Sangue ed Ematopoiesi Le Cellule del Sangue e






















































































- Slides: 86
Sangue ed Ematopoiesi Le Cellule del Sangue e la loro Origine
Sistema Circolatorio CUORE FEGATO STOMACO RENI VASI LINFATICI VENA ARTERIA
Plasma % in Peso (% in peso) Albumine 58% Proteine 7% % in Volume (5 litri) Globuline 38% Fibrinogeno 4% Altri fluidi e tessuti 92% Acqua 91% Ioni Nutrienti Prodotti di Rifiuto Gas Sostanze regolatrici (ormoni) Composizione del sangue Sangue 8% Plasma 55% Altri soluti 2% Elementi Figurati (x mm 3) Elementi Figurati 45% Piastrine 250 -400. 000 Globuli Bianchi 5 -20. 000 Neutrofili 60 -70% Linfociti 20 -25% Globuli Rossi 4, 2 -6, 2 milioni Monociti 3 -8% Eosinofili 2 -4% Basofili 0. 5 -1%
Sangue • Connettivo specializzato • Fluido viscoso • Leggermente alcalino, p. H 7. 4 – Deve essere mantenuto in un range molto ristretto • Colore rosso – Emoglobina • Circola all’interno del Sistema Vascolare • Plasma – Porzione liquida • Globuli Rossi, Globuli Bianchi e Piastrine – Porzione corpuscolata o figurata
Sangue • Plasma – 55% del volume – Acqua – Elettroliti – Proteine plasmatiche • Albumina • Globuline • Fibrinogeno – Sostanze trasportate dal plasma • Nutrienti • Prodotti di rifiuto • Gas della respirazione • Molecole Segnale
Proteine del Plasma • Albumina – Prodotta dal Fegato – Mantiene pressione osmotica e trasporta metaboliti insolubili • e Globuline – Prodotte dal Fegato – Trasporto ioni metallici, proteine che legano lipidi e vitamine liposolubili • Globuline – Prodotte dalle Plasmacellule • Anticorpi circolanti per la difesa immunitaria • Proteine della coagulazione – Prodotte dal Fegato – Protrombina e Fibrinogeno
Proteine del Plasma plasmatiche • Proteine del complemento – C 1 -C 9 – Prodotte dal Fegato – Difesa dai microorganismi – Risposta infiammatoria – Chilomicromi • Trigliceridi al fegato – Lipoproteine a densità molto bassa (VLDL) • Trigliceridi dal fegato alle cellule – Lipoproteine a bassa densità (LDL) • Colesterolo dal fegato alle cellule • Lipoproteine
Elementi Figurati • Eritrociti – Globuli Rossi • 99% delle cellule • Trasportano Ossigeno • Piastrine – Frammenti cellulari • Megacariociti – Coagulazione • Leucociti – Globuli Bianchi – Proteggono dalle infezioni e insorgenza tumori – Granulari • Polimorfonucleati • Neutrofili, basofili, eosinofili – Agranulari • Linfociti e Monociti
Eritrociti (Globuli Rossi) • 4 -5 x 106/mm 3 • Non-nucleati – Nucleo perso durante la maturazione • Forma di disco biconcavo • Dimensioni circa 8 x 2 µm • Contengono: – Emoglobina – ATP, lipidi, anidrasi carbonica • Trasportano – – Ossigeno dai polmoni ai tessuti Anidride carbonica dai tessuti ai polmoni
Eritrociti
Emoglobina • Grossa proteina tetramerica • 4 catene legate covalentemente ad un gruppo Eme • Trasportatore dei gas respiratori – Ossiemoglobina • Legata all’ossigeno – Carbaminoemoglobina • Legata alla CO 2 – Trasporta anche ossido nitrico (NO) • 4 tipi di globine • – Feto • Hb. F – – Adulto • Hb. A 1 – , 96% del totale • Hb. A 2 – , 2% del totale • Hb. F – Restante 2%
Membrana cellulare • Molto flessibile • Resistente alle forze tangenziali • Proteine 50% • Lipidi 40% • Carboidrati 10% – Prevalentemente integrali • Trasportatori anioni • Canali ionici, potassio calcio-dipendenti e Pompe Na-K – Glicoforina A – Banda 4. 1 • Ancoraggio – Banda 3 Glicoforine • Ancoraggio Anchirina – Superficie extracellulare – Determinano gruppo sanguigno • Antigeni A e B – Fattore Rh (M. rhesus) • Complesso gruppo di antigeni (C, D, E) • 85% popolazione Rh+ • Rh- mutazione spontanea poco rappresentata, non frutto della manipolazione aliena
