Scenariu 1 Un tanar de 16 ani si




























































































- Slides: 92
Scenariu 1 Un tanar de 16 ani si 192 cm inaltime, baschetbalist este cunoscut la MF cu un suflu diastolic care prezinta urmatoarele caractere: Este fin, aspirativ, intensitate maxima in focarul aortic si iradiaza spre varful inimii. In timpul unui antrenament prezinta brusc scaderea acuitatii vizuale la nivelul ochiului drept, iar obiectiv se constata aspectul din imagine. 1. Ce anomalie oculara sesizati? 2. Care este diagnosticul cel mai probabil? 3. Ce suferinta cardiologica are baiatul?
1. Subluxatie de cristalin 2. Sindrom Marfan 3. Insuficienta aortica
Scenariu 2 Pacient de 56 ani, mare fumator si care tocmai s-a intors in tara din SUA dupa un zbor de 12 ore prezinta brusc durere la nivelul membrului inferior drept, accentuata in ortostatism si la palparea masei musculare a gambei precum si cresterea in volum a membrului inferior. De asemenea, prezinta si febra pana in 38 grade. Obiectiv se constata aspectul din imagine.
1. care credeti ca este diagnosticul? 2. numiti 2 manevre de provocare a durerii 3. ce complicatie majora a acestei boli cunoasteti? 4. ce factori predispozanti pentru aceasta boala cunoasteti?
1. 2. 3. 4. TVP mb inf dr Semnul lui Homans si percutia tibiei embolia pulmonara neoplaziile, sarcina, imobilizarea prelungita, consumul de contraceptive orale
Scenariu 3 O femeie de 50 de ani cunoscuta cu o valvulopatie se prezinta in urgenta pentru scaderea brusca a fortei musculare pe hemicorpul stang. Obiectiv: probe de pareza pozitive, paloare tegumentara, splenomegalie, suflu sistolic mitral cu caracter de regurgitare precum si leziuni cutanate palmo-plantare, ca cele din imagine iar anamnestic pacienta a prezentat in ultimele 2 saptamani febra pana la 38 grade precum si astenie marcata.
1. 2. 3. 4. Care este diagnosticul din urgenta? Care este contextul clinic actual? Ce a determinat acest accident? Ce sunt leziunile din imagine?
1. AVC 2. Endocardita infectioasa 3. Embolia sistemica ( in acest caz cerebrala) de la nivelul vegetatiilor 4. Pete Janeway
Scenariu 4
Un pacient de 56 ani se prezinta la UPU pentru durere retrosternala intensa, aparuta in cursul diminetii, cu iradiere in mandibula. Anamnestic pacientul a mai prezentat astfel de episoade dureroase, aparute de obicei la aceeasi ora. Pe EKG se evidentiaza RS, segment ST supradenivelat in derivatiile D II, D III, a. VF, V 4 -V 6.
1. Care credeti ca este diagnosticul? 2. Cu ce se face diagnosticul diferential? 3. Din punct de vedere al diagnosticului considerati important un test de effort?
1. Angor vasospastic – angina Prinzmetal 2. IMA, pericardita acuta 3. testul de effort nu este important pentru diagnostic
Scenariu 5
Pacient de 70 de ani, cunoscut cardiac, si cu insuficienta aortica, prezinta dupa o lucrare stomatologica alterarea progresiva a starii generale, subfebrilitati, astenie, fatigabilitate. La ex. obiectiv se constata paloare “café au lait” a pielii, splenomegalie si modificarile din imagine.
1. Despre ce boala credeti ca este vorba? 2. ce va asteptati sa gasiti la ascultatia cordului? 3. Ce investigatii sunt necesare diagnosticului? 4. Ce este anomalia din imagine?
