Rakovina Pbh rakovinn buky aneb boj imunity s
Rakovina
Příběh rakovinné buňky aneb boj imunity s vlastním tělem (c) Martin Šmíd
Zde to všechno začíná …. .
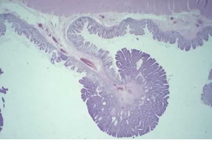
Příběh nádorové transformace
Strukturální geny - místo působení mutagenů Gen 1 Gen 2 Gen 3 Gen 4 a Homeoboxové geny – místo působení kancerogenů Geny pro ostatní typy RNA Gen pro r. RNA
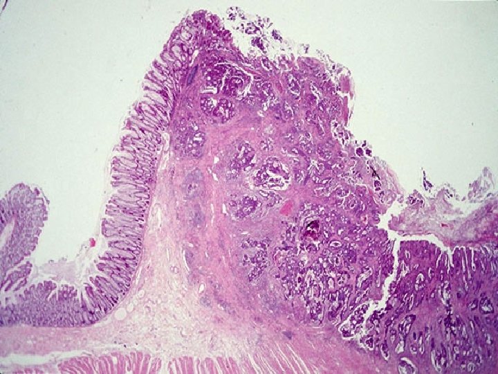
První drobná změna v genomu buňky střevního epitelu
MHC – receptor
Některé podlehnou, ale jiné zůstanou nepoznány
• Vystřeluje vlastní antigeny do krve – odlákává pozornost imunitního systému
Obrovský selekční tlak
Vítěz selekce – nejlepší z nejlepších i díky iniciovaným mutacím
• Dceřiné buňky se velmi často liší od mateřských buněk – jsou v nich iniciovány četné mutace.
P. G. T. S. G. O. G. P. G T. S. G. Hyper-funkční mutanta genu pro Ras-podjednotku trimerního G-proteinu T. S. G. P. G.
Nadměrná proliferace je držena autoregulačními mechanismy tumorsupresorových genů pod kontrolou Apoptický bod G 2 apoptóza
Mutace na tumor-supresorovém genu zvýší proliferační potenci nádorové buňky Spojeno s mutací protoonkogenu p 53 Apoptický bod G 2 apoptóza
• Nádorová buňka se schopností tvorby vlastního růstového faktoru – autokrynní působení
Druhý posel
Působením indikovaných somatických mutací dochází ke změnám cytoskeletární dynamiky…
První zlomový bod! Imunitní systém již nedominuje absolutně. Mladá nádorově transformovaná tkáň srovnává krok….
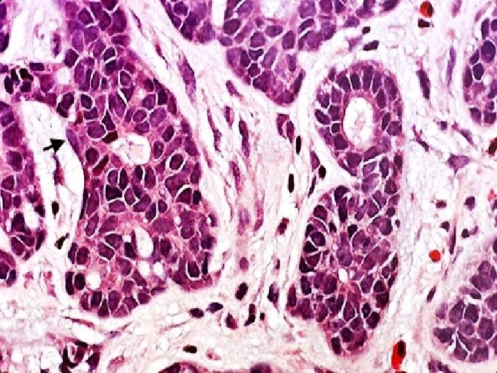
Ovšem nádorové buňky jsou v tomto stádiu již mimořádně antigenně průkazné – MHC receptory obsazeny silně antigenními epitopy.
Do boje se pouští všechny složky imunity v čele s cytotoxickými Tc -buňkami a B-lymfocyty, které produkují specifické imunoglobuliny.
Tcbuňka
Bbuňka
Opsonizace nádorové buňky Označení pro Tc – buňky a pro složky nespecifické imunity – makrofágy, dendritické buňky, neutrofily ……
Monocyt a bakterie
Makrofág
Neutrofil
Ovšem kompletně aktivovaný imunitní systém je soupeř přesahující možnosti jakékoli buňky – nikdo se nemůže postavit imunitnímu systému tváří v tvář. To nelze vyhrát!!!
Za každou cenu se tedy snaží navázání opsonizačních protilátek vyhnout. . Ale jak? ?
Využívá hyperfunkční mutanty cytoskeletárních struktur a pohybuje s MHC receptory po membráně – tím ztěžuje lokalizaci a usednutí protilátek na epitop – neumí ho zaměřit.
A nejen že s MHC receptory pohybuje, ale dokonce je shlukuje na jedno místo – tím brání nasednutí nejen protilátek, ale i aktivovaného komplementu, čímž se zbaví dalšího velmi silného protivníka.
• Dezinformuje imunitní systém vytvořením vlastních pseudoprotilátek na vlastní antigeny
Vlastní pseudoprotilátky vážou svůj epitop velmi pevně a soupeří s protilátkami B-buněk o vazbu – standardní allosterická kompetice. Ale na rozdíl od klasických Ig mají pseudoprotilátky nulové opsonizační vlastnosti.
Definitivní zvrat nastane v okamžiku hyperfunkční mutanty molekulárních motorů. . Rakovinná buňka se naučí fagocytovat!!!
A co je první obětí fagocytózy? ?
Rakovinná buňka stáhne všechny povrchové MHC receptory!!! Nezbývá nic, co by prozradilo její totožnost a imunitní systém je zcela paralyzován – nemá proti komu bojovat … Nepřítel zmizel!
Zůstává jediný soupeř – elitní komando NK buněk!!
