Prothse totale de hanche sur fracture du cotyle

  • Slides: 27
Download presentation
Prothèse totale de hanche sur fracture du cotyle Patrick MAMOUDY Hôpital de la Croix

Prothèse totale de hanche sur fracture du cotyle Patrick MAMOUDY Hôpital de la Croix Saint-Simon Paris

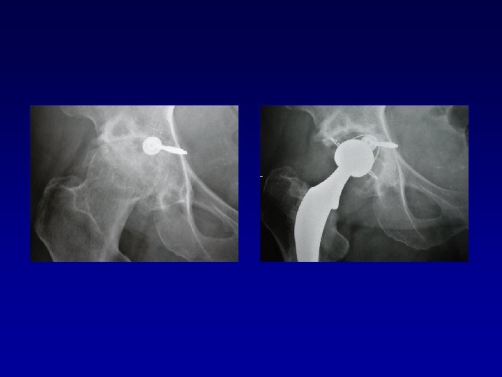
Indications • Coxarthrose • Destruction post-traumatique du cotyle • Nécrose de la tête fémorale

Indications • Coxarthrose • Destruction post-traumatique du cotyle • Nécrose de la tête fémorale

Bilan • • Type de fracture du cotyle Déformation de la cavité cotyloïdienne Chirurgie

Bilan • • Type de fracture du cotyle Déformation de la cavité cotyloïdienne Chirurgie préalable Raideur Ostéome Nécrose de la tête fémorale Luxation invétérée

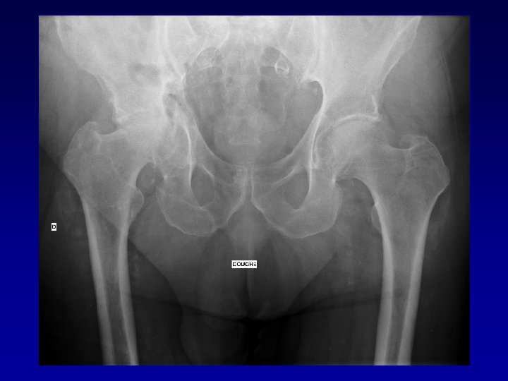
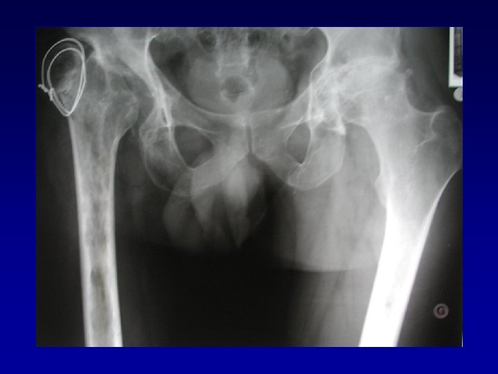
Déformation du cotyle • Ascensionné • Perte de substance osseuse scanner • Pseudarthrose •

Déformation du cotyle • Ascensionné • Perte de substance osseuse scanner • Pseudarthrose • Perte du positionnement exact (idem LCH) • Doit être reconstruit et recentré

Chirurgie préalable La voie d’abord • Site exact • Lésions musculaires Fibrose cicatricielle peut

Chirurgie préalable La voie d’abord • Site exact • Lésions musculaires Fibrose cicatricielle peut être majeure • Raideur • Exposition difficile

Chirurgie préalable Le matériel en place • Gêne le creusement, la reconstruction Les complications

Chirurgie préalable Le matériel en place • Gêne le creusement, la reconstruction Les complications • Nerveuses : sciatique, crural, fessiers (EMG) • Infectieuses

Après bilan • Coxarthrose banale Arthroplastie totale habituelle • Coxarthrose spécifique Arthroplastie difficile

Après bilan • Coxarthrose banale Arthroplastie totale habituelle • Coxarthrose spécifique Arthroplastie difficile

Coxarthrose banale Arthroplastie totale de hanche habituelle Voie antérieure sur table orthopédique

Coxarthrose banale Arthroplastie totale de hanche habituelle Voie antérieure sur table orthopédique

Arthroplastie totale de hanche sur fracture du cotyle complexe (LCH) • Voie d’abord par

Arthroplastie totale de hanche sur fracture du cotyle complexe (LCH) • Voie d’abord par TROCHANTEROTOMIE Libération de la fibrose, capsule, cicatrices • Permet : Exposition Récupération de la longueur Mobilité

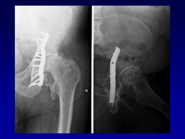
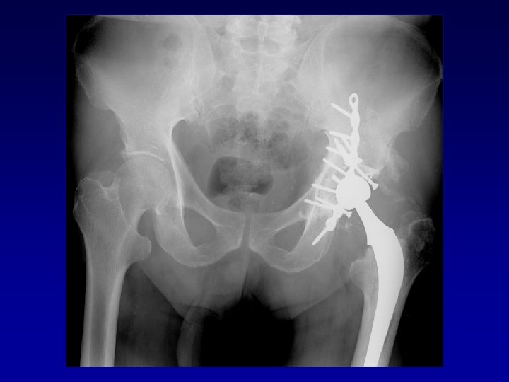
Arthroplastie totale de hanche sur fracture du cotyle complexe Recentrage, reconstruction, orientation du cotyle

Arthroplastie totale de hanche sur fracture du cotyle complexe Recentrage, reconstruction, orientation du cotyle • • Greffe Ostéosynthèse par plaque MK Surtout si pseudarthrose Réduction de la luxation

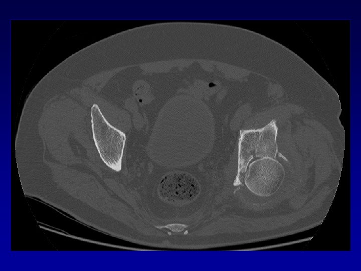
Ostéome Problème majeur - Scanner • Difficultés chirurgicales • Risque neurologique • Récidive

Ostéome Problème majeur - Scanner • Difficultés chirurgicales • Risque neurologique • Récidive

Prothèse totale de hanche sur fracture récente • Sujet âgé • Luxation • Délai

Prothèse totale de hanche sur fracture récente • Sujet âgé • Luxation • Délai

Conclusion • Chirurgie difficile • Analogie du traitement chirurgical des fractures du cotyle avec

Conclusion • Chirurgie difficile • Analogie du traitement chirurgical des fractures du cotyle avec la LCH