SECCIN CLNICA DE TRAUMATOLOGA Caso clnico n 1






































- Slides: 38
SECCIÓN CLÍNICA DE TRAUMATOLOGÍA
Caso clínico nº 1 • Varón de 29 años de edad • Dolor en tobillo dcho. tras sufrir torsión casual • No alergias a medicamentos • No antecedentes médicos de interés • IQ: Septoplastia • No Tto habitual • Marinero
EXPLORACIÓN: Tobillo dcho. Dolor, deformidad e impotencia funcional en cara lateral Erosión en cara medial
Criterios a tener en cuenta ante un traumatismo de tobillo • Incapacidad para mantener el peso inmediatamente tras el traumatismo y en urgencias (4 pasos) • Deformidades, edemas y equimosis • Dolor a la palpación de eminencias óseas: 1. 6 cm distales del borde posterior o punta del maléolo lateral 2. 6 cm distales del borde posterior o punta del maléolo medial
Criterios a tener en cuenta ante un traumatismo de tobillo • Especialmente la cabeza del peroné v Grado máximo de inversión o eversión v Rotación interna o externa del astrágalo v Mayor diámetro transversal v Ruptura de los ligamentos tibio-peroneos inferiores v Diástasis tibio-peronea
Pruebas complementarias Deben realizarse radiografías por lo menos en tres planos • A-P, eje perpendicular al plano de la placa • Lateral, eje paralelo al plano de la placa • Oblícua, eje en rotación interna, en un ángulo de 20º con respecto a la placa (proyección de mortaja) para valorar la congruencia articular
Secuencia de actuación ante un estudio radiológico 1. Detección, saber si hay algo anormal o no 2. Reconocimiento, si es efectivamente patológico 3. Discriminación, para definir el tipo de lesión 4. Diagnóstico de la lesión
Clasificación de Willeneger y Weber Tipo A: o Fx del peroné a nivel o por debajo de la sindesmosis o No hay lesión ligamentosa importante
Tipo B: o Fx espiroídea del peroné, a nivel de la sindesmosis o Puede acompañarse de Fx por arrancamiento del maleolo tibial o ruptura del ligamento deltoídeo o Posible ruptura del ligamento tibioperoneo inferior(subluxación del astrágalo
Tipo c: o Fx del peroné por encima de la sindesmosis o La Fx puede encontrarse en el 1/3 inferior, 1/3 medio de la diáfisis o a nivel del cuello del peroné(Fx de Maisonneuve) o Aumento de la posibilidad sobre todo en presencia de Fx maleolo interno
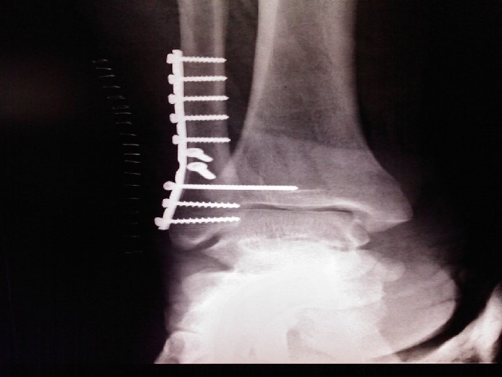
Juicio Diagnóstico: Fractura desplazada trans suprasindesmal maleolo peroné dcho.
Tratamiento de urgencia a) Analgesia b) Inmovilización provisoria con férula posterior de yeso c) Preoperatorio e ingreso
Situación de especial gravedad Luxo-fractura cerrada, con desplazamiento anterior de la tibia y posterior del pie • Epífisis distal de la tibia cabalga sobre el cuello del astrágalo • Distensión del dorso del pie con fuerte compresión de atrás adelante • En pocas horas se produce necrosis de partes blandas
Tratamiento definitivo Puede ser ortopédico o quirúrgico Objetivos 1. Reducir los fragmentos óseos 2. Reducir la subluxación si persiste 3. Reducción de la mortaja tibio-peronea
Los tratamientos quirúrgicos serán empleados ante la imposibilidad o fracaso de un tratamiento incruento
