RTCA 220 General Angiography Cardiac Catheterization Interventional Radiology
































































- Slides: 64
RTCA 220 General Angiography, Cardiac Catheterization, & Interventional Radiology Bontrager: 17
General Angiography, Cardiac Catheterization, & Interventional Radiology Abstract: This section will cover general angiography. Emphasis will be placed on the equipment such as the typical angiography suite, guide wires and catheters, indications and contraindications for an angiographic procedure, contrast media, patient preparation and postprocedure care. Included will be a discuss on various angiographic procedures, including venography; cardiac catheterization; and interventional procedures. Objectives: At the end of this section, the student will be able to: • define angiography. • list and discuss the major arteries and veins in the body. • discuss the contrast used in angiography, including its advantages and disadvantages. • list and discuss the various injection techniques used in angiography. • list and discuss the equipment needed in angiography.
General Angiography, Cardiac Catheterization, & Interventional Radiology • name and discuss the various angiographic procedures, their indications, anatomy visualized, and overhead films obtained discuss the various venography procedures, their indications, anatomy visualized, and overhead film obtained • define cardiac catheterization. • briefly discuss the history of cardiac catheterization. • discuss the general indications and contraindications of cardiac catheterization. • list and discuss the various diagnostic and interventional —pharmacological and manipulative—cardiac catheterization procedures. • list and discuss the various interventional radiographic procedures. • discuss the future of Interventional Radiography
General Angiography • radiographic examination of the __________ following injection of a ______ contrast medium • may be performed in any vessel of the body – including biliary vessels, lymphatic vessels, arteries, and veins • informed consent signed
General Angiography Equipment 1. Requires a separate angiographic suite that can house specialized x-ray tube(s) and table and other equipment needed for angiographic procedures 2. Sometimes requires general anesthesia equipment 3. Generator – must be 3 -phase, 12 pulse or __________ – capable of 1000 -1500 m. A – short, ______exposure times – biplane equipment requires two tubes/C-arms with two separate generators
General Angiography Equipment 4. X-ray tube – _____ speed rotating anodes – _____ focal spot (0. 3 mm) ideal – larger focal spot (0. 6 mm) needed for some procedures
General Angiography Equipment 5. Single or biplane image intensification units – _____ type equipment preferable so patient does not need to be moved during procedure
General Angiography Equipment 6. Angiographic table – horizontal with ____ floating capability – should be programmable for when performing procedures on peripheral regions
General Angiography Equipment 7. Pressure injector – administers contrast at a consistent _______ and _______ – contains a control panel, ____ drive mechanism, syringes, and heating system
