RADIOGRAFIA DE TRAX NO PS Liga Acadmica de





































































- Slides: 69
RADIOGRAFIA DE TÓRAX NO PS Liga Acadêmica de Radiologia e Diagnóstico por Imagem – ALARA Responsáveis: Camila Vidotti e Elton Lopes Professor: Flávio Duarte Data: 01/11/13
CASO CLÍNICO – PARTE I “Paciente do sexo masculino, 43 anos, branco, casado, trabalhador e procedente de zona urbana de Volta Redonda, com história súbita de dor intensa à anteroflexão do tronco em região retroesternal irradiando para região escapular esquerda. Apresenta dificuldade respiratória, perda da fala, sialosquese, com sudorese profusa e fria e parestesia de membro superior esquerdo. Na história pregressa apresenta hipertensão de difícil controle e dislipidemia, nega cirurgias prévias e internações. Etilista de longa data e tabagista, trabalha excessivamente como auxiliar administrativo em um escritório no centro da cidade. ” ANTES DE QUALQUER COISA DEVEMOS SABER COMO ABORDAR O PACIENTE!!
ABORDAGEM Dor torácica e dispnéia sem sinais inflamatórios; Dor torácica e dispnéia com sinais inflamatórios; Dispnéia sem dor torácica (com ou sem sinais inflamatórios); Dor torácica sem dispnéia (com ou sem sinais inflamatórios);
ABORDAGEM • Dor torácica e dispnéia sem sinais inflamatórios Angina instável/IAM com aumento da pressão capilar pulmonar Dissecção da aorta com tamponamento cardíaco ou IAM secundário Tromboembolismo pulmonar Grandes derrames pleurais não infecciosos • Dor torácica e dispnéia com sinais inflamatórios Pneumonia/DPOC descompensado Grandes derrames pleurais infecciosos Pericardites e miocardites
ABORDAGEM • Dispnéia sem dor torácica (com ou sem sinais inflamatórios) Edema agudo de pulmão • Dor torácica sem dispnéia (com ou sem sinais inflamatórios) Dissecção de aorta Pericardite, Pleurites e Mediastinites
CASO CLÍNICO – PARTE II “Ao exame físico o paciente apresentava regular estado geral, hidratado, corado, afebril e desorientado. Está dispneico, a ausculta respiratória encontrava-se com MV universalmente audível e ARA, com ritmo cardíaco regular sem sopros. A pressão arterial (PA) era de 150 x 90 mm. Hg e a frequência cardíaca de 92 bpm. O MSE encontrava-se cianótico, com diminuição da sensibilidade tátil e dolorosa. Os pulsos pediosos e tibiais posteriores não eram palpáveis e o femoral encontrava-se diminuído bilateralmente. ” HIPÓTESES?
HIPÓTESES DIAGNÓSTICAS • • • Angina instável; Dissecção aórtica aguda; IAM; TEP; AVC;
Qual método de imagem é fundamental ser solicitado na admissão desse paciente?
RADIOGRAFIA DE TÓRAX • Detectar a doença e monitorar a resposta ao tratamento • Menor radiação comparado à TC ou radiografias em outras regiões corporais; • Exame essencial na admissão; • Execução no leito; • Rápido e barato;
CASO CLÍNICO – PARTE III “O exame solicitado é realizado e está mostrado na imagem abaixo: ” QUANDO SOLICITAR E COMO ANALISAR?
QUANDO SOLICITAR? • A lista de doenças e situações clínicas que indicam a radiografia de tórax é muito grande. • Como regra geral, no entanto, as radiografias convencionais devem ser obtidas de qualquer paciente com sintomas sugestivos de doença cardíaca, pulmonar, mediastinal, ou de parede torácica. • Adicionalmente, é indicado para pacientes com doenças sistêmicas secundárias ao envolvimento das estruturas citadas.
