RADIOLOGA TORCICA Irati Larraza R 1 MFy C















































- Slides: 47
RADIOLOGÍA TORÁCICA Irati Larraza R 1 MFy. C
1. Análisis sistemático de la radiografía de tórax normal 1. 2. 3. 2. Proyecciones Valoración de la técnica Análisis Rx Principales signos y patrones radiológicos 1. 2. 3. 4. 5. El signo de la silueta Broncograma aéreo Patrones de enfermedad parenquimatosa Atelectasia Insuficiencia cardíaca
PROYECCIONES PA, AP Y LATERAL � Proyección PA: Se trata de una prueba básica para detectar patología intratorácica. Debido a la superposición del corazón y del diafragma, no podemos ver una importante porción retrocardíaca y de lóbulos inferiores de ambos pulmones.
Proyección Lateral: Porción retrocardiaca, lóbulos inferiores, áreas del parénquima y mediastino.
Proyección AP: En pacientes que no toleren bipedestación. El mediastino superior y la silueta cardiaca puede aparecer aumentado hasta un 20% y los vasos superiores los vemos dilatados.
PROYECCIONES ALTERNATIVAS › › › DECÚBITO LATERAL EXPIRACIÓN OBLICUAS LORDÓTICAS PARRILLA COSTAL derrame pleural neumotórax caracterizar las lesiones mediastínicas vértices, lóbulo medio huesos, fx, calcificaciones
VALORACIÓN DE LA TÉCNICA Comprobar si técnicamente es adecuada. 1. Penetración adecuada › BIEN PENETRADA: El parénquima tiene aspecto grisáceo y vemos algunos discos vertebrales a través de la silueta cardíaca. › DURA O MUY PENETRADA «quemada» : El pulmón se ve negro, y los discos vertebrales retrocardíacos se distinguen muy bien. › BLANDA O POCO PENETRADA: El pulmón se ve muy claro, y no se ven los discos vertebrales retrocardíacos.
2. Centrada: › Los extremos de las clavículas en la misma altura y equidistantes de las apófisis espinosas. › Hemidiagragmas › Senos costofrénicos. › Cámara gástrica. › Densidad hepática.
3. Bien inspirada: Permite ver bien el pulmón y reduce la magnificación de la silueta cardíaca. Punto más alto del diafragma derecho sobre 7. arco costal. Mal inspirada; Imagen de cardiomegalia, engrosamiento hiliar, ensanchamiento mediastínico.
ANÁLISIS DE RX NORMAL El análisis debe ser ordenado y sistemático. 1. Tejidos blandos torácicos. � Pliegues en la piel: En gente delgada. Es útil seguirlos en toda su extensión para comprobar su localización fuera de la cavidad intratorácica. � Sombra mamaria: A veces los pezones imitan a nódulos pulmonares. � Fosa supraclavicular: En gente delgada. Se ve una fina línea de tejidos blandos vista justo por encima de la clavícula.
2. Huesos � Costillas � Columna vertebral: En proyección lateral la densidad disminuye en dirección cráneo-caudal. La altura de los cuerpos vertebrales debe estar conservada. � Esternón: Valorar fractura en traumatismo de gran impacto. Líneas retroesternales tienen forma ondulada. � Clavículas. � Escápula.
3. Diafragma: los ángulos costofrénicos deben ser agudos y profundos en ambas proyecciones. El ángulo cardiofrénico también. Sólo vemos la superficie inferior del diafragma si existe aire por debajo. Neumoperitoneo. Valorar lateralización cúpula diafragmática. Puede indicar presencia de un derrame subpulmonar.
4. Espacio aéreo. Árbol traqueo-bronquial: Tráquea, los bronquios principales, bronquio intermediario. En Rx Lateral: Ramas para los lóbulos superiores de ambos pulmones (BSD y BSI). Siguen un trayecto horizontal y los vemos como claridades ovaladas. B. P. Derecho B. P. Izquierdo B. Intermediario Carina
5. Lóbulos pulmonares : Pulmón izquierdo dividido en 3 lóbulos por medio de dos cisuras, mayor y menor. Pulmón izquierdo dividido en 2 lóbulos por medio de la cisura mayor.
