R s u l ta ts QUIZZ Nicolas






















- Slides: 22
R é s u l ta ts QUIZZ Nicolas MENNESSON Service de radiologie générale, Hôpital de Béziers Frank PILLEUL Service de radiologie digestive, Hôpital Edouard Herriot, Lyon
Cas n° 1
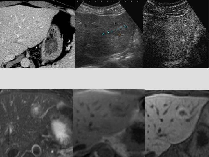
Nodules hépatocytaires hypervasculaires CHC Métastases hypervasculaires Adénome -Contexte de cirrhose -Pas de wash-out -Pas de captation du Teslascan® (Mangafodipir trisodique, Mn-DPDP) -Multiples -Hétérogènes, graisse, hémorragie Péliose pseudotumorale -Hypervasculaire au temps artériel sans wash -out possible -Pas de captation du Teslascan® HNF -Cicatrice centrale plus fine HNR -Nodule mono-acinaires (<3 mm) -Nodule multiacinaire de 3 mm à 4 cm
Hyperplasie nodulaire régénérative Anatomopathologie Formes mono-acinaire < 3 mm Hépatocytes hyperplasiques disposés autour d’un seul espace porte Formes multi-acinaire 3 mm à 4 cm Hépatocytes hyperplasiques disposés autour plusieurs espaces portes Vascularisation à prédominance artérielle Pathogénie Obstruction des branches portes intra-hépatiques
Obstruction des branches portes intrahépatiques 12 cures de Folfox : Dose cumulée Oxaliplatine 1050 mg/m² Syndrome d’obstruction sinusoïde (SOS)1 Obstruction sinusoïdale par des débris endothéliaux secondaire à la nécrose cellulaire Le plus souvent asymptomatique Hépatomégalie, ascite, augmentation de la bilirubine Aspect réticulaire du foie après injection, diminution de la captation des oxydes de fer (SPIO) Augmente le risque de résection hépatique : friable, congestif, « blue liver » 1 - Robinson, Eur Radiol 2009
Hyperplasie nodulaire régénérative et SOS Mécanisme physiopathologique proche entre SOS, HNR et péliose 2 HNR après traitement par oxaliplatine 3 Biopsie Absence de localisation tumorale Absence de fibrose périnodulaire Hépatocytes hyperplasiques 2 - De Leve et al, Liver Dis 2002 3 - Hubert et al, Liver Int 2007
HNR multifocales
Cas n° 2 a et 2 b « Infiltration autour de l’axe mésentérique »
Diagnostic sémiologique 2 a = 2 b Infiltration tissu adipeux mésentérique: Inflammation et/ou Nécrose et/ou Fibrose PANNICULITE MESENTERIQUE
Panniculite Mésentérique Affection bénigne non spécifique, Prévalence de 0, 6% Pathogénie obscure Auto-immune ou vasculaire ? Clinique Douleurs abdominales ++, vomissements, amaigrissement Asymptomatique 50% des cas Formes histologiques 4 Inflammatoires aigues Nécrose Fibrose collagène Panniculite mésentérique Lipodystrohie mésentérique Mésentérite rétractile 4 - Bechade et al, Rev Med Interne 2007
Panniculite Mésentérique Bénin Infection Traumatisme Pancréatite Xie abdominale Ischémie Vascularite Granulomatose… Malin Lymphome++, CCR, Mélanome, K Pulmonaire, T carcinoïde….
Distinction Bénin-Malin 2 a = 2 b « fat ring sign » 75% des formes inflammatoires bénignes -Disparait dans les formes fibrosantes 5 -Peut-être retrouvé dans les LMNH en particulier après chimiothérapie (disparition des ADP) 6 Fixation PET Absence de fixation du FDG Formes bénignes 7 5 - Sabaté et al. AJR 1999 6 - Régent et al. J Radiol 2004 7 -Zissin et al. Br J Radio 2006
2 a ≠ 2 b Rétropéritoine Mésentérite rétractile / Fibrose rétropéritonéale Signe du « sandwich » Masse lymphomateuse enveloppe les Vx mésentérique
Après biopsie… 2 a : MESENTERITE RETRACTILE Tissu fibro-inflammatoire non spécifique Régression clinique et TDM sous corticothérapie 2 b : LYMPHOME FOLLICULAIRE Grade 2 En cours de chimiothérapie
Cas n° 3
Femme période d’activité génitale Antécédents : Dysménorrhée (29 ans) Clinique : Sub-occlusion Imagerie Sténose rectosigmoïdienne + Atteinte dernière anse Kyste ovarien G
Endométriose Greffe de la muqueuse utérine normale, fonctionnelle en position ectopique 10 à 25 % des femmes en période d’activité génitale La localisation digestive est évaluée à 5, 4 % Le siège de prédilection est le rectosigmoïde (72 à 85 %) Généralement associé à une atteinte ovarienne ou utérine
Endométriose digestive Endométriose rectosigmoïdienne Troubles digestifs + Symptomatologie gynécologique Masse solide ( ≠ Atteinte ovarienne ) Anatomopathologie : Muqueuse colique normale Ilots d’endométriose intrapariétaux Musculeuse dissociée par une fibrose inflammatoire
Endométriose digestive L’intégrité de la muqueuse Discriminante / aux lésions néoplasiques ulcérées Rectorragies cataméniales Hémorragies muqueuse au passage des selles dans la lumière sténosée par l’endométriose intramurale Pas d’atteinte muqueuse vraie.
Endométriose digestive Diagnostic confirmé par histologie Traitement chirurgical Colostomie de décharge en urgence Traitement médical Analogue de la LH-RH
Merci de votre Attention !!!