QUANDO SOLICITAR? • Saturação <90% • Idade > 59 anos • Sons respiratórios diminuidos • Estertores ou FR > 24 irpm • Doença embólica (TVP, EP); • Abuso de álcool • Tuberculose ou temperatura > 38°C • Hemoptise
ANALIZANDO. . . Revisão de anatomia Cada segmento possui um brônquio segmentar, uma artéria segmentar, vasos linfáticos e nervos autonômicos.
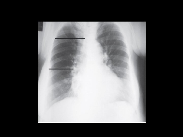
LIMITES TORÁCICOS
ROTINA MÍNIMA PA e Perfil esquerdo. 1. Posição ortostática. 2. Apnéia inspiratória máxima. 3. Tórax o mais próximo do filme. 4. Distância da ampola do raio X deve seguir o padrão de 1, 8 m.
EM PA. . .
TRAQUÉIA
EM PERFIL. . . • • • Espaço retroesternal, Região hilar, Fissuras, Vértebras torácicas, Diafragma, Sulco costofrênico posterior
FISSURAS E LOBOS
MEDIASTINO • Superior: timo, grandes veias, grandes artérias, traquéia, esôfago, ducto torácico e troncos simpáticos • Inferior: anterior (timo), médio (coração, nervos frênicos, e inicio dos grandes vasos) e posterior (esôfago, ducto torácico, parte decendente da aorta, veias ázigo e hemiazigo, veia cava inferior, troncos simpáticos, nervos intercostais e nervos esplâncnicos maior e menor)
DIAFRAGMA
ESSENCIAL • Identificação – Antes de analisar qualquer imagem checar o nome do paciente e a data. • Escolher incidência apropriada – PA/AP e perfil, decúbito lateral com raios horizontais, ápico lordótica, obliqua, radiografias em inspiração e expiração máximas (aprisionamento aéreo, mobilidade dos diafragmas, expansibilidade pulmonar)
PA • Melhor incidência para a radiografia torácica. • Deixa o coração e o mediastino com tamanho mais fidedigno. • Paciente em posição ortostática e máxima inspiração
AP • Usado para pacientes acamados ou quadro instáveis. • Pode ser realizado com o paciente em posição supina ou ereta • Dá a falsa impressão de o coração ou o mediastino serem alargados, devido ao feixe de raios X ser divergente
APx. PA
OBLÍQUA • Utlizada em casos de traumatismo torácico
RAIOS HORIZONTAIS
QUALIDADE DO EXAME 1. Penetração: A coluna deve ser visível através do coração (Pouco penetrado é muito branco, e a coluna não fica visível atrás do coração) e os vasos do hilo devem ser facilmente identificados. 2. Inspiração: Ideal é em apnéia máxima.
3. Rotação: • Processo espinhoso deve se distanciar equivalentemente entre as partes mediais da clavícula de cada lado
Rotação • Processo espinhoso deve se distanciar equivalentemente entre as partes mediais da clavícula de cada lado
SISTEMATIZAÇÃO • Começar pela parte superior do abdômen, seguir para a caixa torácica (partes moles e ossos), depois para as estruturas do mediastino, pulmão, pleura e seios costofrênicos e diafragma. • Cada pulmão deve ser observado individualmente e, a seguir, comparado entre si em busca de assimetrias • A-B-C
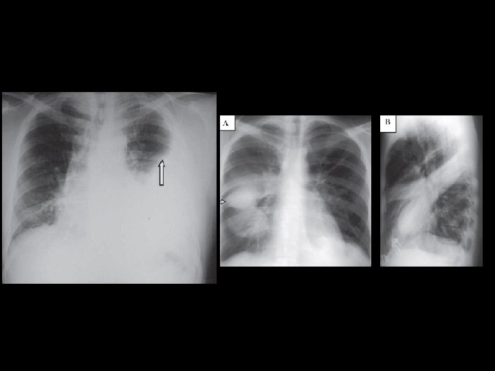
CASO CLÍNICO – PARTE III “O exame solicitado é realizado e está mostrado na imagem abaixo: ” QUAL O DIAGNÓSTICO PROVÁVEL?
