Programa de Educao Mdica Continuada do CREMESP Amparo

















































- Slides: 49
Programa de Educação Médica Continuada do CREMESP Amparo Outubro de 2012 Programa de Educação Médica Continuada do CREMESP
Como conduzir uma doença vascular cerebral aguda Dr. Luiz Alberto Bacheschi Conselheiro Programa de Educação Médica Continuada do CREMESP
Conceito • O acidente vascular cerebral (AVC) é definido como um déficit neurológico súbito motivado por isquemia ou hemorragia no SNC. • O conceito de Acidente Vascular Encefálico (AVE). Programa de Educação Médica Continuada do CREMESP
Epidemiologia • Primeira causa de morte no Brasil; • Terceira causa de morte nos países ocidentais; • Primeira causa de incapacidade em adultos; • 6 milhões de mortes ao ano por AVC, segundo a OMS. Programa de Educação Médica Continuada do CREMESP
Programa de Educação Médica Continuada do CREMESP
Considerações gerais • Até a pouco tempo o tratamento agudo dos doentes com AVC caracterizava-se por uma atitude niilista e de abandono; • Cada vez mais entende-se que há muito a aprender como tratar certo o paciente com AVC agudo e muito a aprender a não tratar errado; • O advento da trombólise muito contribuiu para essa atitude pró-ativa no tratamento; Continua. . . Programa de Educação Médica Continuada do CREMESP
Considerações gerais • Em suas diversas formas de apresentação, os AVC constituem uma emergência neurológica; • A perda de tempo para a abordagem destes pacientes significa uma pior evolução – “time is brain”; • O AVC, portanto, é uma emergência médica e deve ser conduzido prontamente. Programa de Educação Médica Continuada do CREMESP
Fatores de Risco • Hipertensão Arterial • Cardiopatias • Diabetes • Dislipidemias • Obesidade • Tabagismo • Alcoolismo • Sedentarismo • História Familiar Programa de Educação Médica Continuada do CREMESP
Tipos etiopatogênicos Isquêmicos Trombóticos Aterosclerose Vasculites Embólicos Cardiogênicos Artérias proximais (aterosclerose) Hemorrágicos Hemorragias intraparenquimatosas espontâneas Hipertensivas Hemorragias por malformações vasculares Outras causas (coagulopatias, tumores. . . ) Hemorragias subaracnóideas Programa de Educação Médica Continuada do CREMESP
Diagnóstico Clínico O diagnóstico de AVC deve ser considerado sempre que um paciente apresentar início súbito de déficit neurológico focal ou alteração do nível de consciência. Os sinais e sintomas de AVC dependem do território vascular envolvido. Continua. . . Programa de Educação Médica Continuada do CREMESP
Diagnóstico Clínico O AVC que compromete o território carotídeo pode se manifestar com isquemia retiniana e encefálica (com síndromes neurológicas que associam déficit de funções corticais, como afasia, e déficit motor e/ou sensitivo). O AVC do sistema vértebro-basilar pode apresentar sintomas vestíbulo-cerebelares (vertigem, ataxia), anormalidades na movimentação ocular (diplopia) e déficit motor e/ou sensitivo unilateral ou bilateral, além das alterações visuais, como hemianopsia. Programa de Educação Médica Continuada do CREMESP
Tempo de evolução Transitórios Permanentes Programa de Educação Médica Continuada do CREMESP
Sintomatologia Inicial Início abrupto ictal: hemorragias e embolias Alterações de consciência precoces: hemorragias Cefaléia: hemorragias Convulsões: hemorragias Programa de Educação Médica Continuada do CREMESP
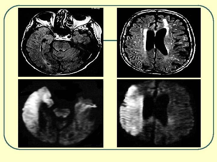
Diagnóstico Diferencial Com outras condições mórbidas Isquemia x Hemorragia - Clínico - Neuroimagem Programa de Educação Médica Continuada do CREMESP
Vantagens da TC • Disponibilidade & Custo • Rapidez & Cooperação do paciente • Compatibilidade com objetos metálicos • Monitores • Ventiladores • Dispositivos de fixação e hemostasia • Corpos estranhos metálicos • Dispositivos eletrônicos • Local de instalação • Detecção precoce de sangue • Controle de seguimento Programa de Educação Médica Continuada do CREMESP
