PROSTHETIC VALVES DYSFUNCTION CASE STUDIES Prof P Krishnam
































































































- Slides: 96
PROSTHETIC VALVES DYSFUNCTION CASE STUDIES Prof. P. Krishnam Raju MD DM FRCP(Ed) Care Hospitals Hyderabad
Types of Prosthetic Heart Valves Bioprostheses Homograft Mechanical Prostheses Porcine (Stented) Porcine (Stentless) Caged-ball Hancock I Toronto Stentless Porcine Valve Starr—Edwards Hancock II Medtronic Freestyle Braunwald –Cutter Hancock MO (modified orifice) Smeloff-Cutter Carpentier - Edwards Magovern – Cromie Medtronic Intact Tilting -disk Pericardial Bjork –Shiley Ionescu – Shiley Bjork-Shiley convexoconcave Carpentier-Edwards pericardial Medtronic – Hall Mitroflow Lillihei – Kaster Omniscience Sorin CHITRA VALVE Bileaflet St Jude Medical Carbomedics On-X
PROSTHETIC VALVES ISSUES • • • PROSTHETIC VALVE DYSFUNCTION PANNUS VS THROMBUS PATIENT PROSTHETIC MISMATCH INFECTIVE ENDOCARDITIS PROSTHETIC VALVE STRUCTURAL DETERIORATION HIGH PROSTHETIC VALVE GRADIENTS CHOICE OF VALVE MECHANICAL VS BIOPROSTHETIC VS STENTLESS VS PERCUTANEOUS ANTICOAGULATION REGIMENS ANTIPLATELET THERAPIES THROMBOLYTICS IN PROSTHETIC THROMBOSIS
ECHO • • DYSFUNCTION OBSTRUCTION REGURGITATION VALVULAR PERI VALVULAR EMBOLISM THROMBOSIS HEMOLYSIS ENDOCARDITIS POPPET/ CAGE VARIANCE VALVE BED ABNORMALITY PSEUDO ANEURYSM RING ABSCESS PROSTHETIC VALVES
Figure 6. Prosthetic valves explanted for severe dysfunction. Pibarot P , and Dumesnil J G Circulation. 2009; 119: 10341048 Copyright © American Heart Association, Inc. All rights reserved.
PROSTHETIC VALVES MASSES • • THROMBUS • VEGETATIONS • THROMBUS ON PANNUS • SUTURES • MICROBUBBLES(HITS) • STRANDS (FIBRIN OR COLLAGEN) • LAMBLs EXCRESCENSES REDUNDANT CHORDAE TRAPPED IN MV PROS.
ECHO CHECK LIST - I Imaging Forward Flow PROSTHETIC VALVES - (Sewing ring / cusps / occluder) - V Max P Mean EOA ; Colour Flow Pattern Regurgitation - Normal (or) Abnormal Site ; Localization Severity Prosthetic valve - Motion / study of Arti. Facts General - Native valves - LV / RV Function - PA pressures - Vegetations / Pannus - Thrombus
