Radiological Category Gastrointestinal Principal Modality 1 CT Principal































- Slides: 31
Radiological Category: Gastrointestinal Principal Modality (1): CT Principal Modality (2): None Case Report #0502 Submitted by: Sendasaperumal N. Sendos, M. D. Faculty reviewer: Michael D. Redwine, M. D. Date accepted: 25 March 2008
Case History 42 year-old female status-post gastric bypass operation within the last year presents with acute abdominal pain, nausea, and vomiting, for two days.
CT abd & pelvis w/ IV contrast, axial
CT abd & pelvis w/ IV contrast, axial
CT abd & pelvis w/ IV contrast, axial
CT abd & pelvis w/ IV contrast, axial
CT abd & pelvis w/ IV contrast, axial
CT abd & pelvis w/ IV contrast, axial
CT abd & pelvis w/ IV contrast, axial
CT abd & pelvis w/ IV contrast, axial
CT abd & pelvis w/ IV contrast, axial
CT abd & pelvis w/ IV contrast, axial
CT abd & pelvis w/ IV contrast, axial
CT abd & pelvis w/ IV contrast, axial
CT abd & pelvis w/ IV contrast, axial
CT abd & pelvis w/ IV contrast, axial
CT abd & pelvis w/ IV contrast, coronal
CT abd & pelvis w/ IV contrast, coronal
CT abd & pelvis w/ IV contrast, coronal
CT abd & pelvis w/ IV contrast, coronal
CT abd & pelvis w/ IV contrast, coronal
Test Your Diagnosis Which one of the following is your choice for the appropriate diagnosis? After your selection, go to next page. • Volvulus • Intussusception • Bowel obstruction from adhesions
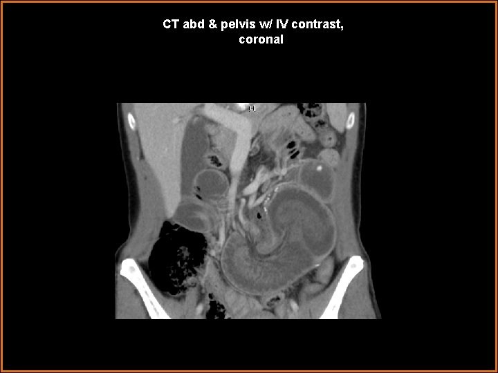
Findings and Differentials Findings: -- several centimeters of small bowel lumen-within-lumen appearance—“target / bull’s eye” appearance, in axial cross-section -- mesenteric fat and vessels enter at the most proximal end of this small intestinal “telescoping” -- dilated immediate distal or outer aspect of the telescoping bowel-in-bowel segment -- however, decompressed distal small bowel and decompressing colon -- surgical anastomotic small intestinal clips in mid abdomen nearby segment of jejunum enters a segment of distal jejunum, near a post-operative site Differentials: • Intussusception • Midgut volvulus
Discussion Intussusception is the telescoping of bowel upon bowel (e. g. small bowel upon small bowel, colon upon small bowel, or colon upon colon). A proximal segment of bowel telescopes, or is drawn into, a distal segment of bowel. The distal/outer segment is the intussuscipiens, and the proximal/inner segment is the intussusceptum. Normal direction of peristalsis from the proximal to distal enteral tract typically dictates the respective order of intussusceptum-intussuscipiens.
Discussion Traditionally, intussusception is prompted by initial radiographs and confirmed by sonography or contrast enema. Plain radiography usually reveals specific focal patterns contrasting air and fat/soft tissue, either in a target-sign or a crescent-sign pattern. Ultrasound demonstrates a bull’s eye pattern created from alternating concentric hypoechoic and hyperechoic bands, indicating edematous bowel wall adjacent to mesenteric fat. Contrast enema will reveal the interface of the intussusceptum with the lumen of the intussuscipiens as a meniscus. A coiled spring appearance on contrast enema results from contrast intervening between the respective mucosal surfaces of the telescoping intussusceptum and intussuscipiens. Contrast or air enema is the mode of reduction.
Abdominal Plain Radiography Crescent sign Target sign
Abdominal Ultrasound Target sign
Barium Enema, single-contrast Coiled-spring sign Meniscus sign
Discussion Intussusception is most common in children from the ages of three months to five years, with most occurring by one year of age. Viral/infectious or focal inflammatory etiologies, growths/masses, or motility disorders, incite intussusception. In adults, this event is rare, but growths/masses, motility disorders, or post-operative nidi or adhesions, are the usual culprits. Midgut volvulus occurs when complete malrotation of the midgut causes obstruction from complete twisting of the bowel at the duodenum, usually near the ligament of Treitz. Plain radiography may demonstrate dilatation in the stomach and duodenal bulb proximal to the descending duodenum, after which intestinal air is minimal to none. Contrast upper GI series is diagnostic and reveals a beaked tapering in the duodenum typically before traversing the midline. CT reveals the “swirling” or “whirlpool” of mesenteric vessels. Particularly, the superior mesenteric vein moves from its normal right-sided location and rotates anterior or leftwards of the superior mesenteric artery.
Diagnosis Jejuno-jejunal intussusception, with partial small bowel obstruction converting to completion
References Brant WE, Helms CA. Fundamentals of Diagnostic Radiology. 3 rd ed. Philadelphia: Lippincott Williams & Wilkins, 2007: 1283 -1290. Parienty RA, Lepreux JF, Gruson B. Sonographic and CT features of ileocolic intussusception. AJR 1981; 136(3): 608 -610.