RADIATION THERAPY OF HEAD AND NECK TUMORS Dr

















































































- Slides: 81
RADIATION THERAPY OF HEAD AND NECK TUMORS Dr. Vinit Shah Junior Resident Prosthodontics FODS, KGMU
Contents PART - I Introduction Physical principles Interaction of radiation and tissues Fractionation Brachytherapy Indications for treatment of head and neck tumours Use of prosthetic stents and splints during therapy Radiation effects Part - II Dental management – dentulous patients Osteoradionecrosis Prosthetic management – edentulous patients Implants in irradiated tissues Irradiation of existing implants Conclusion
Introduction John Beumer III, Tohomas A. Curtis, and Russel Nishimura: Radiation therapy is defined as therapeutic use of ionizing radiation. Two categories of radiation ; Electromagnetic Particulate Electromagnetic wave of wavelength less than 1 angstrom are called photons. They have neither mass nor charge. Measured in electron volt. eg xrays and gamma rays. Particulate radiation have mass and are charged negatively (electrons), positively ( protons, alpha particles) or are neutral (neutrons)
Interactions of Radiation and Tissues Radiation absorption by tissues Biologic effects Reoxygenation Repopulation Accelerated repopulation
Radiation absorption by tissue Direct ionizing Indirect Ionizing
INTERACTIONS OF RADIATION AND TISSUES Ø When Charged particles have sufficient energy , they are directly ionizing. ( pass through target matter, and disrupt the atomic structure by producing chemical and biological changes). Ø Photons and neutrons (uncharged particle) are indirectly ionizing. (give up their energy to produce fast moving charged particles. )
Biologic effect The primary effect of radiation is confined to the intranuclear structures such as DNA and mitotic apparatus. Damage to intranuclear structures may be; 1. lethal 2. sublethal (may not be apparent until atleast one cellular division is attempted). If enough time passes between the sublethal event and cellular division, the damage may be corrected, process known as repair of sublethal damage.
Reoxygenation The indirect action of photon beam on target tissues is dependent on the level of oxygenation concept known as reoxygenation. Anoxic tissues - 3 times more resistant to radiation effects oxygen+ organic free radicals = organic peroxides This reaction leaves more hydroxyl free radical which can then interact with target molecules that would otherwise react with hydrogen to form inactive molecules of water.
Redistribution ü ü The radiation effect on individual cells may vary according to the position they occupies in the cell cycle at the time of irradiation. More vulnerable during G 1 and in mitotic phase Relatively radioresistant at the beginning and the end of DNA synthesis. Radiation given during these phases, increased cell killing, known as redistribution.
Repopulation and accelerated repopulation In a given enough overall treatment time, cell in the irradiated tissue can proliferate and repopulate known as repopulation. It has been observed that any cytotoxic agent, including radiation, can trigger colonogenic surviving cells to divide faster than before. This is called accelerated repopulation. Estimated to occur about 4 weeks after the initiation of the treatment. Thus in order to keep pace with the more rapid growth of tumor cell, a more rapid delivery of treatment may be needed.
Isoeffect Models 1. 2. 3. 4. Biologically Equivalent Treatment Schedules As dose increases, tissue changes become more profound and irreversible increased complications. Important variables: Number of fractions Dose per fraction Total dose Time period
FRACTIONATION Radiation therapy is delivered in the series of treatment or fractions. “Conventional fractionation” (in US) total dose - 6500 to 7200 c. Gy daily fractions -180 -200 c. Gy period- 7 weeks given Monday through friday
FRACTIONATION Advantages: Allows regular reoxygenation of the tumor during the course of treatment, making it more radiosensitive. Offers radiation to effect more tumor cells during the radiosensitive phase of their cell cycle. Normal cell seems to recover more completely between fractions from sublethal damage than do tumor cells.
