Prpad SDIAP 505 B Rychl Cytopathos s r
Prípad SD-IAP 505 B. Rychlý Cytopathos s. r. o.
Klinické údaje • 31 -ročná žena • v anamnéze Hodgkinov lymfóm • pri cholecystektómii pre chelecystolitiázu vykonaná klinovitá resekcia solitárne suspektného ložiska v pečeni • v. s. MTS
materiál z operovanej medzistavcovej platničky
Verhöeff
Orceín Van Gieson zelený trichróm Viktorka
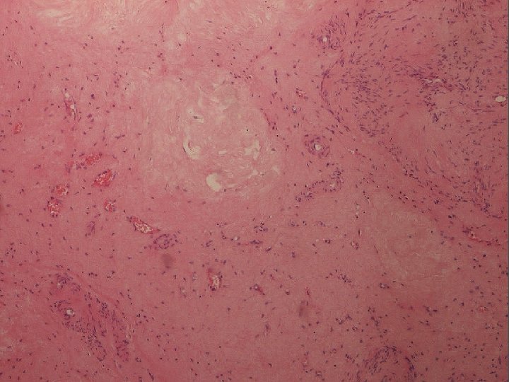
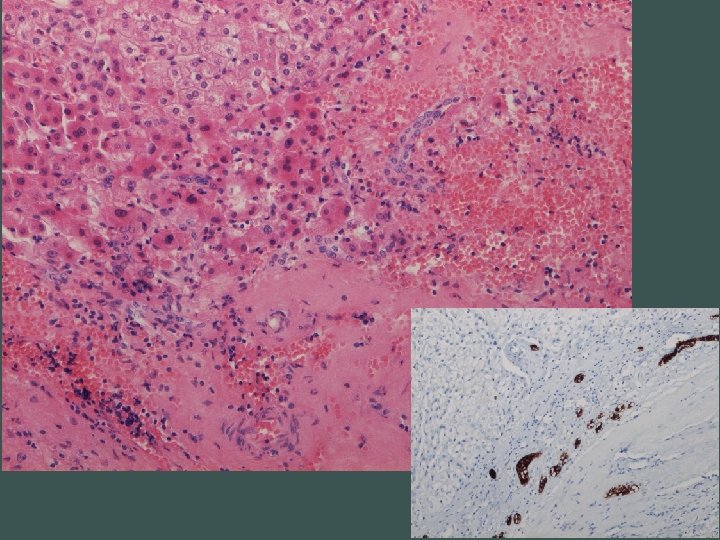
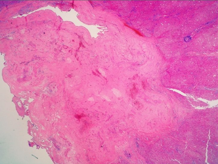
Naša diagnóza Segmentálna atrofia pečene, stage II / nodulárna elastóza pečene
• 18 cases • Verhoeff - Hematoxilín • Verhoeff - van Gieson
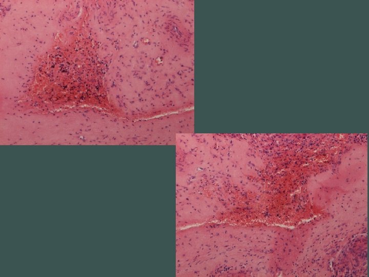
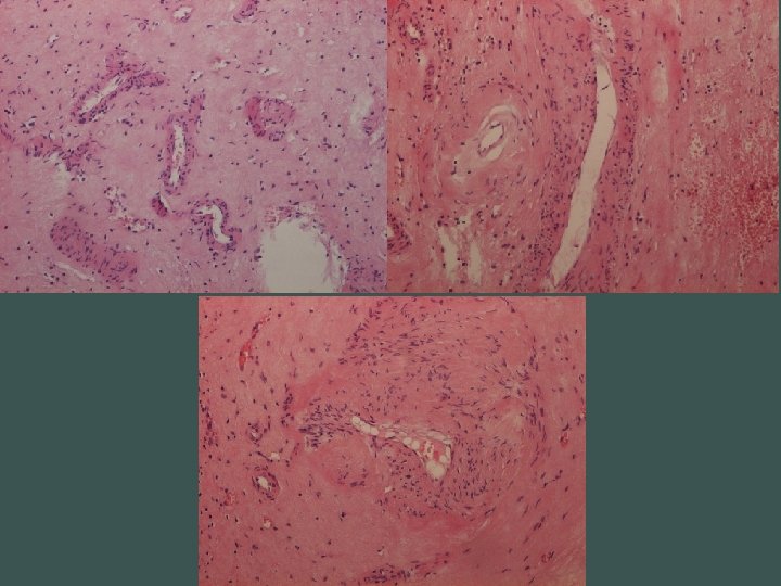
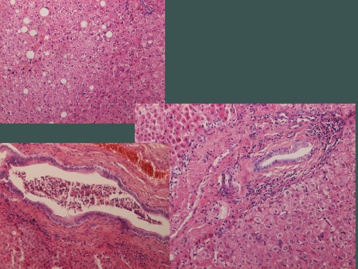
Segmentálna atrofia pečene • zriedkavý pseudotumor • častejšie u žien, unifokálny • najčastejší príznak bolesť horného pravého kvadrantu • prevažne subkapsulárne • 1, 8 - 10 cm • abnormálne hrubostenné cievy (len intralezionálne), často trombotizované, rekanalizované • biliárne cysty
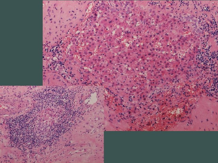
Stage 1 - 4 • 1 – kolaps parenchýmu so zachovaním portálnych polí, občasnými ostrovčekmi zachovaného parenchýmu a s duktulárnou reakciou • 2 – minimálna až žiadna duktulárna reakcia, zvýšená miera elastózy • 3 – takmer výlučne elastóza, občasné malé ostrovčeky hepatocytov • 4 – end stage, ložisko fibrózy
