RNER SSTEM TA HASTALIKLARI Do Dr Hakan Koyuncu





































































































































- Slides: 133
ÜRİNER SİSTEM TAŞ HASTALIKLARI Doç. Dr. Hakan Koyuncu Yeditepe Üniversitesi Tıp Fakültesi Üroloji Anabilim Dalı
TARİHÇE Bilinen en eski ürolitiazis Mısır mumyalarında (6000 yıllık) Hippocrates (İ. Ö. 460 böbrek ve mesane taşını tanımlıyor, taş oluşumunu yaşam şekline bağlıyor. İ. Ö. 5. yy Asyalı hekimler renal kolik ve ağrıyı ayrıntılı olarak tanımlıyor. Zakariya al-Razi (864 -930) böbrek taşının fazla tuz tüketmekle ilgili olduğunu belirtriyor.
Tanım Üriner sistem taşları tüm üriner sistem boyunca görülebilen değişik miktarlarda kristaloid ve organik matriksten oluşan polikristalize sert oluşumlardır. Prostat patolojileri ve idrar yolu enfeksiyonlarından sonra üriner sistemi en büyük sıklıkla etkileyen üçüncü patolojik durumdur. Taş hastalığı tek bir nedenle değil, multipl, kompleks ve birbiri ile ilişkili birçok faktörün beraberce meydana getirdiği olaylar dizisidir.
EPİDEMİYOLOJİ ve ETİYOLOJİ Toplumlarda genel prevalans %4 -20 arasındadır. Türkiye’de prevalans %15 -18 civarındadır. Yaş (30 -50 yaş arası) Cinsiyet (Erkeklerde kadınlara göre 2 -2. 5 misli fazla) Tahmini yaşam boyu risk ise erkekler için % 12 ve kadınlar için ise % 5 kadardır. Beyaz ırkta ise siyah ırktan daha sık gözlenir (siyah ırk ve Amerikan yerlisinde az, eskimolarda görülmemekte). İklim (sıcak iklim kuşağında fazla)
Beslenme alışkanlığı (ağırlıklı olarak protein, karbondihrat ya da oksalattan zengin gıdalarla). Kalıtım (primer hiperoksalüri, sistinüri, ksantinüri) hastalığın insidans ve prevalansını etkileyen faktörlerdir. Aile öyküsü (1. derece akrabada varsa risk 3 kata yakın daha fazla ve erken nüks olasılığı yüksek. Önceden taş hastalığı geçiren olguların yaklaşık % 50 -70 kadarında 710 yıl içerisinde yeniden taş oluşabilir. Diyet , heredite ve fiziksel aktivite birbirlerini tamamlayan etyolojik faktörler olarak karşımıza çıkmaktadır.
Su alımı Günlük alınan su miktarının artması taş oluşma eğilimini belirgin şekilde azaltır. Diyet Pürin, oksalat, kalsiyum ve fosfordan zengin beslenmek ve ayrıca fazla şeker alımı taş oluşumunu arttırır. Fosforik asit ile asidifiye edilmiş içecekler kalsiyum içerikli taş oluşum riskini artırmaktadır. Alkol (kanda ürik asit ve idrarda kalsiyum/fosfat düzeyinde artış yapar) İdrardaki sitrat, magnezyum, florür, sülfat miktarı Bayanların idrarındaki sitrat miktarı yüksek olduğundan daha az üriner sistem taşına rastlanılır.
Öncesinde kalsiyum taş hastalığının varlığı Sosyoekonomik faktörler Meslek Doktorlar ve diğer sağlık personelleri, yüksek ısıda çalışanlar, ofis çalışanları İklim Sanayileşmiş ülkeler Sıcak ve kuru iklimde yaşayan bireylerde özellikle ürik asit taşlarının insidansı artmıştır Aile öyküsü (poligenetik) RTA, sistinüri,
İlaçlar ( aşırı alıma bağlı ) Antihipertansif ilaçlardan triamteren, diazide Sülfadiazine, acetazolamide Hipertansiyon (hiperkalsiüri ? ) İnce barsak hastalıkları ( örn: Chron hst, kısa barsak sendromu, ülseratif kolit, radyasyon enteriti) ve kronik diyare
Bazı özel koşullar; Böbrek nakli Gebelik Obezite Meduller sünger böbrek, polikistik böbrek hastalığı, at nalı böbrek, ektopik böbrek Renal tübüler asidoz (tip 1) Enfeksiyonlar Tümörler Kalis divertikülü
ETYOPATOGENEZ Taşların oluşumu 3 temel noktayı gerektirir İdrarın taşın yapısına giren maddelerce yoğun duruma gelmesi İnhibitör maddelerin ( sitrat, pirofosfat vs) eksikliği İdrar akım engeli ve staz
ETYOPATOGENEZ TEORİLERİ A. Süpersaturasyon – kristalizasyon teorisi B. İdrar inhibitörlerinin yokluğu teorisi C. Matriks – nükleasyon teorisi D. Epitaksi teorisi E. Kombine teoriler
Süpersaturasyon – kristalizasyon Belirli bir p. H ve ısıdaki sıvıya kristalize olabilen bir element eklendiğinde bu element ; Belirli bir konsantrasyona kadar eriyik halde kalır. Madde miktarı arttıkça sıvı doygunlaşır, madde çökmeye başlar. Çökmeye başladığı andaki satürasyon noktasına “ Solubility Product “ (SP) adı verilir. Süpersatüre idrarda kristalizasyonun başladığı noktaya ise “ Formation Product” ( FP) adı verilir. SP’dan önceki evde stabil zone , SP-FP arası metastable region adı verilir.
Stabil zonda kristal nüve oluşmaz , oluşsa da büyümez. Metastable bölümde varolan kristal nüve büyüyebilir. FP evresinde spontan kristal nüve oluşabilir. Kristal nükleasyon homojen yada heterojen olabilir. İdrardaki kristal kürecikleri agregasyona uğrar ve büyür. Her doygun idrarda kristal nükleasyon oluşmaz. Dolayısıyla bu teori tek başına yeterli değildir !!
