QUIZ CAS CLINIQUE o Cas de Lia Mba
QUIZ CAS CLINIQUE o Cas de (Lia M’ba 31. 03. 11). o Lymphome Recher le cas
ANAMNESE Garçon de 6 ans avec rhinite avec petite toux depuis 2 semaines ttt par amoxicilline pour une otite depuis 24 h. Se plaignait de douleurs abdominales à ce moment mis sur le compte de l'otite. Le jour de l’hospitalisation était dans la rue avec maman, et tout d'un coup a hurlé de douleurs au niveau de l'hypochondre G et est tombé par terre. Pas d'EF depuis le début de l'ABT. Urines sp. Selles sp. Pas de vomissement. Pas d'expectoration. Alimentation et hydratation conservée. Pas d'allergie. BSH. Vaccins à jour.
STATUS Etat général: Fatigué, cerné. Bon état d'hydratation ORL : tympans et gorge calmes, pas de ganglions cervicaux ni sous angulomandibulaires Pulmonaire : Hypoventilation 2/3 de la plage pulmonaire gauche avec percussion avec matité 2/3 de la plage pulmonaire gauche Cardiologique : B 1 B 2 bien frappés, pas de souffle audible Gastointestinal : Abdomen souple et indolore, pas d'hépatosplénomégalie, bruits intestinaux sans particularités. Neurologique : Pas de signes méningé, nuque souple Cutané : Pas d'éruption cutanée. Temps de recoloration cutané < 1 seconde
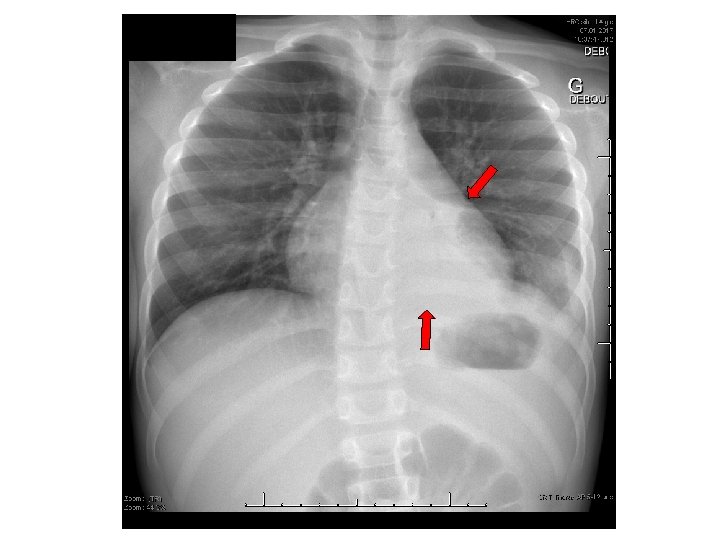
STATUS Bon état général, bon état d'hydratation, bonne perfusion Pulmonaire : eupnéique, hypoventilation G avec matité en base G, pas de SDR, pas de tirage Gastointestinal : douleurs à la palpation de l'hypochondre G, douleurs respirodépendante, bruits intestinaux physiologique en tonalité et fréquence dans les 4 quadrants, pas d'hépatosplénomégalie ni de masse palpés. Reste du status sp. VOUS PENSEZ À QUOI ?
CRITERES CLINIQUES EN FAVEUR D’UNE PNEUMONIE Que faut-il savoir si on réalise un radio de thorax?
La Radio de thorax est le « Gold Standart » pour le diagnostic de pneumonie. La Radio de thorax reste un examen subjectif, lecteur dépendant Sensibilité: 40 -80%, Spécificité: 42 -100% La Rx de thorax est utile pour recher des complications de pneumonie lors de mauvaise réponse au traitement ou lors de pneumonies d’emblées sévères ( épanchement, empyème, nécrose pulmonaire, pneumothorax, déviation du médiastin) La radio de thorax seule ne permet pas de différentier entre une pneumonie virale et bactérienne Helena Clements et all. Arch Dis Child 2000; 83: 320– 324
VOS DIAGNOSTICS ? Séquestration pulmonaire Syndrome carcinoïde Abcès pulmonaire Atélectasie LSD Kyste bronchogénique Malformation Adénoïde Kystique du Poumon (MAKP) COMMENT FAIRE LA DIFFERENCE ?