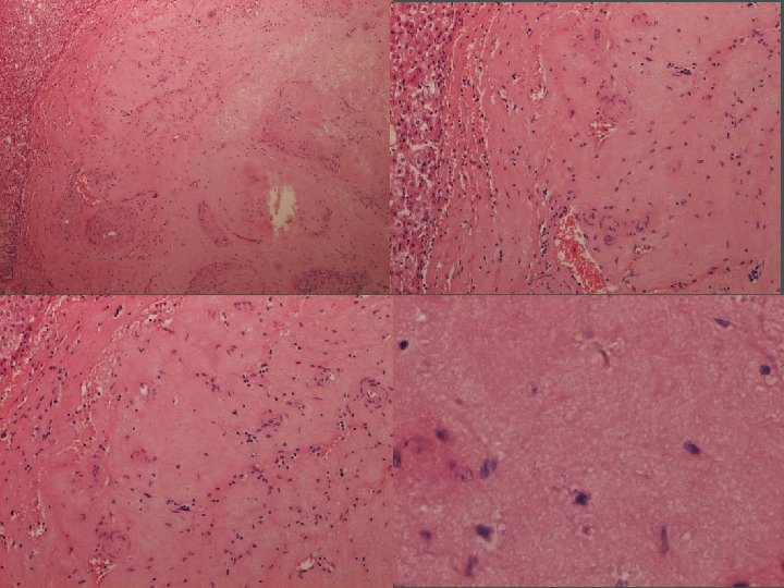
Elastika? • v poškodených tkanivách sa môže tvoriť nadmerné množstvo (dezorganizovaných) elastických vlákien • v pečeni normálne v stenách ciev, malé množstvo v portálnych poliach a okolo centrálnej vény • pri poškodení produkujú portálne fbroblasty • prečo tak exuberantne?
Abnormálne cievy • vyvolávajúci impulz ischémia?
Dif. dg. • amyloidóza • epiteloidný hemangioendotelióm • cancer- asociovaná elastóza (cholangio CA, MTS adeno CA)
Záver • zriedká lézia (poddiagnostikovaná? ) • klinicky napodobňuje tumor ďakujem za pozornosť
Senec 2014, 20. – 21. jún Malcolm Hayes, B. Sc. , M. B. , Ch. B. , LRCP, MRCS, M. Med. Path, FRCPC – Medical Director Malcolm Hayes is a pathologist at the BC Cancer Agency (BCCA) in Vancouver. Dr. Hayes has worked at the BCCA since 1993 and has broad expertise in surgical pathology and cytopathology and major interests in breast, skin, gynecological and soft tissue pathology. He is a Clinical Professor of pathology at the University of British Columbia and a Fellow of the Royal College of Pathologist of UK. He has many years of expertise in diagnostic immunohistochemistry based on employment of this technique in the work up of a large volume of challenging consultation cases referred to the BCCA "Primary Unknown" tumour group. 1. Lesions that can be mistaken for malignancy 2. Challenging cases in breast pathology 2 x 1 hod.
- Slides: 24