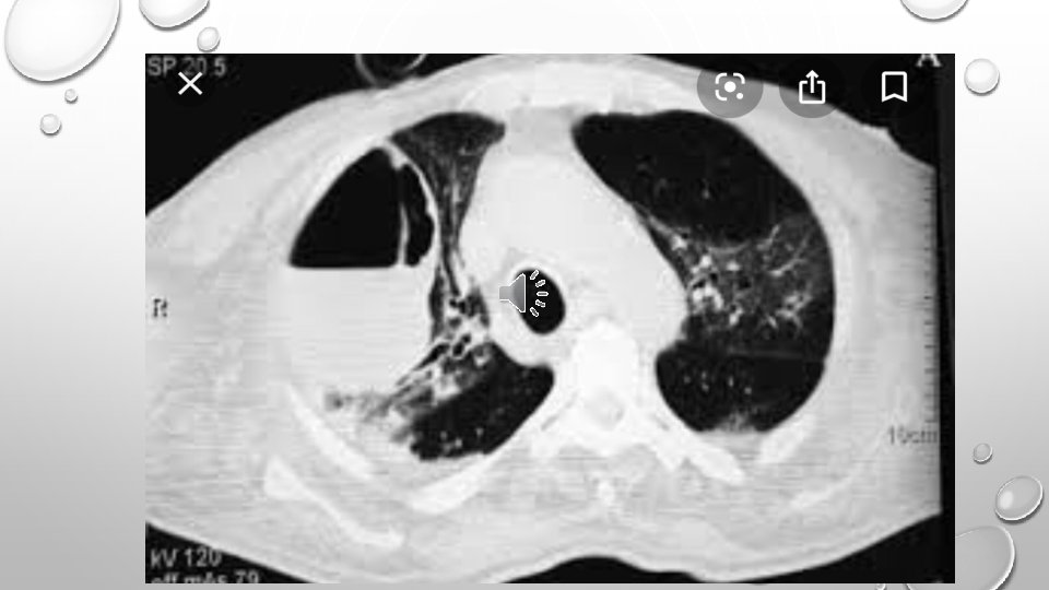
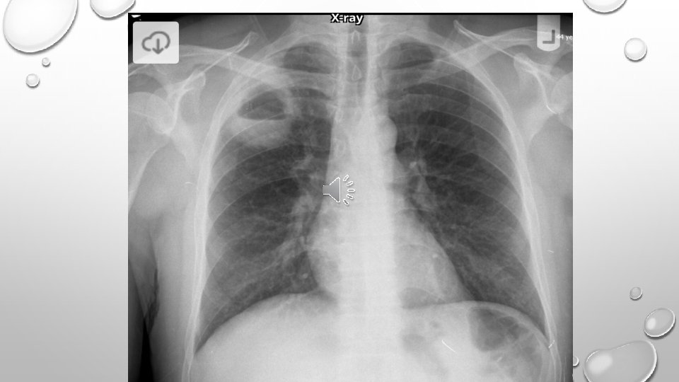
PULMONARY ABSCESS LUNG ABSCESS REPRESENTS NECROSIS AND CAVITATION
PULMONARY ABSCESS
• LUNG ABSCESS REPRESENTS NECROSIS AND CAVITATION OF THE LUNG FOLLOWING MICROBIAL INFECTION • LUNG ABSCESS CAN BE SINGLE OR MULTIPLE
• PRIMARY • SECONDARY • ACUTE • CHRONIC
EPIDEMIOLOGY • MIDDLE AGED MEN ARE MORE COMMONLY AFFECTED • MAJOR RISK FACTOR FOR PRIMARY LUNG. ABSCESS IS ASPIRATION DUE TO: • 1 - ALTERED MENTAL STATUS • 2 -ALCOHOLISM • 3 -DRUG OVER DOSE • 4 -SEIZURE • 5 -BULBAR DYSFUNCTION • 6 -CEREBROVASCULAR OR CARDIOVASCULAR EVENT • 7 -GERDOR ESOPHAGEAL DYSMOTILITY
• LOCALIZATION OF INFECTION IN PRIMARY LUNG AB. IS IN POSTERIOR UPPER LOBE AND SUPERIOR LOWER LOBES • RIGHT LUNG IS AFFECTED MORE COMMONLY • MICROBIOLOGY IS POLYMICROBIAL • A PUTRID LUNG AB. REFERS TO CASES WITH FOUL SMELLING BREATH , SPUTUM, OR EMPYEMA
CLINICAL MANIFESTATION • FEVER • COUGH • SPUTUM PRODUCTION • CHEST PAIN • NIGHT SWEET AND FATIGUE • CLUBBING
DIAGNOSIS • IMAGING • NEEDLE ASPIRATION
TREATMENT • FOR PRIMARY LUNG ABSCESS • CLINDAMYCIN 600 mg IV , TDS FOR 3 -4 WEEKS • IN SEC. ABSCESS • ANTIBIOTIC COVERAGE SHOULD BE DIRECTED AT THE IDENTIFIED PATHOGEN • SURGICAL RESECTION FOR PATIENT WHO DO NOT RESPOND TO ANTI BIOTIC THERAPY
COMPLICATION • PNEUMATOCELES • BRONCHIECTASIS • RECURRENCE OF ABSCESS • EMPYEMA • HEMOPTYSIS • MASSIVE ASPIRATION OF LUNG ABSCESS CONTENTS
PROGNOSIS • P. LUNG AB. ≤ 2% • SEC. LUNG AB. =75% • POOR PROGNOSTIC FACTORS: • AGE≥ 60 • THE PRESENCE OF AEROBIC BACTERIA • SEPSIS AT PRESENTATION • SYMPTOM DURATION ≥ 8 WEEKS • ABSCESS SIZE≥ 6 CM
- Slides: 15