Rationale for scaling and root planing Scaling Process






























- Slides: 30
Rationale for scaling and root planing
Scaling Process by which plaque and calculus are removed from both supra and subgingival tooth surface. Root Planing Process by which residual embedded calculus and portion of cementum are removed from the root to produce a smooth, hard and clean surface
Changes in root surfaces in periodontitis A. Plaque and Calculus deposition. Supra and subgingival calculus have a rough surface capable of harboring plaque that cannot be removed by conventional oral hygiene techniques. Bauhammers et al, 1973.
Changes in root surfaces in periodontitis B. Alterations in exposed cementum Hypermineralized surface zone Changes in organic matrix Endotoxins cytotoxic in tissue culture Aleo et al , 1974
Primary objective Restoration of gingival health Scaling and root planing are not separable procedures
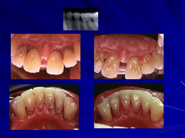
Before Scaling & Root Planing After Scaling & Root planing
Scaling and root planing are a prerequisite for the arrest and cure of periodontal disease; together with plaque control, they constitute the major means by which the disease is prevented.
Careful subgingival scaling and root planing is an effective mean to eliminate gingivitis and reduce the probing depth even at sites with initially deep periodontal pockets. Badersten, 1984
Subgingival scaling and root planing are measures which can be effective in: Eliminating inflammation Reducing probing depths Improving clinical attachment
Objectives Of Root Planing Securing biologically acceptable root surfaces Resolving inflammation Decreasing pocket depth Facilitating oral hygiene procedures Improving or maintaining attachment level Preparing the tissues for surgical procedures
Scaling and root planing is an integral part of periodontal therapy. The rationale for scaling and root planing is the following: Removal of calculus and "infected" root structure Achievement of a smooth root surface which is less prone to plaque accumulation
Rationale for root planing Garret in 1977 set forth the rationale for root planing Root Smoothness Removal of Diseased Cementum Preparation for New Attachment
Root Smoothness No biological evidence which relates smooth root surfaces to decreased plaque formation or increased ease of removal. It remains the only clinical indicator of calculus removal available at present.
Recent data suggests that root structure removal is not necessary. The end point of scaling and root planing is however a smooth root surface as rough surfaces are more prone to plaque accumulation. Calculus can be seen in radiographs or detected clinically.
Removal of Diseased Cementum Removal of exposed cementum by root planing, the fibroblasts adhered to both diseased and non diseased areas of the root. Aleo et al, 1975.
Deposits of calculus on root surfaces are frequently embedded in cemental irregularities ( Zander, 1953; Moskow, 1969) Scaling alone is therefore insufficient to remove calculus. A portion of cementum must be removed to eliminate these deposits.
Preparation for New Attachment Root planing plays an important role in preparing root surfaces for demineralization and subsequent new attachment
To determine efficacy of therapy, therapeutic goals must first be established. In periodontal therapy, our objectives are as follows: Suppression or elimination of pathogenic bacteria Establishment of a healthy root surface Conversion of inflamed to healthy tissues Reduction of periodontal pockets
Scaling and root planing has both local and systemic sequelae. Locally, the results of scaling and root planing are: Debridement of bacteria and calculus Removal of infected cementum and dentin A shift in the microbial population
Scaling and root are not always the only measures that are required in order to properly eliminate subgingival infection in deep pockets. Waerhaug(1978) If, following scaling and root planing, signs of “bleeding” on probing to the bottom of the pocket” persist, and if the clinical attachment level fails to improve, surgical therapy should be considered since this treatment may facilitate more adequate root debridment. Caffesee etal (1986)
The microbial shift is effected by two mechanisms The removal of bacteria by scaling and root planing The clinical outcome of scaling and root planing which alters the environment favoring population by certain bacteria over others – Decreased pocket depth – Smooth root surfaces – Reduction of inflammation
Scaling and root planing also has systemic effects. These are a bacteremia and a host immune response
Incidence of Bacteremia During Different Dental Procedures Heimdahl, et al. , 1990 Surgical Procedure Dental Extraction % of Patients with Bacteremia %Viridans % group Anaerobes streptococci 100 85 75 Scaling and Root Planing 70 55 65 Third Molar Surgery 55 40 45 Endodontic Treatment 20 15 5 Bilateral Tonsillectomy 55 40 40
Based on this study it can be seen that immediately after undergoing scaling and root planing the majority of patients (70%) will have a bacteremia. The same study also showed that ten minutes after the procedure, the incidence of bacteremia is down to 30%. This indicates that the host immune response is effective in eliminating the bacteria from the bloodstream, resulting in the rapid decline in the recovery of bacteria. For this reason, it is referred to as a transient bacteremia.
The Efficacy of Scaling and Root Planing A study published in 1987, by Buchanan and Robertson, examined teeth (treatment planned for extraction) that were scaled and root planed for 12 -15 minutes each, subsequently extracted and examined microscopically for residual calculus. Results were recorded as percentages of calculus positive teeth (CPT) and calculus positive surfaces (CPS). These were compared to similarly examined teeth that received no treatment prior to extraction.
When comparing calculus removal by tooth type, tooth surface and probing depth, the results were fairly in keeping with logic.
These data indicate that generally calculus is harder to remove in the posterior teeth as compared to anterior teeth, or with proximal surfaces as compared to facial or lingual/palatal surfaces, and in deeper pockets as compared to more shallow pockets. An interesting point is that calculus removal by scaling and root planing was more efficient in the molar region than in the premolar region, but only slightly so.
The endpoint of clinical therapy is the elimination of inflammation. To achieve this, open debridement may be required in addition to scaling and root planing, and treatment may be aided by chemotherapeutic agents.