BRACYTHERAPY Method of radiation treatment in which sealed radioactive source is used to deliver the dose to a short distance by interstitial(direct insertion into tissue), intracavitary(placement within a cavity) or surface application(molds). (Boost for advanced tumors or primarily for small lesions) Most commonly used radioisotope in head and neck regions are iridium 192, cesium 137 and radium 226. Radiation sources may be form of needles, narrow tubes, wires or small beads.
Advantages – Rapid decrease in dose with distance from radiation source (inverse square law). Thus a high radiation dose can be given to the tumor while sparing surrounding normal tissues. Also dose rate is low relative to external beam therapy, it can be considered a highly fractionated form of irradiation Thus continuous low dose irradiation tends to synchronize the cell cycle and allows sublethal damage repair.
Disadvantages – Inhomogeneity. Requires the operator to have adequate technical and conceptual skills to achieve good dose distribution. Exposure to room personnel and to therapist specially with the use of radium needles.
Indications for treatment of head and neck tumors Decision regarding the use of radiation and/or surgery for the control of primary lesion is a function of the location and extent of the tumor. carcinoma of nasopharynx, base of tongue, soft palate, tonsillar fossa radiation therapy is the treatment of choice because of surgical morbidity, difficult access, and high risk of regional lymph node involvement.
Carcinoma of salivary gland alveolar ridge should be treated surgically followed by radiotherapy due to potential for bony infiltration. Early carcinoma of glottic larynx and tongue are equally well controlled by radiation or surgery but radiation offer a better functional result Hard deeply infiltrated carcinoma of tongue are less likely to be controlled by radiation. (Due to fixation to the vocal cord) ( superficial / exophytic lesions have higher cure rate with radiation than deeply infiltrated lesions)
Prosthetic devices in Radiation Therapy These are used to optimize the delivery of radiation while reducing the associated morbitity. stents splints carriers shields positioners
Positioning stents Used to rearrange tissue topography within the radiation field and displace normal tissues outside the radiation field. Useful in; tongue and floor of the mouth lesions. inferior positioning of tongue and mandible enabling to lower the radiation field. (sparing to parotid gland – more salivary output )
For dentulous patients. Interocclusal stent prepared that extends lingually from both occlusal tables with a flat plate ff acrylic resin. Serves to depress the tongue A hole is made in the anterior horizontal segment Serves as an orientation hole for reproducible tongue position.
For edentulous patients Impressions Interocclusal record at half/ two-thirds of maximum opening Mounting Base plate wax attached to mandibular record base to form the portion which will depress the tongue. Occlusal index for comfort and stability
Per oral cone positioning device use to boost radiation over Small superficial lesions (T 1 or T 2 in sizes) in accessible locations in the oral cavity. The tumor site > adjacent vital structures useful in; lesions like floor of mouth, hard palate, soft palate, or tongue. (Spares vital adjacent tissues such as mandible, teeth and salivary gland. )
Shielding Helpful if patient is to receive unilateral dose of radiation. Useful in; Buccal mucosa, skin and alveolar ridge. It has been reported that; 1 cm thickness of Cerrobend alloy will prevent transmission of 95%of an 18 Mev electron beam radiation exposure to normal structures.
Lipowitz metal or cerrobend alloy is commonly used to shield. Cerrobend Alloy: Low fusing alloy 50% bismuth 26. 7% lead 13. 3% tin 10% cadmium
Recontouring tissues to simplify dosimetry Use of a stent to flatten the lip and corner of the mouth, thereby placing the entire lip in the same plane to deliver uniform dosage of radiation. Useful in; treating skin lesions associated with upper and lower lips.
Positioning a radioactive source Radioactive source (cesium 132 or iridium 192). Preloaded After loaded Preloaded (RS position within prosthesis prior to carrier insertion) medical staffs receives some exposure. After loading technique, isotopes are threaded into the hollow tubing after the carrier is in predesigned location reduces the radiation exposure to medical staff.