Tratamiento quirúrgico: • Bajo anestesia raquídea y control fluoroscópico • Reducción abierta y osteosíntesis con dos tornillos de compresión y placa • Se coloca tornillo transindesmal tricortical
Evolución : • Favorable clínica y radiológicamente • Al cuarto día egresa, con posterior revisión y control radiológico a los 7 días
«Nunca está más expuesta la reputación de un traumatólogo, que cuando pretende hacer un diagnóstico seguro, basándose sólo en hechos clínicos» Watson Jones
Caso clínico Nº 2 • Varón de 14 años • Dolor e impotencia funcional en rodilla dcha. Tras realizar un salto brusco haciendo deporte • No alergias medicamentosas conocidas • Sin antecedentes médicos de interés • No IQ • Práctica deportiva intensa
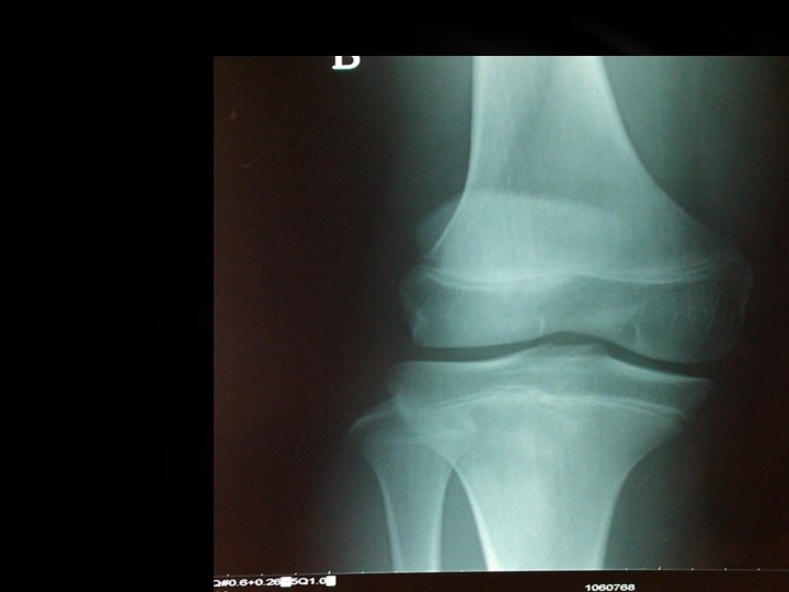
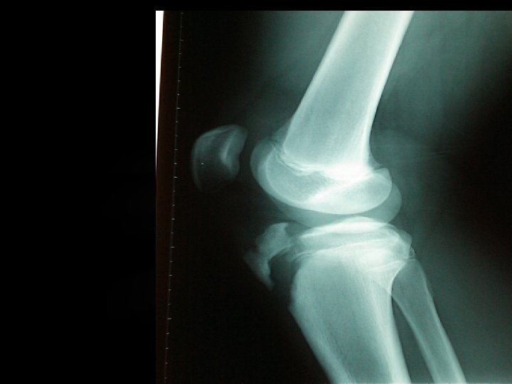
Exploración de rodilla dcha: Dolor en cara anterior con deformidad e impotencia funcional Pruebas complementarias: Rx rodilla dcha Arrancamiento tuberosidad tibial anterior
FRACTURAS FISIARIAS DE LA TIBIA PROXIMAL CLASIFICACIÓN IMPLICACIONES MECANISMO DE LESIÓN I. HIPEREXTENSIÓN RIESGO DE TRASTORNO VASCULAR II. VARO/VALGO HABITUALMENTE A CONSECUENCIA DE UN SALTO, PRÓXIMO A LA MADUREZ III. FLEXIÓN POSIBLE COMPRESIÓN DE LA PATA DE GANSO O EL PERIOSTIO TIPO DE SALTER-HARRIS I 50% NO DESPLAZADA II 30% NO DESPLAZADA III POSIBLE LESIÓN DEL LIGAMENTO COLATERAL ASOCIADA IV RARA V SE HA DESCRITO; HABITUALMENTE DIAGNÓSTICO TARDÍO
AVULSIÓN TRAUMÁTICA AGUDA DE LA TUBEROSIDAD TIBIAL • Lesión aguda (con frecuencia en la práctica deportiva) • Dolor y tumefacción importante e inmediata • Con frecuencia imposibilidad para mantenerse en pie o caminar • Con frecuencia reducción abierta y fijación interna • Rápida consolidación y retorno a las actividades completas
MECANISMO DE LESIÓN 1. Contracción violenta del músculo cuádriceps manteniendo la tibia fija. Ejempl 0: cuando un depertista salta o aterriza, como en el baloncesto o atletismo 2. Flexión pasiva brusca de la rodilla manteniendo el cuádriceps contraído. Ejemplo: aterrizar mal al terminar el salto
CLASIFICACIÓN Tipo I: Separación a través de la porción distal de la fisis por debajo de la tuberosidad irrumpe proximalmente a través del núcleo de osificación de la tuberosidad
CLASIFICACIÓN Tipo II: La separación se extiende anteriormente a través del área que puentea los núcleos de osificación de la tuberosidad tibial y de la epífisis proximal de la tibia
CLASIFICACIÓN Tipo III: La separación por debajo de la tuberosidad se propaga proximalmente a través de la epífisis proximal de la tibia hasta la rodilla por debajo de la inserción anterior de los meniscos
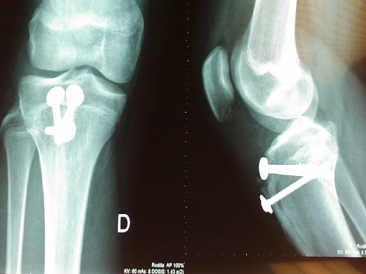
TRATAMIENTO QUIRÚRGICO • Reducción abierta con fijación interna en todas las fracturas • Salvo en fracturas de pequeños fragmentos sin desplazamiento
CUIDADOS POSREDUCCIÓN Y PRONÓSTICO • Yeso inguinopédico durante 4 -6 semanas • Férula posterior durante la 8 -9 semana y ejercicios de fortalecimiento cuadricipital • Buen pronóstico tras adecuada reducción
gracias