Gruppo Sanguigno • I gruppi sanguigni sono quattro. A, B, AB e 0 • Ognuno di essi si distingue dall’altro per la presenza o assenza di antigeni sulla superficie dei globuli rossi • Gruppo sanguigno A • La membrana presenta un antigene A • Sono presenti gli anticorpi B • Gruppo sanguigno B • La membrana presenta un antigene B • Sono presenti gli anticorpi A • Gruppo sanguigno AB • La membrana presenta sia l’antigene A che l’antigene B • Non vi sono anticorpi • È il ricevente universale • Gruppo sanguigno 0 • La membrana non presenta né l’antigene A né l’antigene B • Può donare il sangue a tutti, ma può riceverlo solo dal suo stesso gruppo
Gruppo Sanguigno • Molti antigeni espressi sulla membrana, in aggiunta agli antigeni A, B, 0 e Rh • Ad oggi 30 sistemi diversi di classificazione dei gruppi sanguigni ufficialmente riconosciuti Gruppo Anticorpi presenti Residuo caratteristico Genotipo 0 - Anti-A e Anti-B ii A N-acetilgalattosamina Anti-B I Ai o I AI A B Galattosio Anti-A I Bi o I BI B N-acetilgalattosamina e Galattosio - I AI B AB
Eritrociti
Citoscheletro • Reticolo esagonale di tetrameri di Spectrina, Actina, Adducina, ancorato ad Anchirina e Banda 4. 1 • Contribuisce al mantenimento della forma e dell’inegrità strutturale e funzionale Complesso di giunzione Adducina Actina Spectrina Actina Banda 4. 1 Ankirina Banda 4. 1 Spectrina Banda 3 Tropomiosina Glicoforina
Eritrociti Anormali • Cambiamenti Osmotici – Difetto funzionalità renale • Difetti genetici a carico dell'emoglobina – Anemia falciforme – Talassemia • Elissocitosi e Sferocitosi – Deficienza di spettrina nella membrana cellulare
Policitemia • Aumento degli eritrociti circolanti – Aumento della viscosità del sangue – Possibile ostacolo alla circolazione – Policitemia secondaria • Causata dall'altitudine • Bassa tensione di ossigeno – Policitemia vera • Cancro al midollo provoca aumento degli eritrociti • Aumento dei reticolociti – Precursori nucleati degli eritrociti – Emorragia – Recenti ascese in alta quota
Rimozione degli Eritrociti • Vita media = 120 giorni • Percorre l’intero sistema circolatorio almeno 100. 000 volte • Se ne occupano la Milza e/o il Fegato • Eritrofago – Una forma patologica di neutrofilo
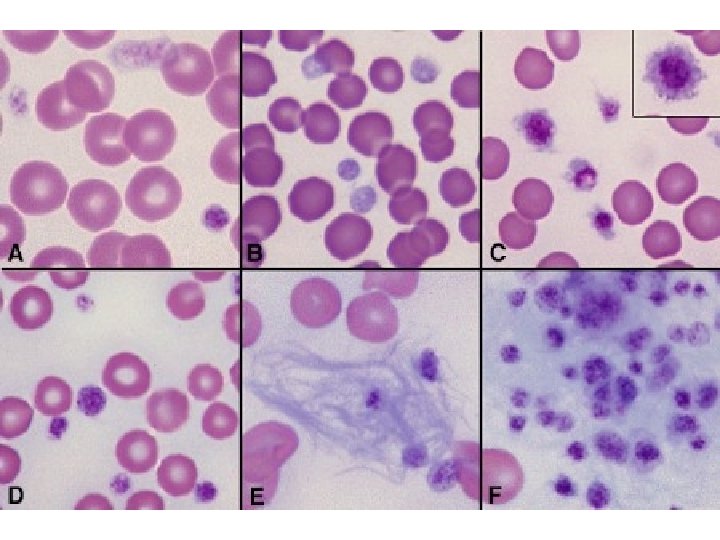
Leucociti • Sono le Cellule Bianche del sangue • 5. 000 -20. 000/mm 3 • Non svolgono funzioni nel circolo – Lo usano per spostarsi nell’organismo – Arrivati a destinazione escono attraverso l’endotelio dei vasi -> Extravasazione – Entrano nel connettivo dove funzionano • Forma tonda nei vasi, mentre varie forme nel connettivo • Funzione – Difesa dell’organismo da sostanze estranee • Microorganismi – Rimozione cellule morte e residui cellulari
Leucociti • Granulociti – Granuli specifici nel citoplasma – Neutrofili • Piccole cellule fagocitiche – Basofili • Rilascio di istamina • Aumento della risposta infiammatoria – Eosinofili • Diminuzione della risposta infiammatoria • Agranulociti o agranulari – Non presentano granuli citoplasmatici • Linfociti – Sono le cellule del Sistema Immunitario • Monociti – Sono i precursori circolanti dei Macrofagi
Neutrofili • Sono i leucociti più comuni, ˜ 60 -70% • Sono fagociti – Distruggono i batteri che invadono il connettivo • Aspetto – Nucleo Multilobato • Leucociti polimorfonucleati • 3 -5 lobi connessi da sottili tratti di cromatina, aumentano con l’età • Cromosoma X inattivo, cromatina condensata a forma di “bacchetta di tamburo” (drumstick) o corpo di Barr – Diametro 9 -12 µm – Granuli citoplasmatici
