Rheumatoid ArthritisRA Dr Gehan Mohamed Dr Abdelaty Shawky
Rheumatoid Arthritis(RA) Dr. Gehan Mohamed Dr. Abdelaty Shawky
• Rheumatoid arthritis (RA) is a chronic systemic inflammatory disorder that may affect many tissues and organs—skin, blood vessels, heart, lungs, and muscles—but principally attacks the joints, producing a non-suppurative proliferative and inflammatory synovitis that often progresses to destruction of the articular cartilage and ankylosis of the joints.
• Although the cause of RA remains unknown, autoimmunity plays a pivotal role in its chronicity and progression. • About 1% of the world's population is afflicted by RA, women two to three times more often than men. It is most common in those age 40 to 70, but no age is immune.
* Pathophysiology: • Unknown antigen stimulates CD 4+ T lymphocytes. • Active CD 4+ T lymphocytes; a. stimulates macrophages to release IL 1 and TNF. b. Release RANKL which stimulates osteoclasts leading to bone destruction. • IL-1 and TNF stimulates synovial cells leading to: a. Synovial cell proliferation and formation of pannaus. b. Production of prostaglandins (pain sensation) and matrix metalloproteinases that cause cartilage destruction.
* Sequence of events : • Proliferation of synovial membrane cells with inflammatory cell infiltrate • Destruction of joints • Disability
* Diagnosis: 1. Clinical manifestations. 2. Investigations.
1. Clinical manifestations
• Articular manifestations: – Symmetric peripheral polyarthritis – Morning Stiffness >1 hour • Extra-articular manifestations:
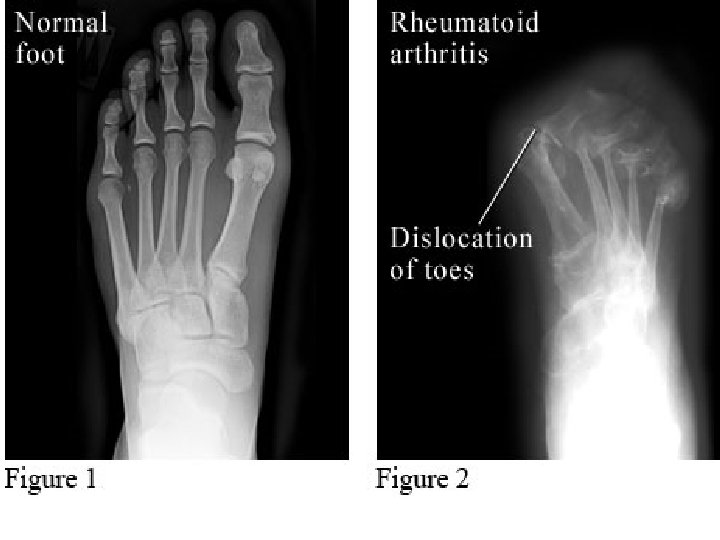
Symmetric peripheral polyarthritis: • 3 or more Joints for >6 weeks • Small Joints – Hands & feets – Peripheral to Proximal • Leads to deformity & destruction of Joints.
Morning stiffness: • Morning or after Prolonged Inactivity. • Bilateral • > 1 hour. • Better with movement • Pain with movement of joint
Physical Examination: • Decreased grip strength • Carpal tunnel syndrome(condition characterized by pain and numbing or tingling sensations in the hand caused by compression of a nerve in the carpal tunnel at the wrist. • Ulnar deviation
* Extra-articular manifestations: • Myalgia, fatigue, low-grade fever, weight loss, depression. • Anemia • Rheumatoid nodules • Pleuropericarditis • Neuropathy • Scleritis • Splenomegaly • Vasculitis
Rheumatoid Nodules • • Extensor surfaces especially elbows Very Specific Only occur in ~30% Late in Disease
2. Investigations
1. Arthrocentesis. 2. Arthroscopy. – Evaluate ligamentous & cartilaginous integrity – Biopsy
Rheumatoid arthritis showing inflammatory cell infiltrate in the synovium
3. Laboratory investigations: • Rhumatoid Factor: – Positive in 70 -80% of patients. - - Ig. M or Ig. G - If Ig. M+ve : more severe disease & poorer outcome. • Acute Phase reactants: – ESR, CRP monitoring disease activity
4. Radiology: • Evaluate disease activity & joint damage. a. Plain Films. b. Color Doppler U/S & MRI
Disease Severity
Mild case • • • Arthralgias >3 inflamed joints Mild functional limitation Minimally elevated ESR & CRP No erosions/cartilage loss No extra-articular manifestations.
Moderate case • • • 6 -20 Inflamed joints Moderate functional limitation Elevated ESR/CRP Radiographic evidence of inflammation No extra-articular manifestations.
Severe case • >20 persistently inflamed joints • Rapid decline in functional capacity • Radiographic evidence of rapid progression of bony erosions & loss of cartilage • Extra-articular manifestations.
Bad prognostic Features • RF +ve • Early development of multiple inflamed joints. • Severe functional limitation • Lower socioeconomic status & Less education • Persistent joint inflammation for >12 weeks
- Slides: 27