ECHO CHECK LIST- II • Hemodynamic data Peak Flow velocity Pmax P mean PHT Effective Valve Area PA Pressure Diastolic Filling Profile Jet Area Flow Reversals Des AO PV HV RF ; ERO PROSTHETIC VALVES AR MR TR
PROSTHETIC VALVES CASE STUDIES
Mr. SR M/53 Yrs. MVR - Year 2002 (Omniscience Valve) SOB + PND - Year 2005 2 D Echo - PV Obstruction ↓ MV Pmax 18 mm. Hg Pmean 8 mm. Hg TR 3+; PASP = 64 mm. Hg LMWH ↓ No Significant Response ↓ Reop MVR ↓ Extensive Pannus
CARDIAC CT
Mr. SR M 40 Y DVR Fever 2 Months DVR I E Ao ANNULAR ABSCESS PV DEHISCENCE
AMEENA BEGUM YRS F 32 MVR 3 YRS POST OP M-H VALVE INTERMITTENT ALTERNATE CYCLE JAMMED PRO VALVE ABSOLUTE EOSINOPHIL COUNT 720 mm 3 INR 5. 6
Venkateshwara Raju M 58 / YRS MVR BIO PRO VALVE POST OP A FIB HAEMOPERICARDIUM CARDIAC ARREST Para prosthetic valvular regurg severe Severe PAH CHF
Mr. MK M 21 Y AVR FEVER 3 Months SOB PROSTHETIC IE AO ANNULAR ABSCESS LAD MYCOTIC ANEURYSM
Mr. RR M 65 Y AVR (6 months PO) SOB (1 Wk) AC LVF CVS – ESM 4 6 gr ; EDM PV disc stuck in semi open Position Lytic Rx Normalised
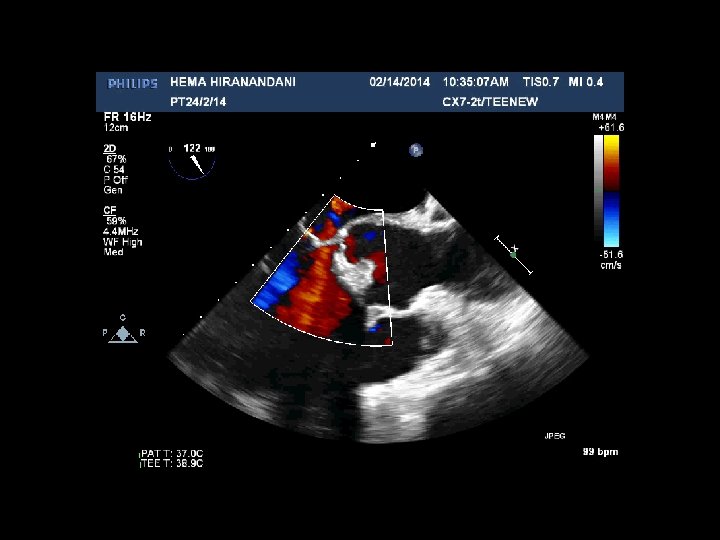
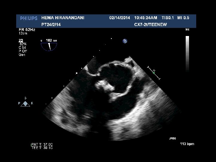
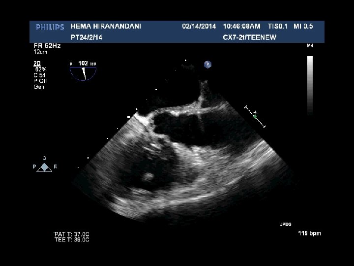
HEMA HIRANANDANI F 57 YRS • • • AVR BIO PROSTHETIC VALVE DEHISCENCE IE MULTIPLE VEGETATIONS ON BIO PRO VALVE AO ROOT ABSCESS SEVERE PARAVALVULAR AR RVSP= 37 mmhg
Hema Hirandani
Nagi Reddy • • M 59 / Yrs AVR ; Tilting disc Pro. Mechanical Valve Severe Paravalvular AR Mod TR ; Mod severe PAH RVSP = 71 mm Hg
NJ F 30/Y MVR SOB PND Palpitation Afebrile MVR ; PROSTHETIC DEHISCENCE SEVERE PARA PROSTHETIC MR
Mrs. PK F 35 Y MVR Acute SOB / PND Prosthetic Valve Sounds not audible MVR stuck valve Lytic Rx Given
MVR BIOMED VALVE ECCENTRIC BALL VALVE ORIENTATION
Ms PP F 28 Y Acute SOB PRO MVR AR+ Post Lytic Rx LVOT orientation
Subrahmanyam • DVR ( Mechanical Prosthesis) • Mild Paravalvular MR - 2 distinct MR JETS AO. Pro Valve – OK No PAH; RVSP = 26 mm Hg M 28/ Yrs
