Pulmonary hydatidosis Dr mohammadzadeh Thorasic surgeon A section

  • Slides: 44
Download presentation
Pulmonary hydatidosis Dr. mohammadzadeh Thorasic surgeon

Pulmonary hydatidosis Dr. mohammadzadeh Thorasic surgeon

A section of a hydatid cyst The cyst consists of a thick outer layer

A section of a hydatid cyst The cyst consists of a thick outer layer (*), several thinner internal layers, and many protoscolices. The protoscolices are often called "hydatid sand. "

Hydatid cyst (Hydatid disease) Mother cyst (left) daughter cyst (right)

Hydatid cyst (Hydatid disease) Mother cyst (left) daughter cyst (right)

Higher magnification of the protoscolices

Higher magnification of the protoscolices

protoscolex. Note the "hooks" that will form the hooks associated with the adult worm's

protoscolex. Note the "hooks" that will form the hooks associated with the adult worm's armed rostellum. Protoscolices with double row hooklets

Hydatid cyst showing a row of brood capsules attached to the germinal layer.

Hydatid cyst showing a row of brood capsules attached to the germinal layer.

Egg An egg of Echinococcus granulosus(upper). These eggs are virtually indistinguishable from other closely

Egg An egg of Echinococcus granulosus(upper). These eggs are virtually indistinguishable from other closely related species of tapeworms such as Taenia.

Echinococcus granulosus in the small intestine of a dog (the small, white objects) Although

Echinococcus granulosus in the small intestine of a dog (the small, white objects) Although these tapeworms are quite small, a single dog can be infected with many of them.

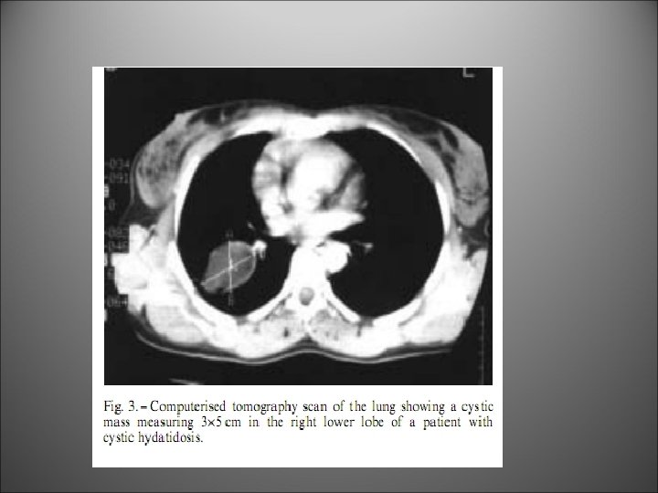
Hydatid cyst in lung. This patient had a single large cyst in the left

Hydatid cyst in lung. This patient had a single large cyst in the left lung.

An intact hydatid cyst

An intact hydatid cyst

An intact hydatid cyst

An intact hydatid cyst

Clinical Features of ruptured cyst i. Quiescent type ii. Abscess type iii. Progressive type

Clinical Features of ruptured cyst i. Quiescent type ii. Abscess type iii. Progressive type

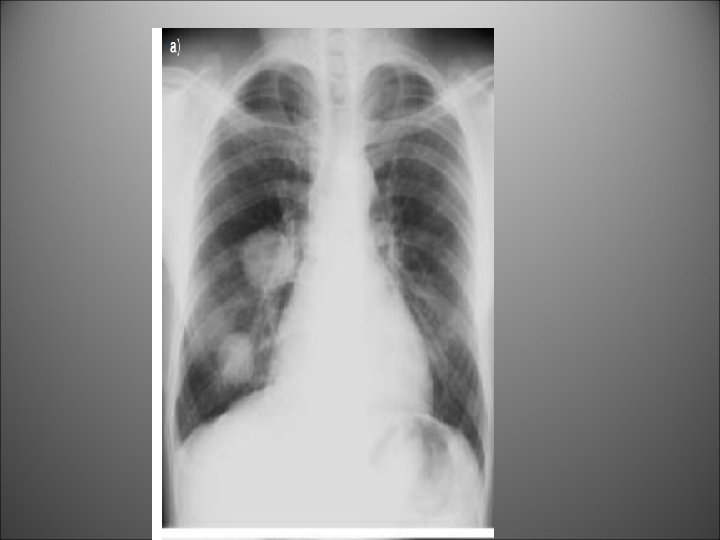
A patient with bilateral hydatid cyst

A patient with bilateral hydatid cyst

Water lily sign

Water lily sign

Allergic reactions and sometimes anaphylactic shock may occur if the cyst ruptures. Ruptures of

Allergic reactions and sometimes anaphylactic shock may occur if the cyst ruptures. Ruptures of the cyst may also lead to the escape of protoscolices into the surrounding tissues, these can then develop into further cysts.

Differential Diagnosis of hydatid cyst

Differential Diagnosis of hydatid cyst

A Very huge hydatid cyst

A Very huge hydatid cyst

Diagnosis Microscopy Fluid aspirated from a hydatid cyst will shows multiple protoscolices (size approximately

Diagnosis Microscopy Fluid aspirated from a hydatid cyst will shows multiple protoscolices (size approximately 100 µm), each of which has typical hooklets. The protoscolices are normally invaginated (left), and evaginated (middle, then right) when put in saline.

Antibody Detection Indirect hemagglutination (IHA) indirect fluorescent antibody (IFA) tests, and enzyme immunoassays (EIA)

Antibody Detection Indirect hemagglutination (IHA) indirect fluorescent antibody (IFA) tests, and enzyme immunoassays (EIA) are sensitive tests for detecting antibodies in serum of patients.

Treatment Surgery is the most common form of treatment for echinococcosis. The drug of

Treatment Surgery is the most common form of treatment for echinococcosis. The drug of choice for treatment is albendazole.