Drumstick o Corpo di Barr Nucleo Centriolo Granuli
Neutrofili • Granulazione: – Piccoli granuli specifici • 0. 1 µm Ø • Collagenasi IV, fosfolipasi A 2, lisozima, fosfatasi alcalina – Grossi granuli azzurrofili • 0. 5 µm Ø • Lisosomi – Idrolasi acide, mieloperossidasi, lisozima, elastasi, catepsina G e collagenasi aspecifica – Granuli terziari • Gelatinasi e catepsine, glicoproteine
Neutrofili • Funzione – Cellule molto mobili, primi ad arrivare sul luogo di un infezione – Rispondono a fattori chemiotattici • Rilasciati da tessuti danneggiati – Lasciano il circolo – Aderiscono alle selectine delle cellule endoteliali delle venule » Indotte (IL-1 e TNF) a produrre ICAM-1 a cui si legano le integrine dei neutrofili – Smettono di migrare e si preparano ad entrare nel connettivo – Producono e rilasciano leucotrieni innescando il processo infiammatorio
Fagocitosi di un batterio
• Fisiologica – Stress, lavoro, neonati, esercizio • Infezione • Infiammazione/necrosi di tessuti – Necrosi da tumore, trauma, dermatite • Droghe/sostanze chimiche – Steroidi, epinefrina, digitale, eparina • Metabolica – Acidosi diabetica, gotta, ipertiroidismo, uremia Neutrofilia
Neutropenia • Il midollo osseo non produce le cellule • Cellule non maturano (morte intra-midollare) – Depressione del midollo osseo • Anemia aplastica, deficienza di vit b 12, chemioterapia, benzene, Et. OH, radiazioni – Reazione a medicinali • Cloramfenicolo, PCNS, sulfonamidi, diuretici, ipoglicemici – Trapianto di midollo – Difetto ereditario • Anemia di Fanconi, sindrome di Kostman
Ipersegmentazione • Troppe cellule mature in circolo • Focolai di infezione ed infiammazione • Ustioni • Post chemioterapia • Gravidanza
Eosinofili • 2 -4% di tutti i globuli bianchi • Aspetto – Forma tonda nel circolo, 10 -15 µm Ø – Variabile nel connettivo – Nucleo bilobato a forma di occhiale • Granulazione – Granuli specifici • 1 -1. 5 x 1 µm, "rosso-arancio” • Parte interna, cristallina, elettrondensa – Proteina basica maggiore, proteina cationica eosinofila e neurotossina • Parte esterna, meno elettrondensa – Fosfolipasi, Fosfatasi acida, ribonucleasi, catepsine, perossidasi – Granuli azzurrofili • Aspecifici, lisosomi
Funzione Cellule fagocitiche con affinità per i parassiti Contribuiscono ad eliminare i complessi antigene-anticorpo • Rilascio proteina basica • Legame istamina, leucotrieni e fattore maggiore o cationica eosinofila chemiotattico eosinofilo – Causa buchi nella parete e morte (dai mastociti, neutrofili del parassita e basofili) ai recettori – Rilascio sostanze che inattivano degli eosinofil iniziatori della risposta infiammatoria (istamina e lucotriene C) e fagocitano complessi antigene-anticorpo – Complessi internalizzati vengono degradati dagli endosomi – Favorisce migrazione ai siti dove reazione allergica, infiammatoria e parassiti presenti
Eosinofilia • Neoplasia • Reazioni allergiche • Parassiti Eosinopenia • Stress acuto • Infezioni • Steroidi/sindrome di Cushing
Basofili • Sono i leucociti meno comuni, meno dell 1% di tutti i globuli bianchi • Aspetto – 8 -10 µm di Ø – Nucleo ad S, spesso mascherato dalla presenza di numerosi granuli citoplasmatici • Granulazione – Granuli specifici • Blu scuro. Si dispongono alla periferia del citoplasma dando origine al “perimetro rugoso”. • Eparina, istamina, perossidasi, fattore chemiotattico eosinofilo e neutrofilo – Granuli azzurrofili • Aspecifici • Lisosomi