Templates used in direct implantation Direct implantation of the radioactive source in the tumor. useful in; Lesion of the tongue and anterior floor of the mouth. Used to position the source and also determine the proper depth of insertion. Once prosthesis is secured , tissue conditioning material is flowed over the implants to maintain them in proper position during the treatment period.
Tissue bolus devices Irregular tissue = uneven radiation dose A bolus is a tissue equivalent material placed directly onto or into irregular tissue contours to produce a more homogenous dose distribution. commonly used materials are- saline, wax, acrylic resins. This method optimizes the dosimetry by restoring tissue density throughout the defect and ensures uniform delivery of radiation and also protects friable healing tissue such as skin graft.
Following orbital exenteration and maxillectomy Irregular contours and air spaces Tissues at greatest risk of radiation injury: skin grafts, areas of thin mucosa over bone and brain tissue
Radiation effects Oral mucous membrane Taste Olfaction Edema Trismus Salivary glands Bone Periodontium Teeth
Radiation effects ORAL MUCOUS MEMBRANE Initially an erythema appears, epithelium becomes thin, less keratinized, vascularity decreases and mucosa becomes more fibrotic leading to extensive ulceration and desquamation. Pain and dysphagia resulting in weight loss. Mucositis begins to appear 2 -3 weeks after the start of therapy and reaches peak toward the end of therapy. Soft palate> hypopharynx> floor of the mouth > buccal mucosa> base of the tongue> dorsum of tongue Healing is rapid and usually complete in 2 -3 weeks.
After therapy, changes in tissues in the field of therapy predispose to tissue breakdown and delayed healing Epithelium thin and less keratinized Submucosa less vascular and fibrotic These changes make fabrication and tolerance of prosthesis difficult.
Taste Taste bud shows signs of degeneration and atrophy at 1000 c. Gy and at cancericidal dose the architecture of taste bud is completely obliterated. Alteration in taste are discovered during the second week and continue throughout the course of treatment. Perception of bitter and acid flavors are more impaired than salt and sweet. Taste gradually return to normal levels after therapy is completed. Xerostomia decreased recovery of taste
Olfaction Since the olfactory epithelium is high in nasal passage and not included within the radiation field, the sense of smell is less affected.
Edema Edema of tongue, buccal mucosa, submental and submandibular area is occasionally clinically significant. Apparent during the early postradiation period when scaring and fibrosis are common (Impairs patency of both lymphatic and venous channel resulting in obstruction. ) Occasionally, edema reaches proportion which compromise tongue mobility, impairs salivary control, make denture utilization and speech articulation more difficult.
Trismus Most noticeable following treatment of nasopharyngeal, parotid, palatal and nasal sinus tumors in which TMJ and muscles of mastication are in radiation field. Maximum mouth opening may be reduced upto 1015 mm. Treatment Exercise Dynamic bite openers
Salivary gland Saliva changes in volume, viscosity, p. H, inorganic and organic constituents, predisposing to caries, periodontal disease, impairment of taste acuity, poor tolerance of prosthetic restoration, and difficulty in swallowing.
Bone is 1. 8 times as dense as soft tissue , thus, it absorbs a large proportion of radiation than does a comparable volume of soft tissue. Mandible absorbs more than maxilla because of increased density, plus reduced vascularity accounts for increase incident of osteoradionecrosis.
Periodontium Periodontal ligament thickens and fibres become disoriented. Exhibit decreased cellularity and vascularity cementum capacity for repair and regeneration is also compromised.
Teeth Evidence in changes of crystalline structure of enamel, dentin, or cementum following RT is unclear. Pulp shows decrease in vascular elements, with accompanying fibrosis and atrophy. Pulpal response to infection, trauma, and various dental procedures appears compromised. Level as low as 2500 c. Gy can have marked effect on tooth development. Exposure before calcification completion - tooth bud may be damaged. At later stage of development - may arrest growth.
