SEMINARIO CASOS PATOLOGIA HEMOLINFATICA SET DE CASOS CURSO

  • Slides: 29
Download presentation
SEMINARIO CASOS PATOLOGIA HEMOLINFATICA SET DE CASOS CURSO TECNOLOGIA MEDICA

SEMINARIO CASOS PATOLOGIA HEMOLINFATICA SET DE CASOS CURSO TECNOLOGIA MEDICA

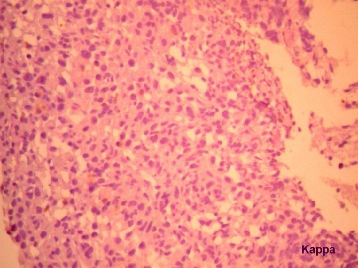
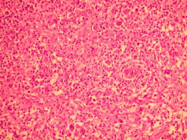
Caso 1 • Paciente masculino de 70 años, historia de dorsalgia que no responde

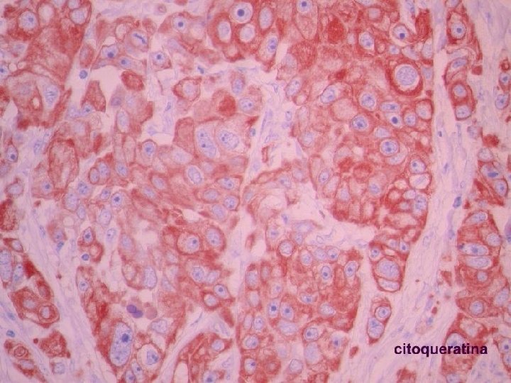
Caso 1 • Paciente masculino de 70 años, historia de dorsalgia que no responde a analgésicos, se agrega insuficiencia cardiaca. • Radiología de columna demuestra focos de destrucción ósea múltiples en cuerpos vertebrales. • Fallece por cuadro de descompensación cardiaca, en autopsia se confirma lesiones líticas de columna. • Se presenta histología y pesquisa de cadenas de inmunoglobulinas en foco lítico.

CASO 2 • Mujer de 56 años con aumento de volumen supraclavicular indoloro de

CASO 2 • Mujer de 56 años con aumento de volumen supraclavicular indoloro de semanas de evolución. • Es derivada a servicio de Cirugía para biopsia extrayéndose ganglios adheridos entre sí. • Estudio revela imagen con nódulos pulmonares a radiografía. • Se presenta hallazgos de ganglios. Se deriva a paciente a Oncología para completar estudios.

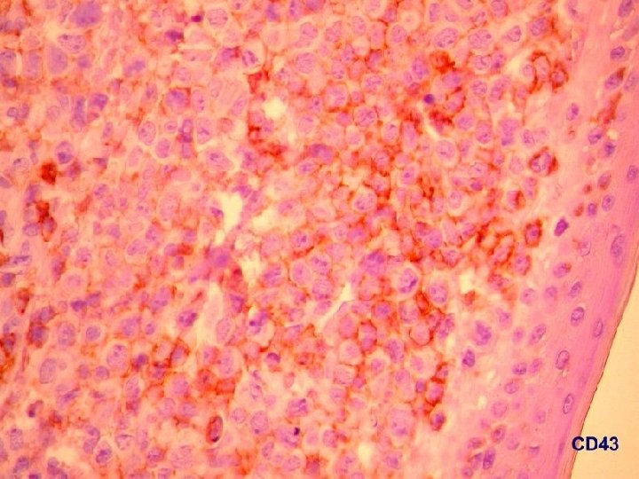
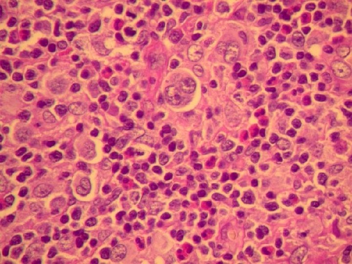
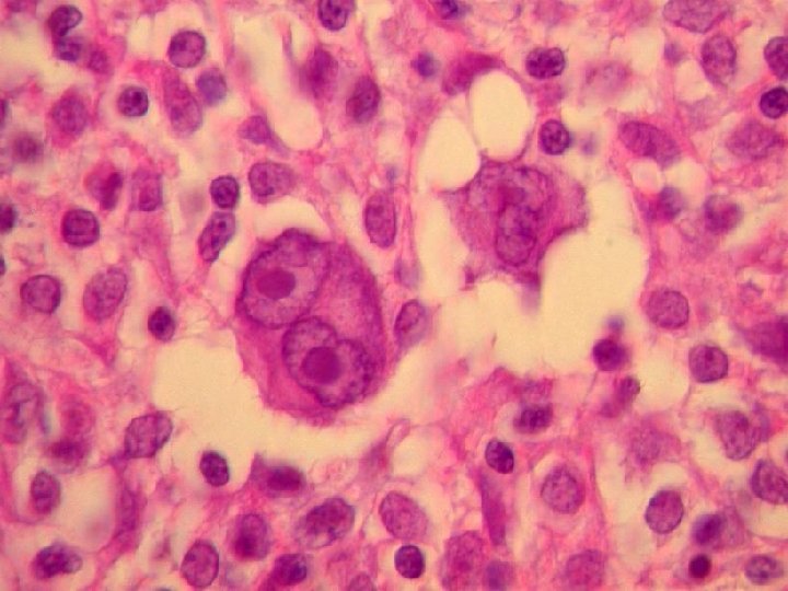
CASO 3 • Paciente masculino de 62 años, con cuadro de tos persistente y

