RADYOLOJK ANATOM ve TERMNOLOJ 4 Dr Erol Akgl






























































































- Slides: 94
RADYOLOJİK ANATOMİ ve TERMİNOLOJİ 4 Dr. Erol Akgül Ç. Ü. SHMYO 1. Sınıf Sağlık Slayt Arşivi: http: //hastaneciyiz. blogspot. com
BAŞ-YÜZ RADYOLOJİK ANATOMİSİ
KRANYAL KEMİKLER • • • Paryetal (2) Frontal Oksipitai Temporal (2) Sfenoid Etmoid
KRANYAL SÜTÜRLER • Koronal (Paryetal-frontal arasında) • Sagital (iki paryetal arasında) • Lambdoid (paryetal, temporal ile oksipital arasında) • Skuamoz (Paryetal-temporal arasında)
YÜZ KEMİKLERİ • • Maksiller Etmoid Frontal Mandibula Nazion Zigoma Lakrimal Palatin
PARANAZAL SİNÜSLER • • Maksiller (2) Frontal Etmoid Sfenoid
MANDİBULA • • • Korpus Ramus Angulus Korakoid çıkıntı Kondil
SELLA TURSİKA • • • Sfenoid kemik korpusundadır Anterior ve posterior clinoidler Hipofiz fossası Dorsum sella İçerisinde hipofiz bezi bulunur
NAZAL BOŞLUKTAKİ YAPILAR • • Konkalar: alt, orta, üst Meatüsler: Alt, orta, üst Nazal septum Koana
OSTEOMEATAL ÜNİTE • • Orta meatüs Unsinat proçes Hiatus semilunaris İnfindibulum
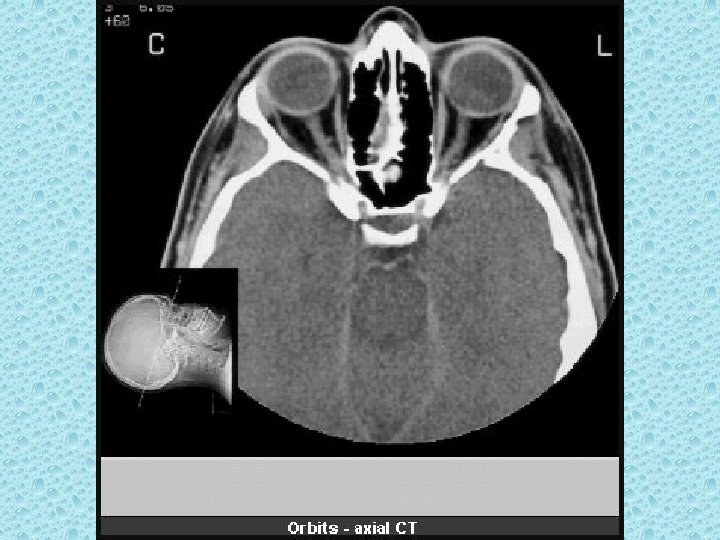
ORBİTAYI OLUŞTURAN KEMİKLER • • • Frontal Sfenoid Maksiller Zigomatik Lakrimal Etmoid
ORBİTA İÇERİSİNDEKİ YUMUŞAK DOKULAR • Bulbus okuli • Palpebralar • Rektus kasları: Medial, lateral, süperior, inferior, süp oblik inferior oblik ve levator palpebra kası • Optik sinir • oftalmik ven • Retrobulber yağ dokusu
GÖZ KÜRESİNDEKİ YAPILAR • • Sklera Konjuktiva Ön kamera Arka kamera Lens Vitreus Retina ve koroid tabaka
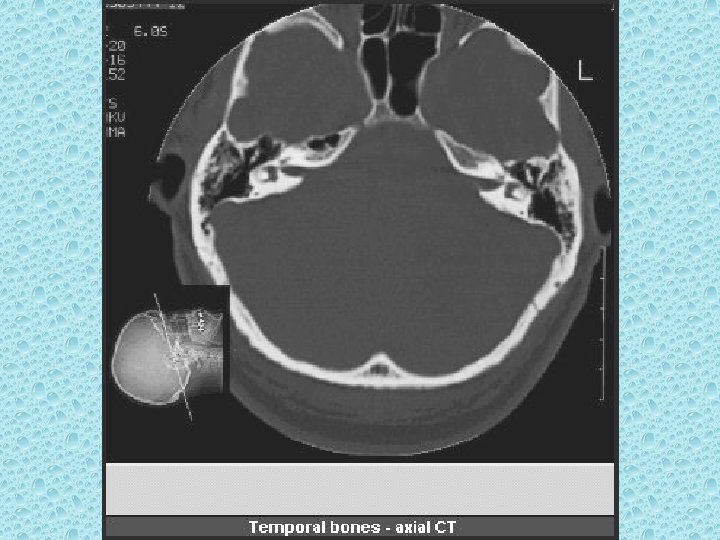
TEMPORAL KEMİK • • • Mastoid Petröz Skuamöz Stiloid proçes Zigomatik proçes
TEMPORAL KEMİKTE BULUNAN YAPILAR • • Kulak kepçesi Dış kulak yolu Timpanik zar Orta kulak ve kemikçikler: Malleus, inkus, stapes • İç kulak yolu ve yapıları: Kohlea, vestibül ve semisirküler kanallar
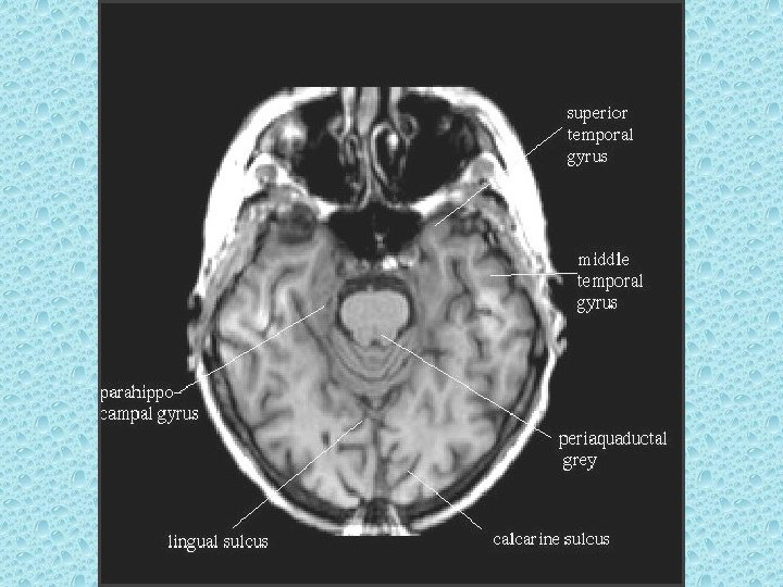