Funzione • Reazioni di iper-sensibilità immediata (allergie) • Iniziatori della risposta infiammatoria • Membrana dei Basofili e dei Mastociti presenta dei Recettori per le Ig. E – “Attivati” dal legame con le Ig. E prodotte dalle plasmacellule • Secondo incontro con antigene induce la risposta vera e propria – Legame antigene alle Ig. E, induce rilascio dei Granuli Specifici • Fosfolipasi agisce sulle membrane e forma Acido Arachidonico, Arachidonico metabolizzato a Leucotrieni • Istamina provoca vasodilatazione, contrazione muscolatura liscia del respiratorio e alterata permeabilità vasi sanguigni • Leucotrieni, Leucotrieni effetto simile ad istamina ma più lento e duraturo. Attivano leucociti e ne inducono la migrazione
Basofilia • Reazioni di ipersensibilità – Allergie, asma, eczema • Ipotiroidismo • Colite ulcerosa • Varicella Basopenia • Stress • Infezioni • Steroidi/sindrome di Cushing
Monociti • Sono le cellule più grandi del sangue • 3 -8% di tutti i globuli bianchi. • Rimangono in circolo solo pochi giorni, poi migrano nel connettivo dove differenziano in Macrofagi • Aspetto – 10 -20 µm di Ø – Nucleo grande, eccentrico, forma a ferro di cavallo o fagiolo. Occupa circa 50% della cellula – Citoplasma grigio-azzurro con granuli azzurrofili e piccoli vacuoli
Funzione • Dopo aver lasciato il circolo si trasformano in Macrofagi – Sono fagociti molto efficienti • Eliminano cellule morte o danneggiate (eritrociti), antigeni e batteri • Secernono citochine che attivano risposta infiammatoria, la proliferazione e la maturazione di altre cellule – Cellule che presentano l’antigene (APC) • Fagocitano antigeni ed espongono epitopi maggiormente antigenici alle cellule immunocompetenti – In presenza di antigeni corpuscolati molto grandi si fondono tra loro e formano le Cellule Giganti da Corpo Estraneo
Monociti • Dove funziona il sistema Monocita-Macrofago • In tessuti prendono nomi particolari – Pelle -> Cellule di Langerhans – Osso -> Osteoclasti – Fegato -> Cellule di Kuppfer – Cervello -> Microglia
Monocitosi • Infezioni – – – Tubercolosi Sifilide Salmonella Listeria Brucellosi • Tumore di Hodgkins • Disturbi Gastrointestinali – Colite ulcerosa Monocitopenia • Steroidi
Linfociti 20 -25% di tutti i globuli bianchi • Aspetto – Nucleo eccentrico, denso e che occupa circa il 90% della cellula – Citoplasma scarso, color blu tenue con pochi granuli azzurrofili – 8 -10 µm di Ø – Visivamente non si distinguono • Linfociti B (15%) • Linfociti T (80%) • Natural Killer (NK, 5%)
Funzione dei Linfociti • Non svolgono attività in circolo, ma nel connettivo • Acquisita la competenza migrano nei Linfonodi e nella Milza • Formano cloni di cellule identiche • Dopo stimolazione mediante antigene proliferano e differenziano in due popolazioni: • Cellule con memoria • Cellule effettrici – Non partecipano alla risposta immunitaria, ma rimangono nel clone e sono pronte a rispondere a quell’antigene – Linfociti immunocompetenti – Linfociti B – Linfociti T
• Linfociti B – Si formano e diventano immunocompetenti nel Midollo Osseo – Localizzati nei tessuti linfoidi – Responsabili della risposta immunitaria umorale – Possono differenziare in Plasmacellule • Producono gli anticorpi circolanti • Ig. G
• Linfociti T – Migrano dal Midollo Osseo al Timo dove maturano – Costituiscono risposta cellulo-mediata del sistema immunitario • T Citotossici – Contatto diretto ed uccisione cellule estranee o infette • T Helper – Inizio e sviluppo della risposta immunitaria • T Suppressor – Soppressione della risposta immunitaria