İdrar inhibitörlerinin yokluğu Organik yapıdakiler : Yüksek moleküllü glikoproteinler (GAG) , Matrix-A , SH bağı içeren üromukoidler , Alanin , Sitrat en potent inhibitörik etki gösteren madde. İnorganik yapıdakiler : Fosfatlar , Pirofosfatlar , Ortofosfatlar , Magnezyum , Çinko Profilaktik tedavide pirofosfatlara dönüşen ortofosfatlar
Kalsiyom Okzalat Taşları İNHİBİTÖRLER PROMOTÖRLER Küçük moleküller Makromoleküller Sitrat Nefrokalsin Osteopontin Üropontin İnter-a-inhibitor Heparan sulfat Diğer GAGs THP Pirofosfat Magnezyum
Matriks Nükleasyon Matriks proksimal tüp epitel hücrelerinde yapılır. Matriks ; protein , heksan ve heksanaminler içerir. Matriks normalde kristal büyümesi ve agregasyonunu önleyerek inhibitör etki gösterir. Diğer yandan taş yapısının % 2 -10 kadarını matrix oluşturmaktadır. İdyopatik kalsiyum taşı hastalığında, tüp lümenleri içerisinde matriks üzerine gelişen kristal tabakalardan oluşan mikrolitler (mikrotaşlar) görülmektedir.
İdrardaki yabancı cisimler, epitel döküntüleri, eritrosit , lökosit, albumin, alfa-1 ve alfa-2 globulin gibi maddeler de matriks rolü oynayıp , üzerinde agregasyona ve taş oluşumuna zemin hazırlayabilirler. Matriks üzerinde “Substans-A” adlı immunolojik bir komponentin varlığına ve kristal aggregasyonunu başlatıp, hızlandırabilecek bir “taş spesifik antijen” kavramına dikkat çekilmiştir.
Muhtemel Matriks Promotörleri Hücre membran parçaları Hücresel yıkım ürünleri Fosfolipidler Lipidler Makromoleküller Heterojen kristalin maddesi
Epitaksi İdrarda artan satürasyon ile birlikte aynı maddeden çok fazla kristal oluşursa , bir süre sonra kristal büyümesi yavaşlayıp durabilir. İlk oluşan kristalin yüzeyine ikincil risk faktörü madde tutunursa iç ve dış tabakaları farklı taşlar oluşabilir. Örnek olarak ürik asit kristalleri üzerine kalsiyum oksalat maddesi epitaksi ile tutunur. Sistinin başka bir kristal nükleusu üzerine tutunduğu gösterilememiştir.
Kombine Teoriler Yukarıdaki teorilerin hiçbirisinin tek başına taş oluşumu aşamalarını açıklamaya yeterli olmadığı ve bu teorilerin birlikte etkili oldukları düşünülmektedir. Son yıllardaki bazı çalışmalara göre hiperokzalüri sonrasında okzalatın tüp epiteli üzerine olan toksik etkisi ile tüp epitelinde hasar oluştuğu ve oluşan kristallerin bu hasarlı alanlara tutunarak sistem içinde kalabildikleri , dolayısıyla tüp epiteli hasarlanmazsa kristallerin tutunamadığı düşünülmektedir.
Predispozan faktörler v İdrar p. H değişiklikler v Üriner sistem enfeksiyonları v Konjenital anomaliler v Ürostaz v Böbrekteki kalsifikasyonlar v Üriner sistemdeki yabancı cisimler, fistüller, tümörler, nekrotik doku parçaları
Taş oluşumu için gerekli şartlar Nükleasyon Kristal oluşumu Kristal aggregasyonu
Üriner süpersatürasyon Kristalizasyon, nükleasyon, büyüme ve agregasyon Renal tübüler hasar gelişimi Kristal – tübüler hücre etkileşimi Kristal tutunması, büyümesi ve agregasyonu ! TAŞ OLUŞUMU !
Kristalüri Papillada şekillenen bir kristal 10 -15 dakika içinde mesaneye, 3 -6 saat içinde de vücut dışına atılabilir. Kristalüri sıvı miktarına bağlı olarak gün içerisinde gerçekleşebilirken kristaller çoğunlukla dışarı atılarak birbirine tutunmaya ve büyümeye fırsat bulamaz. Fizyolojik kristalüri sıklıkla karşılabilen normal bir fenomendir.
TAŞ TİPLERİ Non-enfeksiyon taşları Kalsiyum okzalat Kalsiyum fosfat (brushit ve karbonat apatit) Ürik asit Enfeksiyon taşları Magnezyum amonyum fosfat Karbonat apatit Amonyum ürat
Genetik sebepli taşlar Sistin Ksantin 2 -8 dihidroksiadenin İlaç taşları
% 70 -88 kalsiyum içeren taşlar (Kalsiyum okzalat (%36 -70), Kalsiyum fosfat(apatit) (%6 -20) % 6 -20 Enfeksiyon (struvite) taşları (magnesium ammonium phosphate) % 6 -17 ürik asit % 0, 5 -3 sistin % 11 -31 mikst Aynı hastada birden fazla değişik içerikli taş oluşabilir. (Kalsiyum ve ürik asit).
KALSİYUM TAŞLARI Bunlar tüm böbrek taşlarının %70 -90 ını oluştururlar. Çoğunlukla mikst yapıdadır. Bütün taşların %80 inde yalnız veya esas komponent olarak Ca okzalat bulunur. Sakin ve hareketsiz kişilerde sık görülür. Kalsiyum taşlarının oluşumuna kalsiyum, ürik asit ve oksalatın yükselmesi ile sitratın azalması neden olur (hiperkalsiüri, hiperoksalüri, hiperürikozüri, hipositratüri).
Hiperkalsiüri Günde diyetle 1 gram kalsiyum alan sağlıklı erkeklerde 24 saatte idrarla 275 mg dan az kalsiyum atılır. Kadınlarda ise bu miktar 250 miligramdır. İdrarla atılan günlük kalsiyum miktarı < 4 mg/kg İdrar kalsiyumu > 4 mg/kg/24 saat ise hiperkalsiüri İdiyopatik kalsiyum taşı olan hastaların %50 -70’nin hiperkalsiürisi vardır.