SEREBRAL LOBLAR • • Frontal Paryetal Oksipital Temporal
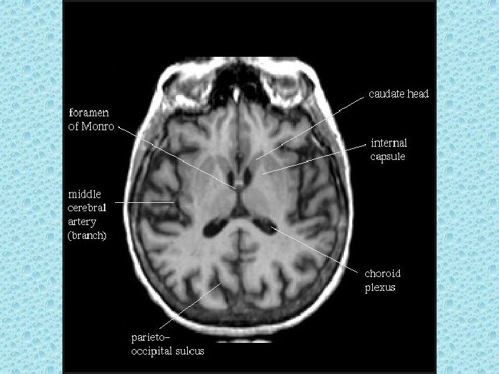
SEREBRAL PARANKİMDE BULUNAN YAPILAR • • Beyaz ve gri cevher Girus ve sulkuslar Lentiform nükleus: Putamen ve globus pallidus İnternal ve eksternal kapsül Talamus Kaudat nükleus ve korpus kallozum Ventriküller Koroid pleksus
BEYİN SAPI • Medulla oblangata (Bulbus) • Putamen • Mezensefalon
POSTERİOR FOSSADA BULUNAN YAPILAR • • • Serebellum Beyin sapı 4. ventrikül Vermis Transvers ve sigmoid sinüs
BEYİN ZARLARI • Dura mater • Araknoid mater • Pia mater
VENTRİKÜLLER • Lateral ventriküller: frontal, oksipital ve temporal hornlar, korpus ve atrium • Foramen monro • 3. Ventrikül • Akuaduktus silvii • 4. Ventrikül • Foramen Lucka (çift) ve magendi (tek)
Beyin, BT
KAFA İÇİNİ BESLEYEN ARTERLER • Bilateral karotid sistem: İnternal karotid arter - A. oftalmika, a. kommunikans posterior, a. koroidea, a. serebri anterior ve media • Vertebrobaziler sistem: Vertebral arterler ve baziller arterlerden oluşur - A. Serebellaris posterior inferior (pica), anterior inferior (aica), a. serebellaris superior, a. serebri posterior
WILLIS POLİGONU • • • Bilateral internal karotid arter Bilateral anterior serebral arter Anterior kommunikan arter Bilateral post. Kommunikan arter Bilateral post serebral arter
SEREBRAL VENLER • • • Süperior sagittal sinüs İnferior sagital sinüs Konfluens sinüs Strait sinüs (düz veya sinüs rektus) Galen veni Kavernöz sinüs Transvers sinüsler Sigmoid sinüsler İnternal juguler venler
Kaynaklar • Bushong SC. Radiologic Science for Technologist: Physics, Biology and Protection. 3 rd ed. St. Louis, The C. V. Mosby Company, 1984. • Oğuz M. Röntgen Fiziğine Giriş: Diagnostik I. Adana, ÇÜ Basımevi, 1992. • Kaya T. Temel Radyoloji Tekniği. Bursa, Güneş & Nobel, 1997. • Ferner H, Staubesand J. Sobotto Atlas of Human Anatomy. 10 th ed. Münih, Urban & Schwarzenberg, 1982.
Sağlık Slayt Arşivi: http: //hastaneciyiz. blogspot. com