• Null cells – Cellule Staminali • Circolanti ed in grado di differenziare in tutti gli elementi figurati del sangue – Natural Killer • Sono in grado di uccidere le cellule estranee o trasformate senza l’intervento dei Linfociti T
Linfocitosi • Il numero varia con gli anni • Infezione virale • Altre infezioni – Sifilide – Toxoplasmosi – Micoplasma • Altro – Autoimmunità – Ipertiroidismo – Trapianto (rigetto) Linfocitopenia • Diminuzione nella produzione – Immunodeficienza ereditaria – AIDS • Aumento dell'eliminazione – Steroidi/sindrome di Cushing – Radiazioni, chemio
Piastrine • Residui cellulari derivanti dalla rottura dei megacariociti nel midollo • 2 -4 µm di Ø, forma discoidale • Regione periferica chiara detta Ialomero • Regione centrale detta Granulomero • Membrana plasmatica numerosi recettori e glicocalice spesso • 250 -400. 000/mm 3 • Presentano molti organelli ma prive di nucleo • Fondamentali per la coagulazione
Anatomia di una piastrina • Sistema tubulare denso e aperto sulla superficie • Granuli – Granuli alfa • Fibrinogeno • Fattori di coagulazione – Granuli delta • Fattori aggregazione e vasocostrizione – Granuli lambda • Enzimi idrolitici, dissoluzione del coagulo Ialomero vs. Granulomero
Coagulazione • Processo che impedisce l’emorragia in caso dei rottura dei vasi – Normalmente l’aggregazione delle piastrine impedita dalle cellule endoteliali, produzione di Prostaciclina e NO – Presenza sulla membrana di Trombomodulina e Molecole Eparino-simili – Endotelio danneggiato rilascia Fattore di Von Willebrand e Tromboplastina Tissutale e cessa produzione inibitori. Endotelina potente vasocostrittore
• Attivazione piastrinica – Piastrine aderiscono al collagene sub-endoteliale • Rilasciano il contenuto dei granuli ed aderiscono le une alle altre • Rilascio di ADP e Trombospondina – Piastrine circolanti divengono “appiccicose” – Adesione a quelle già adese e de-granulazione • Acido arachidonico – Formatosi nell’attivazione, viene convertito in trombossano A 2 • Potente vasocostrittore ed attivatore delle piastrine – Piastrine aggregate funzionano da tappo ed esprimono sulla membrana il Fattore Piastrinico 3 • Superficie fosfolipidica adatta per l’assemblaggio dei fattori di coagulazione-Trombina
Attivazione dei fattori di coagulazione • Tromboplastina • Fibrina tessutale e piastrinica – Monomerica si aggrega e – Agisce sulla protrombina circolante – Trasformata in Trombina • Trombina – Aumenta l’attivazione delle piastrine e in presenza di Ca 2+ – Trasforma il Fibrinogeno (solubile) in Fibrina (insolubile) polimerizza formando un reticolo di fibrina – Intrappola gli elementi figurati del sangue – Si forma un ammasso gelatinoso, il coagulo sanguigno (trombo) – Eritrociti facilitano l’attivazione delle piastrine, mentre neutrofili ed endoteliali la limitano, delimitando le dimensioni del trombo
• Monomeri di actina e miosina – Dopo circa 1 ora, dalla formazione del coagulo, formano dei filamenti sottili e spessi – Provocano la contrazione del coagulo • 1/2 del volume iniziale – Riduzione della lesione e della perdita emorragica • Cellule endoteliali – Quando il vaso è riparato, rilasciano gli attivatori del plasminogeno – Convertono plasminogeno circolante in plasmina • Granuli lambda – Lisosomi delle piastrine • Lisano il coagulo insieme alla plasmina