1. Endocardita bacteriana subacuta 2. suflu diastolic de insuficienta aortica, posibil si sufluri noi 3. hemoculturi, ecocardiografie, probe generale de inflamatie 4. hipocratism digital
CAZ 2
• Bolnava în vârstă de 34 de ani, din mediul rural, a fost internată în clinica noastră la data de 28 noiembrie 2003 în condiţii de urgenţă cu următoarele acuze: • dureri intense în etajul abdominal superior descrise „în bară” iradiind posterior, • greţuri, vărsături, • stare generală alterată.
Din antecedentele bolnavei reţinem: • • naştere naturală la termen în urmă cu 9 luni un puseu de colecistită acută litiazică diagnosticată clinic şi paraclinic (ecografic) în urmă cu 6 luni când bolnava a refuzat internarea respectiv intervenţia chirurgicală; simptomatologia s-a remis sub tratament medicamentos – antibiotic, antispastic, analgezic.
Din istoricul afecţiunii actuale reţinem că simptomele au debutat brusc în urmă cu 24 -36 de ore cu: • • dureri de mare intensitate în etajul abdominal superior în plină sănătate aparentă, alterarea stării generale, ulterior greţuri, vărsături, distensie abdominală moderată; simptome ce au persistat şi s-au agravat progresiv determinând bolnava să se prezinte de urgenţă în clinica noastră.
• Examenul general pe aparate şi sisteme nu decelează modificări patologice în afara unei uşoare palori sclero-tegumentare şi a stării generale alterate
Examenul local evidenţiază: • • la inspecţie - un abdomen uşor meteorizat, mobil cu mişcările respiratorii, la palpare dureros în etajul abdominal superior, durere ce iradiază dorsal, cu o zonă de împăstare în epigastru, la auscultaţie - murmur intestinal diminuat, la percuţie - zone de timpanism alternând cu zone de matitate. TR – relaţii normale.
• Datele anamnestice corelate cu examenul clinic local şi general ne-a orientat încă de la început spre o suferinţă de tip digestiv, respectiv spre un diagnostic de probabilitate de colecistopancreatită acută.
• • • În clinica noastră în primele 24 de ore s-au efectuat următoarele investigaţii paraclinice în vederea susţinerii diagnosticului pozitiv: analize de laborator: HLG – Lc 16. 600/mmc AST – 847 U/L (vn 10 -37 U/L) G – 179 mg/dl Amilazemie – 1114 u/L (vn 20 -90 U/L) Lc > 16. 000/mmc, G > 200 mg/dl, LDH > 350 UI/L AST > 250 U/L.
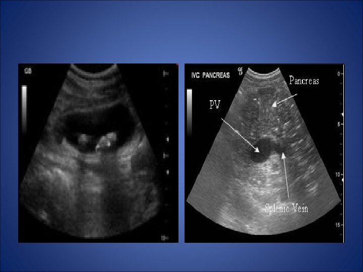
Ecografia abdominală relevă: • • • colecist cu pereţi îngroşaţi, locuit de un calcul de aproximativ 2/3 cm, pancreas mărit edemaţiat, lamă de lichid în fundul de sac Douglas.
• Radiografia abdominală evidenţiază aerocolie.
diagnosticul pozitiv este bine susţinut de trepiedul: • • • sindrom clinic sugestiv, creşterea semnificativă a amilazei şi existenţa modificărilor pancreatice morfologie evidenţiate imagistic (ecografic),
Diagnostic diferenţial • • • ulcer perforat, ocluzie intestinală, infarct enteromezenteric, sarcină extrauterină ruptă, anevrism de aortă rupt.
Evoluţie şi complicaţii (fără tratament prezintă un pronostic nefavorabil – mortalitatea fiind de 40 -80% în pancreatitele acute necroticohemoragice): • • • sechestru pancreatic, pseudochist pancreatic, abcesul pancreatic, hemoragii pancreatice, tromboze vasculare, necroza căilor biliare, fistule pancreatice, fistule digestive, stenoze duodenale, encefalopatia pancreatică, insuficienţa hepatorenală, celulita retroperitoneală.
