PROGNSTICO A LONGO PRAZO DA EPILEPSIA SINTOMTICA DO




























- Slides: 28
PROGNÓSTICO A LONGO PRAZO DA EPILEPSIA SINTOMÁTICA DO LOBO OCCIPITAL SECUNDÁRIA A HIPOGLICEMIA NEONATAL Long term prognosis of symptomatic occipital lobe epilepsy secondary to neonatal hypoglycemia Hesham Montassira, Yoshihiro Maegaki, Kousaku Ohnoa, Kaeko Ogura Epilepsy Research (2010) 88, 93— 99 Apresentação: Fernando Augusto Lopes Deckers Coordenação: Fabiana Alcântara de Moraes Altivo R 3 UTI Pediátrica – HRAS/HMIB/SES/DF www. paulomargotto. com. br Brasília, 10 de agosto de 2013
INTRODUÇÃO - A glicose é indispensável ao metabolismo neuronal, e hoje é bem conhecido que a hipoglicemia neonatal pode levar a lesão cerebral posterior. - As sequelas neurológicas da hipoglicemia neonatal incluem atraso no desenvolvimento neuropsicomotor (DNPM), dificuldade de aprendizado, transtornos comportamentais, epilepsia e alterações visuais. - A epilepsia de lobo occipital é uma das consequências de quadros de hipoglicemia grave no período neonatal.
- A epilepsia de lobo occipital secundária a hipoglicemia neonatal é de difícil tratamento, frequentemente levando a status epilepticus; entretanto, boa parte dos casos tem remissão no longo prazo. - Este estudo objetivou verificar o prognóstico a longo prazo de pacientes com epilepsia do lobo occipital secundária a hipoglicemia neonatal.
PACIENTES E MÉTODOS - Estudo retrospectivo, descritivo - Base de dados do Hospital Universitário de Tottori (Japão), de 1980 a 2006: 12463 pacientes - 81 pacientes com epilepsia do lobo occipital, definida pela clínica (crises epilépticas com alucinações visuais, desvios do olhar etc) e EEG (achados característicos nas derivações posteriores).
- Foram excluídos pacientes com epilepsia do lobo occipital com outras lesões nesta topografia que não fossem devido a hipoglicemia neonatal. - Pacientes com hipoglicemia no período neonatal que nasceram prematuros ou que possuíam erros inatos do metabolismo, malformações congênitas, malformações cerebrais e alterações cromossômicas foram excluídos do estudo (tabela 1) - Hipoglicemia neonatal foi definida como: sangue total Entre 0 e 3 h: < 35 mg/d. L Entre 3 e 24 h: < 40 mg/d. L Após 24 h: < 45 mg/d. L
- Foram pesquisados de prontuário referentes a características dos quadros de epilepsia, ressonância magnética de crânio e avaliação cognitiva. - Status epilepticus: definido como uma crise convulsiva com duração de mais de 30 minutos. - O estudo foi aprovado pelo Comitê de Ética do Hospital Universitário de Tottori.
RESULTADOS - Pacientes 1 – 4 nasceram no Hospital Tottori; pacientes 5 e 6 nasceram em outros serviços e faziam seguimento neste hospital. - Três pacientes tiveram hipoglicemia severa (<15 mg/d. L). -Cinco pacientes tiveram comprometimento do DNPM ou alterações na ressonância magnética (RNM); um apresentou perda visual e paralisia cerebral. -Na tabela 2, histórias perinatais e sequela neurológica
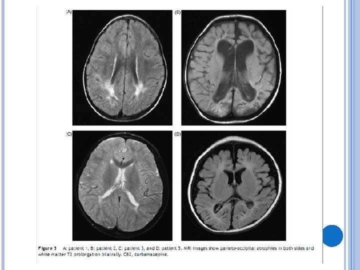
RESULTADOS Características das convulsões epilépticas e curso clínico da epilepsia (tabela 3) -o início da epilepsia variou entre 10 meses a 3 anos Todos os pacientes apresentaram status epilepticus EEG e Ressonância magnética (tabela 4; figuras 3 a 5) EEGs interictais mostraram picos occipitais ou parietooccipitais em todos os pacientes durante a infância
DISCUSSÃO - Sabe-se que a lesão cerebral induzida pela hipoglicemia predomina no lobo occipital. - Cinco dos pacientes do estudo tinham alterações na RNM, sendo 4 na região do lobo occipital, além de clínica de epilepsia do lobo occipital: isto sugere que a hipoglicemia neonatal possa ser a causa da epilepsia. - A encefalopatia hipóxico-isquêmica também predomina no lobo occipital; por vezes é difícil distinguir se a lesão cerebral decorreu da hipoglicemia ou da lesão hipóxico-isquêmica.
- As duas condições (encefalopatia hipóxico-isquêmica e hipoglicemia neonatal) frequentemente coexistem no mesmo paciente, e uma leva à piora/persistência da outra. - Outras condições contribuem para a piora da hipoglicemia e lesão cerebral: baixo peso ao nascer, restrição de crescimento intrauterino, asfixia perinatal, convulsões no período neonatal. - A lesão cerebral vista na hipoglicemia neonatal parece ter curso mais benigno, muitas vezes com remissão da atividade epileptogênica na vida adulta.