Ematopoiesi Cellula Staminale Proeritroblasto Mieloblasto Linfoblasto Eritroblasto basofilo Megacarioblasto Promielocita Mielocita Eritroblasto policromatofilo Espulsione del nucleo Monoblasto Megacariocita Basofilo Eritroblasto ortocromatico Eosinofilo Reticolocita Eritrocita Basofilo Metamielocita Eosinofilo Granulociti Cellule Rosse del sangue Neutrofilo Linfocita Agranulociti Cellule Bianche del sangue Rottura Monocita Piastrine
Tessuti Ematopoietici Mieloidi • Midollo osseo – Cavità midollare ossa lunghe e tra le trabecole delle spugnose – Consistenza gelatinosa, altamente vascolarizzato, separato dal tessuto osseo dall’endostio – 5% del peso corporeo – Dal 5° mese è responsabile della produzione di tutte le cellule del sangue Ematopoiesi – Maturazione dei linfociti B e formazione dei linfociti immaturi T – Pluripotente Cellule Staminali Ematopoietiche • Possono differenziare in tutti i tipi cellulari del sangue in seguito a stimolo appropriato
• Midollo Rosso – Nel neonato, molti eritrociti • Midollo Giallo – Nelle diafisi delle ossa lunghe dopo i 20 anni – Accumulo di grasso che sostituisce i tessuti ematopoietici • Vascolarizzazione – Comparto vascolare • Arterie sfioccano in piccoli vasi che formano ampia rete di sinusoidi • Confluiscono in vena longitudinale centrale e poi vasi in uscita – Comparto ematopoietico • Tra le maglie del vascolare si trovano isole di cellule emopoietiche collegate tra loro
• Sinusoidi – Classica struttura con parete di Cellule Endoteliali – Circondati da Sottili fibre reticolari e Cellule reticolari avventiziali • Prolungamenti in direzione delle endoteliali, altri verso altre cellule reticolari in modo da formare una rete intorno alle cellule ematopoietiche • Accumulo di grasso nel loro citoplasma le trasforma in cellule adipose, riduce volume del comparto ematopoietico e trasforma midollo da rosso a giallo • Isole ematopoietiche – Cellule ematiche a diversi stadi di maturazione – Macrofagi • Distruggono i nuclei espulsi dagli eritrociti e le cellule alterate
Midollo Rosso Sinusoidi Endoteliali Codoni ematopoietici o Isole ematopoietiche Adipociti
• Prenatale Ematopoiesi – Divisa in 4 fasi – Fase mesoblastica • Mesoderma del sacco vitellino, seconda settimana vita intrauterina, le cellule mesenchimali si aggregano a formare Isole Sanguigne – Cellule periferiche danno origine alle pareti dei vasi, vasi mentre le altre divengono eritroblasti e differenziano in eritrociti nucleati – Fase mesoblastica • Sesta settimana di gestazione • Eritrociti nucleati, nucleati verso l’ottava settimana compaiono i leucociti
Ematopoiesi • Fase splenica – Secondo trimestre, prosegue fino al termine della gravidanza, insieme a fase epatica • Fase mieloide – Emopoiesi midollare – Inizia fine del secondo trimestre – Sviluppo sistema scheletrico induce midollo ad assumere ruolo predominante nella produzione delle cellule ematiche
Ematopoiesi • Postnatale – Avviene quasi esclusivamente nel midollo osseo – Produzione continua di cellule ematiche da precursori staminali • Ogni giorno più di 1011 cellule ematiche prodotte dal midollo – Cellule staminali vanno incontro a divisione e differenziamento
Ematopoiesi Cellule staminali emopoietiche pluripotenti – Circa 0, 1% delle cellule nucleate del midollo – Quiescenti, per mitosi generano altre cellule pluripotenti – Due tipi di staminali multipotenti • Origineranno le varie cellule progenitrici • CFU-S (Colony-Forming Unit-S) – Precursore della linea mieloide – Eritrociti, granulociti, monociti e piastrine • CFU-Ly (Colony-Forming Unit-Ly) – Precursore della linea linfoide – Cellule B e T