Tratamentul • Medical intră în discuţie sub forma pregătirii preoperatorii, susţinerii intraoperatorii şi a recuperării postoperatorii: • analgezia, • refacerea şi menţinerea volemiei (sechestrul lichidian de peste 6 litrii constituind element de gravitate în cadrul scorului Ranson la 48 de ore), • antibioterapie cu spectru larg, • antienzimatic (Trasylol, Gordox), • antispastic, • profilaxia ulcerului de stress, • tratamentul dereglărilor metabolice (insulina în cazul glicemiilor mai mari de 200 mg/dl), • punerea in repaus a pancreasului prin abstenţia alimentară absolută şi aspiraţie nazogastrică continuă, • corticoterapie pentru protecţia membranelor celulare, ca antiinflamator, antitoxic şi antialergic. • Chirurgical
Caz 4
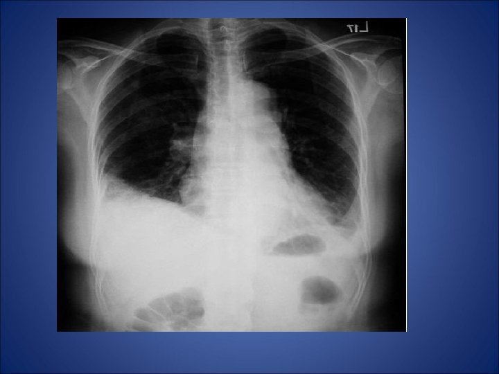
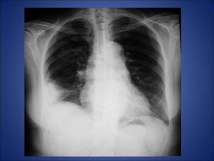
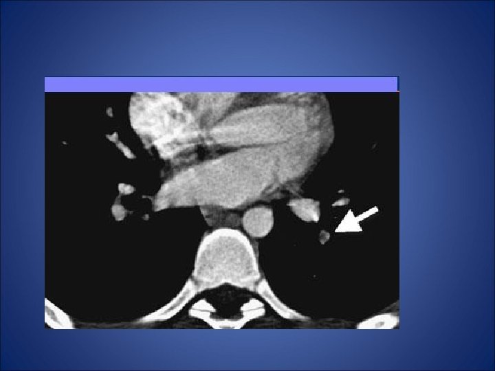
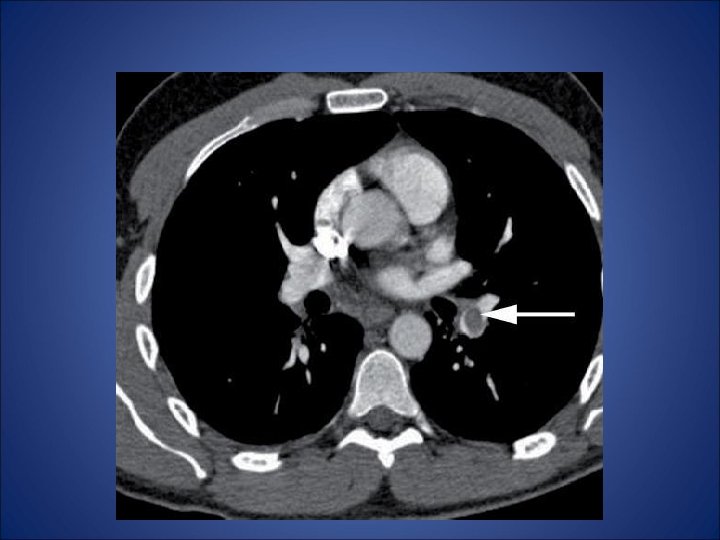
• Pacient in varsta de 16 ani se prezinta la medic cu dispnee instalata brusc si durere retrosternala aparuta in timpul unui meci de fotbal. Dispneea si durerea s-au mentinut nemodificate si pe parcursul noptii de dinaintea prezentarii la medic. Pacientul nu a avut ortopnee. Declara in schimb ca cu 2 -3 ore inainte de instalarea dispneei si durerii a sesizat oboseala, durere abdominala, crampe musculare, stare de rau. Nu a avut niciun traumatism recent, febra, tuse, astm, sau calatorii. Nu a consumat substante interzise. Pacientul a avut in antecedente ( in urma cu 7 saptamani) tendinita la nivelul grupei muschilor rotatori ai articulatiei umarului stang secundara unei instabilitatii a acestei articulatii. Tratamentul pentru aceasta afectiune a constat in naproxen sodic (500 mg x 2/zi sase saptamani) si fizioterapie.