Vantagens da RM • Capacidade multiplanar • Melhor caracterização da lesão tecidual • Quanto ao tipo • Quanto à gravidade • Quanto à localização • Quanto à extensão • Melhor visualização do tronco cerebral • Angiografia • Difusão e Perfusão • Espectroscopia Programa de Educação Médica Continuada do CREMESP
AVCI há 3 horas
AVCI há 48 horas
CT - Sangue
Tratamento do AVCI O melhor tratamento para o AVC I é sua prevenção !!!! Programa de Educação Médica Continuada do CREMESP
Tratamento do AVCI Manter vias aéreas desobstruídas e oxigenação sanguínea adequada. Programa de Educação Médica Continuada do CREMESP
Tratamento do AVCI Pressão Arterial É freqüente que a PA aumente espontaneamente no AVCI para aumentar a pressão de perfusão. Este aumento normaliza-se em poucos dias Não se deve baixar a PA na fase aguda do AVCI !! Apenas se PA sistólica > 220 mm. Hg ou se PA diastólica > 120 mm. Hg ou se PA média > 130 mm. Hg, Níveis mais baixos podem ser necessários na co-existência de isquemia do miocárdio, insuficiência cardíaca ou renal e dissecção da aorta Não usar nifedipina !!! Programa de Educação Médica Continuada do CREMESP
Tratamento do AVCI Temperatura A hipertermia piora a lesão cerebral isquêmica Antitérmicos devem ser utilizados se T > 37, 5 o. C Infecções devem ser investigadas e tratadas Glicemia Hiperglicemia e hipoglicemia são prejudiciais A hiperglicemia deve ser tratada se glicose > 200 mg/dl Deve ser evitada solução glicosada na fase aguda Programa de Educação Médica Continuada do CREMESP
Tratamento do AVCI Tratamento do Edema Cerebral O edema cerebral geralmente é limitado no AVCI e não necessita de medicação. Em situações especiais há necessidade de tratamento O seu tratamento é controverso Há evidências de benefícios com o uso de soluções hiperosmolares (manitol e glicerol) Dexametasona e outros corticóides não devem ser utilizados !! Coma barbitúrico pode ser necessário Cirurgias descompressivas como medida heróica Programa de Educação Médica Continuada do CREMESP
Tratamento do AVCI • Mobilização precoce do paciente • Prevenção de trombose venosa e de embolia pulmonar • Não usar anticonvulsivantes profilaticamente • Suporte nutricional adequado • Proteção gástrica Programa de Educação Médica Continuada do CREMESP
Tratamento Medicamentoso • Trombólise com o uso intravenoso do ativador de plasminogênio tissular – t-PA dentro das primeiras 4 e ½ horas do início dos sintomas além da necessidade de seguir um protocolo rígido. (PORTARIA MS Nº 664, DE 12 DE ABRIL DE 2012 - Aprova o Protocolo Clínico e Diretrizes Terapêuticas Trombólise no AVCI Agudo. ) (www. portal. saude. gov. br) • Aspirina 200 a 500 mg na fase aguda do AVCI • Heparina e anticoagulação oral em situações especiais Programa de Educação Médica Continuada do CREMESP
AVCH - Hemorragia Intraparenquimatosa Espontânea • Hipertensão arterial • Não baixar PAS<180, PAD<105, PAM<120 mm. Hg • Se PA Acima, baixar apenas 20% dos valores • Corrigir hipertermia e alterações da glicemia • Monitorar Pressão Intracraniana • Não usar corticóides – hiperventilação e manitol • Coma barbitúrico • Profilaxia da hemorragia digestiva do estresse • CONSIDERAR CIRURGIA Programa de Educação Médica Continuada do CREMESP
Cefaléias
CEFALÉIA - Definição Todo processo doloroso referido no segmento cefálico
Evolução dos sistemas de classificação Critério inicial – extremamente impreciso AD HOC COMMITTEE ON CLASSIFICATION OF HEADACHE Classification of Headache. JAMA 1962; 179: 717 -8 Classificação internacional das cefaléias da International Headache Society (1. 988) Diagnóstico é dado pela força do conjunto dos critérios Headache Classification Committee of the IHS. Cephalalgia 1988; 8: 1 -96. Sup. 7.