1 -absorbtif hiperkalsiüri 2 -renal hiperkalsiüri 3 -rezorptif hiperkalsiüri 4 -diğer hiperkalsiüriler
Absortif hiperkalsiüri Normal kalsiyum alımı ortalama 900 -1000 mg-gündür. Bunun 1/3’ü ince barsaklardan absorbe edilir ve 1502000 mg idrarla atılır. En sık görülen hiperkalsiüri şeklidir. Kalsiyum oksalat taşlarının %50 -60’ından sorumludur. Temel bozukluk kalsiyumun intestinal hiperabsorbsiyonudur. D vitaminine cevabın artması ile barsaktan fazla miktarda kalsiyum absorbe olur, bunun sonucu dolaşımdaki kalsiyum konsantrasyonu ve renal filtrasyon yükü artar, paratiroid foksiyonları baskılanır.
Absorptif hiperkalsiüri 3 alt tipe ayrılır ; Tip I : Diyetle kalsiyum alımı sınırlı iken hiperkalsiüri Tip II : Diyetle yüksek kalsiyum alımı ile hiperkalsiüri Tip III : Renal fosfat kaçağına sekonder D vit sentezi artışı
Renal Hiperkalsiüri Renal hiperkalsiürideki primer anomalinin renal tübüler kalsiyum reabsorbsiyonundaki bozukluk olduğuna inanılır. Reabsorbsiyon bozukluğu bütün taş hastalıklarıın %10’undan sorumludur. Bunun sonucunda serum kalsiyum seviyesinin düşmesi, paratiroid hormonu sitümüle eder. Yani burada sekonder hiperparatiriodizm söz konusudur. Artan parathormon kemikte kalsiyum mobilizasyonu yapar, D 3 renal sentezi ve kalsiyum intestinal absorbsiyonu artar. Sonuçta renal filtre edilen kalsiyum yükü artar ve önemli hiperkalsiüriye sebep olur.
Rezorptif Hiperkalsiüri Primer hiperparatiroidizm ile karakterizedir. Taş hastalığının %4’ünden sorumludur. PTH’ın etkisiyle; kemikten kana Ca geçişi vitamin D etkisiyle kalsiyumun intestinal absorbsiyonu artar. Kan kalsiyumu yükselir ve neticesinde ; Hiperkalsemi Hiperkalsiüri Hipofosfatemi Hiperfosfatüri Böbreklerde multipl taşlar, nefrokalsinozis, tübülde kalsiyum depozisyonu vardır.
ABSORTİF HİPERKALSİÜRİ • SERUM Ca: N • PTH: NORMAL VEYA DÜŞÜK RENAL HİPERKALSİÜRİ • SERUM: Ca: N • SEKONDER PTH YÜKSEK REZORPTİF HİPERKALSİÜRİ • SERUM Ca: N • PRİMER PTH: YÜKSEK
Hiperokzalüri Alınan oksalatın %50 si bağırsak bakterileri tarafından tahrip edilir. %25’i gaytadan direkt atılır. %15 -20’si de bağırsaklar tarafından absorbe edilir. Absorbe edilen ve endojen olarak üretilen oksalat direkt olarak idrarla atılır. İdrarla atılan oksalatın %15 i GIS’ten emilen, %80 i ise iç kaynaklıdır. (askorbik asit %40 -glioksalik asit %60)
Hiperokzalüri İdrarla oksalat atılımı 40 mg/gün değerinin üzerindedir. Taş oluşumunda kalsiyumdan daha fazla etkili bir risk faktörüdür. Oksalat sıklıkla barsaktan fazla emilmektedir. Bu durumun sebebi olarak inflamatuar barsak hastalıkları , ince barsak rezeksiyonu , jejuno-ileal by-pass olabilir. Malabsorbsiyon tablolarında ise barsakta kalsiyum daha çok yağla bağlanması ile okzalatla bağlanacak kalsiyum seviyesi düşer ve okzalat daha çok emilir.
Hiperokzalüriler 3 alt tipe ayrılırlar. Primer (genetik) Enterik Dieterik
Primer hiperokzalüri Otozomal resesif geçişli bir patoloji olup sıklıkla nefrokalsinozis gelişir. < 40 yaş sıklıkla böbrek yetmezliği gelişir. Tip I’de Glyoxalate carboligase eksik (2. kromozomdaki AGXT gen mutastonu) Tip II’de ise D-glycerate dehydrogenase eksik (9. kromozomdaki GRHPR gen mutasyonu) İdrar yanısıra yüksek okzalat seviyeleri nedeni ile damar duvarı ve yumuşak dokularda da birikir.
Enterik hiperokzalüri Düşük Ca++ konsantrasyonuna bağlı olarak barsakta yetersiz Ca. Ox kompleks oluşumu söz konusudur. Yetersiz kalsiyum alımı GI bozulmuş safra ve yağ asitlerinin emilimi sonucu kalsiyum bu yapılar ile bağlanarak atılımı Safra asitleri ve yağ asitleri oksalatın barsak transportunu artırarak , absorbsiyonu provoke ederler Okzalatın bilinmeyen sebepler ile aşırı emilimi (Yeşil yaprakli sebzeler, limon, siyah üzüm, erik, çay, kakao, badem, ceviz, kahvede bol miktarda oksalik asit bulunur)
Diğer hiperokzalüriler Etilen glikol veya metoksifloran zehirlenmesi Yüksek dozlarda askorbik asit alımı ( > 5 mg/gün) Barsakta okzalat parçalayan bakteri ( Oxalobacter. Formigenes) azlığı
Hipositratüri Sitrat üriner taş oluşumunda en önemli inhibitördür. Kalsiyum tuzları ile çözünebilen kompleksler oluşturarak üriner kalsiyum saturasyonunu azaltabilir. İdiopatik seyreden kalsiyum taşlı olguların ve organik taşlı olguların önemli bir bölümünde hipositratüri sıklıkla tespit edilmektedir. Hipositratürik kalsiyum taşları genellikle renal tübüler asidozis tip 1 tiazid tedavisi ve kronik diareli hastalara eşlik eder. Oral yoldan diyet veya medikal tedavi yoluyla replase edilebilen önemli bir risk faktörüdür.