• AHC: - bunicul (70 ani) urmeaza tratament anticoagulant in urma unui infarct miocardic suferit la 63 de ani.
Examen clinic: • - TA = 135 /79, puls = 80, frecventa respiratorie = 45 - temperatura = 36, 6ºC - Saturatia in oxigen 97% - pacientul face un efort respirator moderat, tinand gura cu buzele intredeschise - auscultatie cardio-pulmonara normala - durere bilaterala subcostala la palpare - nu se constata hepatomegalie, mase abdominale sau durere in unghiul costovertebral - zgomote intestinale normale - abdomen moale si nedureros - nu prezinta durere la nivelul extremitatilor sau edem - in mod specific nu prezinta durere, caldura, edem la nivelul gambelor iar semnul Homans este negativ bilateral.
• EKG normal si analize de sange normale cu exceptia cresterii moderate a D-dimerilor.
RX toracic
• Care este diagnosticul pacientului?
Embolism pulmonar acut • - desi simptomele clinice indica embolismul pulmonar (durere pleuritica, dispnee), pacientul din cazul de fata nu prezinta niciun factor de risc (chiar mai mult ca factori de preventie avem varsta si activitatea fizica) - pentru certitudine s-a folosit investigatia CT care a relevat multipli emboli atat in vascularizatia majora a plamanului stang cat si a celui drept - orice evaluarea ulterioara a pacientului nu a putut elucida cauza embolismului. • Nu exista suficiente referiri la naproxen in cazurile raportate de embolism pulmonar si astfel nu poate fi incriminat pentru producerea acestui fenomen. Mai mult, dupa tratamentul intraspitalicesc pacientul a refuzat tratamentul cu warfarina si la la cateva luni au aparut alte episoade de embolism. Decizia terapeutica finala a fost plasarea unui filtru Greenfield de vena cava inferioara.
Embolia pulmonara • Trombembolia pulmonara acuta presupune blocarea uneia dintre arterele circulatiei pulmonare in urma opririi unui cheag mobilizat din sistemul venos sau cordul drept.
Cauzele care pot duce la aparitia trombemboliei pulmonare acute sunt in general starile de hipercoagulabilitate sangvina . Acestea pot aparea in urmatoarele situatii: • • • Deficite congenitale de factori de coagulare Sindromul nefrotic Neoplazii Sarcina Folosirea contraceptivelor orale (mare atentie la fumatoarele care folosesc contraceptive orale) Diabetul zaharat Imobilizari prelungite la pat Montarea de aparate gipsate in cazul unor fracturi Stari post-operatorii Studiile au aratat ca, in peste 90% dintre cazuri, sursa trombilor este reprezentata de tromboza venoasa profunda a membrelor inferioare (astuparea unei vene cu un cheag de sange).
Clinic • durere localizata retrosternal ce iradiaza uneori spre gat si membrele superioare • dispnee • cianoza Acestea simptome sunt deseori acompaniate de senzatia de moarte iminenta.
examenul fizic • cianoza, • transpiratie abundenta • hipotensiune arteriala • tahipnee • tahicardie sinusala • turgescenta jugulara • febra • semne de tromboza venoasa profunda. !Niciunul dintre semne nu este insa obligatoriu!
