QUIZZ N Siauve HEGP Paris Cas clinique n








































- Slides: 40
QUIZZ N. Siauve HEGP, Paris
Cas clinique n° 1 A • Monsieur M. , 95 ans • Syndrome occlusif
Occlusion mécanique du grêle? • POUR • Distention segmentaire du grêle • Jonction plat/dilatée • CONTRE • Distention tout le grêle • Distention segmentaire du colon (occlusion mécanique colon) • Distention de tout le colon (occlusion fonctionnelle)
COLON PLAT DILATATION SEGMENTAIRE DU GRÊLE
Occlusion mécanique du grêle • • ETIOLOGIE – Brides – Hernies étranglées – Hernies internes – Tumeurs SIGNES DE GRAVITE – Volvulus – Paroi: épaississement, amincissement, pneumatose – Mésentère: œdème, hématome – Péritoine: épanchement
HERNIE INGUINOSCROTALE DROITE ETRANGLEE EPAISSISSEMENT PARIETAL EPANCHEMENT
Monsieur M né le 08/09/1912 Opérateur : Pr B Assistant : Dr A Anesthésiste : Dr F Date de l’intervention : 19 février 2008 VOLUMINEUSE HERNIE INGUINO-SCROTALE ETRANGLEE DROITE RESPONSABLE D’UNE OCCLUSION DU GRELE. CURE CHIRURGICALE AVEC REFECTION PARIETALE PAR LA MISE EN PLACE D’UNE PLAQUE TYPE Lichtenstein. • • GESTES REALISES : Sous anesthésie générale la hernie se réduit immédiatement. Incision inguinale droite. Ouverture de l’aponévrose du grand oblique. Très volumineux sac péritonéal inguino-scrotal dont la réduction est difficile. Il existe un autre sac le long du cordon qui sera également disséqué et réséqué. Le volumineux sac inguino-scrotal sera ouvert. Le grêle hernié a été récupéré, il n’existe pas de sillons de strangulation seulement un petit hématome non trans-fixiant….
Cas clinique 1 B • Monsieur M. , 7 jours plus tard
Occlusion post opératoire • OCCLUSION FONCTIONNELLE? MECANIQUE? – Distention segmentaire – Distention de tout le colon (occlusion du grêle fonctionnelle) – Jonction plat/dilatée – Etiologie – – Bride Récidive hernie Cause iatrogène Autre origine
COLON PLAT PAS DE JONCTION GRÊLE PLAT/ GRÊLE DILATÉ
TUMEUR DE LA VALVULE
Monsieur M né le 08/09/1912 Opérateur : Pr B Assistant : Dr C Anesthésiste : Dr F Date de l’intervention : 26 février 2008 • ADENOCARCINOME DE LA VALVULE ILEO CAECALE RESPONSABLE D’UNE OCCLUSION DU GRELE. • COLECTOMIE DROITE COELIO-ASSISTEE. • ANASTOMOSE ILEO-COLIQUE LATEROLATERALE TERMINALISEE
• Hernie sentinelle – Conséquence et non pas cause – Bien connue du chirurgien!! – Réductible++ – Littérature Sentinel hernia, Benhamou G, Nouv Presse Med. 1978; 18; 7: 574. – A évolué pour son propre compte (étranglement) • Carrefour iléocaecal – Pas de jonction grêle plat/grêle dilaté! – Occlusion fonctionnelle
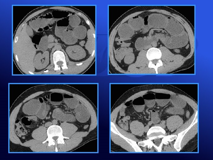
Cas clinique n° 2 • Monsieur G. , 34 ans • Syndrome occlusif • Pas d’antécédents
Occlusion mécanique du grêle? • POUR • Distention segmentaire du grêle • Jonction plat/dilatée • CONTRE – Distention tout le grêle – Distention segmentaire du colon (occlusion mécanique colon) – Distention de tout le colon (occlusion fonctionnelle)
JONCTION GRÊLE PLAT/ GRÊLE DILATÉ COLON PLAT
Occlusion mécanique du grêle • ETIOLOGIE • SIGNES DE GRAVITE – Brides – Volvulus – Hernies étranglées – Paroi: épaississement, amincissement, – Hernies internes pneumatose – Tumeurs – Mésentère: œdème, – Autre … hématome – Péritoine: épanchement
HERNIE INTERNE/ BRIDE SPONTANEE
Monsieur G né le 05/06/1971 Opérateur : Dr G Assistant : Dr T Anesthésiste : Dr H Date de l’intervention : 26 avril 2006 OCCLUSION INTESTINALE COELIOSCOPIE EXPLORATRICE • CONSTATATIONS OPERATOIRES : • Il existe une hernie interne contenant une anse étranglée de vitalité conservée au niveau du mésocolon transverse l’orifice de la hernie constitué par l’accolement de deux franges épiploïques. • GESTES REALISES : • Réduction de la hernie. • Fermeture de l’orifice par un surjet au Vicryl 3/0. • Vérification de l’hémostase. • Fermeture aponévrotique de l’orifice de 10 mm par du Vicryl 0.
Cas Clinique n° 3 A • Monsieur H. , 84 ans J 15 post opératoire cholécystite + fistule duodénale (Cholécystectomie + suture duodénale) Sphinctérotomie préopératoire • Fièvre Douleur abdominale
Air en périhépatique Air dans le foie
Pneumopéritoine post op? • POUR • Contexte post opératoire • CONTRE • J 15 post op • abondance On doit recher une cause: perforation d’un organe creux
PERFORATION DUODENALE
Monsieur H né le 03/09/1923 Opérateur : Pr B Assistant : Dr C Anesthésiste : Dr E Date de l’intervention : 17 Septembre 2007 • FISTULE DUODENALE POST OPERATOIRE ET ABCES SOUS PHRENIQUE DROIT • DOUBLE INTUBATION DUODENALE GASTRIQUE • DRAINAGES MULTIPLES • GASTROSTOMIE DE DECHARGE
Air dans le foie: aérobilie? • POUR – Antécédent de fistule biliodigestive – Antécédent de sphinctérotomie – Topographie – Pas de ramification • CONTRE – 0
Cas Clinique n° 3 B • Monsieur H. , 84 ans 1 mois 1/2 plus tard • douleur abdominale
Air dans le foie: aérobilie? • POUR • CONTRE • Antécédent de • Topographie fistule • Ramification biliodigestive • Sphinctérotomie • Topographie AEROBILIE + AEROPORTIE
Aéroportie: causes? • ISCHEMIQUES • Ischémie mésentérique (pneumatose) • RARES • INFECTIEUSES • • • Infections bronchopulmonaires (pneumatose intestinale kystique) • Iatrogéniques (endoscopie) Abcès abdominaux Appendicite Colites Diverticulites Infections biliaires
PNEUMATOSE PARIETALE: ISCHEMIE DU GRÊLE
Cas Clinique n° 4 • Madame L. , 90 ans douleur abdominale Abdomen souple • Etat général conservé
Pneumatose: ischémie mésentérique? • POUR • Imagerie • CONTRE • Clinique • Absence de facteur de risque
PNEUMATOSE PARIETALE NON ISCHEMIQUE
Après traitement par Flagyl® 3 mois plus tard
Pneumatose • ISCHEMIQUES • PNEUMATOSE KYSTIQUE INTESTINALE • Ischémie • Primitive (15%, colon) mésentérique • Secondaire (85%, grêle) – Gastrointestinale – Pulmonaire – Immunologique – Médicamenteuse (chimiothérapie, corticoïdes…)