Etiyoloji: Distal renal tübüler asidoz Tiazid grubu diüretik kullanımı Kr. Diare Yoğun eksersiz sonrasında Gut hastalığı
Hiperürikozüri ü Hiperürikozüri pürinden zengin yiyeceklerin diyet ile aşırı alınımı ya da endojen ürik asit üretiminin aşırı fazlalığı neticesi ortaya çıkar. ü Monosodyum ürat ya da ürik asit kalsiyum oksalatın heterojenik nükleasyonunun direkt indüksiyonuyla ya da belli makromoleküler inhibitörlerin emilmemesi yoluyla başlatabilir. ü İdrar ph ı 5. 5 dan fazladır ü İdrar ürik asit düzeyi 24 saatte 600 mg’dan fazladır
Hipomagnezüri Mg kalsiyum böbrek taşları oluşumunda önemli bir inhibitördür. Hipomagnesüri büyük olasılıkla diyet orijinlidir.
ÜRİK ASİT TAŞLARI Proteinden zengin beslenen toplumlarda daha sıktır. Ürik asit pürin metabolizmasının son ürünüdür. Ürik asit insanlarda suda eriyen allanoine çevrilir ve böylece taş oluşmaz.
Mekanizmalar: 1) Üriner p. H nın azalması 2) Hiperürikozüri 3) Üriner p. H nın azalması + Hiperürikozüri Ürik asit insoluble bir maddedir. p. H 5. 75 olan idrarda ancak yarısı iyonize olabilir. p. H’sı 5 olan idrarda 50 mg/dl ürik asit eriyik halde bulunurken p. H sı 7 olan idrarda bu 200 mg/dl dir. Bu nedenle idrar asiditeye eğilimli olduğunda ürik asit taşı riski de artar.
Açlıkta idrar p. H sı %50 oranında 5 in altındadır (Normal insanlarda bu oran %15). İdrarın konsantre olması da taş riskini arttıran diğer bir faktördür. İltihabi bağırsak hastalığı Ülseratif kolit Kronik diyare
Et , balık , kümes hayvanlarından zengin beslenme Ürikozürik ilaç kullanımı (probenesid, askorbik asit. . . ) Alkolizm Obezite Dehidratasyon Aşırı asitli yiyecek ve içecekler Açlık Gut hastalarının % 20 -40’ında ürik asit taşı görülür
Ürik asit taşları NON-OPAKtır. Bu nedenler dirakt grafide görünmezler. İdrar p. H düşüklüğü İdrar ürik asiti >750 mg/gün Kesin tanı=TAŞIN ANALİZİ
ENFEKSİYON TAŞLARI (STRUVİT TAŞLARI) Tüm taşların % 10 -15 ini oluşturur. Kadın ve çocuklarda x 3 Magnezyum amonyum fosfat ve karbonat apatitinin bir karışımıdır. Struvite Kristalleri
Struvite taşları oluşumu için temel olarak 2 mekanizma gerekli: 1) Üre parçalayan (üreaz içeren ) bakterilerin oluşturduğu bir enfeksiyon olmalı 2) İdrar amonyum , fosfat ve karbonattan doygun hale gelmeli Enfeksiyon olmadıkça bu iyonlar süpersatürasyon göstermez!!
Bir hastada infeksiyon olsa dahi p. H> 5. 85 olmadıkça struvite taşı oluşmaz (fizyolojik sınır). Ancak üreaz içeren bakterilerle oluşan enfeksiyon varlığında ortama bol miktarda amonyum ve bikarbonat verilir. Böylece p. H alkaliye kayar.
Amonyum ve diğer iyonların idrarda süpersatüre hale gelmesi taş oluşumuna zemin hazırlar. Aynı zamanda gelişen alkalizasyon sonucu struvitin çözünürlüğü azalır. Struvite süpersatüre hale gelir ve kolayca kristalize olur (Fosfatların alkali ortamda agregasyon ve kristalizasyonunun artışına bağlı). Ayrıca enfeksiyona bağlı oluşan bakteri, lökosit, eritrosit debrisleri de matriks görevi görür.
Bu taşlar böbreğin tüm anatomik boşluklarını dolduracak kadar büyüyebilir. STAGHORN STONE Staghorn taşların %60 ı = struvite taşları
Hastada taş böbrekte kaldığı sürece infeksiyon tedavi edilemez!!!!! Taş tedavisi böbrek korunacak şekilde planlanmalı ve taştan tamamen temizlenmelidir. İlk 6 yılda nüks oranı %30 olarak bildirilmektedir.
Bu sebeplerle hasta tamamen taşsız hale getirilmelidir ve ana tedavi CERRAHİdir. Ancak komorbiditesi olan hastalarda yada açık cerrahi veya PNL sonrası kalan fragmanların eritilmesinde hastalara kemoliz uygulanabilir.
HEMIACIDRIN kullanılır (Renacedin). Başarı %65 -80. Taşta bulunan kalsiyum magnezyum ile yer değiştirir ve magnezyum tuzlaru oluşur. Bu da solüsyonda mevcut olan glucoronate ile kolayca erir. Citric Asid D-glucuronic acid Magnesium hydrocarbonate Magnesium acid citrate Calcium carbonate İLAÇ VERİLİRKEN BÖBREK STERİL OLMALI = Her gün idrar kültürü yapılır.
Ameliyat sonrası: 2 ayda bir idrar kültürü 2 ayda bir antibiyogram ile hasta takip edilmeli. Ayrıca günde alınan fosfor 1300 mg ile sınırlandırılmalıdır. Post-operatif enfeksiyonların kontrol altına alınamadığı durumlarda ÜREAZ İNHİBİTÖRLERİ kullanılabilir. Üreazı inhibe ederekürenin parçalanmasına mani olur bu şekilde idrarın asiditesi bozulmaz ve struvite taşı oluşumu engellenir.