Diagnostic diferential • • • infarct miocardic angina pectorala pericardita acuta pneumopatii acute, astmul bronsic nevralgia intercostala, traumatisme cu fracturi costale
Conduita terapeutica • • • medicamentele anticoagulante trombofibrinoliticele antialgicele majore oxigenoterapia anxioliticele.
• In sala de operatie (chirurgul cardiolog catre asistent): - Anestezie. - De-a noastra sau de import? - De import s-a terminat. - Atunci de-a noastra. - Nani, nani. . .
Caz 1
• Pacientul B. A. în vârstă de 28 de ani din mediu urban se adresează , în luna noiembrie 2008, pentru: • dureri în flancul şi fosa iliacă dreaptă, diaree cronică (2 -5 scaune pe zi) alternând cu perioade de tranzit normal, febră, frisoane şi scădere ponderală (4 kg în 5 luni). Simptomatologia a debutat insidios de aproximativ 5 luni.
• Pacientul este nefumător, neagă consumul de alcool. • A fost apendicectomizat în urmă cu 1 an, iar de 5 luni este tratat în ambulator cu inhibitori de pompă de protoni pentru gastroduodenită cu Helicobacter pylori.
• Examenul clinic la internare relevă un pacient palid, subponderal, cu o formaţiune tumorală palpabilă la nivelul fosei iliace drepte, de aproximativ 10 cm, fermă, dureroasă, fixă profund.
EX de laborator • un sindrom inflamator nespecific (proteina C reactivă = 48 U/m. L, fibrinogen = 518 mg/d. L, leucocite = 10500 /mmc), • o anemie microcitară de 10, 8 g/d. L cu o hiposideremie de 13 μg/d. L, • o trombocitoză de 581000/mmc şi uşoară colestază
• Markerul tumoral ACE (Antigen Carcino. Embrionar) a fost negativ precum şi intradermo-reacţia la PPD. • Ac p. ANCA (efectuaţi datorită sindromului colestatic intrahepatic) au avut valori normale sugerând o colestaza inflamatorie. Trombocitoza a fost interpretată în acelaşi sens.
• Ecografia abdominală a identificat o formaţiune solidă, în cocardă, situată pe topografia cecului.
• S-a efectuat colonoscopie care a identificat la 14 cm de marginea anală o leziune infiltrativ-ulcerată de 3 cm diametru din care sau prelevat cupe biopsice, rezultatul histopatologic fiind nespecific. Deoarece examinarea colonoscopică nu a putut fi efectuată decât până la 40 cm de marginea anală, examinarea endoluminală a fost completată cu o clismă baritată care a evidenţiat la nivelul colonului ascendent o imagine neregulată cu ulceraţii marginale şi nuanţe de semiton. Nu s-a reuşit opacifierea ileonului terminal.
• S-a efectuat tomografie computerizată care a evidenţiat o formaţiune tumorală ileo-cecală cu fistulă ileo-rectală, corespondentă ca localizare leziunii inflamatorii identificate colonoscopic
• S-a intervenit chirurgical; intraoperator s-a constat o tumoră cu caractere inflamatorii, de ceco-ascendent şi ileon terminal, cu fistulă ileo -rectală. S-a efectuat rezecţie largă ileală şi hemicolectomie dreaptă cu suprimarea fistulei şi restabilirea continuităţii tubului digestiv
• Examenul histopatologic a relevat un aspect tipic de boală Crohn cu determinări granulomatoase dar şi prezenţa unor zone de degenerare malignă în focar
A Granulom submucos; B Fisură parietală; C Boală Crohn cu focare de displazie şi degenerare malignă
• Evoluţia postoperatorie a fost favorabilă, pacientul fiind externat peste 7 zile. • Controalele ulterioare au arătat remisiunea completă a simptomatologiei.