General Angiography Equipment 8. Emergency Equipment – ____ monitoring device – Pressure monitoring device – ________ devices
General Angiography • Injection Methods 1. Direct Injection – Direct stick into the _______ under examination 2. Percutaneous Catheterization – Seldinger technique – allows for the introduction of a needle, guide wire, and ______ into a specific vessel
General Angiography Equipment • Catheters and Guide wires 1. Will vary in length – 100 cm to 145 cm – and _____ • Contrast Media 1. organic, _____ based 2. ionic or non-ionic 3. ______ – may create an uncomfortable sensation since large volume of contrast is injected over a short period of time
Catheters Guidewires
General Angiography • Radiation Protection 1. _______, distance, shielding essential for radiographers 2. limit _____ size
General Angiography Procedures 1. Cerebral Angiography • Vessels of the brain
Coronal Sagittal
General Angiography Procedures 2. Pulmonary Angiography • Pulmonary _____
General Angiography Procedures 3. Abdominal Angiography • Branches off the abdominal _______
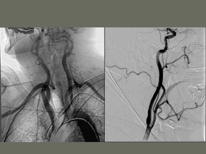
General Angiography Procedures 4. Aortic Arch (Three Vessel Study) • demonstrates aortic arch and the three vessels that rise from it • _____ view (patient positioned or C-Arm angled) helps prevent superimposition of the vessels and open the aortic arch
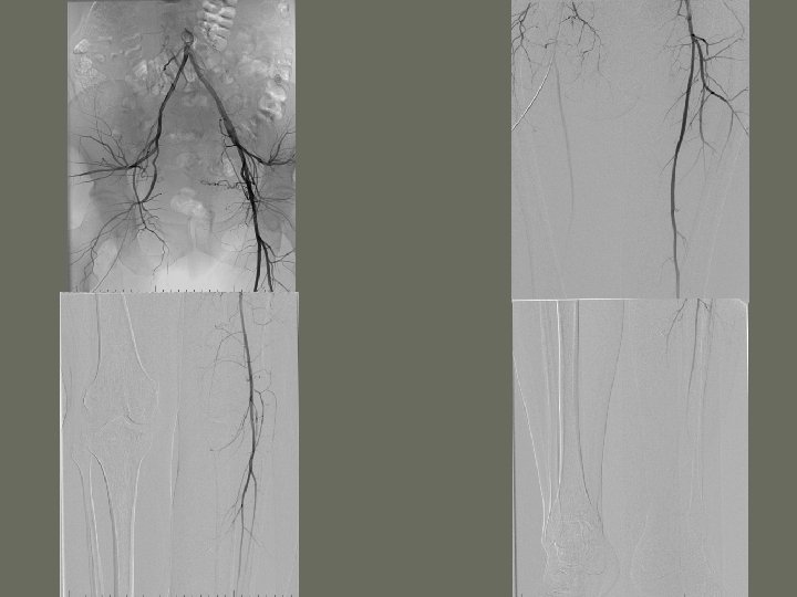
General Angiography Procedures 5. Peripheral Angiography • radiographic study of the vessels of the upper or lower limbs following the injection of contrast medium • Abdominal Aortography with _______
General Angiography: Peripheral Venography • radiographic study of the _____ veins from the ankle to the pelvic area, or the wrist to the shoulder • frequency declining due to vascular sonography (Doppler)
General Angiography: Venography • Vena Cava Venography 1. Abdominal venography • demonstrates the inferior vena cava and its branches particularly the ____ and _____ veins
General Angiography: Venography 2. Superior Vena Cava Venography • may be performed through ______ injection via the median cubital vein or catheterization and pressure injection
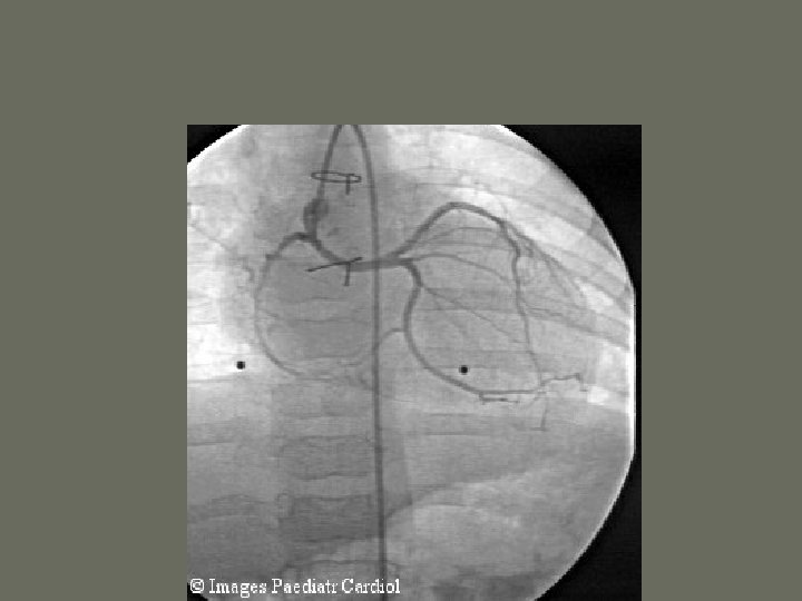
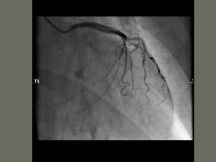
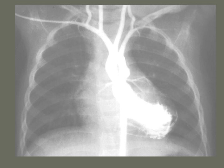
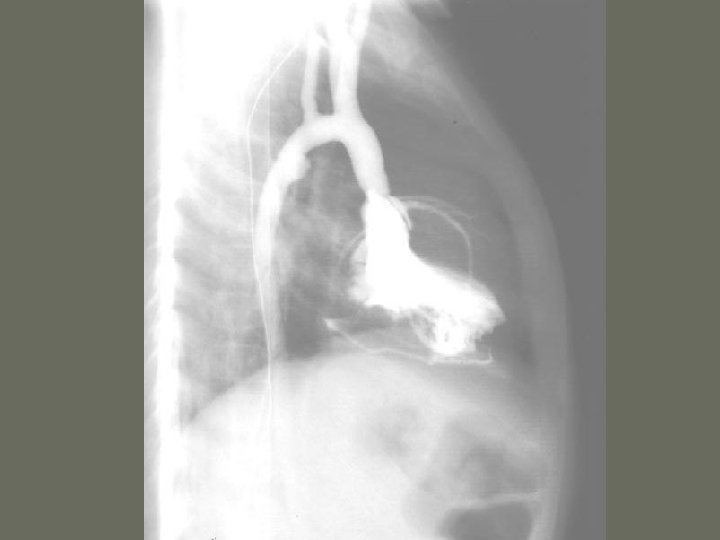
Cardiac Catheterization • one of the most common angiographic procedures performed in the US • may be performed as a cardiac ________ or angiocardiography • includes ________measurements • performed for a wide variety of problems dealing with the heart • Blood Supply to the Heart • Pulmonary Circulation
Pulmonary & Systemic Circulation
Cardiac Catheterization • Indications 1. Any condition that compromises blood _______ and ______ to the heart – chest pain – angina 2. major complication after acute ____(shock, CHF, valvular dysfunction • Contraindications 1. only absolute contraindication is the refusal of a mentally ______ patient to consent to the procedure
Cardiac Catheterization • Radiation Protection 1. T, D, S precautions 2. minimal fluoroscopic exposure _____ 3. decrease field size limit • Equipment 1. similar to that in the regular angiography suite 2. CC rooms contain more patient ________ equipment
Cardiac Catheterization