SİSTİN TAŞLARI Sistinürikelrde görülen doğumsal bir bozukluktur. 20 -40 yaş arasında görülür Kadın=erkek
Sistinüri: böbrekten aşırı sistin atılımı sonucu gelişen OR bir hastalıktır. Böbrekten sistin, arginin, ornitin ve lizin aa’lerinin absorbsiyonu bozulmuştur. Bunlardan yalnızca sistin’in idrarda çözünebilirliği zayıf olduğu için, yalnızca sistin taş oluşturur. Normal insanlarda idrarla atılan sistin miktarı 100 mg/gün’den azken, homozigotlarda 250 mg/gün kadar idrarla sistin atılımı oluşur. Hiperkalsüri, hiperürikozüri, hiposistatüri gibi başka metabolik durumlar eşlik edebilir. Ömür boyu takip gerektiren bir patoloji olup, risk faktörünün devamlı yüksek atıldığı taş tipidir.
Tanıda, hastanın sabah ilk idrarında mikroskobik incelemesinde benzen yüzüğü ya da hekzagonal sistin kristalleri görünür. Bu idrar sistinüri için hızlı ve basit bir tarama testi olan sodyum nitropruisit testi için de kullanılır. Tedavi: Sistin satürasyonunu azaltmak, Çözünebilirliği arttırmak Teşhiste çocukluk çağında taş öyküsü , sık tekrarlayan taş öyküsü , aile öyküsünün yanında idrar mikroskopisinde hegsagonal kristallerin görülmesi , nitroprusside testi faydalı olur.
KSANTİN TAŞLARI Ksantin oksidazın konjenital eksikliğine bağlı olarak görülür. Bu enzim hipksantinin ksantine , ksantinin de ürik aside oksidasyonunda katalizördür.
Ürik asit taşları ve hiperürikozüri tedavisinde kullanılan allopurinol iatrojenik olarak ksantinüriye yol açar. Kan – idrar ürik asit Kan – idrar ksantin
DİĞER TAŞLAR Enfeksiyon kaynaklı olarak > 6. 5 p. H’da gelişebilen ve endüstrileşmeiş ülkelerde amonyum ürat taşları gelişebilir. Triamteren içeren antihipertansif kullanımına bağlı olarak triamteren taşları görülür. Magnezyum-silikat içeren antiasit kullanımı sonucu silikat taşları görülür. İndinavir reçete edilen AIDS hastalarının % 6’sında indinavir taşı görülür.
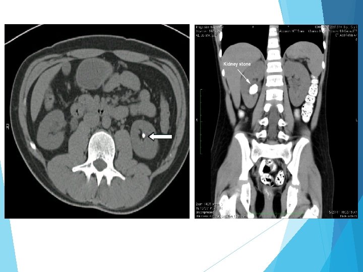
KLİNİK- TANI Üriner sistem taşlarının bir kısmı üretere geçemez, renal pelvis ve kalikslerde kalır (nefrolitiyazis). Üreter geçen taşlar ise genellikle tam olmayan obstrüksiyona neden olur.
SEMPTOMLAR Asemptomatik Ağrı Hematüri Ateş Bulantı kusma
Ağrı Kaliks veya renal pelvisteki taş tam olmayan obstrüksiyon yaparsa yan (böğür) bölgesinde künt bir ağrıya neden olur. Üreteral obstrüksiyon mevcutsa kolik tarzda ağrı yapar. Renal kolik, üreter ve toplayıcı sistemin gerilmesi ve hiperperistaltizm nedeniyle oluşur. Künt ağrı ise böbrek kapsülünün gerilmesi nedeniyle oluşur. Enflamasyon, ödem, hiperperistalsis ve mukozal irritasyon gibi lokal olaylar da ağrının duyulmasında etkilidir.
Üst üreteral obtrüksiyona bağlı ağrılar inguinale, alt üreteral obtrüksiyona bağlı ağrılar ise genital bçlgeye (vulva, labia, testis) yayılabilir. Bu yansıyan ağrı genellikle genitofemoral sinirlerin ilioinguinal veya genital dallarına bağlıdır.
Mevcut ağrı genellikle artıp azalan tarzda gelişen renoüreteral kolik spazmları şeklindedir ve çoğunlukla hastanın sosyal yaşantısını bozucu özelliktedir. Bu ağrı ataklarının süresi 20 -60 dk arasında değişir.
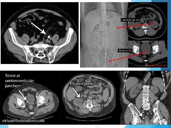
LOKALİZASYON Böbrek SEMPTOMATOLOJİ Künt lomber ağrı, hematüri Üst üreter Renal kolik, lomber ve üst karın ağrısı Orta üreter Renal kolik, lomber bölge ağrısı üst karın bölgesinde ağrı Alt üreter Renal kolik, disüri, sık idrar çıkma hissi, lomber ağrı ve ön karın bölgesinde ağrı Taş tıkanıklığa yol açmadığı takdirde asemptomatik de olabilir.
Hematüri Taşın pelvis veya kaliks mukozasını travmatize etmesi sonucu hematüri görülür. Hematüri, aralıklı gross hematüri veya çay renginde idrar şeklinde kendini gösterebilir. Ancak hastaların çoğunluğunda mikroskopik hematüriye rastlanır. Kolikler sırasında veya daha sonra hematüri görülebilir. Vakaların %10 -15’inde taş eğer tam obstrüksiyon yapıyorsa hematüri görülmeyebilir.
Ateş Obstrüksiyon varlığında tüm taşlar infeksiyona sebep olabilir. Böyle bir durumda ateş, halsizlik ve diğer sistemik bulgular eşlik edebilir. Ateş, taşikardi, hipotansiyon ve ciltte vazodilatasyonun görülmesi ürosepsis düşündürür. Ateş ile obtrüksiyon bir arada görüldüğünde acil dekompresyon gereklidir. Ø Bu, retrograd üreteral kataterizasyon veya antegrad perkutan nefrostomi konulması ile sağlanır.
Bulantı-Kusma Renal kolik esnasında bulantı ve kusma üst üriner sistem obstrüksiyonunda sıklıkla görülür. Ø Otonom sinir sistemine ve böbreklerle midenin çölyak gangliyon aracılığı ile olan ortak innervasyonuna bağlıdır.
