Quelques cas cliniques pour bien commencer la journe
Quelques cas cliniques pour bien commencer la journée… Journée de printemps 1 er Avril 2011
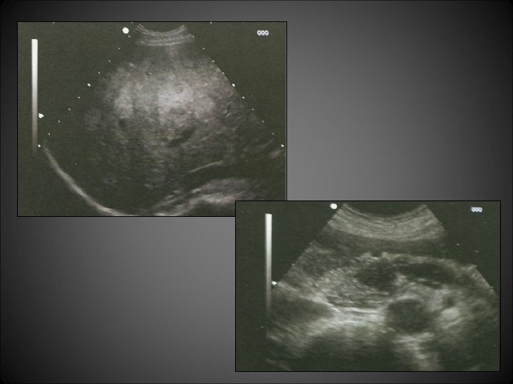
Cas n° 1 • Echographie pour bilan d’épigastralgies: Foie multinodulaire Nodule pancréatique isthmique avec dilatation du canal pancréatique d’amont • Excellent état général • Biologie: bilan hépatique et pancréatique normal élévation sérique de la sérotonine et chromogranine A • Biopsie hépatique: Métastase hépatique d’un carcinome endocrine bien différencié, exprimant Chromogranine A et synaptophysine
TDM abdominale Etes-vous satisfaits ?
Cas n° 2 • Patiente de 25 ans Aplasie fébrile après allogreffe pour myélodysplasie sévère • Douleurs abdominales épigastriques • Bilan hépatique normal Lipasémie à 3 fois la normale • Echographie hépato-biliaire normale • Scanner abdominal:
Scanner initial Scanner à J 15
Cas n° 3 • Patient de 60 ans • Adressé pour bilan d’un syndrome de Cushing associant hyperpigmentation, HTA, diabète, hypokaliémie, surpoids et fonte musculaire. • IRM hypophysaire normale • Un scanner puis une IRM sont réalisés
Cas n° 4 • Patient de 45 ans • Alcoolisme chronique • Douleurs épigastriques et vomissements post-prandiaux • Lipasémie à 2 fois la normale • Sténose duodénale endoscopique
Cas n° 5 • Patient de 35 ans • Pas d’antécédents Echographie motivée pour colique néphrétique • Scanner abdominal: indication: mais comment suis-je fait Docteur ?
- Slides: 12