Cardiac Catheterization • Angiocardiography 1. radiographic evaluation of the _______ of the heart and various valves 2. hemodynamic monitoring is the evaluation and recording of the function of the heart 3. include oxygen saturation, pressure tracings, and cardiac _______
Interventional Radiology • Uses angiographic methods primarily for the _______ of disease • intervenes in a disease process • known as ________ • may be vascular or non-vascular procedures
Interventional Procedures • vascular procedures include: 1. infusion of chemotherapy drugs or _______ materials
Interventional Procedures 2. removal of foreign bodies ← Impacted chicken bone
Interventional Procedures 3. Percutaneous Transluminal Angioplasty – PTA • purpose is to _____ a stenotic vessel or to cannulize short arterial occlusions • compresses the _______ material against the vessel wall • arterial pressures are recorded prior to procedure
Interventional Procedures • Uses a ______ catheter – catheter placed over the stenosis and inflated with contrast medium
Interventional Procedures 4. Stent placement • Cage-like metal or plastic device placed in a vessel to enlarge the lumen • acts as ______ for the vessel wall • indicated when balloon angioplasty is _________
Interventional Procedures 5. Thrombolysis • injecting a thrombus _______ agent into a vsesel that is blocked due to a thrombus
Interventional Procedures 6. Transluminal Embolization of vessels • designed to ______ blood flow through certain vessels on patients with uncontrolled hemorrhage or highly vascular tumors Pre-↑ and Post↓ embolization of a malformation in a facial vessel
Interventional Procedures 7. Inferior vena cava filter • catches an _____ before is reaches the small vessels in the heart • prevents a pulmonary embolus
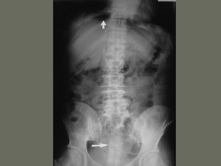
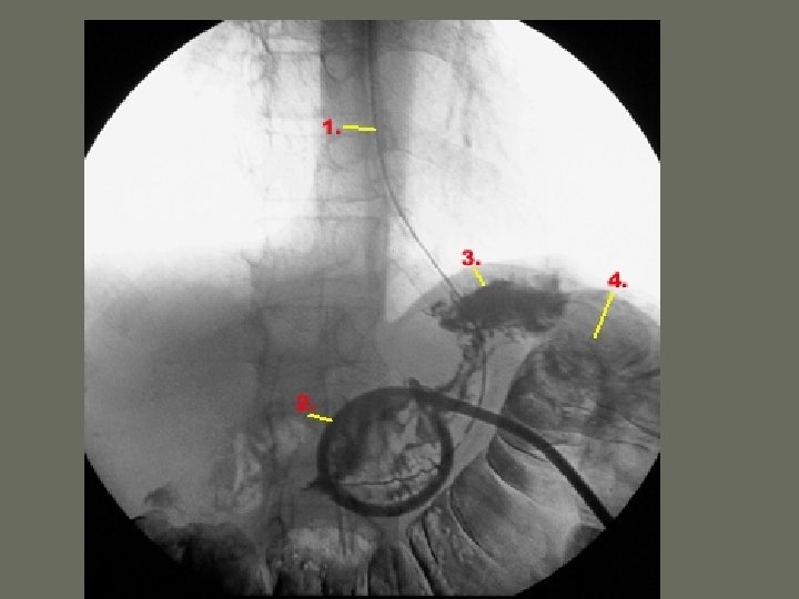
Interventional Procedures • Non-vascular procedures include: 1. Percutaneous Nephrostomy Tube – catheter is introduced through the _____, into the kidney and into the renal pelvis – may be used to remove _____, drain fluid or other interventions
Interventional Procedures 2. Percutaneous Biliary Drainage • internal or external drainage of ______, stone removal, dilation of obstructed bile duct and biopsy • catheter placed within the biliary ____ with a bag attached to the catheter outside the body
Interventional Procedures 3. Percutaneous Abdominal Abscess Drainage • indicated if a simple incision cannot be performed • abscess needs to be in a safe area for a _____ placement
Interventional Procedures 4. Percutaneous Gastrostomy • performed for extended _______ of patients unable to eat, gastric decompression, or dilation of upper GI tract • indicated for patients who cannot _______ due to a variety of reasons
Interventional Procedures 5. Percutaneous Needle Biopsy • suspicion of primary or _______ malignancy • portion of the infected tissue is removed for testing
Interventional Procedures 6. Ureteric Stent Placement • Inserted in ureter • performed after a percutaneous nephrostomy • used on patients with ________ of the renal system
Interventional Procedures 7. Percutaneous Lithotripsy • extracorporeal shock wave lithotripsy (ESWL) • renal stone is obliterated until they are ______ enough to pass through the urinary system