Ayırıcı Tanı Kadınlarda: (Jinekoljik problemler) 1. over torsiyonu 2. over kisti 3. ektopik gebelik Erkeklerde: 1. Testis tümörleri 2. Epididimoorşit 3. Prostatit Diğer karın ağrısı yapan sebepler: Apandisit, kolesistit, divertikülit, kolit, kabızlık, herniler, arteriyel anevrizmalar Diğer hematüri sebepleri (Glomerülonefrit)
FİZİK MUAYENE Fizik muayenede kostovertebral açı hassasiyeti (KVAH) böbrek ya da üreter taşını düşündürebilir. Perküsyonla lomber hassasiyet, palpasyonla hidronefrotik bir böbreğin ya da perinefritik bir absenin palpe edilmesi altında bir böbrek veya üreter taşını düşündürebilir. Rahat edebilecekleri pozisyon bulamazlar.
Taş hastalarında sıklıkla terleme, taşikardi ve takipne bulunur. Tansiyon yükselmesi de görülebilir. Obstrüksiyonla birlikte infeksiyon bulunmuyorsa ateş yükselmez. Eğer hidronefroz gelişmişse ve çok ilerlemişse bu kitle inspeksiyonda ve palpasyonda da farkedilebilir. İnfeksiyonun peritonu irrite etmesi sonucu rebound fenomeni bulunabilir. Abdominal distansiyon ve oskültasyonda barsak sesleri azalmış olabilir. İdrar retansiyonu da renal koliye benzer ağrıya neden olabileceğinde mesane mutlaka palpe edilmelidir.
LABORATUAR Ürolitiyazisi olan her acil hastaya idrar ve kan analizleri yapılmalıdır. Tüm hastalara tam idrar tahlili, gerekirse idrar kültürü Sabah alınan ilk idrar en iyi örnektir. Mikroskopik hematüri en sık bulgudur. p. H değişiklikleri, kristaller, lökosit, eritrosit, nitrit ve bakteri varlığı araştırılır. Ürik asit taşları-asidik idrar / Enfeksiyon taşları- alkali idrar Sınırlı oranda piyüri taşın oluşturduğu irritasyon ile gelişen çok sık bir bulgu olup, bakteriürinin olmadığı durumlarda eşlik eden bir üriner enfeksiyon işaretçisi olmaz.
Enfeksiyon düşünülüyorsa tam kan sayımı crp prokalsitonin İlk kez taş saptanan hastalarda taş analizi yapılmalıdır (infrared spesktroskopi ve X-raf diffraction). Farmakolojik tedavi sonrası nüks varsa Tam taşsızlık sonrası erken nüks varsa Uzun süren taşsızlık sonrası nüks varsa taş analizi tekrar edilmeldir.
Metabolik değerlendirme Risk grubundaki hastalarda 24 saatlik idrar toplanarak mutlaka metabolik değerlendirme yapılmalıdır (volüm, p. H, Ca, okzalat, ürik asit, magnezyum, sitrat…). Eş zamanlı kan analizleri de metabolik değerlendirme içine alınmalıdır. En önemli parametrelerden biri idrar miktarıdır. Ø Tekrarlayıcı kalsiyum taşı olan hastaların günlük idrar miktarı 1 lt civarıdır.
Çeşitli kantitatif testlerde idrar kalsiyumunun 3 günlük kalsiyumdan fakir diyet sonrası 175 -200 mg/24 saatten yüksek bulunması hiperkalsiüri varlığını gösterir. Ø Bu durumda hiperparatroidizm, idiopatik hiperkalsiüri gibi durumlar araştırılmalıdır. İdrar sitrat atılımı distal renal tübüler asidoz ve intestinal malabzorbsiyonda azalmıştır. idrar yolu enfeksiyonu varlığında bakterilerin metabolize etmelerinden dolayı sitrat miktarı düşüktür.
Kan biyokimyası da değerlendirmenin önemli kısımlarından bir tanesidir. Serumda kalsiyum, fosfor, ürik asit, üre, protein ve alkalen fosfataz hastadan mutlaka istenmelidir. (yükselmiş serum kalsiyum seviyesi birkaç kez ölçülerek doğrulanmalıdır. ) Ø Serum kalsiyum seviyesinin 10. 1 mg/d. L üzerinde olması anlamlıdır. Ø Total serum kalsiyumu ultrafiltrat kalsiyum ve proteine bağlı kalsiyumu içerir. Kan kalsiyumu normal sınırlarda olsa bile kan proteinlerinin azaldığı durumlarda kanda iyonize kalsiyum seviyesi artmış demektir. Ø Düzeltilmiş Kan Ca düzeyi hesaplanması Ø Serum Ca (mg/d. L)+(0. 8 X(4 -albumin (g/d. L)))
Serum fosfor seviyesi Ø Serum alkalen fosfataz seviyeleri Ø Primer hiperparatroidizm olan hastalarda düşük bulunur. hiperparatroidizm vakalarında ve kemik yıkımını arttıran hastalıklarda düşünülür. Serum ürik asit düzeyi Ø ürik asit taşı bulunan hastaların yarısında yükselmiştir. Ø Kan üre ve kreatinin düzeyleri taş tek taraflı ve böbrek fonksiyonlarını bozmamış ise normaldir.
Direkt üriner sistem grafisi (DÜSG) Ultrasonografi İntravenöz pyelografi (IVP) Nükleer radyoloji Bilgisayarlı tomografi (Non kontrast Spiral BT)
Kaç tane taş bulunduğu Yerleri Büyüklükleri Muhtemel içerikleri Etyolojisi Altta yatan faktörlerin olup olmadığı Taşın idrar yollarında bir hasara sebep olup olmadığı Diğer böbreğin durumu
DÜSG Ucuz ve kolaylıkla ulaşılabilir. Sensitivite %45 -59, spesifite %71 -77 Direk filmde böbrek seviyesindeki radyoopasite mezenter lenf kalsifikasyonu, kot kartilajı kalsifikasyonu, safra kesesi taşları, barsak içeriği, flebolitler, intestinal ve extraintestinal yabancı cisim ve dalak veni kalsifikasyonu ile karışabilir. Bunların ayrımı için “yan grafi” çekilmelidir. Yan grafilerde böbrek ve üreter taşlarına ait radyoopasiteler vertebral kolon üzerine düşerken, diğerleri daha öne düşmektedir. Ancak taşların önemli bir bölümü barsak gazları, barsak içeriği, nedeniyle iyi değerlendirilemez ve kemik pelvis üzerine denk gelen üreter taşları da atlanabilir.