Další mutací tumor supresorového Apoptický genu se zcela bod vymaní z vnitřní apoptózy G 2 apoptóza
Stále je ale ještě ohrožena vnější (indukovanou) apoptózou přes receptor Fas. Ten dokáží aktivovat Tc buňky a NK buňky přes Fas. L, který je přítomen na všech somatických buňkách.
Tc-lymfocyt Fas. L Fas Apoptické Poškozená tělísko buňka
T-lymfocyt Rakovinná buňka
Nádorová buňka se tak stává apopticky zcela nesmrtelnou!!
Apoptické NK tělísko buňka Rakovinná buňka
• http: //dl. Nk buňky útočící na solidní nádor
Imunitní dohled ochabuje… Nádor již jednoznačně dominuje…
Rakovinné buňky dynamicky rostou a proliferují – aby k tomu získali prostor, začínají degranulovat váčky s proteázami, čímž nekrotizují okolní buňky.
1. energetická krize nádoru – nádor je ohrožen sám sebou….
…. začíná umírat hlady ….
Zachrání ho metabolický zvrat! Návrat k primitivnosti – přechod na anaerobní způsob výživy.
V této fázi už nádoru nic nebrání, plato je překonáno a nastupuje terminální fáze nemoci – angiogenní fáze.
Nádor začíná produkovat TAF – angiogenní faktor.
Dynamika cytoskeletu je již tak veliká, že kromě fagocytózy dokáže i vychlipovat pseudopodia – invazivní nádor kolonizující okolní tkáně
Rakovinná buňka ruší veškeré mezibuněčné spoje – cesta ke svobodě se otevírá…
Schopnost diapedézy je tak finálním vítězstvím nádorové buňky v boji o svobodu a nezávislost na celku…
Nádorová buňka tak získává všechny vlastnosti pleuripotentní kmenové buňky
• Navíc roste výrazně jejich adhezivita – přilnavost a schopnost usídlení na novém místě (metastáze).
Metastatický nádor
A konec příběhu ? ? ?
Kdo je vítěz ? !? Člověk Sob. b. epitelu
V tomto boji jsou jen poražení – rakovinná buňka se totiž chová strašně neekologicky. Aktuální krátkodobý zisk je pro ni důležitější než perspektivní vývoj. A na svou krátkozrakost doplatí…
Jakákoli analogie je samozřejmě čistě náhodná ….
Symbolika rakoviny
• Na rakovinu umírají silní lidé (silné osobnosti), kteří navíc nebývají vůbec nemocní. • Nádor potřebuje strašně moc energie – slabí lidé ji nemají a tedy nemívají ani rakovinu. • Rakovina je specifická tím, že je sice genetickou chorobou, ale není dědičná. Dědíme jen dispozice pro její vznik
Statistická data • Tabák se podílí nejméně v 37% případů na vzniku všech nádorových onemocnění. • Kouření společně s alkoholem zvyšuje riziko vzniku nádorů v dutině ústní (jazyk, dásně, rty), hltanu, hrtanu a jícnu o 90%
Horní oddíly dýchací soustavy
Spodní segmenty dýchací soustavy
Detail plicních sklípků alveol
Obrazová dokumentace
Karcinom spodního rtu
Zhoubný maligní karcinom spodního rtu – původcem je cigareta
Karcinom horního rtu a tváře s metastázními ložisky v lymfatických uzlinách
Leukoplakie – doprovázena benigním zvětšením dásně
Kaposiho sarkom
Metastázní ložiska na jazyku
Maligní karcinom jazyka možný jen u kuřáka
Papilom jazyka
Karcinom horního patra
Gingiva překrývající korunky zubů
Maligní nádor mandibuly
Adenokarcinom slinné žlázy
Adenom slinné žlázy
Adenom slinné žlázy
Rakovina dutiny ústní s perforací tváře
obří osteom mandibuly
Devastující sarkom obličeje
Karcinom hrtanu
tracheostom
• Rakovina plic je způsobena kouřením v 90 -95% všech případů • Ale i prosté zakouřené prostředí bez aktivního kouření je hlavní příčinou u 32% všech nádorových onemocnění plic
Pasivní kuřáci
• Každý čtvrtý kuřák (24%) onemocní rakovinou plic – 25 x vyšší pravděpodobnost než u nekuřáků • Možnost vyléčení rakoviny plic je jen 7% při pozdní diagnóze • každý rok 5000 nových pacientů, přičemž více než 80% je zachyceno pozdě • Rozhodně neplatí rčení : „uzené maso déle vydrží“
Zdravá plíce s lymfatickými cévami Zdravé plíce
Zdravé plíce u začínajícího kuřáka
Lehce „prokouřené“ plíce po 7 000 cigaretách
Tytéž plíce po dalších 25000 cigaretách – s počínajícím maligním karcinomem
Tytéž plíce po dalších 15 000 cigaretách – s ohromným maligním karcinomem
Další cigareta už nebude. . .
tumor
Centrální bronchiální karcinom
Obrovský invazní metastázní bronchiální karcinom
Prorůstající bronchiální karcinom
Bronchiální karcinom
Prorostlý bronchiální karcinom
Karcinom bronchu
Velký karcinom plicní tkáně
Obrovský maligní karcinom plicního laloku
Zdravá plíce Kuřákova plíce s rozsáhlým bronchogenním karcinomem
Rentgenový snímek centrální bronchiální karcinom
Lokální nádorová ložiska v plicní tkáni
Ciliární karcinom - histologie
Plíce obyvatel Prahy
- Slides: 187