Discutii • Boala Crohn este o afecţiune inflamatorie cronică a tubului digestiv şi care se localizează cel mai frecvent la nivelul ileonului terminal şi colonului proximal. • Inflamaţia prinde tot peretele intestinal de la mucoasă până la seroasă. Vârsta medie a diagnosticului este de 27 ani. Pentru cazurile diagnosticate la vârste tinere determinismul genetic este cel mai frecvent implicat în etiopatogenie. Aproximativ 50% dintre bolnavi dezvoltă stenoze intestinale. La nivelul obstrucţiei în partea proximală, la nivelul unei fisuri ce prinde toate straturile peretelui intestinal, se pot dezvolta fistule sau perforaţii. Riscul de malignizare este de 6 ori mare în boala Crohn.
• Procesul patologic din boala Crohn are determinare panmurală şi tendinţa de extensie extramurală asociind frecvent complicaţii. Localizările pot fi unice sau multiple, etajate iar rezecţia leziunii nu are valoare curativă pentru boală, aceasta putând recidiva pe un alt segment al tubului digestiv.
• Incidenţa bolii este de 1 -6/100. 000 locuitori iar prevalenţa de 10100/100. 000 locuitori, cu mari variaţii geografice. • Localizările cele mai frecvente sunt la nivel ileo-cecal (40%), al intestinului subţire (30%) şi colonului (25%), dar se poate întâlni pe orice segment al tractului digestiv. • Simptomatologia este dominată de diaree, dureri abdominale şi scădere ponderală. Pot coexista simptome legate de complicaţii sau manifestări extradigestive (artrite, osteoporoză, litiază renală, eritem nodos, pyoderma gangrenosum, uveite, episclerite, trombembolii, pericolangite cronice, etc). • Examenele de laborator relevă un sindrom inflamator nespecific, de reală utilitate în supravegherea bolnavilor fiind determinarea proteinei C reactive. • Diagnosticul impune utilizarea endoscopiei digestive inferioare care arată un aspect inflamator localizat cu friabilitate mucoasă, sângerare uşoară, ulceraţii aftoide sau liniare, aspect hipertrofic nodular de „pietre de pavaj”.
• Se poate utiliza şi examenul radiologic cu contrast baritat efectuat în varianta cu dublu contrast, dar colonoscopia are avantajul posibilităţii de obţinere de cupe bioptice în vederea examenului histopatologic care este definitoriu în diagnostic
• Fistulele interne sunt o complicaţie frecventă (2040%) în boala Crohn, putând apare între segmente ale tubului digestiv sau între un segment de tub digestiv implicat în procesul patologic şi organele învecinate. • Malignizarea la pacienţii cu boală Crohn este mai frecventă decât în populaţia generală, după unii autori comparabilă cu cea din rectocolita ulcerohemoragică fiind dependentă de amploarea determinărilor, vechimea bolii şi răspunsul la tratament medical. • De aceea, la pacienţii cu boală Crohn, se impune screeningul colonoscopic.
CONCLUZII • Boala Crohn trebuie depistată precoce înaintea complicaţiilor care sunt de resort chirurgical. • Întrucât cancerul de colon este mai frecvent la pacienţii cu boală Crohn, se impune screeningul colonoscopic al acestora. • Tratamentul de elecţie în cazurile cu localizare ileocolică, suspecte de malignizare, constă în hemicolectomie dreaptă lărgită pe ileon. • Prezenţa fistulelor interne implică rezecţii lărgite.
CAZ 2
• Bolnava în vârstă de 34 de ani, din mediul rural, a fost internată în clinica noastră la data de 28 noiembrie 2003 în condiţii de urgenţă cu următoarele acuze: • dureri intense în etajul abdominal superior descrise „în bară” iradiind posterior, • greţuri, vărsături, • stare generală alterată.