USG > 5 mm taşlar için USG nin sensitivitesi %96, spesifitesi ise %100 civarındadır. Bütün taşlar değerlendirildiğinde ise sensitivite %78, spesifite %31 olarak saptanmıştır. Kolay ulaşılabilen, pratik, non-invaziv, ucuz, kolay Hidronefroz ve taşların teşhisi ve takibinde çok faydalıdır. IVP’de görülemeyen küçük taşlar ve ödem tespit edilebilir. Ayrıca nonopak taş ile renal pelvis tümörünün ayırıcı tanısında en iyi yöntemdir.
IVP Kontrast madde verildikten sonra bilateral nefrogramlar görülmelidir. Piyelogramın gecikmesi obstrüksiyon olduğunu gösterir. Etkilenen böbreğin toplayıcı sistemi sıklıkla dilatedir. Non-opak taşlarda IVP’de toplayıcı sistemde dolma defekti görünümüne rastlanır İVP, kontrast madde alerjisi olanlarda, kan kreatinini yüksek hastalarda ve metformin türevi ilaç kullanan hastalarda kontrendikedir. Ø Alerji yönünden riskli hastada düşük molekül ağırlıklı, noniyonik kontrast ajanlar kullanılmalı, kontrast verilmeden 212 saat önce kortikosteroid, 1 saat önce de antihistaminik verilmelidir.
BT BT’de hastalar daha az radyasyona maruz kalır ve kontrast ajan kullanılmaması avantajını sağlar. Bt’nin başka bir avantajı da ürik asit ve ksantin taşları gibi non-opak taşları da görüntüleyebilmesidir. Akut yan ağrısı olan hastalarda kontrastsız abdomen tomografi (NCCT), zaman içinde IVP’nin yerini almış ve standart yaklaşım haline gelmiştir NCCT, IVP ile karşılaştırıldığında daha yüksek sensitivite ve spesifite göstermektedir )%95 -97). BMI <30 olan hastalarda NCCT çekilecekse düşük doz NCCT çekilmesi önerilmektedir.
Taşa cerrahi müdahale planlanıyorsa böbreğin anatomik yapısını saptamak amaçlı kontrastlı inceleme yapılabilir. Bilgisayarlı tomografilerde görüntülenemeyen tek taş çeşidi indinavir kullanımına bağlı gelişen taşlardır.
Böbrek Sintigrafisi Ürografin alerjisi olan hastalarda böbreklerin fonksiyonu ve anatomik yapısı hakkında bilgi verir. Bifosfonatlı işaretleyiciler direkt grafide ayırt edilemeyen çok küçük taşları bile görüntüleyebilir. IVP’de böbrek fonksiyonlarının azalmış olduğu durumlarda sintigrafi yapıldığı zaman böbrek kanlanmasının azaldığı, tübüler fonksiyonun bozulduğu görülür. O taraf böbrekte radyoizotopun tutulması azalmıştır.
TAŞ SINIFLAMASI Boyut <5 mm, 5 -10 mm, 10 -20 mm, >20 mm Yer Üst, orta veya alt kalis Renal pelvis Üst veya alt üreter Radyoopasite Radyopak: Ca okzalat dihidrat, Ca okzalat monohidrat, Ca fosfat Zayıf radyopak: Mg amonyum fosfat, apatit, sistin Radyolüsen: ürik asit, amonyum ürat, ksantin, 2 -8 dihidroksiadenin, ilaç taşları
KOMPLİKASYONLAR Hidronefroz İnfeksiyon Ksantogranülamatöz Pyelonefrit Skuamoz hücreli karsinom
Hidronefroz Böbrek parankiminin azalmasına yol açar. Tedavi edilmediği zaman böbrek parankimi çok incelerek 1 -2 mm kalınlıkta ince duvarlı, büyük, içi idrar dolu bir kese halini alır. (hidronefrotik böbrek atrofisi)
Enfeksiyon Asemptomatik bakteriüriden ürosepsise kadar değişen şekillerde ortaya çıkabilir. Bütün taşlar obstrüksiyon ve staza bağlı olarak infeksiyon gelişmesine sebep olabilirler. Taş obstrüksiyon yaptığında böbreğe hematojen yolla kokların yerleşmesi kolaylaşır, akut pyelonefrit olur. Bazen de böbrek harabiyetiyle sonuçlanan pyenöfrozlar gelişir (toplayıcı sistemde gözle görülen pü birikimi).
Ksantogranülomatöz Pyelonefrit Üst idrar yolu obstrüksiyonu ve infeksiyon ile birlikte görülür. Genelde tek taraflıdır. Hastaların %35’i taş ile, %70’i böğür arası, ateş ve titremelerle gelir.
Skuamöz hücreli karsinom İnfeksiyonun da etkisiyle, taşın renal pelvisi devamlı irrite etmesi sonucu önce skuamöz metaplazi, daha sonra skuamöz hücreli karsinom ortaya çıkabilmektedir.
TEDAVİ AMAÇ: Hastanın ağrısının azaltılması ve rahatlatılması, Üriner sistemin taşlardan temizlenmesi, Yeni taş oluşumunun önlenmesidir.
Medikal tedavi Profilaktik Tedavi Şok Dalga Tedavisi (ESWL) Endoürolojik Yöntemler Açık Cerrahi
MEDİKAL TEDAVİ Acil şartlarda (kolik tedavisi) IV hidrasyon Analjezikler (NSAIDs) Narkotik ajanlar – eğer cevap yok ise Analjezik tedavi başarısız olursa hastayı rahatlatmak içim üreteral kateterizasyon ve stent yerleştirilmesi
Konservatif Gözlem Çapı 5 mm. ’ye kadar olan taşların spontan düşme ihtimali ortalama %50 dir. Çapı ≥ 7 mm’den büyük olan taşların düşme ihtimali zayıftır, konservatif gözlem dışında ek tedavilere ihtiyaç duyulabilir. Çapı 10 mm’den büyük taşlarda çoğu olguda hastalara cerrahi tedaviye gider. Spontan düşmesini beklemek önerilmemektedir. Taşın spotan düşmesinde taşın büyüklüğü, şekli, lokalizasyonu, böbreğin anatomik özellikleri, hastanın sıvı alımı ve aktivitesi önemlidir.
