Respiratory Emergencies Respiratory Failure A condition that occurs










































- Slides: 42
Respiratory Emergencies
Respiratory Failure A condition that occurs when respiratory system is unable to adequately exchange Oxygen and Carbon Dioxide between environment and tissues of the body
Respiratory Failure Ø Pa. O 2 < 60 mm. Hg Ø Pa. CO 2 > 50 mm. Hg
Types of Respiratory Failure Ø Ø Type I : Oxygenation Failure (Hypoxemic) Type II : Ventilation Failure (Hypercapnic)
Asthma Factors Determine Severe Asthma History: - Frequent Attacks - Excessive use of - Bronchodilators - Steroids - Previous admission to ICU
Asthma Physical Examination ü Inability to speak ü Cyanosis ü Respiratory rate >30/mt ü Heart Rate >115/mt ü Pulsus Paradoxus >10 mm. Hg ü Silent chest
Asthma Blood Gases Ø Respiratory acidosis Ø Hypoxemia (Low PO 2) Ø Hypercapnia (High PCO 2)
FVC 100 75 FEV 1 NORMAL = 50 FVC > 75% 25 0 1 2 3 4 5 TIME 6 7 8
FVC 100 75 FEV 1 Airway FEV 1 Obstruction = FVC 50 < 75% 25 0 1 2 3 4 5 TIME 6 7 8
Asthma Treatment v Oxygen by Mask v Salbutamol (Ventolin) inhaler v Aminophylline I. V v Corticosteroids
Pulmonary Edema Risk Factors: - Ischemic Heart Disease Smoking DM HTN ↑Lipids - Rheumatic Heart Disease Symptoms: - Shortness of Breath - PND - Orthopnea
Pulmonary Edema Physical Examination: - Gallop Rhythm - ↑JVP - Basal Crackles - Lower Limb Edema Investigations: - CXR, ECG, ECHO Treatment : - Oxygen - Diuretics - Digoxin - After load Reduction
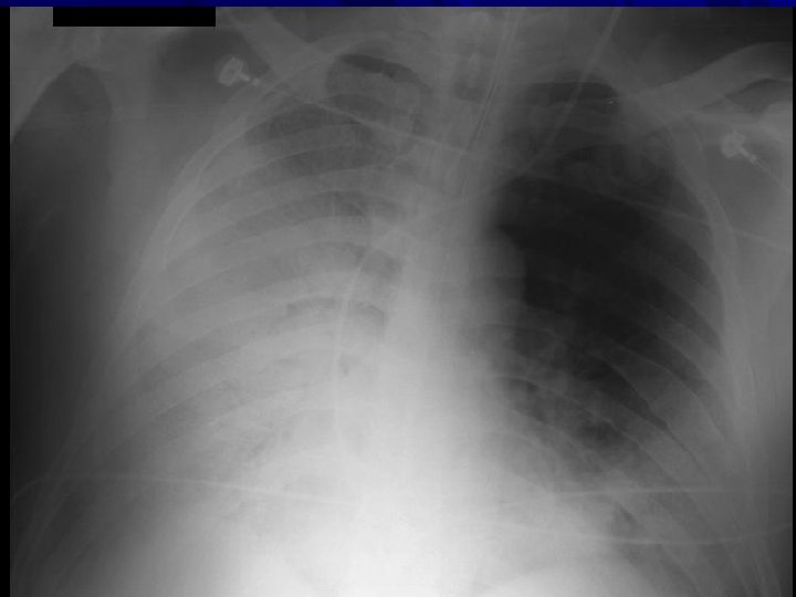
Pneumothorax v v Traumatic Spontaneous -Tall Thin
Pneumothorax Treatment: Immediate Needle Insertion (Second Intercostal Space)
Pneumothorax Treatment: Chest Tube Insertion
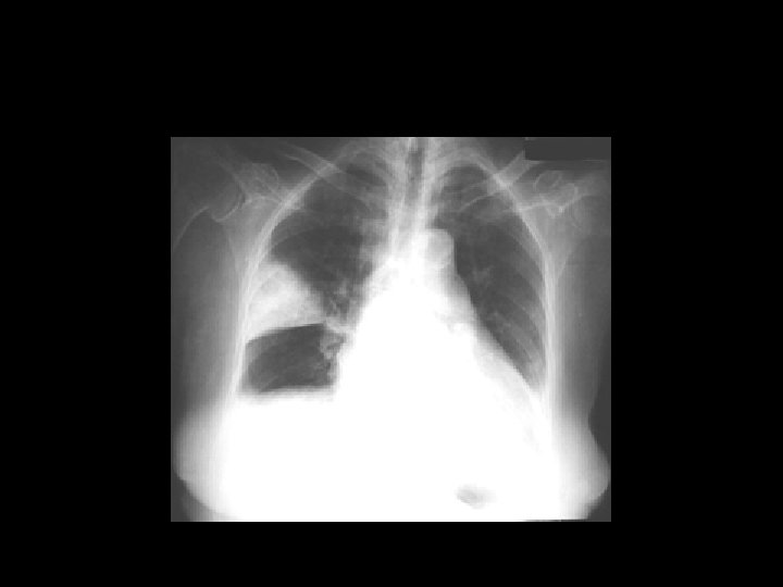
Pneumonia History: - Cough - Shortness of Breath - Fever - Sputum Examination: - Dullness - ↑ Vocal fremitus - Bronchial Breathing - Crackles Treatment: - Oxygen - Antibiotics
Pulmonary Embolism Predisposing factors: - Immobilization - Recent surgery - Hyper coagulable state
Massive Pulmonary Embolism Treatment: Thrombolytic Therapy Heparin Warfarin
Acute Respiratory Distress Syndrome Causes: - Aspiration Pneumonia - Near Drowning - Chest Trauma - Severe Pneumonia
Atelectasis Causes: ü Foreign body ü Endobronchial lesion ü Excessive secretions
Respiratory Failure Type II : Ventilation Failure (Hypercapnic)
Causes Of Respiratory Failure Outside The Lung
Respiratory Failure COPD: Causes: u. Emphysema u. Chronic Bronchitis
Shortness of Breath on Exertion
Pursed Lip Breathing
FVC 100 75 FEV 1 NORMAL = 50 FVC > 75% 25 0 1 2 3 4 5 TIME 6 7 8
FVC 100 75 FEV 1 Airway FEV 1 Obstruction = FVC 50 < 75% 25 0 1 2 3 4 5 TIME 6 7 8
COPD Treatment: ü Oxygenation ü Ventolin Inhalation ü Atrovent Inhalation ü Steroids ü Antibiotics