SALIVARY GLANDS DR ARUN AWASTHI TUTOR DEPT OF











- Slides: 11
SALIVARY GLANDS DR. ARUN AWASTHI TUTOR DEPT. OF ANATOMY CIMS&H
Salivary glands • Accessory glands of digestion and pour their secretion (saliva) in to oral cavity. • Two types • Minor salivary gland: situated in the mucous membrane of lips, cheeks, soft palate , tongue. • Major salivary gland: parotid, submandibular , sub lingual gland
• Surrounded by connective tissue capsule , which sends septa to divide the gland into many lobes and lobules , these septa accompany blood vessels and ducts. • Intralobular, interlobar and main duct are lined by cuboidal, columnar and stratified columnar epithelium respectively. • Each lobule consist of closely packed masses of acini, which are lined by secretory cells • Acini- serous , mucous and mixed.
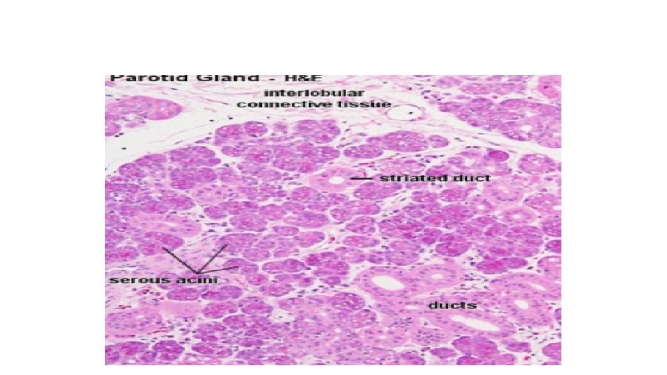
• On the basis of predominance type of acini the salivary gland are classified in three varieties: • 1). Serous Salivary Gland-eg. -Parotid Gland • 2). mucous salivary gland –eg. - Sublingual gland • 3). mixed salivary glands - contains all three types of acini • eg. SUB MENDIBULAR GLAND
Function of salivary gland • Secret saliva, composed of water, mucus, proteins, salts, salivary amylase (ptyalin), immunoglobulins(particularly Ig. A), Lactoperooxidise. • Serves to moisten food. • Lubricates and moistens and mucosa and lip. • It initiates the digestion of carbohydrates.
SEROUS ACINI • Lined by pyramidal cells , enclosing the small lumen. • Cells show basal basophilia and rounded nuclei toward the base. • Apical part of cytoplasm has zymogen granules. • Thin myoepithelial cells are located between the basement membrane and the serous cells
MUCOUS ACINI • The acini are is lined by low columner epithelium, is larger in size and has a bigger lumen the serous acinus • The nucleus is flattened , resting against the base ment membrane • The fresh condition the cyto plasm contais many pale droplets of mucinogen, the precursor of mucin • With H&E , The cytoplasm seems to be vacuolated • With periodic acidic schiuff (PAS) stain , the cytoplasm takes up of mejenta colour.
MIXED SALIVARY GLAND • Composed of both serous and mucous secreting cells. • Between mucous and basement membrane are half –moon shaped polyhedral granular serous cells, serous demilunes. • Fine canaliculi from the deminules pass between mucous secreting cells to reach the luman of acinus.