Radiological Category Mammography Principal Modality 1 Mammography Principal



















- Slides: 19
Radiological Category: Mammography Principal Modality (1): Mammography Principal Modality (2): Computed Tomography Case Report # 768 Submitted by: Lee Myers , M. D. Faculty reviewer: La. Verne Ingram, M. D, The University of Texas Medical School at Houston Date accepted: 11 Febuary, 2011
Case History 51 year old female presenting for a routine screening mammogram. Previous mammogram (2 years before) was normal.
Radiological Presentations
Radiological Presentations
Test Your Diagnosis Which one of the following is your choice for the appropriate BI-RADS Classification? After your selection, go to next page. • BI-RADS 0 • BI-RADS 1 • BI-RADS 2 • BI-RADS 3 • BI-RADS 4 • BI-RADS 5
Test Your Diagnosis Which one of the following is your choice for the appropriate diagnosis? After your selection, go to next page. • Primary breast cancer with metastatic disease. • Multifocal breast cancer versus synchronous breast cancer. • Cutaneous lymphoma. • Multiple cysts. • Multiple fibroadenomas.
Findings and Differentials Findings: The mammogram demonstrates multiple masses within the breasts, bilaterally. Differentials: • Primary breast cancer with metastatic disease. • Multifocal breast cancer versus synchronous breast cancer. • Cutaneous lymphoma. • Multiple cysts • Multiple fibroadenoma
Discussion BI-Rads Classification • • BI-RADS 0 – Incomplete, needs additional evaluation. Magnification views, additional views, or ultrasound evaluation can be used to further evaluate abnormalities on the mammogram. BI-RADS 1 – Negative. Normal mammogram. BI-RADS 2 – Benign. One more or abnormalities that are benign in etiology. BI-RADS 3 – Probably benign ( <2% chance of malignancy). Likely benign abnormality; however, short term follow up is recommended. BI-RADS 4 – Suspicious abnormality, biopsy should be considered. BI-RADS 5 – Highly suspicious, appropriate action should be taken (>95% chance of malignancy) BI-RADS 6 – Biopsy-proven cancer
Discussion BI-RADS Classification • • Most screening mammography results should be limited to normal (BI-RADS 1 or 2) or incomplete (BI-RADS 0), needs more evaluation. Rarely should a BIRADS 4 or 5 be given at screening. This was considered a BI-RADS 4. Ultrasound and biopsy was recommended.
Discussion Differential Diagnosis • • • Primary breast cancer with metastatic disease – Mammogram may demonstrate a single mass with or without enlarged axillary lymph nodes. Although, intramammary lymph nodes may be enlarged, it is unlikely to have multiple metastatic lymph nodes in both breasts. Multifocal breast cancer – Although, breast cancer can be multifocal (especially lobular carcinoma) it would be exceedingly rare to have numerous lesions bilaterally. Multiple fibroadenomas and/or cysts. – – Fibroadenoma is the most common benign solid mass and a cyst is the most common breast mass in women over 35. Fibroadenoma and cysts can appear similar on mammogram.
Discussion • Cutaneous (T-cell) lymphoma – Mycosis fungoides – – – T-cell lymphoproliferative disorder that occurs in the skin and may evolve into generalized lymphoma. This type normally occurs in patients older than 40 years of age. The skin lesions are described as scaly, red-brown patches. These can be confused with psoriasis. These lesions may also evolve into fungating nodules. These fungating nodules may also ulcerate and referred to as Mycosis fungoides d’emblee. Skin lesions can measure up to 10 cm. Lymphoma rarely occurs as a primary tumor of the breast and represents 0. 1% - 0. 5% of all breast malignancies. Primary lymphoma of the breast manifests as relatively circumcribed masses.
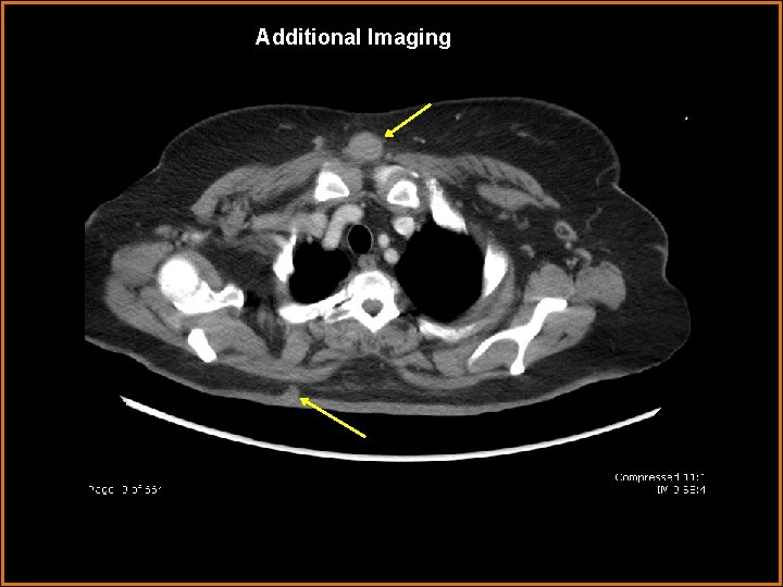
Diagnosis • A biopsy was performed that demonstrated cutaneous lymphoma. Four months later, a CT of the chest, abdomen, and pelvis was perform. This demonstrated multiple cutaneous/subcutaneous nodular lesions.
Additional Imaging
Additional Imaging
Additional Imaging
Additional Imaging
Additional Imaging
Additional Imaging
References Feder JM, Shaw de Paredes E, et al. Unusual Breast Lesions: Radiogragic-Pathologic Correlation. Radiographics 1999; 19: S 11 -S 26. Kumar, Abbas, Fausto. Robbins and Cotran: Pathologic Basis of Disease. 7 th edition, 2005. p. 1249 -1250. O’Brien WT. Top 3 Differentials in Radiology : A Case Review. 2010, p. 573 -624.