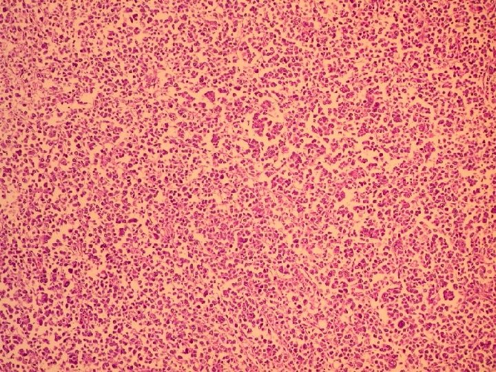
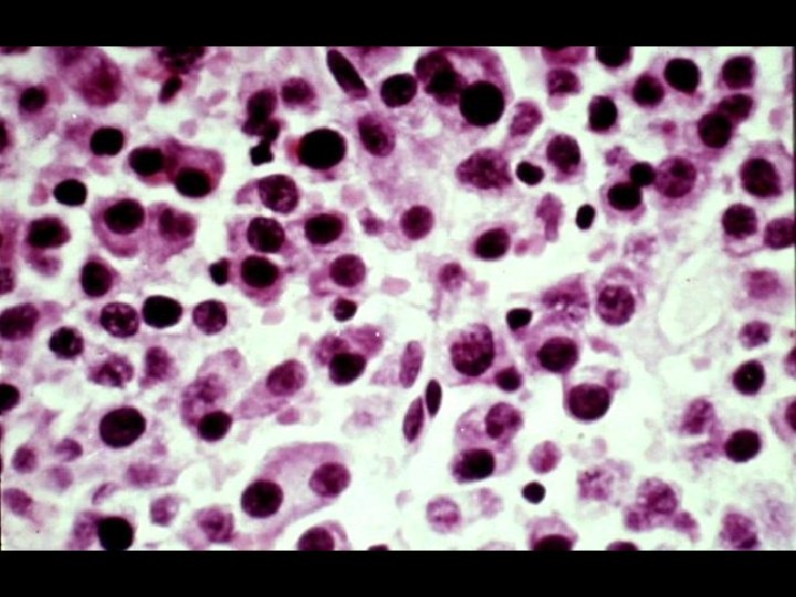
CASO 3 • Paciente masculino de 62 años, con cuadro de tos persistente y compromiso de estado general. No responde a antibiótico, radiografía sospechosa de TBC. Baciloscopías negativas. • Aparece aumento de volumen de ganglios cervicales y supraclaviculares, baja de peso y sudoración. • Es hospitalizado, con derrame pleural y trombosis venosa. • Se programa biopsia de ganglio, aparecen lesiones nodulares y papulares de piel. • Fallece en insuficiencia respiratoria. Se halla aumento de tamaño generalizado de ganglios , nódulos de pulmón e hígado de hasta 1 cm. • Se presenta lesiones e histología de ganglios y piel.

ALC

ALC

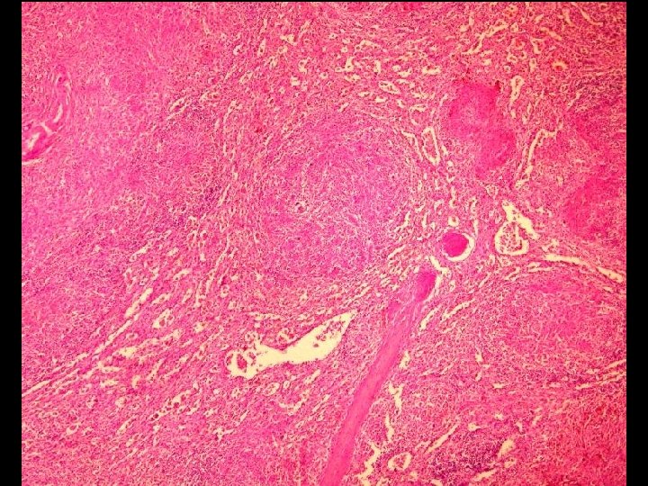
CASO 4 • Hombre de 61 años, con antecedente de irradiación de zona inguinal

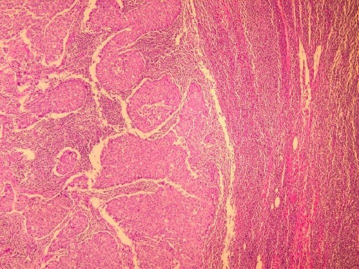
CASO 4 • Hombre de 61 años, con antecedente de irradiación de zona inguinal por tumor que no sabe precisar unos 5 años atrás. • Presenta recaída de adenopatía, realizándose estudio con ecografía abdominal. • Se comprueba esplenomegalia heterogérnea , adenopatías extensas y hepatomegalia. • Se reseca bazo , cuña hepática y ganglios, realizándose estudio histopatológico y con inmunohistoquímica. • Se muestra hallazgos en bazo.