DIAGNÓSTICO DISSECÇÃO AÓRTICA AGUDA
ALTERAÇÕES CARDIOVASCULARES IMPORTANTES
CONGESTÃO PULMONAR Rx AP – (A) acentuação da trama vascular em ápices até periferia e aumento do tronco da artéria pulmonar; (B) alteração vascular + aumento da área cardíaca e derrame cisural a D; (C) caso mais grave com acometimento alveolar
EDEMA AGUDO DE PULMÃO Edema pulmonar cardiogênico. Aumento da área cardíaca, associado a velamento de padrão radiológico alveolar, com distribuição periilar, mais acentuado à direita.
EDEMA AGUDO DE PULMÃO Linhas B de Kerley – espessamento do septo interlobular
EDEMA AGUDO DE PULMÃO Edema pulmonar não cardiogênico (tende a ser mais periférico que o edema cardiogênico) – opacidade bilateral simétrica difusa em paciente intubado
TROMBOEMBOLISMO PULMONAR Dados clínicos e radiológicos são bastante inespecíficos e de baixa sensibilidade (radiografia pode estar normal) Achados inespecíficos: derrame pleural , diminuição focal da trama vascular pulmonar, elevação do diafragma, atelectasia, dilatação da artéria pulmonar, consolidação, cardiomegalia. Sinal de Hampton - Opacidades com base pleural e vértice em direção ao hilo, indicam infarto pulmonar
TROMBOEMBOLISMO PULMONAR Sinal de Westermark - dilatação proximal de um vaso embolizado, associado ao colapso dos vasos distais (oligoemia pulmonar)
PERICARDITE
MIOCARDITE A área cardíaca pode estar normal ou aumentada devido à dilatação das câmaras cardíacas. Achados compatíveis com congestão pulmonar e derrames pleurais podem ser encontrados.
CASO CLÍNICO – PARTE IV “O paciente é medicado e submetido a uma correção cirúrgica, sendo o procedimento realizado com sucesso. Enquanto está na recuperação, inicia quadro de tosse produtiva, febre, dor torácica e dispneia. Ao exame físico apresenta Tax: 39, 2ºC, apresenta aumento do fremito toracovocal, macicez a percussão e estertores crepitantes em base pulmonar esquerda, com presença de broncofonia. Ausculta cardíaca está sem alterações. Foi solicitada radiografia de tórax PA e perfil (imagens abaixo). ”
OUTROS ACHADOS NA RADIOGRAFIA
SINAL DA SILHUETA A borda cardíaca ficará mal definida se houver contato anatômico do coração com a condensação de uma pneumonia, com tumores mediastinais ou derrame pleural.
SINAL DO BRONCOGRAMA AÉREO É necessário que o brônquio esteja cercado por estruturas de densidade diferente para ser visualizado. Ocorre por exemplo, nas pneumonias, edema pulmonar e infarto pulmonar.
COLAPSO LOBAR/SEGMENTAR • Redução de volume do lobo ou segmento pulmonar decorrente de obstrução, compressão ou contração; • Sinais diretos (cissuras em direção à área colapsada, o aparecimento de brônquios e estruturas vasculares aglomeradas e a mudança de posição de uma estrutura de referência) e indiretos (deslocamento do hilo pulmonar, a elevação do diafragma do lado lesado e o deslocamento de estruturas mediastinais para o lado da lesão);
Carcinoma broncogênico, Corpos estranhos, Doenças inflamatórias, Compressão (aneurisma, linfonodos aumentados, tumores mediastinais, cardiomegalia), • presença de secreções, • Cicatrização de processos inflamatórios crônicos, como silicose. • •
LESÕES PULMONARES 1. Aumento da densidade pulmonar 2. Diminuição da densidade pulmonar 3. Atelectasia 4. Anormalidades pleurais
1. AUMENTO DA DENSIDADE • Doença alveolar, intersticial e mista • Consolidação parenquimatosa: substituição do ar existente nos alvéolos por líquido, células ou uma combinação dos dois. • Doença alveolar: presença de uma ou mais imagens opacas, algo homogêneas, causando apagamento dos vasos pulmonares, com pequena ou nenhuma perda de volume. Os contornos das opacidades são mal definidos, exceto no ponto de contato com a pleura, sendo possível a identificação de broncogramas aéreos.