Mrs. SF F 45 Y EBSTEINS ANOMALY • TVR – BIOPROSTHESIS – 15 Yrs Back • GROSS CHF • PSM & MDM AT RLSB
Echocardiographic Findings in Infective Endocarditis Echocardiographic finding Description Vegetation - Irregularly shaped, discrete echogenic mass - Adherent to but distinct from endocardial surface or intra-cardiac device. - Oscillation of mass (supportive, not mandatory) Abscess -Thickened area or mass within the myocardium or valve annulus. - Evidence of flow into region (supportive, not mandatory) Aneurysm Echolucent space with thin surrounding tissue. Fistula Blood flow between two distinct cardiac blood spaces or chambers through abnormal path/channel. Leaflet perforation Defect in body of valve leaflet with flow through defect Valve dehiscence Prosthetic valve with abnormal rocking motion / excursion > 150 in at least one direction Adapted form Sachdev M et al. (113)
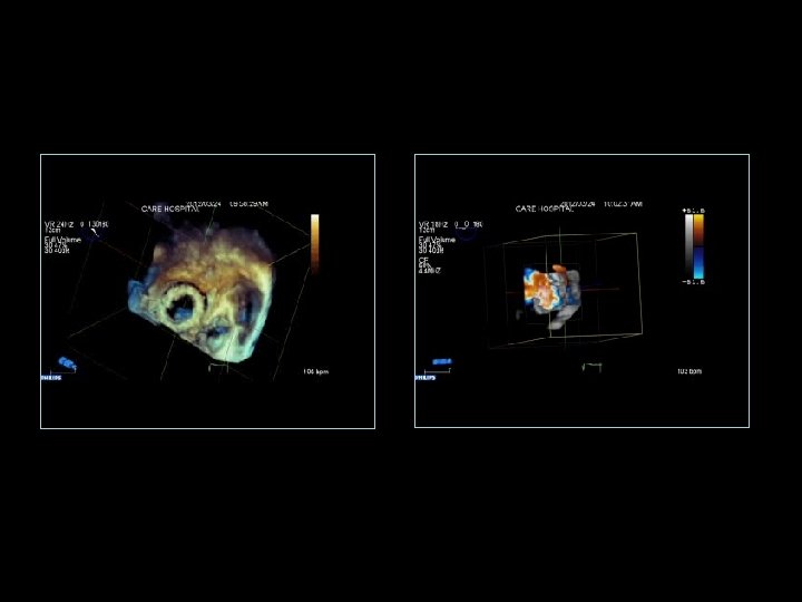
Mr. Vinoop Chandra N 26 Y / M Quadricuspid Severe AR ATS Valve AO Valve AVR POSTOP 9 DAYS IE
Mr. Vinoop Chandra N Echo date: 08/03/2013 26 Y / M
Vinoop Chandra N. 20/3/2013 26 Y/ M Quadricuspid AO Valve AVR (ATS Valve) IE – Immediate Post OP PET FDG + CULTURE STAPH. AUREUS
KSM 66 Y / M AO Bio Prosthetic Valve IE Paravalvular AR Periannular AO Root Abscess
Anjali Bhattacharya MVR ( Tilting disc) Pro Valve dysfunction Pre and Post Lytic (Rx)
CSR 21 Y/ M SOB FC II AVR St. Jude April 2002 (Sev AR) LV 6. 8/4. 9 cm LVEF 21% INR 2 -4; Ab Eos count = 4620 cells/µl CVS ESM + Ve Hx = Recurrent PV thrombosis (4 events) Severe AR Postop AVR Recurrent Prosthetic Valve Thrombosis Hypereosinophilic Syndrome 1
2 CSR 21 Y/M PRE Rx Post Rx Doppler Echo P max 102 mm. Hg P mean 80 mm. Hg P max 22 mm. Hg P mean 13 mm. Hg Ab Eos count 4620 cells/µl 204 cells/ µl Rx Diethylcarbamazine Heparin ACITROM STEROIDS
CSR 21 Y / M Pre Treatment
CSR 21 Y / M Post Treatment
Mrs. D. Anasuya F / 76 Yrs • HOCM; • MAC; • MS • MVR • HITS
PATIENT PROSTHETIC MISMATCH
RAMABHADRA RAJU. P