Composition of oral flora Radiation field that include substantial portions of salivary glands leads to significant changes in the composition of oral flora. Increase in the population of streptococcus mutans, lactobacillus and actinomyces predisposing to dental caries. Brown has reported upto 100 fold increase in fungal populations. Post therapy candidiasis of corner of mouth and beneath prosthetic appliance is common.
Contents PART - I Introduction Physical principles Interaction of radiation and tissues Fractionation Brachytherapy Indications for treatment of head and neck tumours Use of prosthetic stents and splints during therapy Radiation effects Part - II Dental management – dentulous patients Osteoradionecrosis Prosthetic management – edentulous patients Implants in irradiated tissues Irradiation of existing implants Conclusion
Dental management –dentulous patients Ø Ø Criteria for pre-radiation Extraction. Following factors should be considered before making decisions regarding extraction or retention of teeth. They are divided into 2 categories: . Dental Disease Factors - Condition of residual dentition -Dental compliance of patient Radiation Delivery Factors -Urgency of treatment -Mode of therapy - Radiation fields -Mandible versus maxilla - Dose to bone
Condition of residual ridge Dentition in optimal condition (high risk dental procedures will not have to be performed in the post treatment period). Extraction of all teeth with questionable prognosis before radiation. Periodontal status in healthy condition. (Furcation involvement of mandibular molar teeth in the radiation field is ground for preradiation extraction).
Dental compliance of the patient Becomes difficult to maintain after treatment; reduced salivary output. Trismus, impaired motor functions, and surgical morbidities (The patient’s oral hygiene at initial examination is often a reliable indicator of future performance. )
Radiation delivery factors Urgency of treatment Mode of therapy Radiation fields Mandible versus maxilla Dose to bone
Urgency of treatment The status and behavior of tumor may preclude pre-radiation dental extractions, since delay secondary significantly compromise control of disease. healing could The dentist, radiation therapist and patient must accept the risk of complications and must attempt to maintain oral health at optimum level. Control of tumor obviously is the most important consideration.
Mode of therapy When external beam therapy is used in combination with radioactive sources implanted( brachytherapy) - dose to adjacent tissues is reduced and more confined. When external radiation is the sole mean of radiation delivery - close scrutiny of the dentition is mandatory.
Radiation field Nasopharynx and posterior soft palate, (includes both parotid glands) – xerostomia and postradiation caries. Lateral tongue and floor of mouth, (encompass the entire body of mandible ) - osteoradionecrosis is high. Tonsillar, soft palate , or retromolar trigone carcinomas, (major salivary glands and a significant portion of body of mandible. ) - caries and osteoradionecrosis is high in this group.
Mandible verses maxilla Osteoradionecrosis in maxilla is rare - conservative approach is justified. Almost all osteoradionacrosis occur in mandible - more aggressive approach is advocated, Particularly mandibular molars (common site of osteoradionecrosis). when they are in radiation beam.
Dose to bone For tissues treated to the high level of `tolerance, more aggressive program of extracting teeth prior to therapy is indicated. The type of tumor will also dictate the radiation levels used in treatment. Eg; - Hodgkin's disease -4000 to 4500 c. Gy, -Squamous cell carcinoma of oral cavity-6500 to 8500 c. Gy.
Extraction of third molars Extraction of impacted mandibular third molars prior to radiation is not advocated for most patients. (create large defects requiring prolonged periods for healing). Patients with partially erupted mandibular third molars represent a particularly difficult and perplexing problem because of risk of pericoronities. Operculectomy is useful in selected cases.
Surgical procedures Factors to be observed for extraction in the preradiation period for best results. ofperformed, 1. edges alveoectomy be Radical should tissue flaps averted, and primary closure obtained. 2. Teeth should be removed in segments. (When individual teeth are extracted, closure is difficult to obtain without excessive tension on tissue flaps).
3. Administration of antibiotics during the healing period Is effective when extraction results in excessive trauma. 4. 7 to 10 day for adequate healing before therapy is begun. Can be shortened or extended depending upon progress made by the patient. 5. Periosteum is the predominant source of vascularity and all efforts should be made to avoid mishandling it during surgical procedure.
