días. • No fiebre, no ortopnea, no tos ni expectoración, no edemas, no pérdida de peso, no recorte de diuresis, no alteraciones del tracto intestinal, no otra clínica asociada.
Exploración Física TA=144/68 mm. Hg, Sat. O 2: 98%, FC: 104 lpm T=36. 7ºC BEG, VOC, eupneico en reposo tolerando el decúbito, BH y BP. Cy. C: edema facial y edema cervical, IY. AC: ruidos cardiacos rítmicos, sin soplos. AR: hipoventilación campo superior derecho, sin ruidos patológicos sobreañadidos. ABD: RHA presentes, blando, depresible, no dolor, no masas ni megalias. MMII: no edemas, no signos de insuficiencia venosa, no TVP.
PRUEBAS COMPLEMENTARIAS HEMOGRAMA BIOQUIMICA • Hb: 11 g/dl Hto: 33% VCM: 76 • Leucocitos: 11000 (Neutrófilos • Glucosa: 97, urea 23, Cr: 0. 68 • FGE>60, sodio 138, potasio 70%) • Plaquetas: 463 000 4. 1 • Calcio 8. 3, LDH 419, CPK 87 • GOT 10
Radiografía de Tórax
RESUMEN • Paciente varón de 60 años fumador • Dolor torácico derecho + disnea + hemoptisis + edema facial/cervical + cambio en el tono de voz • Exploración: edema facial/cervical, hipoventilación CSD + IY • Rx: Masa en LSD (Signo de Golden) • TC Tórax: masa pulmonar LSD que se extiende a mediastino con una cava superior filiforme.
¿Qué hacer? Llamar al Oncólogo más cercano!!!
URGENCIA ONCOLÓGICA
Urgencia Oncológica: SVCS • • • Hospitalizar al paciente. Oxigenoterapia Elevación de la cabecera (permite disminuir presión venosa) Furosemida IV (vigilando la deshidratación + iones) Pauta de bolo de corticoides.
El pronóstico se establece más por el tipo histológico causante que por el desarrollo del SVCS en sí mismo, lo que refuerza la importancia de llegar a un diagnóstico etiológico correcto. 75 -85% Carcinomas de Células Pequeñas. Segundo lugar: Carcinomas epidermoides.
Broncofibroscopia AP: carcinoma no célula pequeña compatible con carcinoma epidermoide.
- Slides: 43