- Este estudo mostrou um grupo de pacientes que tiveram hipoglicemia no período neonatal, evoluíram com epilepsia do lobo occipital (apresentando cada um pelo menos um episódio de status epilepticus). - Este grupo de pacientes apresentou quadros de epilepsia que inicialmente foram de difícil controle, alguns evoluindo com vários episódios de status epilepticus. - A maioria evoluiu com controle das crises epilépticas, apenas um se mantinha sintomático.
- Faltam estudos para avaliar a suscetibilidade aos fármacos anticonvulsivantes nos pacientes com epilepsia de lobo occipital secundária a hipoglicemia neonatal. - O elevado metabolismo neuronal nesta região do cérebro pode explicar a maior suscetibilidade a injúria por hipoglicemia ou asfixia no período neonatal. - Estudos com um número maior de pacientes são necessários para compreender melhor a relação entre hipoglicemia neonatal e lesão cerebral.
Possíveis razões da predileção cerebral para a encefalopatia hipoglicêmica: alto grau de migração axonal e sinaptogênese ocorrem no lobo occipital, durante o período neonatal e o desenvolvimento de receptores para aminoácidos excitatórios, os quais podem ser estimulada por níveis elevados de aspartato. Este último mecanismo pode resultar na morte selectiva de os neurônios pós-sinápticos Também foi levantada a hipótese de que a alta atividade metabólica durante o início da vida predispõe esta área para lesão, como ocorre em doenças mitocondriais
Na epilepsia do lobo occipital na infância, a hipoglicemia neonatal deve ser considerada como um importante possível etiologia. As convulsões são susceptíveis de ser fármacoresistente e desenvolve status epilepticus na infância, enquanto que na maior parte diminuir e são encurtados na infância tardia. Estudos com um número maior de pacientes são necessários para compreender melhor a relação entre hipoglicemia neonatal e lesão cerebral.
NOTA DO EDITOR DO SITE, DR. PAULO R. MARGOTTO. CONSULTEM TAMBÉM! ESTUDANDO JUNTOS!
Hipoglicemia e lesão cerebral neonatal - 2013 Autor(es): James P Boardman, Courtney J Wusthoff, Frances M Cowan. Apresentação: Guilherme Prata, Daniel Pinheiro Lima; Guilherme Ferreira Almeida; Paulo Ferraresi, Paulo R. Margotto Em uma grande série de crianças com hipoglicemia neonatal isolada e disfunção neurológica aguda, houve relação com um padrão predominantemente posterior de lesão em um terço delas, e foi mais comum uma distribuição mais ampla das lesões. Exitem fortes evidências que o resultado é pior quando a hipoglicemia ocorre associada à encefalopatia hipóxica-isquêmica e essas crianças devem ser acompanhadas com cuidado extra, especialmente quando o crescimento da cabeça está abaixo do ideal. .
Hipoglicemia Neonatal Autor(es): William Ray (EUA) LESÃO CEREBRAL (IMAGEM) E HIPOGLICEMIA NEONATAL (Traill Z, et al. Brain imaging in neonatal hypoglycemia. Arch Dis Child Fetal Neonatal Ed 1998; 79: F 145 -F 147). Segundo Traill e cl é possível diferenciar a lesão cerebral associada com hipoglicemia neonatal da lesão cerebral associada com a isquemia hipóxica cerebral por meio de estudo de imagens. Na hipoglicemia ocorre um predomínio do envolvimento occipital sugerindo que a lesão cerebral hipoglicêmica não é o resultado de isquemia cerebral causada pelas convulsões secundárias. Na lesão por isquemia hipóxica, o envolvimento predominante são as áreas “watershed” (divisor das águas) parassagitais, envolvendo as regiões frontal e parietooccipital. Consulte os 2 casos relatados pelos autores de lesão cerebral por hipoglicemia neonatal severa e prolongada com convulsões. Traill Z, Squier M, Anslow P. Related Articles, Links Brain imaging in neonatal hypoglycaemia. Arch Dis Child Fetal Neonatal Ed. 1998 Sep; 79(2): F 145 -7. PMID: 9828743 [Pub. Med - indexed for MEDLINE]. Artigo Integral!
Hipoglicemia neonatal e lesão cerebral occipital Peter M. Filan; Terrie E. Inder; Tergus J. Cameron; Michael J. Apresentação: Fabiana Márcia de Alcântara Morais Descrição de 4 casos de hipoglicemia, que levaram a lesão cerebral principalmente em região occipital A lesão em região occipital associado a hipoglicemia tem como consequências a longo prazo a instabilidade, epilepsia e diminuição da visão. A ressonância magnética (RM) de crânio pode delimitar a extensão da lesão cerebral e ser uma referência para seguimento. Evidências indiretas vieram através de um estudo realizado com filhotes de cachorro, em que foi demonstrado aumento do fluxo sanguíneo cerebral durante os episódios de hipoglicemia. No entanto, em contraste com as outras regiões cerebrais, ocorreu uma redução do fluxo em região occipital e do cerebelo.