Post radiation disease The risk of bone necrosis secondary to dental extractions in postradiation period has been debated by many clinicians. Following definitive course of radiation therapy -vascular changes in bone and oral mucosa impair blood supply and predispose to tissue breakdown and secondary infections of bone and soft tissue. Best indicator of potential risk is the radiation dose to bone in the area of the dentition being considered for removal.
Treatment of severe post radiation disease If the dose to bone locally is below 5500 c. Gy, conventional therapies for tooth or teeth in question can be employed, including root planning and curettage, crown lengthening and root canal therapy. However, Periodontal flap surgery is not recommended. When tumor dose exceeds 6500 c. Gy, options are dependant upon the radiation treatment modality used.
If the dental infection involved the molar region adjacent to implant in absence of exposed bone, dental extractions are employed only as last resort. Endodontic therapy is recommended in order to maintain mucosal integrity. If the infection is periodontal and/ or into the bifurcation area following the root canal therapy, the crown can be amputated , thereby providing access for oral hygiene to this area. If the implant increases the dose in these regions above 5500 c. Gy, hyperbaric oxygen maybe considered.
Endodontic therapy as alternative treatment to PRE Difficulties; Rubber dam isolation is complicated by minimal coronal tooth structure and risk of tissue trauma and resultant bone exposure. Oropharyngeal reflexes compromised , translating into greater risk for aspiration of files. Trismus and small pulp canals make the access for instrumentation and filling difficult.
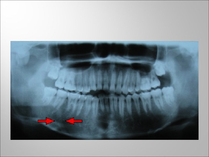
Osteoradionecrosis q q q Is not primarily an infectious process, it is exposure of bone within radiation treatment volume of 3 months or longer in duration. It may progress to intractable pain and pathological fracture of mandible, often accompanied by orocutaneous fistula and requiring resection of major portion of mandible. The dose to bone is probably the best predictor of risk.
In a study by Morrish, in which dose to bone was calculated on all patients, mandibular bone necrosis developed in 85% of dentulous patients who received 7500 c. Gy or more to bone. None of the patients who received less than 6500 c. Gy to mandibular bone develop necrosis.
Treatment options Osteoradionecrosis associated with external beam; Dose less than 6500 c. Gy and localized exposure - local irrigation and packing of idoform gauze, impregnated with tincture of benzoin. Dose to bone above 6500 c. Gy and exposure extends beyond the mucogingival junction, or in association with teeth hyperbaric oxygen combined with surgical sequestrectomy should be considered. If external beam dose to the bone is below 5500 c. Gy, conservative therapy are excellent,
Hyperbaric oxygen ; 2. 4 atmospheres with 100%oxygen Stimulates neovascular proliferation in marginally necrotic tissues , enhances fibroblastic prolifiration, enhances the bactericidal activity of white blood cells and increases production of bone matrix. Marx stated that hyperbaric oxygen is a valuable therapeutic modality not only in treatment of osteoradionecrosis but, also, in preventing osteoradionecrosis.
Marx protocol for treatment of osteoradionecrosis; Stage I- Osteoradinecrosis but without pathological fracture, orocutaneous fistula or radiographic evidence of bone resorption to the inferior border of mandible. 2. 4 atmospheres, 100%oxygen for 90 minutes for 30 treatments. End of 30 treatments improvement 20 treatments are added. No clinical improvement non- responder and advanced to stage II
Stage II- Surgical sequestrectomy, wound closed primarily in 3 layers over a base of bleeding bone. Additional 10 hyperbaric treatments wound dehisces non -responder and advanced to stage III. Stage II Nonresponder with orocutaneous fistula, pathologic fracture or radiographic evidence of bone resorption to inferior border of mandible are considered stage III patients.
