Sangue ed Ematopoiesi Le Cellule del Sangue e





















































- Slides: 53
Sangue ed Ematopoiesi Le Cellule del Sangue e la loro Origine
Plasma % in Peso (% in peso) % in Volume (5 litri) Altri fluidi e tessuti 92% Albumine 58% Proteine 7% Globuline 38% Acqua 91% Plasma 55% Fibrinogeno 4% Ioni Nutrienti Prodotti di Rifiuto Gas Sostanze regolatrici (ormoni) Composizione del sangue Sangue 8% Altri soluti 2% Elementi Figurati 45% (x mm 3) Piastrine 250 -400. 000 Globuli Bianchi 5 -20. 000 Neutrofili 60 -70% Linfociti 20 -25% Globuli Rossi 4, 2 -6, 2 milioni Monociti 3 -8% Eosinofili 2 -4% Basofili 0. 5 -1%
Sangue • • • Connettivo specializzato. Fluido viscoso, leggermente alcalino, p. H 7, 4. Colore rosso. Circola all’interno del distretto vascolare. Una porzione liquida, Plasma, (costituisce la sostanza fondamentale) ed una corpuscolata o figurata rappresentata dalle cellule: Globuli Rossi, Globuli Bianchi e Piastrine.
Sangue • Plasma – – 55% del volume Acqua Elettroliti Proteine plasmatiche • • • Albumina Globuline Fibrinogeno • • Nutrienti Prodotti di rifiuto Gas della respirazione Ormoni – Sostanze trasportate dal sangue
Proteine del Plasma • Albumina, prodotta dal Fegato, Globuline – e , prodotte dal Fegato, trasporto ioni metallici, proteine che legano lipidi e vitamine liposolubili. – , prodotte da plasmacellule, anticorpi della difesa immunitaria. • Proteine della coagulazione, protrombina e fibrinogeno, prodotte dal Fegato. • Proteine del complemento, C 1 -C 9, prodotte dal Fegato, difesa microorganismi e risposta infiammatoria. • Lipoproteine plasmatiche – colesterolo dal fegato alle cellule.
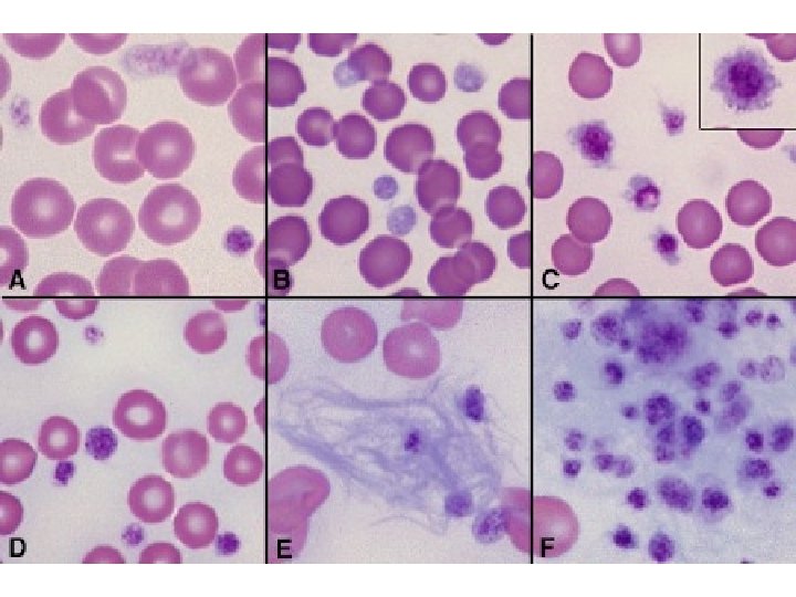
Elementi Figurati • Eritrociti (Globuli Rossi) • 99% delle cellule • Trasportano Ossigeno. • Leucociti (Globuli Bianchi) – – Proteggono dalle infezioni e insorgenza tumori. Granulari • Polimorfonucleati • Neutrofili, basofili, eosinofili – Agranulari • Linfociti e Monociti • Piastrine – Frammenti cellulari, coagulazione.