LS LS LM LM LI LI LS LS LI LI
6. Pleura: Formada por la capa parietal y la visceral. La única que vemos en Rx es la visceral, ya que la parietal se encuentra unida a la pared torárica, diafragma y mediastino. Sólo la visceral se sitúa en el interior de las cisuras. Las cisuras mayores de ambos pulmones pueden verse en la proyección lateral y son oblicuas. La cisura menor puede verse tanto en la proyección lateral y en PA y es horizontal.
7. Hilios pulmonares. Están formados por: › Arterias pulmonares y sus ramas principales › Venas de lóbulos superiores › Bronquios principales › Ganglio linfáticos Las sombras hiliares normales están formadas por: › Las arterias pulmonares › Venas de los lóbulos superiores. › Los bronquios principales al estar llenos de aire no aportan densidad al hilio. Nos fijaremos en 3 aspectos de los hilios: - Altura: En Rx PA el hilio izquierdo se sitúa 0, 5 -3 cm más alto que el derecho. - Tamaño. - La densidad.
Silueta cardiovascular: Lado derecho: 8. › Vena cava superior › Auricula derecha. Lado izquierdo: › Botón aórtico › Tronco de arteria pulmonar › Ventrículo izquierdo
Arteria pulmonar Ventrículo derecho Aurícula izquierda Ventrículo izquierdo Vena cava inferior
9. Mediastino: Espacio anatómico entre ambos pulmones, delimitado anteriormente por el esternón, lateralmente por pleura parietal, inferiormente por diafragma y posteriormente por cara anterior de las vértebras dorsales. M. ANTERIOR Timo Corazón Aorta V. Cava superior Arteria pulmonar M. POSTERIOR Ganglios Raíces nerviosas Cadena parasimpática Ao. Descendente M. MEDIO Tráquea Bronquios principales Ao. Descendente Esófago
2. PRINCIPALES SIGNOS Y PATRONES RADIOLÓGICOS 1. El signo de la silueta 2. Broncograma aéreo 3. Patrones de enfermedad parenquimatosa: › Alveolar › Intersticial 4. Atelectasia 5. Insuficiencia cardíaca
Signo de la silueta «Si dos estructuras tienen la misma densidad y están en el mismo plano, es decir, en contacto, sus contornos se borrarán formando una única silueta» «Cualquier opacidad pulmonar intratorácica que esté en contacto con el borde cardíaco, aórtico o diafragmático lo borrará, mientras que una lesión intratorácica que no esté en contigüidad con estas estructuras, no lo oblitera»
Signo de la silueta � � El corazón tiene densidad agua, si tenemos una lesión de este tipo de contiguo al corazón, al igualarse las densidades no se ven los bordes y decimos que el signo de la silueta es positivo. Si una lesión está rodeada de parénquima pulmonar sano y no es contiguo al corazón, la lesión estará bien delimitada, porque hay diferencia de densidades (densidad agua- densidad aire -densidad agua) el signo de la silueta es negativo. Misma densidad, mismo plano Diferente densidad
¿Y para qué nos sirve? Podemos localizar las lesiones Infiltrado Contorno que borra � Lóbulo medio derecho Borde cardíaco derecho � Língula Borde cardíaco izquierdo � Lóbulo inferior derecho Hemidiafragma derecho � Lóbulo inferior izquierdo Hemidiafragma izquierdo, aorta descendente Borde � Lóbulo superior derecho traqueal derecho, botón aórtico � Lóbulo superior izquierdo Aórta descendente proximal
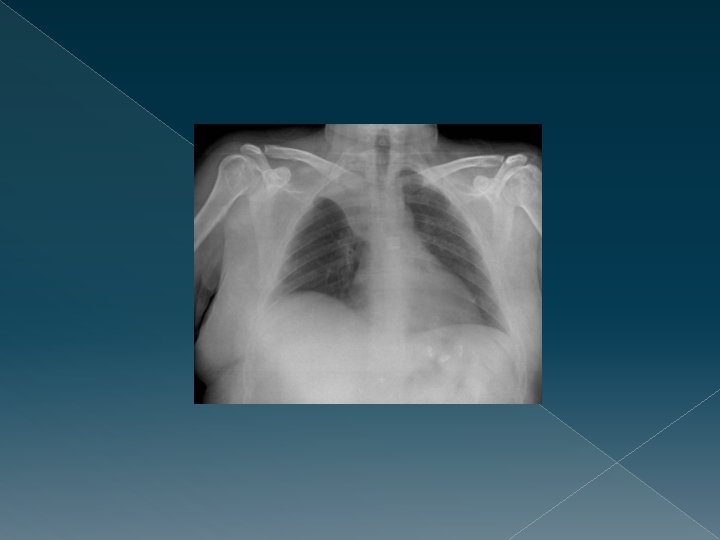
Signo de la silueta - Condensación que no borra el contorno cardíaco, lo que indica la localización posterior, neumonía en LII.