Ematopoiesi • Cellule progenitrici – Cellule Unipotenti (possono originare una singola linea cellulare) – Limitata capacità di autoriprodursi – Attività mitotica e differenziamento controllati da fattori ematopoietici specifici • Cellule precursori – Derivano dalle progenitrici – Perso la capacità autoriproduttiva – Caratteristiche morfologiche permettono la loro classificazione come i primi elementi di una linea particolare – Si dividono e differenziano, originando un clone di cellule mature
Ematopoiesi • Maturazione dei precursori è caratterizzata da – Riduzione delle dimensioni – Scomparsa dei nucleoli – Addensamento della cromatina – Comparsa nel citoplasma delle caratteristiche della cellula matura (granuli)
Ematopoiesi Fattori di crescita • Regolazione dell’ematopoiesi dipende da numerosi fattori di crescita e citochine – Prodotti da differenti tipi cellulari • Azione di un fattore su una particolare staminale, progenitrice o precursore ne induce proliferazione, differenziamento o ambedue
• Molti sono glicoproteine • 3 vie per raggiungere la cellula bersaglio – Tramite il circolo sanguigno • Ormoni – Secrezione da parte delle cellule stromali del midollo, midollo in vicinanza delle cellule ematopoietiche • Ormoni paracrini – Contatto diretto cellula-cellula • Molecole segnale della superficie
• Interleuchine – Stimolano la proliferazione delle staminali pluripotenti e multipotenti, multipotenti per mantenere costante il numero • IL-1, -3, -6 – Responsabili della mobilitazione e del differenziamento in progenitrici unipotenti • IL-3, -7, -8 , -11 , -12, eritropoietina, proteina inibente i macrofagi, etc
• Fattori stimolanti le colonie (CSF) – Stimolano mitosi e differenziamento cellule unipotenti della serie granulocitica e monocitica • Eritropoietina – Attiva le cellule della serie eritrocitaria • Trombopoietina – Stimola la formazione delle piastrine • Fattore delle cellule staminali – Prodotto dalle cellule stromali ed esposto sulla superficie – Agisce sulle staminali, che devono venire a contatto con le stromali – Confinamento nel midollo
Eritropoiesi • Processo tramite il quale vengono prodotti 2, 5 x 1011 eritrociti al giorno • Due tipi di progenitrici unità eritrocitarie • BFU-E (blast-forming units-erithrocyte) – Responsabili della maturazione • CFU-E (colony-forming units-erithrocyte) – Formano colonie • Abbassamento degli eritrociti circolanti, induce il rene a produrre eritropoietina
Eritropoiesi • Differenziamento CFU-S in BFU-E – Eritropoietina – IL-3 e -9, – Fattore delle staminali – Fattore stimolante le colonie monocitarie e granulocitarie • “Esplosione” mitotica BFU-E produce un elevato numero di CFU -E – Bassa concentrazione di eritropoietina per sopravvivere e generare proeritroblasto primo elemento della serie eritrocitaria
• Proeritroblasto • 14 -19 µm, nucleo rosso • Cromatina sottile, mitosi • Aggregati citoplasmatici grigio-blu periferici • Eritroblasto basofilo • 12 -17 µm, cromatina granulare • Un po’ di emoglobina • Eritroblasto policromatofilo • 12 -15 µm, nucleo denso • Cromatina molto granulare • No nucleoli, più emoglobina
• Eritroblasto ortocromatico • 8 -12 µm, nucleo piccolo tondo e denso, in fase di espulsione • Molta emoglobina • Reticolocita • 7 -8 µm, nucleo assente, assomiglia alla cellula matura ma si può colorare reticolo citoplasmatico blu • Ricco di emoglobina • Eritrocita • Nucleo assente • Citoplasma rosa • Solo emoglobina
