Psoriasis Definition Psoriasis is a recurrent chronic inflammatory



































- Slides: 35
Psoriasis
Definition Psoriasis is a recurrent, chronic, inflammatory disease of the skin characterized by red papules or plaques covered by silvery white and multilayer scales.
Morbidity rate Natural population: 0. 1%~0. 3% China(1984): 0. 123%
Etiopathogenisis 1. Theory of heredity Family positive of psoriasis is 4~91%, 11. 9~32% in china Concordance rate in twins: monozygotic twins> binovular twins High frequency in HLA-A 1, B 17, Cw 6, DR 7, a multifactorial inheritance disease
Etiopathogenisis 2. Theory of infection bacterial infection(esp. streptococcus) fungal infection bacteria fungi (streptococcus、superantigen) (yeast fungus) lymphocytes activated alternative complement pathway clonal proliferation functional disorder of immune system
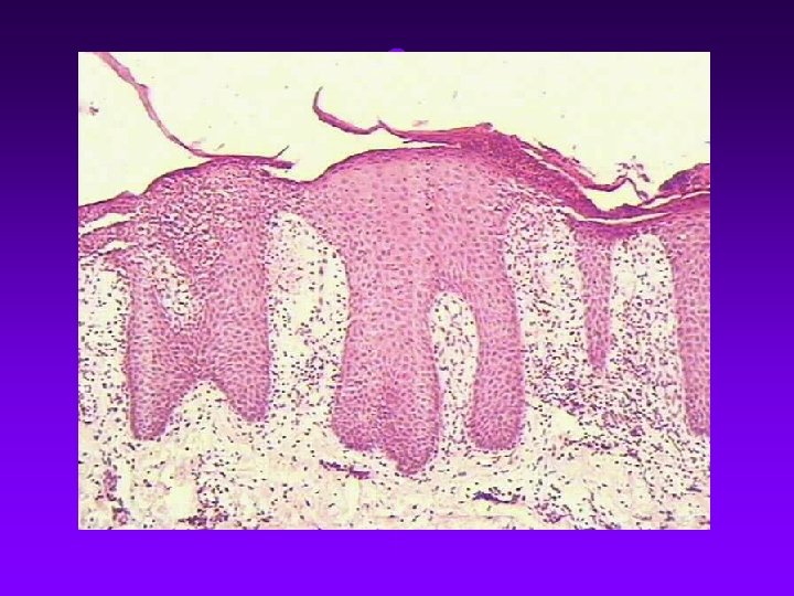
Etiopathogenisis 3. Abnormal immune function : cellular immunity function reduce partly early skin lesions are infiltrated predominantly by lymphocytes autoantibody deposit in the horny layer Th 1/Th 2 disequilibrium theory(Th 1 dominant skin disease)
Etiopathogenisis 4. Dysmetabolism: c. AMP metabolic block of arachidonic acid、 c. GMP polyamines shortened epidermal cell transit time, hyperplasia 5. others: psychosis, neuroendocrine, climate, medicine et al may induce or aggravate the disease.
Clinical features Psoriasis vulgaris arthropathica pustulosa erythrodermica
p. vulgaris: red papule silvery white scales Film phenomenon Auspitz’s sign
Predilection site
Lesion morphology
Psoriasis guttata
Nummular psoriasis
Geographic psoriasis
distinctive features in different regions
Thimble pitting in nails
Rhagades and thickness scales in polms and soles
Fascicle-like hair
Psoriasis of genitalia scantiness of scale
Psoriasis of vulvae, red plaque with little scaling
Stages of psoriasis Active stage: large amounts of new lesions, red and pruritus Resting stage: dark red lesions without new eruption regression stage: erythema fade , flatten and disappear
Koebner phenomenon Mechanical injury, insect bite, cold injury, sun shine et al Normal skin of patients in active stage express typical lesions clinical significance: suggest in active stage
Course of psoriasis exacerbate in winter , improve in summer chronic and persistent clear spontaneously , recur frequently
Diagnosis and differential diagnosis Diagnosis: lesions, types and stages Differential diagnosis: 1. pityriasis rosea 2. secondary syphilis 3. seborrheic dermatitis 4. chronic eczema
Treatment 一. topical treatment: 1. general principle: irritative medicine can not be used in acute phase to avoid provoking erythroderma. stronger medicine can be applied in stable phase transdermic absorption must be noticed during the general application reduce scales by using warm water and soap before treatment
Treatment 2. medicine selection: Active stage: apply gentle medicine, for instance 15% carbamide lipoid, 3%~ 5% boric acid ointment, simple cream Stable or regression stage: use medicine with higher concentration, such as comples clobetasol propionate cream, sulfur salicylic acid ointment , coal-tar liniment and calcipotriol ointment
Treatment 二. oral medicine: the traditional chinese medicine: quyin mixture, xiaoyin mixture, complex indiginis naturals pill, tab. diyin vitamin: vit. D 2, vit. E antibiotic: cefradine and so on antihistamine drug: cetirizine, mizoller, clarityne hormone: prednisone immunosuppressive agent: MTX
Treatment 三. vein blockage: another name procaine vein blockage 四. Photochemotherapy: PUVA, means therapeutic alliance with 8 -mop and black light 五. light quantum therapy
Sepical type
Psoriatic arthritis
Psoriatic erythroderma
Pustular psoriasis