Stage III- Nonvital mandibular bone are resected transorally with the aid of tetracycline fluorescence under ultraviolet light. External fixation of mandibular segment, orocutaneous fistulae closed and soft tissue deficits restored with local or distant flaps. Another 10 hyperbaric treatments are given and the patient is advanced to stage IIIR. Stage IIIR- Ten weeks after resection, the mandible is reconstructed with bone grafts , using transcutaneous exposure. Mandibular fixation is achieved and maintained for 8 weeks. 10 hyperbaric treatments are given postoperatively.
Ø Contraindications to Hyperbaric oxygen; Persistent tumor Optic neuritis Active viral disease states Untreated pneumothorax Complications include barotrauma of ear, temporary myopia and in rare instances pulmonary fibrosis.
Soft tissue necrosis Non neoplastic mucosal ulceration occurring in the postradiation field and which does not expose bone. Occurs most often following treatment with interstitial implants and peroral cone modalities. Most of these necrosis occurs within 1 year after completion of radiation therapy. Intense local discomfort is a clinical symptom that is sometimes useful in differentiating this lesion from persistent disease. A tumor recurrence usually presents with irregular indurated margins whereas soft tissue necrosis present with regular , non indurated margins
Prosthetic management- edentulous patients If the radiation fields cover little of denture bearing surfaces (eg; nasopharyngeal carcinoma ), dentures can be inserted as soon as mucositis resolves. Most prosthodontists advised the construction of dentures be deferred for at least 1 year after radiation therapy had been completed.
q q The status of the residual ridge is an important clinical factors to be carefully appraised. Regular/ irregular mandibular ridge Denture base should ensure distribution of pressure as widely and as equally as possible. Occlusal scheme should be to minimize lateral movement of mandibular denture base.
Examination; Information of site of the tumor, mode of therapy employed, total dose , dates of treatment, radiation fields, tumor response and prognosis for disease control should collected. Oral examination, Appearance of oral mucous membranes, scarring and fibrosis at tumor site, degree of trismus, presence and nature of lymphodema, and status of salivary function.
Impression; Conventional border molding, using custom tray and modeling plastic is advocated for making impression. In xerostomia , thin coating of petrolatum may be applied over the soft modeling plastic to avoid sticking to dry mucosa. Peripheral seal is virtually impossible to obtain in these patients because of curtailment of salivary flow. Efforts should be to gaining stability and support rather than retention Edema of floor of mouth and tongue (radical neck dissection), will limit the extent of the lingual flange.
vertical dimension; Consideration for reduce vertical dimension of occlusion. 1. Reducing the vertical dimension may limit the extent of the forces applied to the supporting mucosa and bone during a forceful closure. 2. In patients with clinically significant trismus, entrance of bolus is more easily accomplished by increasing the interocclusal space.
Occlusal form; Lingualised or monoplane occlusal schemes. In arranging posterior teeth, careful attention should be directed toward attaining a proper buccal horizontal overlap. Some clinicians use only 3 posterior teeth, 1 bicuspid and 2 molars in order to avoid trauma to the posterior buccal mucosa.
Delivery and post insertion; Occlusal discrepancies caused by processing errors should be eliminated prior to removing the dentures from the cast. After removal any rough projections on tissue surface should be smoothed. . Instructions concerning removal of prosthesis if soreness develops, the necessity for periodic return visits, and initial limited use of prosthesis are provided.
Implants in irradiated tissues Irradiation predisposes changes in bone, skin, mucosa which affect the predictability of Osseointegrated implants. Careful consideration to risk of osteoradionecrosis Osseointegration is impaired in bone that has received > 5000 c. Gy
Irradiation of existing implants Results in backscatter. Dose is increased about 15% at 1 mm from the implant It is recommended that all abutments and superstructures be removed prior to radiation. Skin/mucosa closed over implant till healing is complete
Conclusion The cancer patient who is to receive curative doses of radiation to the head and neck presents an interesting challenge to the dentist. Dental management of the irradiated patient is a serious undertaking since the standard of care has an effect on the patient’s quality of life.