Classificação das cefaléias International Headache Society - 2003 Cefaléias secundárias “Cefaléias-sintoma” Cefaléias primárias “Cefaléias-doença” 1. Enxaqueca 2. Cefaléia tipo tensão 3. Cefaléia em salvas e outras cefalgias trigêmino-autonômicas 4. Outras cefaléias primárias 5. Cefaléia associada com trauma craniano e/ou cervical 6. Cefaléia associada com doenças vasculares 7. Cefaléia associada com doenças intracranianas não-vasculares e não-infecciosas 8. Cefaléia associada com substâncias ou sua retirada 9. Cefaléia associada com infecção 10. Cefaléia associada com distúrbio da homeostase 11. Cefaléia ou dor facial associada com várias estruturas 12. Cefaléia atribuída a patologias psiquiátricas 13. Neuralgias cranianas, dor de tronco nervoso e deaferentação 14. Outras cefaléias, neuralgias cranianas, dor facial primária ou central
Tratamento da enxaqueca
CEFALÉIAS Importância da explicação no tratamento de cefaléias Fatores selecionados como importantes por médicos e pacientes Médicos (50) Pacientes (100) Melhora da dor 66% Explicação 22% Medicação 6% Exame neurológico 0% Seguimento médico 0% Exame oftalmológico 0% Explicação medicação 0% Tempo para perguntas 2% Tratamentos alternativos 2% Exames subsidiários 0% Avaliação psiquiátrica 0% 31% 46% 0% 7% 4% 3% 1% 0%
Tratamento da enxaqueca ØReduzir a freqüência e intensidade dos ataques; ØReduzir incapacidade associada; ØMelhorar a qualidade de vida; ØPrevenir a cefaléia; ØEvitar incremento progressivo das medicações abortivas para migrânea; ØEducar e permitir aos pacientes administrar sua própria doença.
Controle de fatores predisponentes e desencadeantes ØPular refeições; ØControle de transtornos de sono; ØControle de doenças associadas (hipertensão arterial); ØAvaliação de drogas associadas (vasodilatadores, anticoncepcionais, etc. ); ØControle do uso de álcool, cafeína; ØMedidas para controlar o estresse; ØControle de padrões alimentares; ØEvitar sedentarismo; ØAvaliação da atividade profissional; ØAtuação sobre fatores físicos e químicos ambientais; ØDiminuir ou abolir o tabagismo; ØManter ritmo de atividade diária o mais regular possível.
Tratamento de ataque ou abortivo Drogas inespecíficas Analgésicos comuns (AAS, paracetamol, dipirona) Anti-inflamatórios não esteróides Cafeína Antieméticos (metoclopramida, domperidona, ondansetron) Opiáceos Corticosteróides Drogas específicas Isometepteno, Ergóticos, Triptanos Outras: S Clorpromazina VO/Sublingual/EV, Haloperidol EV, Lidocaina nasal, ulfato de magnésio EV
ENXAQUECA - PROFILAXIA Problemas Falta de informação dos profissionais médicos Utilização de drogas sem eficácia comprovada
ENXAQUECA TRATAMENTO PROFILÁTICO Indicações ®Freqüência de crises maior que 2 -3/mês, com incapacidade associada ®Crises intensas que interferem com vida normal ®Incapacidade psicológica de conviver com crises ®Medicações de ataque contra-indicadas ou ineficientes ®Crises prévias de enxaqueca complicações isquêmicas
DROGA EFICÁCIA CLÍNICA EVIDÊNCIAS CIENTÍFICAS DE EFICÁCIA POTENCIAL DE EFEITOS COLATERAIS ++++ ++ Valproato ++ +++ NSAIDs Naproxeno Acido tolfenâmico ++ ++ +++ ++ ++ B-bloqueadores (propranolol, nadolol, metoprolol, atenolol, timolol) Antiepilépticos Antagonistas de cálcio Flunarizina Verapamil Droga antiserotonínica Metisergida Pizotifeno Miscelânea Amitriptilina Clonidina Dihidro-ergotamina ++++ + ++++ ++ ++ + + +++ + ++
ENXAQUECA TRATAMENTO PROFILÁTICO - NOVAS OPÇÕES Gabapentina Topiramato Magnésio via oral Riboflavina – 400 mg/dia Toxina botulínica - Botox. R
Tonturas
l
FIM Fim Dr. Luiz Alberto Bacheschi