VOS DIAGNOSTICS ? • • • Pneumonie Epanchement? Atelectase? Abcès/nécrose pumonaire? Autres • Kyste bronchogénique • Séquestration pulmonaire • MAKC • Cancer • ….
Arbre décisionnel belge
Pourquoi réaliser un CT-thoracique (avec liquide ce contraste)? Différentier entre: o Epanchement o Empyème o Atélectase o Abcès intra pulmonaire o Nécrose pulmonaire o Malformation pulmonaire o Kyste bronchogénique o Séquestre pulmonaire o Kyste adénomateux
VOUS FERIEZ QUOI ?
Pourquoi réaliser une ponction pleurale ? Indications : - Recherche de l'étiologie : distinction entre transsudat, exsudat, empyème. - Epanchement ≥ 1 cm et ou détresse respiratoire (expansion pulmonaire) Réaliser avant la ponction pleurale un US pour avoir : - La quantité de liquide - L’aspect du liquide organisé vs organisé (trouble, cloisonnements) = discussion intervention chirurgicale. - Le meilleur site de ponction (radiologue et une croix sur le patient dans la position choisie pour la ponction)
TRAITEMENT EMPIRIQUE • Quel AB? quels germes attendus? • Epanchement Combien de temps IV et PO
Arbre décisionnel CHUV
Quel germe ici au vu du laboratoire peu inflammatoire et de l’absence de T°? .
POUR FINIR Fille 5 ans adressé par MT , pour radiographie de thorax péjoration d'une pneumonie diagnostiquée et traitée par amoxicilline 70 mg/kg/jour 5 jours auparavant. Au contrôle chez le MT présente une hypoventilation gauche plage pulmonaire gauche, des douleurs thoraciques antérieures gauches, et une péjoration de l'état général. La mère la trouve fatigué, mais en amélioration car moins mal, toux en diminution et ne fait plus la fièvre depuis 2 jours. BSH. Jamais fait pneumonie dans le passé. Pas de perte du poids. Petit appétit depuis toujours. Croissance dans la norme selon mère. Pas de contage dans l'entourage avec toux chronique. Vaccins à jour , Prevenar® y compris selon la mère (carnet non-vu) Pas de voyage. Pas d'allergie VOUS PENSEZ À QUOI ?
PNEUMONIE COMPLIQUÉE • Echec traitement AB (mauvais germe/résistance) • Epanchement pleural/empyème, nécrose pulmonaire, abcès pulmonaire • Sepsis débutant • … QUEL LABO ? • • • Rx thorax F/P FSC, CRP Hémocultures +/- US +/- CT
ON FAIT QUOI ?
PONCTION PLEURALE
PONCTION PLEURALE
PONCTION PLEURALE • • Résultats parlant plutôt en faveur d'un exsudat Prédominance de monocytes et de lymphocytes LDH très augmentés. Avis hématologue : cellules lymphocytiques atypiques et immatures (14% des cellules) CT thoraco-abdominal
SCANNER THORACIQUE + ABDOMEN Masse médiastinale antérieure englobant les gros vaisseaux de taille 8 cm x 7. 5 cm x 7 cm, condensation atéléctasique, pas d'infiltrat, petite lame de pneumothorax gauche, foie, rate, pancréas sans particularité DD: lymphome le plus probable, thymome, tératome.
SCANNER THORACIQUE + ABDOMEN Masse médiastinale antérieure englobant les gros vaisseaux de taille 8 cm x 7. 5 cm x 7 cm, condensation atéléctasique, pas d'infiltrat, petite lame de pneumothorax gauche, foie, rate, pancréas sans particularité DD: LYMPHOME LE PLUS PROBABLE, THYMOME, TÉRATOME TF CHUV
- Slides: 30