Scuola di Specializzazione in chirurgia toracica Prof M































- Slides: 31
Scuola di Specializzazione in chirurgia toracica (Prof. M. Migliore) Scuola di Specializzazione in malattie apparato respiratorio (Prof. De Maria) Scuola di specializzazione in radiologia (Prof. ) Versamento pleurico maligno: Indicazioni al trattamento chirurgico Prof. Marcello Migliore Thoracic Surgery @ unict
Thoracic Surgery @ unict
Malignant pleural effusions are an important complication for patients with intrathoracic and extrathoracic malignancies. Median survival after diagnosis of an MPE is 4 months. Thoracic Surgery @ unict
Fisiopatologia Thoracic Surgery @ unict
Thoracic Surgery @ unict
Malignant pleural effusion - indications Thoracic Surgery @ unic
Thoracic Surgery @ unict. it
Meeting multidisciplinare Thoracic Surgery @ unict
Thoracic Surgery @ unict
Thoracic Surgery @ unict
TORACENTESI Thoracic Surgery @ unict
Thoracic Surgery @ unict
Thoracic Surgery @ unict
Thoracic Surgery @ unict
VATS Thoracic Surgery @ unict
Anestesia generale o Locale ? Thoracic Surgery @ unict
Nodulo polmonare Versamento pleurico Thoracic Surgery @ unict
Carcinoma timico Versamento Pleurico Semplice Thoracic Surgery @ unict
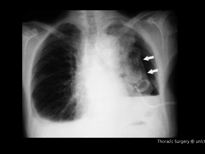
Versamento pleurico maligno - complesso Mesotelioma Thoracic Surgery @ unict
Versamento pleurico maligno - complesso Thoracic Surgery @ unic
Versamento pleurico maligno Thoracic Surgery @ unict. it
VATS Thoracic Surgery @ unict
VATS Pleurodesi con talco Thoracic Surgery @ unict
Thoracic Surgery @ unict
Thoracic Surgery @ unict
Thoracic Surgery @ unict. i
Thoracic Surgery @ unict
Thoracic Surgery @ unic
THORACIC REGISTER UK 2002 -3 2003 -4 2004 -5 Total 2002 -5 (3 years) Video Assisted Thoracic Surgery (VATS): - Totals Deaths % VATS-A LUNG RESECTIONS - PRIMARY-MALIGNANT 1 Wedge resection 76 0 0, 0 81 0 0, 0 78 2 2, 6 235 2 0, 9 2 Lobectomy 65 1 1, 5 65 3 4, 6 54 0 0, 0 184 4 2, 2 2 0 0, 0 1 0 0, 0 5 0 0, 0 3 Pneumonectomy VATS-B LUNG RESECTIONS - OTHER 1 Wedge resection 2 Lobectomy 3 Pneumonectomy VATS-C PLEURAL PROCEDURES 1 Closure of air leak +/- pleural symphysis 2 Any other pleural procedures VATS-D CHEST WALL/DIAPHRAGMATIC PROCEDURES 781 7 0, 9 12 0 VATS-E MEDIASTINAL CONDITIONS 1 Rescetion of mediastinal mass/tumour 2 Other mediastinal proceudure 714 5 0, 7 0 0, 0 10 0 0, 0 1 773 8 1, 0 2268 20 0, 9 0 0, 0 31 0 0, 0 0 0 0, 0 1 0 0, 0 5 0, 6 1077 9 0, 8 1234 9 0, 7 3183 23 0, 7 1826 18 1, 0 1719 26 1, 5 1712 41 2, 4 5257 85 1, 6 146 872 1 All 0 0, 0 48 154 0 0, 0 61 1 1, 6 0 0, 0 44 106 0 0, 0 112 0 0, 0 0 0, 0 238 0 0, 0 43 0 0, 0 303 0 0, 0 121 0 0, 0 294 1 0, 3
Versamento pleurico neoplastico Learning points In prima istanza valutare se la pleurodesi è veramente necessaria Controllare il performance status prima di eseguire la pleurodesi Controllare se il polmone si espande prima di porre l’indicazione per la pleurodesi Se il polmone non si riespande dopo toracentesi valutare il possibile drenaggio a permanenza o lo shunt Usare drenaggi di piccolo diametro 10 -12 Fr. Se il VPM è recidivo richiedere la consulenza chirurgica L’insufflazione di talco in toracoscopia da le migliori garanzie di successo Thoracic Surgery @ unict