Granulocitopoiesi • 800. 000 neutrofili, 170. 000 eosinofili e 60. 000 basofili al giorno • Unico precursore staminale unipotente origina i tre tipi di granulociti – Staminali pluripotenti CFU-Eo e CFU-Ba si dividono e originano il Mieloblasto – CFU-GM • Bipotente, origina la serie neutrofila (CFU-G) e quella Monocitaria (CFU-M) – CFU-G si divide ed origina Mieloblasto • Precursore di tutte e 3 le serie, indistinguibili tra loro • Originano i Promielociti
• Mieloblasto – 12 -14 µm, nucleo rosso-blu – Cromatina sottile, mitosi – Aggregati citoplasmatici blu e processi citoplasmatici • Promielocita – 16 -24 µm, nucleo rosso-blu – Cromatina granulare, mitosi – Citoplasma blu, no processi • Granuli azzurrofili
• Mielocita – 10 -12 µm, nucleo appiattito eccentrico –Cromatina granulare, mitosi –Citoplasma blu pallido • Granuli specifici ed azzurrofili • Matamielocita – 10 -12 µm, nucleo forma di fagiolo, denso –Cromatina granulare, no mitosi, no nucleoli –Citoplasma blu pallido • Granuli specifici ed azzurrofili
• Neutrofilo giovane – Nucleo a ferro di cavallo – Cromatina molto granulare, no mitosi – Citoplasma blu pallido • Granuli specifici ed azzurrofili • Neutrofilo – Nucleo multilobato – Cromatina molto granulare, no mitosi – Citoplasma rosa-bluastro pallido • Granuli specifici ed azzurrofili
Monocitopoiesi • Monociti condividono con i neutrofili la stessa staminale bipotente CFU-GM – Per mitosi originano CFU-G e CFU-M (monoblasti) • Promonociti – Derivano da CFU-M – Cellule grosse (16 -18 µm), nucleo reniforme eccentrico – Citoplasma bluastro numerosi granuli azzurrofili • Si formano 1010 monociti al giorno, maggior parte entrano nel circolo • Nel giro di un paio di giorni entrano nel connettivo e differenziano in Macrofagi
Formazione delle piastrine • Progenitore unipotente CFU-Mg origina il Megacarioblasto – 25 -40 µm – Nucleo unico multilobato – Endomitosi • Cellule non si dividono ma nuclei polipliodi, fino 64 N – Citoplasma bluastro con Granuli azzurrofili – Stimolato a proliferare e differenziarsi dalla trombopoietina
• Megacarioblasto differenzia in Megacariocita – 40 -100 µm – Nucleo unico plurilobato – Si dispongono vicino ai sinusoidi ed inviano al loro interno dei prolungamenti citoplasmatici – Si frammentano in seguito ad invaginazioni del plasmalemma, canali di demarcazione, demarcazione e danno origine a gruppi di Pro-piastrine – Pro-piastrine appena rilasciate si risolvono in singole piastrine – Rimasugli cellulari vengono fagocitati dai macrofagi
Megacariocita
Linfopoiesi • Staminali multipotenti CFU-Ly, CFU-Ly si dividono nel midollo osseo e formano – CFU-Ly. B • Negli uccelli migrano in diverticoli intestinali (borsa di Fabrizio), Fabrizio e si dividono varie volte dando origine a linfociti B immunocompetenti, immunocompetenti che esprimono marker di superfice tipici • Nei mammiferi gli stessi eventi si verificano nel midollo osseo – CFU-Ly. T • Si dividono e danno origine a linfociti T, T che migrano al timo dove proliferano, maturano ed incominciano ad esprimere i marker di superficie, diventando immunocompetenti • Elevata selezione ad opera del timo stesso e dei macrofagi • Linfociti migrano negli organi linfoidi, milza e linfonodi – Formano cloni di cellule immunocompetenti
Ematopoiesi Cellula Staminale Proeritroblasto Mieloblasto Linfoblasto Eritroblasto basofilo Megacarioblasto Promielocita Mielocita Eritroblasto policromatofilo Espulsione del nucleo Monoblasto Megacariocita Basofilo Eritroblasto ortocromatico Eosinofilo Reticolocita Eritrocita Basofilo Metamielocita Eosinofilo Granulociti Cellule Rosse del sangue Neutrofilo Linfocita Agranulociti Cellule Bianche del sangue Rottura Monocita Piastrine