Din antecedentele bolnavei reţinem: • • • naştere naturală la termen în urmă cu 9 luni un puseu de colecistită acută litiazică diagnosticată clinic şi paraclinic (ecografic) în urmă cu 6 luni când bolnava a refuzat internarea respectiv intervenţia chirurgicală; simptomatologia s-a remis sub tratament medicamentos – antibiotic, antispastic, analgezic.
Din istoricul afecţiunii actuale reţinem că simptomele au debutat brusc în urmă cu 24 -36 de ore cu: • • dureri de mare intensitate în etajul abdominal superior în plină sănătate aparentă, alterarea stării generale, ulterior greţuri, vărsături, distensie abdominală moderată; simptome ce au persistat şi s-au agravat progresiv determinând bolnava să se prezinte de urgenţă în clinica noastră.
• Examenul general pe aparate şi sisteme nu decelează modificări patologice în afara unei uşoare palori sclero-tegumentare şi a stării generale alterate
Examenul local evidenţiază: • • • la inspecţie - un abdomen uşor meteorizat, mobil cu mişcările respiratorii, la palpare, durere în etajul abdominal superior, durere ce iradiază dorsal, cu o zonă de împăstare în epigastru, la auscultaţie - murmur intestinal diminuat, la percuţie - zone de timpanism alternând cu zone de matitate. TR – relaţii normale.
• Datele anamnestice corelate cu examenul clinic local şi general ne-a orientat încă de la început spre o suferinţă de tip digestiv, respectiv spre un diagnostic de probabilitate de colecistopancreatită acută.
În clinica noastră în primele 24 de ore s-au efectuat următoarele investigaţii paraclinice în vederea susţinerii diagnosticului pozitiv: Analize de laborator: • HLG – Lc 16. 600/mmc • AST – 847 U/L (vn 10 -37 U/L) • G – 179 mg/dl • Amilazemie – 1114 u/L (vn 20 -90 U/L) • Lc > 16. 000/mmc, • G > 200 mg/dl, • LDH > 350 UI/L • AST > 250 U/L. •
Ecografia abdominală relevă: • • • colecist cu pereţi îngroşaţi, locuit de un calcul de aproximativ 2/3 cm, pancreas mărit edemaţiat, lamă de lichid în fundul de sac Douglas.
• Radiografia abdominală evidenţiază aerocolie.
TC abdominal
Diagnosticul pozitiv este bine susţinut de trepiedul: • • • sindrom clinic sugestiv, creşterea semnificativă a amilazei şi existenţa modificărilor pancreatice morfologie evidenţiate imagistic (ecografic),
Diagnostic diferenţial • • • ulcer perforat, ocluzie intestinală, infarct enteromezenteric, sarcină extrauterină ruptă, anevrism de aortă rupt.
Evoluţie şi complicaţii (fără tratament prezintă un pronostic nefavorabil – mortalitatea fiind de 40 -80% în pancreatitele acute necroticohemoragice): • • • sechestru pancreatic, pseudochist pancreatic, abcesul pancreatic, hemoragii pancreatice, tromboze vasculare, necroza căilor biliare, fistule pancreatice, fistule digestive, stenoze duodenale, encefalopatia pancreatică, insuficienţa hepatorenală, celulita retroperitoneală.
Tratamentul • Medical intră în discuţie sub forma pregătirii preoperatorii, susţinerii intraoperatorii şi a recuperării postoperatorii: • analgezia, • refacerea şi menţinerea volemiei (sechestrul lichidian de peste 6 litrii constituind element de gravitate în cadrul scorului Ranson la 48 de ore), • antibioterapie cu spectru larg, • antienzimatic (Trasylol, Gordox), • antispastic, • profilaxia ulcerului de stress, • tratamentul dereglărilor metabolice (insulina în cazul glicemiilor mai mari de 200 mg/dl), • punerea in repaus a pancreasului prin abstenţia alimentară absolută şi aspiraţie nazogastrică continuă, • corticoterapie pentru protecţia membranelor celulare, ca antiinflamator, antitoxic şi antialergic. • Chirurgical