Cellule e piastrine presenti nel sangue Striscio di sangue circolante visto al m. ottico
Eritrociti (Globuli Rossi) • 4 -5 x 106/mm 3. • Nei mammiferi, nonnucleati, nucleo perso durante il differenziamento. • Forma di disco biconcavo. • Dimensioni circa 8 x 2 micron. • Contengono: – Emoglobina. – ATP, lipidi, anidrasi carbonica. • Trasporto ossigeno dai polmoni ai tessuti ed anidride carbonica dai tessuti ai polmoni.
Eritrociti
Eritrociti Emoglobina – Grossa proteina tetramerica, composta da 4 catene legate covalentemente ad un gruppo Eme. – Trasportatore dei gas respiratori: • Ossiemoglobina, legata all’ossigeno; • Carbaminoemoglobina, legata alla CO 2; • Trasporta anche ossido nitrico (NO). • 4 tipi di globine, : – Feto: Hb. F, ; – Adulto: • Hb. A 1, 96% del totale; • Hb. A 2, , 2% del totale; • Hb. F, restante 2%.
Eritrociti Membrana cellulare • Molto flessibile, resistente alle forze tangenziali. • Proteine 50% (prevalentemente integrali): • Lipidi 40%. • Carboidrati 10%, superficie extracellulare, antigenici (A e B), determinano gruppo sanguigno. Rh (macacus rhesus) complesso gruppo di antigeni (C, D, E) 85% Rh+.
Rimozione degli Eritrociti • Vita media = 120 giorni. • Eritrociti invecchiati eliminati nella Milza o fegato.
Leucociti • • • Sono le cellule bianche del sangue. 5. 000 -20. 000/mm 3. Non svolgono funzioni nel circolo, ma lo usano per spostarsi. A destinazione escono attraverso endotelio dei vasi e vanno nel connettivo dove funzionano. • Forma tonda nei vasi, mentre varie forme nel connettivo. • Funzione di difesa dell’organismo da sostanze estranee (microorganismi), rimozione cellule morte e residui cellulari.
Leucociti • Si possono classificare in: – Granulociti, granuli specifici nel citoplasma. • Neutrofili, piccole cellule fagocitiche; • Basofili, rilascio istamina, aumento della risposta infiammatoria; • Eosinofili, diminuzione della risposta infiammatoria. – Agranulociti o agranulari, non presentano granuli citoplasmatici. • Linfociti, immunità; • Monociti, divengono Macrofagi.
Neutrofili • Sono i leucociti più comuni, 60 -70%. • Sono fagociti, distruggono i batteri che invadono il connettivo. • Aspetto: – Nucleo Multilobato, leucociti polimorfonucleati, 35 lobi connessi da sottili tratti di cromatina, aumentano con l’età. • Cromosoma X inattivo, cromatina condensata a forma di “bacchetta di tamburo” (drumstick) o corpo di Barr. – Diametro 9 -12 µm. – Granuli citoplasmatici.
Drumstick o Corpo di Barr Nuclei Centriolo Granuli
Neutrofili • Granulazione: – Piccoli – Grossi granuli • Lisosomi specifici, 0. 1 µm Ø. azzurrofili, 0. 5 µm Ø.
Neutrofili • Funzione. – Cellule molto mobili, primi ad arrivare sul luogo di un infezione. – Rispondono a fattori chemiotattici. • Rilasciati da tessuti danneggiati.
Eosinofili • 2 -4% di tutti i globuli bianchi. • Aspetto: – Forma tonda nel circolo, 10 -15 µm Ø. Variabile nel connettivo. – Nucleo bilobato a forma di occhiale. • Granulazione: – Granuli specifici, 1 -1. 5 x 1 µm, "rosso-arancio”. – Granuli azzurrofili, aspecifici, lisosomi.
Eosinofili • Funzione: – Cellule fagocitiche con affinità per i parassiti e contribuiscono ad eliminare i complessi antigene-anticorpo.
Basofili – Sono i globuli leucociti meno comuni, meno dell 1% di tutti i bianchi. • Aspetto: – 8 -10 µm di Ø. – Nucleo ad S, spesso mascherato dalla presenza di numerosi granuli citoplasmatici. • Granulazione: – Granuli specifici, blu scuro. Si dispongono alla periferia del citoplasma dando origine al “perimetro rugoso”. Eparina, istamina, perossidasi, fattore chemiotattico eosinofilo e neutrofilo. – Granuli azzurrofili, aspecifici, lisosomi.
