SARCOIDOSE PLEUROPULMONAIRE Dr S OSMANI HCA IDEFINITION GENERALITES













- Slides: 13
SARCOIDOSE PLEUROPULMONAIRE Dr. S. OSMANI HCA
I-DEFINITION – GENERALITES II-PATHOGENIE III-MORPHOLOGIE 1 -Macroscopie 2 -Microscopie IV-EVOLUTION
I-DEFINITION-GENERALITES • La Sarcoïdose ou maladie de Besnier Boeck Schauman est une maladie générale , d’étiologie inconnue réalisant des lésions granulomateuses diffuses , dont le diagnostic repose sur 3 éléments: - Clinique : Atteinte médiastino -pulmonaire ( 90%) Et éventuelles localisations intra thoraciques
exprimant le caractère systémique de la maladie -Histopathologique : Granulome tuberculoide sans nécrose caséeuse -Etiologique : Elimination des affections susceptibles d’entrainer une lésion histopathologique voisine ( ex: Tuberculose, mycoses …. . )
II-PATHOGENIE • Bien que l’étiologie de la Sarcoïdose soit totalement inconnue , les recherches ont pu montrer que l’atteinte pulmonaire au cours de la Sarcoïdose était caractérisée par l’accumulation dans le tractus respiratoire inférieur de cellules mononuclées activées (lymphocytes , Monocytes , Macrophages )
• L’ atteinte au cours de la Sarcoïdose intéresse à la fois les parois alvéolaires ( Alvéolite murale) et la lumière alvéolaire ( Alvéolite luminale ) , faite de lymphocytes , de macrophages ; puis l’Alvéolite régresse en grande partie cédant la place au granulome épithélio giganto cellulaire
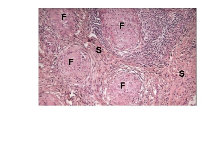
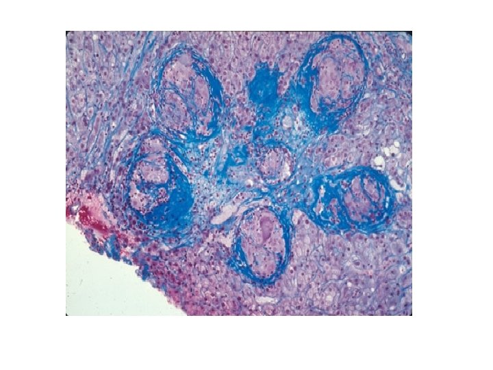
III- Morphologie 1 -Macroscopie : -Fibrose pulmonaire interstitielle systématisée -Bulles d’emphyséme -Epaississement pleural 2 - Microscopie : -Granulome épithélio giganto cellulaire sans nécrose caséeuse
• Cellules épithélioides : composante majeure • Rares cellules géantes multi nucléés avec parfois inclusions intra cytoplasmiques ( corps de Schauman – corps astéroïdes ) • Couronne lymphocytaire • Fibrose périphérique • De la nécrose fibrinoide peut être retrouvée ( à ne pas confondre avec de la nécrose caséeuse ) -Les follicules sont de même taille non confluant
IV-EVOLUTION • Dans la plupart des cas , le granulome évolue spontanément ou sous traitement cortisonique vers la résolution sans séquelles ou plus rarement persiste inchangé pendant plusieurs années • Dans 5 à 15 % des cas l’évolution se fait vers des lésions de fibrose interstitielle
Point fort: diagnostic de la sarcoidose Le diagnostic de sarcoidose repose sur la conjonction de 03 arguments: • Présentation clinique radiologique et biologique évocatrice ou compatible • Mise en évidence de lésions granulomateuses sans nécrose caséeuse sur au moins un prélèvement histopathologique • Exclusion des autres causes de granulome notamment tuberculose, berylliose pulmonaire chronique; granulomatose induite par les interferons de type I ou la BCG therapie ; granulomatose avec déficit immunitaire commun variable ; réactions granulomateuses satellites des cancers et lymphomes, et autres granulomatoses idiopathiques