Nonspesifik tedavi Hastanın günlük sıvı alımı 3000 ml’ye çıkarılmalı, hastanın aktivitesi arttırılmalıdır. Kalsiyum kanal blokörü ve alfa-1 reseptör blokörlerinin üreter düz kasını gevşetme özellikleri sebebiyle spontan pasajı artırması için özellikle distal üreter taşlarında önerilmektedir. Kortikosteroidlerin alfa-1 reseptörler ile kombine kullanımı taş geçişini kolaylaştırabilmekle beraber bu ajanların tek başına kullanımı önerilmemektedir. NSAID’ ler de ödemi azalttıklarından ve analjezik etkilerinden dolayı kullanılabilirler.
Kemolitik tedavi Üriner sistemde gelişmiş olan taşların eritilmesinde medikal yöntemlerin, ürik asit taşları dışında faydası yoktur. Kalsiyum oksalattan ve amonyum ürattan oluşan taşların tedavisi için kemolitik ajan yoktur. Kısmi ya da tam infekte geyik boynuzu taşlarda ESWL ve kemolitik ajanlar kullanılabilir ancak tedavi uzun sürer. Magnezyum, amonyum ve karbonat apatitten oluşan taşlar hemiasidrin ve Suby solüsyonu içerisinde çözünebilirler. Bu solüsyonlar çift nefrostomi kateteri ile verilir.
Bu solüsyonların hipermagnezemiden dolayı ciddi mortalite riski vardır. Cerrahi tedaviden hemen sonra kullanılmamalıdır. Bu solüsyonların kullanımı cerrahi olarak yüksek riskli hastalarda kullanılması önerilmektedir.
Spesifik tedavi Medikal tedaviye uygun ürik asit taşlı hastalarda ise hidrasyon sağlanır, idrar alkalinize edilir ve idrardaki ürik asit düzeyi azaltılır. Ürik asit taşları düşük p. H’lı idrar ortamında oluştuğundan, idrar p. H’sı 6. 5 -/7. 0 arasında tutulmaya çalışılır. Oral alkenleştirici ajanlar sodyum ve potasyum bikarbonat ve potasyum sitrattan ibarettir. Alternatif olarak portakal suyu da idrarı alkalenleştirir. Molar sodyum laktat (1/6 ) ile yapılan IV alkelenleştirme de etkilidir.
Ürik asit taşında medikal tedavi
Abzortif hiperkalsiüri: Sodyum selüloz fosfat verilebilir. Komplikasyonları önlemek için yalnızca hiperkalsüri tip 1 de uygulanmalıdır. Oral magnnezyum desteği ve okzalattan kısıtlı diyet uygulanmalıdır. Hipokalsiürik etkisinden dolayı thiazide diüretikler kullanılabilir. Renal hiperkalsiüri: Thiazide diüretikler ve potasyum sitrat Rezorptif hiperkalsiüri: En uygun tedavi paratirodidektomidir.
Hiperürikozürik Kalsiyum Okzalat Taşı Hastalığı: Allopürinol, sodyum kısıtlaması, potasyum sitrat Enterik Hiperokzalüri: Yüksek miktarda Ca ve Mg oral alımı, malabsorpsiyonlu hastalarda trigliserit alımı Hipositratürik Kalsyum Okzalat Taşı Hastalığı: Potasyum sitrat Sistinüri: Başlangıç tedavisi olarak fazla sıvı alınması ve potansiyum sitratla idrar PH’sı düzenlenir. Bu tedavi yetersiz kalırsa d-penisilamin veya alfamerkaptopropiyonilglisin verilebilir, d-penisilaminin yan etkisi fazladır. Penisilamin vit b 6 ihtiyacını artırır, bu nedenle tedaviye ek olarak pridoksin verilmelidir. Kaptopril de sistinüride etkili olabilmektedir.
Enfeksiyon Taşı: Struvit taşı, enfeksiyon ajanlara konak olduğundan cerrahi olarak çıkarılması gerekmektedir. Üreaz inhibitörü olan asetohidroksamik asit, struvitin idrar satürasyonunu azaltır ve taş oluşumunu önler.
CERRAHİ TEDAVİ Endikasyonları: Üstesinden gelinemeyen üriner infeksiyon Böbrekte ilerleyici hasar Üriner obstruksiyon İnatçı ağrı Ciddi hematüri
AMAÇ: Böbrekteki tüm taşların çıkarılması, Tüm düzeltilebilir anatomik bozuklukların onarılması, Birlikteki üriner enfeksiyonların tam eradikasyonu, Çalışmakta olan böbrek dokusunun korunması
ESWL
Perkütan Nefrolitotomi
Açık Taş Cerrahisi
Böbrek Taşlarında Aktif Taş Alımı Endikasyonları Taş boyutunun artması Yüksek riskli hastalarda taş oluşumu Taşa bağlı obstrüksiyon Enfeksiyon Ağrı ve hematüri gibi semptomatik taş hastalığının mevcudiyeti 15 mm’den büyük böbrek taşları Takip şansı olmayan 15’mm den küçük böbrek taşları Hasta tercihi Komorbidite varlığı Seyahat ya da meslek tipi gibi sosyal durumlar
Böbrek Taşı (10 -20 mm arası alt pol hariç tüm böbrek taşları) >20 mm 1. PNL 2. RIRS veya SWL 10 -20 mm SWL veya Endoüroloji <10 mm 1. SWL veya RIRS 2. PNL Alt Pol Taşı Hayır (>20 mm ve <10 mm) SWL veya Endoüroloji 10 -20 mm SWL için negatif faktörler 1. Endoüroloji Evet 2. SWL
Üreter Taşlarında Aktif Taş Alımı Endikasyonları Spontan pasaj ihtimali düşük olan taşlar Analjezik dirençli kolik ağrı varlığı Giderilmeyen obstrüksiyon Böbrek yetmezliği varlığı (bilateral obstrüksiyon, tek böbrek)
Proksimal Üreter Taşı >10 mm SWL veya URS <10 mm 1. URS 2. SWL Distal Üreter Taşı >10 mm 1. URS 2. SWL <10 mm SWL veya URS
TE R E L ÜR K K ŞE