Padrão alveolar
Padrões intersticiais • Várias doenças podem causar alterações intersticiais (doenças intersticiais), que se manifestam como micronódulos, opacidades reticulares ou alterações retículo-nodulares.
• Padrão micronodular: múltiplos nódulos medindo de 1 a 5 mm, que podem se tornar coalescentes, ocorrendo devido à expansão do interstício de maneira quase esférica secundária a presença de infiltrado celular, tecido fibroso ou ambos
• Padrão reticular: inúmeras imagens lineares entrelaçadas que lembram uma rede.
• Padrão reticulonodular: É o mais freqüente dos três, caracterizando-se por uma mistura dos dois primeiros padrões, com micronódulos associados a opacidades lineares. Pode ser encontrado em pneumoconioses, infecções, pneumopatias intersticiais e neoplasias.
DIMINUIÇÃO DA DENSIDADE • Hiperinsuflação obstrutiva sem destruição pulmonar, como na asma. • Aumento do volume de ar associado à diminuição de sangue no tecido, como no enfisema pulmonar • Redução do volume de sangue, na ausência de hiperinsuflação, como no TEP. • Atelectasias e derrames pleurais
ALTERAÇÕES RESPIRATÓRIAS IMPORTANTES
ATELECTASIA • Colapso de parte ou de todo o pulmão com desvio do brônquio fonte para o lado da região colapsada
DERRAME PLEURAL • É a invasão da cavidade por coleção líquida, podendo ser esta livre ou septada. São necessários 300 – 400 ml de líquido na cavidade para que o recesso costofrênico lateral seja atingido. Na dúvida, entre presença de líquido ou fibrose pleural, está indicado o uso da incidência em decúbito lateral com raios horizontais.
O derrame pleural na radiografia em PA pode aparecer de três formas: a) Preenchendo os seios costofrênicos, b) Formando um menisco lateralmente com curvatura voltada para cima, c) Ocultando-se na região subpulmonar, d) Formando opacidades periféricas em “calota” quando está septado ou encistado (derrames inflamatórios).
PNEUMOTÓRAX • O pulmão parece estar deslocado da parede torácica, não havendo trama vascular em sua periferia. O sinal do sulco profundo é um importante sinal, visto que pode ser o único indício da presença de ar no espaço pleural
PNEUMONIA
DPOC
OBRIGADO NÃO SE ESQUEÇAM!!
REFERÊNCIAS BIBLIOGRÁFICAS 1. 2. 3. 4. 5. 6. 7. Butler, Paul; Mitchell, Adam W. M; Ellis, Harold: Applied radiological anatomy for medical students Michael Y. M. Chen, MD; Thomas L. Pope, MD; David J. Ott, MD: Basic radiology, 2 nd edition Lygia de Souza Lima Lauand, Edson Braga de Souza Junior, Benedito Juarez Andrade, Sandra Regina Schwarzwälder Sprovieri: Contribution of the chest radiograph interpretation in the emergency room, Arq Med Hosp Fac Cienc Med Santa Casa São Paulo, 2008; 53(2): 64 -76 William Herring, Learning Radiology: recognizing the basics, 2 nd edition Gunderman, Richard. B: Fundamentos de radiologia, apresentação clínica, fisiopatologia, técnicas de imagens, 2007 Marchiori, Edson: Introdução à radiologia, 2009 Goodman; Laurence R. : Felson, Princípios de radiologia do tórax estudo dirigido, 2ª ediçcão