Radiology of common brain diseases 366 RAD 1
Radiology of common brain diseases 366 RAD 1
Scope Lecture 1 n Intracranial bleeding n Brain ischemia n Brain edema Lecture 2 n Intracranial tumors n Brain infections n Brain inflammation 2
3
4
5
Intracranial Bleeding Extradural n Subarachnoid n Intraventricular n Intraparenchymal n 6
7
EDH n n n n Blood collection between inner table and dura. Biconvex (lentiform) Occur at site of impact 95% unilateral, supratentorial Does not cross sutures Can cross falx and tentorium Skull fracture in 90% Air seen in 20% 8
EDH Arterial 90%, Venous 10% n Nontraumatic-rare n Lucid interval-50% n C/F: headache, nausia, vomiting, convulsions, herniation. n 9
10
SDH n n n Blood collection between dura and arachnoid. Crescent shape Supratentorial Cross sutures, but not dural attachments May extend along falx and tentorium 11
SDH Trauma is the most common cause n Acute: 6 hr-3 d n Subacute: 3 d-3 w n Chronic: >3 w n 12
SDH 13
SDH 14
15
16
Blood in the suprasellar cistern Blood in the interhemispheric fissure Blood in the ambient cistern Blood in the sylvian fissures 17
SAH Blood between pia and arachnoid n Traumatic (most common) n Nontraumatic n C/F: headache, vomiting, blurred vision, neck rigidity n Complications: hydrocephalus (acute/delayed), vasospasm, rebleeding. n 18
19
20
21
Parenchymal bleed Causes: HTN, trauma, AVM, aneurysm, permaturity, tumors, infarction, coagulopaty. n 22
Trauma 23
24
Trauma 25
26
Courtesy: Osborn AG 27
Courtesy: Smithuis R 28
29
30
31
32
33
34
35
36
37
38
39
T 2 WI FLAIR DWI 40
FLAIR DWI 41
Brain edema n Vasogenic: n n Trauma/infection/inflammation/tumors Cytotoxic: n Ischemia/trauma • Both could be generalized or localized • Both may co-exist 42
Brain edema n Imaging findings: Hypodensity on CT n Low signal on T 1, high signal on T 2 & FLAIR n Loss of GM/WM interface n Compressed ventricles n Effaced sulci & cisterns n Dense cerebellum n Brain herniation n Vascular compression-ischemia n 43
Brain edema 3 w later 44
Brain edema 45
Brain edema 46
Brain edema 47
Brain edema Vasogenic Cytotoxic Location White matter Gray matter DWI Non-restricted Restricted Shape Finger-like Diffuse 48
The cause of this hematoma is: A. B. C. D. Courtesy of Chong V. Anticoagulation Hypertension Ruptured aneurysm Trauma 49
This CT shows: A. Epidural B. Subdural C. Subarachnoid D. Intraparenchymal 50
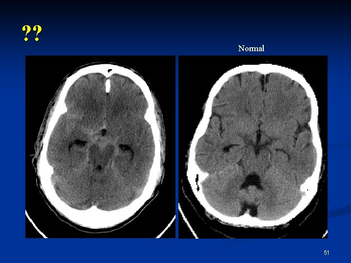
? ? Normal 51
n n n SDH IVH SAH Pneumocephal us Edema 52
This CT shows: A. Subdural hematoma B. Subarachnoid hemorrhage C. MCA infarction D. All of the above 53
This CT shows: A. B. C. D. Epidural hematoma Subdural hematoma MCA infarction Normal brain 54
Compressed lateral ventricle Obliterated CSF space Normal sulci Subdural hematoma 55
Intracranial bleeding Brain infarctions Brain edema 56
- Slides: 56