Rak kory nadnerczy w wietle najnowszych danych Pawe















- Slides: 15
Rak kory nadnerczy w świetle najnowszych danych Paweł Gajkowski 06. 03. 2014
Rak kory nadnerczy (ACC) • 0, 5 -2, 0 osób/mln/rok • Kobiety > mężczyźni (60%-40%) • Szczyt zachorowalności w 4 -5 dekadzie życia Gruczolak Wnt/β-katenina ? SF-1 Rak IGF-2
• 80% wydziela w nadmiarze hormony kory nadnerczy • Dominują objawy hiperkortyzolemii • Krótki czas od rozwoju choroby do jej ujawnienia nie pozwala na rozwój typowego, pełnoobjawowego zespołu Cushinga
Konieczne badania laboratoryjne • • dobowy profil kortyzolemii dzm na wolny kortyzol próba hamowania 1 mg dexametazonu ACTH • DHEA-S, 17 -OH-progesteron, androstendion, testosteron, estradiol • ARR (tylko u osób z nadciśnieniem tętniczym i/lub hipokaliemią)
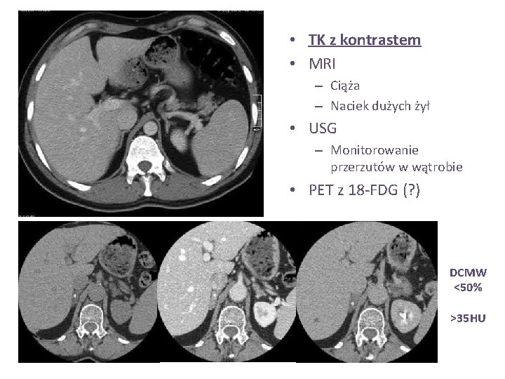
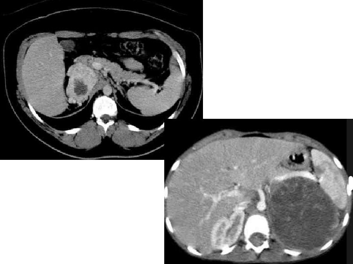
• TK z kontrastem • MRI – Ciąża – Naciek dużych żył • USG – Monitorowanie przerzutów w wątrobie • PET z 18 -FDG (? ) DCMW <50% >35 HU
• Barwienie na SF-1 (steroidogenic factor) • Ocena złośliwości w skali Weissa ≥ 3 (Weiss score – atypia jąder w stopniu III lub IV, tempo mitoz > 5/50 HPF, atypowe mitozy, ≤ 25% komórek jasnych, zaburzona cytoarchitektura, ogniska martwicy, naciek naczyń żylnych, zatok i torebki) • Ki-67 • Ocena zasięgu resekcji (R 0/1/2/x)
Stage 2004 UICC 2008 ENSAT I Zmiany w obrębie nadnerczy o średnicy ≤ 5 cm (T 1 N 0 M 0) II Zmiany w obrębie nadnerczy o średnicy >5 cm (T 2 N 0 M 0) III Zmiany przekraczające torebkę i naciekające okołonadnerczową tkankę tłuszczową (T 3 N 0 M 0) lub zmiany mniejsze z pojedynczymi przerzutami do okolicznych węzłów (T 1 -2 N 1 M 0) Zmiany przekraczające torebkę i naciekające okołonadnerczową tk. tłuszczową (T 3 N 0 M 0) lub dające pojedyncze przerzuty do okolicznych węzłów lub naciekające okoliczne narządy (w tym nerkę) lub duże naczynia (nerkowe, żgd) (T 1 -2 N 1 M 0, T 3 -4 N 0 M 0) IV Zmiany naciekające okoliczne narządy (w tym nerkę) lub duże naczynia (nerkowe, żgd) lub obecne przerzuty odległe (T 1 -4 N 0 -1 M 1) Przerzuty odległe (T 1 -4 N 0 -1 M 1)
Mitotan bezpośredni efekt cytotoksyczny? Blok 11βhydroksylazy? Rozbicie pierścieni cholesterolu? Czynniki warunkujące dalsze rokowanie: doświadczenie operatora, radykalność resekcji, Ki 67
Pacjenci niezakwalifikowani do operacji – zaawansowana choroba nowotworowa • Etopozyd + Doksorubicyna + Cisplatyna + Mitotan • Streptozotocyna + Mitotan • Konieczne monitorowanie stężenia mitotanu w trakcie intensywnego leczenia (docelowo 14 mg/l) • W razie nieskuteczności leczenia kolejnego rzutu rozważyć odstawienie mitotanu? GALLACTIC (2014) –badanie oceniające skuteczność antagonistów receptora IGF-1 R dla cząsteczki IGF-2!
• Jak wcześniej rozpoznawać chorobę? • Jak długo stosować mitotan? • Czy wszyscy chorzy wymagają tego obciążającego leczenia? • Jakie zestawy chemioterapeutyków stosować? • Jaka jest rola laparoskopii w leczeniu chirurgicznym ACC?
Bibliografia • • 1. ) M. Fassnacht et al. Update in adrenocortical carcinoma. J Clin Endocrinol Metab. 2013 98(12): 4551 -4564 2. ) M. Fassnacht et al. Adrenocortical carcinoma – clinical update. J Clin Endocrinol Metab. 2006 91(6): 2027 -2037 3. ) Lughezzani et al. The European Network for the Study of Adrenal Tumors staging system is prognostically superior to the international union against cancer – staging system: A North American validation. EJC 2010(46): 713 -719 4. ) S. Balasubramaniam et al. Practical Considerations in the Evaluation and Management of Adrenocortical Cancer. Seminars in Oncology 2010, vol 37(6): 619626 5. ) J. Lafemina et al. Adrenocortical Carcinoma: Past, Present and Future. J. Surg. Oncol. 2012; 106: 586 -594 6. ) M. Papotti et al. The Weiss Score and Beyond – Histopathology for Adrenocortical Carcinoma. Horm Canc (2011) 2: 333 -340 7. ) M. Papotti et al. Pathology of the Adrenal Cortex: a Reappraisal of the Past 25 Years Focusing on Adrenal Cortical Tumors. Endocr Pathol. Jan 2014 8. ) D. Brix et al. Laparoscopic versus open adrenalectomy for adrenocortical carcinoma: surgical and oncologic outcome in 152 patients. Eur Urol 2010; 58: 60915.
Dziękuję za uwagę