ISTAMINA E EPARINA (CONTENUTE ANCHE DAI MASTOCITI) ISTAMINA fa dilatare i vasi sanguigni EPARINA rende incoagulabile il sangue ES: In seguito ad un’infezione batterica si scatena un meccanismo di difesa che si chiama INFIAMMAZIONE la dilatazione dei vasi (piu’ sangue non coagulato)permettono piu’ velocemente alle cellule di aggredire i batteri. Tutto il processo si chiama appunto Infiammazione Dal latino: rubol, calor, dolor, tumor
Basofili • Funzione: – Reazioni di ipersensitività immediata (allergie), iniziatori della risposta infiammatoria.
Monociti – Sono le cellule più grandi del sangue. 3 -8% di tutti i globuli bianchi. Rimangono in circolo solo pochi giorni, poi migrano nel connettivo dove differenziano in Macrofagi. • Aspetto: – 10 -20 µm di Ø. – Nucleo grande, eccentrico, forma a ferro di cavallo o fagiolo. Occupa circa 50% della cellula. – Citoplasma grigio-azzurro con granuli azzurrofili e piccoli vacuoli.
• Funzione: Monociti – Dopo aver lasciato il circolo si trasformano in Macrofagi. – Sono fagociti molto efficienti, eliminano cellule morte o danneggiate (eritrociti), antigeni e batteri. – Secernono citochine che attivano risposta infiammatoria, la proliferazione e la maturazione di altre cellule.
Monociti • Dove funziona il sistema Monociti. Macrofagi: – Pelle -> Cellule di Langerhans – Osso -> Osteoclasti – Fegato -> Cellule di Kuppfer – Cervello -> Microglia
Linfociti – 20 -25% di tutti i globuli bianchi. • Aspetto: – Nucleo eccentrico, denso e che occupa circa il 90% della cellula. – Citoplasma scarso, color blu tenue con pochi granuli azzurrofili. – 8 -10 µm di Ø. – Visivamente non si distinguono i Linfociti B (15%) dai Linfociti T (80%) e dai Natural Killer (NK, 5%).
Funzione dei Linfociti – Non svolgono attività in circolo, ma nel connettivo. Acquisita la competenza migrano nei linfonodi e nella milza, dove formano cloni di cellule identiche. – Dopo stimolazione mediante antigene proliferano e differenziano in due popolazioni: • Cellule con memoria, non partecipano alla risposta immunitaria, ma rimangono nel clone e sono pronte a rispondere a quell’antigene. • Cellule effettrici, linfociti immunocompetenti che possono essere classificate come Linfociti B e T.
• Linfociti B: – si formano e divengono immunocompetenti nel midollo osseo. Responsabili della risposta immunitaria umorale. – Possono differenziare in Plasmacellule e produrre anticorpi. • Linfociti T: – – migrano dal midollo osseo al Timo dove maturano. Costituiscono il sistema immunitario, risposta cellulo -mediata. • T Citotossici: contatto diretto ed uccisione cellule estranee o infette; • T Helper: inizio e sviluppo della risposta immunitaria; • T Suppressor: soppressione della risposta immunitaria.
• Null cells: – Cellule Staminali, circolanti ed in grado di differenziare in tutti gli elementi figurati del sangue; – Natural Killer, sono in grado di uccidere le cellule estranee o trasformate senza l’intervento dei Linfociti T.
Piastrine • Residui cellulari derivanti dalla rottura dei megacariociti nel midollo. • 2 -4 µm di Ø, forma discoidale, . • Fondamentali per la coagulazione.
Coagulazione • Processo che impedisce l’emorragia in caso dei rottura dei vasi. Attivazione delle piastrine e dei fattori di coagulazione
Ematopoiesi Cellula Staminale Proeritroblasto Eritroblasto basofilo Mieloblasto Linfoblasto Mielocita Basofilo Eritroblasto ortocromatico Megacarioblasto Promielocita Eritroblasto policromatofilo Espulsione del nucleo Monoblasto Eosinofilo Reticolocita Megacariocita Neutrofilo Metamielocita Monocita Rottura Piastrine Eritrocita Cellule Rosse del sangue Basofilo Eosinofilo Neutrofilo Linfocita Granulociti Cellule Bianche del sangue Agranulociti
Tessuti Ematopoietici Mieloidi • Midollo osseo: – Cavità midollare ossa lunghe e tra le trabecole delle spugnose. – Consistenza gelatinosa, altamente vascolarizzato, separato dal tessuto osseo dall’endostio. – 5% del peso corporeo. – è responsabile della produzione di tutte le cellule del sangue (ematopoiesi). – Maturazione dei linfociti B e formazione dei linfociti immaturi T. – Pluripotente cellule staminali ematopoietiche • Possono differenziare in tutti i tipi cellulari del sangue in seguito a stimolo appropriato.
