Reproductive System Primary sex organs Testes Ovaries Secondary

  • Slides: 20
Download presentation
Reproductive System • Primary sex organs – Testes – Ovaries • Secondary sex organs

Reproductive System • Primary sex organs – Testes – Ovaries • Secondary sex organs – All the rest of the organs in the system • Primary sex characteristics – XY or XX • Secondary sex characteristics – Male • • • More hair Heavier bones More muscle mass Lower voice Narrow hips Less % body fat – Female • • • Less body hair Lighter bones Less body mass Higher voice Wider hips Greater % body fat

MALE REPRODUCTIVE SYSTEM • • • Scrotum Testes Duct system Penis Accessory glands

MALE REPRODUCTIVE SYSTEM • • • Scrotum Testes Duct system Penis Accessory glands

Scrotum • Skin • Septum • Cremaster muscle (skeletal)

Scrotum • Skin • Septum • Cremaster muscle (skeletal)

Scrotum • Temperature – Optimal for sperm development is 3°C below body temp (~91

Scrotum • Temperature – Optimal for sperm development is 3°C below body temp (~91 F) – Controlled by muscles • Spermatic cord – – Testicular artery Plexus of veins Nerves vas deferens

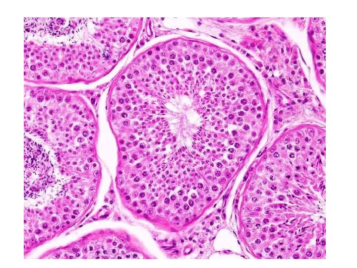
Spermatogenis • Spermatogonia – On basal lamina – Mitosis • Primary spermatocytes – 1

Spermatogenis • Spermatogonia – On basal lamina – Mitosis • Primary spermatocytes – 1 st meiotic division • Secondary spermatocytes – 2 nd meiotic division • Spermatid – Haploid – 4 from each 1° spermatocyte

Sertoli cells • Nurse cells • Nourish spermatogenic cells • Transport spermatogenic cells •

Sertoli cells • Nurse cells • Nourish spermatogenic cells • Transport spermatogenic cells • Phagocytize excess cytoplasm • Regulate spermatogenesis

Spermiogenesis Sperm • Head – Nucleus – Acrosome (lysosome) • Midpiece – Base of

Spermiogenesis Sperm • Head – Nucleus – Acrosome (lysosome) • Midpiece – Base of tail – Mitochondria • Tail – Long flagellum

Ducts • • Epididymis Ductus deferens Ejaculatory duct (urethra)

Ducts • • Epididymis Ductus deferens Ejaculatory duct (urethra)

Epididymis • Located in scrotum • Between seminiferous tubules and vas deferens • ~6

Epididymis • Located in scrotum • Between seminiferous tubules and vas deferens • ~6 m long

Ductus (vas) deferens • From scrotum to pelvis • Forms ejaculatory duct with seminal

Ductus (vas) deferens • From scrotum to pelvis • Forms ejaculatory duct with seminal vesicle duct • Empties into prostatic urethra • Thick muscularis

Accessory glands • • • Prostate Seminal vesicles Bulbourethral

Accessory glands • • • Prostate Seminal vesicles Bulbourethral

Prostate

Prostate

Prostate 30% Prostaglandins Activate sperm

Prostate 30% Prostaglandins Activate sperm

Male Prostate Exam Benign prostatic hyperplasia (BPH)

Male Prostate Exam Benign prostatic hyperplasia (BPH)

Seminal vesicles • 60% • Fructose

Seminal vesicles • 60% • Fructose

Bulbourethral (Cowper) 10% Buffer Spermine Lubricant

Bulbourethral (Cowper) 10% Buffer Spermine Lubricant

Semen • Testis – Sperms – 50~100 mil/ml – Below 20 mil/ml infertility issues

Semen • Testis – Sperms – 50~100 mil/ml – Below 20 mil/ml infertility issues • Bulbourethral (Cowper) – 10% – Buffer • Spermine – Lubricant • Prostate – 30% – Prostaglandins • Activate sperm • Seminal vesicles – 60% – Fructose