Signo de la silueta+ Condensación pulmonar en la base izquierda, que borra el contorno cardiaco, que indica que la localización anterior (língula) de la lesión.
BRONCOGRAMA AÉREO Se trata de la visualización de aire en los bronquios intrapulmonares. Cuando el contendido normal de los alveolos, el aire, es sustituido por exudado ( en la neumonia) o está colapsado (en el enfisema), los bronquios adyacentes se hacen visibles en la placa como broncograma aéreo ya que están llenos de aire, y existe una diferencia de densidades.
Lo encontramos en: � Neumonia (consolidación) � Edema pulmonar/sd. Distres respiratorio � Infarto pulmonar � Atelectasia por derrame pleural � En lesiones crónicas
El broncograma aéreo tiene que guardar relación con la condensación. La visualización de la trama bronquial aislada no es indicativo de broncograma aéreo.
Patrones de enfermedad parenquimatosa pulmonar � Patrón intersticial � Patrón alveolar (lesiones que afectan al espacio aéreo)
Patrón intersticial En procesos que engrosan el espacio intersticial haciéndolo visible. La mayoría de los procesos son crónicos. � Signos radiológicos: › › No hay broncograma aéreo. Líneas y micronódulos que representan la afectación interticial. Sombras irregulares de apariencia reticular. Vasos y trama pulmonar prominente.
Se clasifica en: 1. Patrón reticular o en panal 2. Patrón micronodular o miliar 3. Patrón reticulonodular 4. Patrón lineal
Patrón reticular Presencia en parénquima de pequeños quistes (1< cm) redondeados u ovales. Se asocia a lesión destructiva con fibrosis y pérdida de arquitectura pulmonar.
Patrón micronodular o miliar Presencia de nódulos redondeados <1 cm, con bordes netos y distribuidos de forma difusa por ambos campos pulmonares.
Patrón reticulonodular + masa Patrón mixto intersticial y nodular, las lineas suelen partir de los nódulos.
Patrón lineal Se caracteriza por presencia de lineas de Kerley, que se produce por engrosamiento de los septos interlobulillares, por ocupación con edema, fibrosis. . Lineas A Lineas B
Patrón alveolar El aire de los alveolos es sustituido por exudado, trasudado o tejido. Puede ser localizado (neumonía) o difuso (edema agudo de pulmón). En la periferia se mezclan los alveolos libres con los ocupados, siendo la lesión de bordes poco precisos. Excepto si la consolidación limita con una cisura. SIGNOS RADIOLOGICOS: › Aumento de densidad › Tendencia a la coalescencia › Aspecto algodonoso › Broncograma aéreo. › Distribución lobar › Aparición y desaparición rápida › Distribución en alas de mariposa
Patrón alveolar localizado Neumonía Patrón alveolar difuso Edema agudo de pulmón
ATELECTASIA Pérdida de volumen del espacio aéreo. El aire distal a la obstrucción se pierde y es esa parte del pulmón la que se atelectasia. Puede darse en todo el pulmón, en un lóbulo o un segmento. Causas: Ø Obstructiva: Impacto mucoso, carcinoma bronquial, cuerpo extraño… Ø Adhesiva: Pérdida de surfactante, neumonitis por irradiación, cicatriz… Ø Pasiva o compresiva: Neumotórax, bullas, linfoma…
SIGNOS RADIOLÓGICOS DE ATELECTASIA DIRECTOS › Desplazamiento de las cisuras. › Pérdida de aireación, con opacificación del área. Debe acompañarse de otros signos de atelectasia. › Agrupamiento broncovascular. INDIRECTOS › Desplazamiento hiliar hacia la atelectasia › Elevación unilateral del diafragma. › Desviación traqueal. › Desplazamiento cardíaco. En atelectasias muy importantes.
INSUFICIENCIA CARDÍACA Signos radiológicos: CARDIOMEGALIA 2. Redistribución vascular 3. Edema intersticial (lineas B) 4. Derrame pleural 1.
ESKERRIK ASKO ARRETAGATIK!