Ematopoiesi
Midollo Osseo • Fonte di tutte le componenti cellulari del sistema immunitario
• Sinusoidi: – Tapezzati da endoteliali – Circondati da • sottili fibre reticolari • Isole ematopoietiche: – Cellule ematiche a diversi stadi di maturazione, – Macrofagi, distruggono nuclei eritrociti e cellule alterate.
Midollo Rosso Sinusoidi Codoni ematopoietici o Isole ematopoietiche Endoteliali Adipociti
• Midollo Rosso: – Nel neonato, molti eritrociti. • Midollo Giallo: – Nelle diafisi delle ossa lunghe dopo i 20 anni. Accumulo di grasso che sostituisce i tessuti ematopoietici. • Vascolarizzazione: – Arterie sfioccano in piccoli vasi che formano ampia rete di sinusoidi, confluiscono in vena longitudinale centrale e poi vasi in uscita. – Tra le maglie di questo comparto vascolare si trovano isole di cellule emopoietiche, collegate tra loro a formare il comparto ematopoietico.
• Linfociti B: – si formano e divengono immunocompetenti nel midollo osseo. Responsabili della risposta immunitaria umorale. – Possono differenziare in Plasmacellule e produrre anticorpi. • Linfociti T: – – migrano dal midollo osseo al Timo dove maturano. Costituiscono il sistema immunitario, risposta cellulo -mediata. • T Citotossici: contatto diretto ed uccisione cellule estranee o infette; • T Helper: inizio e sviluppo della risposta immunitaria; • T Suppressor: soppressione della risposta immunitaria.
Anticorpi (Immunoglobuline) • Prodotti dalle plasmacellulle • Possono essere tagliati in 2 frammenti – Fab • contiene la regione ipervariabile. – Fc • interagisce con i recetttori espressi dalle cellule fagocitiche.
Classi di Anticorpi • Originano da differenze nella Regione Costante – Ig. E risposta allergica. – Ig. A secreti dai tessuti linfoidi della – Ig. D – Ig. G – Ig. M mucosa. espressi da linfociti B maturi, naïve. sono i più abbondanti, maggior affinità. prima classe che appare nei linfociti B.
Immunologia Comparativa
Organi del Sistema Immunitario Tonsille ed Adenoidi Timo Linfonodi Milza Placche del Peyer Appendice Midollo Linfonodi Linfatico
Mastociti (non stanno nel sangue ma nel connettivo!! • Funzione: – Intervengono nelle reazioni allergiche • Contengono: istamina (vasodilatatore), ed eparina (anticoagulante). • Distribuzione: – Derma, Rivestimento gastro-intestinale, Perivascolare, Rivestimento vie respiratorie
• Aspetto: – Cellule larghe, rotondeggianti od ovoidali, – Granuli secretori sferici addossati alla membrana. – Numerosi mitocondri – Poco r. ER e Golgi abbondante Mastociti
Macrofagi • Sia fissi che mobili. • Funzione: – Fagocitano residui e li degradano attraverso i lisosomi – Fonte delle proteine del complemento e dei regolatori della crescita – Aiutano la risposta immunitaria • Origine: – Derivano dai moniciti del sangue – Possono avere nomi caratteristici: istiociti
• Aspetto: cellule con forma da rotondeggiante ad ovoidale, nucleo scuro e periferico, a volte si possono vedere i materiali fagocitati.
Cellule del Plasma • Cellule migranti. • Origine: – Discendenti dei linfociti B (globuli bianchi) • Funzione: – Acquisizione della risposta immunitaria – Fonte degli anticorpi circolanti – Produzione e rilascio delle Ig. G • Distribuzione: – Connettivo lasso, – Tessuti linfoidi (milza e linfonodi) – Sangue
• Aspetto: – Citoplasma basofilo – Golgi evidente – Nucleo grande e rotondeggiante