PRINCIPLES OF TREATMENT OF FRACTURES GOALS OF FRACTURE



























- Slides: 27
PRINCIPLES OF TREATMENT OF FRACTURES
GOALS OF FRACTURE TREATMENT z Restore the patient to optimal functional state z Prevent fracture and soft-tissue complications z Get the fracture to heal, and in a position which will produce optimal functional recovery z Rehabilitate the patient as early as possible
HOW FRACTURES HEAL In nature x. Regeneration vs repair x. Three phases of healing by callus x. Rapid process, rehabilitation slow, low risk With operative intervention (reduction + compression) x. Primary bone healing x. Slow process, rehabilitation rapid, high risk y. With operative intervention (nailing or external fixation) x. Healing by callus x. Rapid process, rehabilitation rapid, lesser risk
FACTORS AFFECTING FRACTURE HEALING y. The energy transfer of the injury y. The tissue response x. Two bone ends in opposition or compressed x. Micro-movement or no movement x. BS (scaphoid, talus, femoral and humeral head) x. NS x. No infection y. The patient y. The method of treatment
HIGH-ENERGY INJURY
LOW ENERGY INJURY
DESCRIBING THE FRACTURE Mechanism of injury (traumatic, pathological, stress) y. Anatomical site (bone and location in bone) y. Configuration Displacement xthree planes of angulation xtranslation xshortening y. Articular involvement/epiphyseal injuries xfracture involving joint xdislocation xligamentous avulsion y. Soft tissue injury
MINIMALLY DISPLACED DISTAL RADIUS FRACTURE
COMMINUTED PROXIMALTHIRD FEMORAL FRACTURE WITH SIGNIFICANT DISPLACEMENT
MANAGEMENT OF THE INJURED PATIENT z Life saving measures x. Diagnose and treat life threatening injuries x. Emergency orthopaedic involvement • Life saving • Complication saving y. Emergency orthopaedic management (Day 1) y. Monitoring of fracture (Days to weeks) y. Rehabilitation + treatment of complications (weeks to months)
LIFE SAVING MEASURES y. A Airway and cervical spine immobilisation y. B Breathing y. C Circulation (treatment and diagnosis of cause) y. D Disability (head injury) y. E Exposure (musculo-skeletal injury)
EMERGENCY ORTHOPAEDIC MANAGEMENT z Life saving measures x. Reducing a pelvic fracture in haemodynamically unstable patient x. Applying pressure to reduce haemorrhage from open fracture y. Complication saving x. Early and complete diagnosis of the extent of injuries x. Diagnosing and treating soft-tissue injuries
DIAGNOSING THE SOFT TISSUE INJURY z Skin x. Open fractures, degloving injuries and ischaemic necrosis y. Muscles x. Crush and compartment syndromes y. Blood vessels x. Vasospasm and arterial laceration y. Nerves x. Neurapraxias, axonotmesis, neurotmesis y. Ligaments x. Joint instability and dislocation
SEVERE SOFT-TISSUE INJURY
TREATING THE SOFT TISSUE INJURY z All severe soft tissue injuries………equire urgent treatment x. Open fractures , Vascular injuries, Nerve injuries, Compartment syndromes, Fracture/dislocations y. After the treatment of the soft tissue injury the fracture requires rigid fixation y. A severe soft-tissue injury will delay fracture healing
DIAGNOSING THE BONE INJURY y. Clinical assessment x. History x. Co-morbidities x. Exposure/systematic examination y“First-aid” reduction y. Splintage and analgesia y. Radiographs x. Two planes including joints above and below area of injury
TREATING THE FRACTURE I y. Does the fracture require reduction? x. Is it displaced? x. Does it need to be reduced? (e. g. clavicle, ribs, MT’s) y. How accurate a reduction do we need? xalignment without angulation (closed reduction - e. g. wrist) xanatomic (open reduction - e. g. adult forearm )
TREATING THE FRACTURE II z How are we going to hold the reduction? x. Semi-rigid (Plaster) x. Rigid (Internal fixation) y. What treatment plan will we follow? x. When can the patient load the injured limb? x. When can the patient be allowed to move the joints? x. How long will we have to immobilise the fracture for?
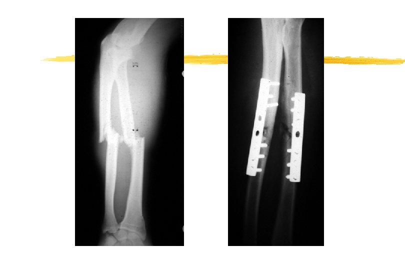
DIFFERENT TYPES OF RIGID FRACTURE FIXATION
TREATING THE FRACTURE III Operative Rehabilitation Risk of joint stiffness Risk of malunion Risk of non-union Speed of healing Risk of infection Cost Rapid Low Present Slow Present ? Non-optve Slow Present Rapid Low ?
INDICATIONS FOR OPERATIVE TREATMENT z General trend toward operative treatment last 30 yrs x. Improved implants and antibiotic prophylaxis, Use of closed and minimally invasive methods z Current absolute indications: x. Polytrauma Displaced intra-articular fractures x. Open #’s with vascular inj or compartment syn, Pathological #’s Non-unions z Current relative indications: x Loss of position with closed method, Poor functional result with nonanatomical reduction, Displaced fractures with poor blood supply, Economic and medical indications
WHEN IS THE FRACTURE HEALED? z Clinically Adult Child Upper limb 6 -8 weeks 3 -4 weeks y. Radiologically x. Bridging callus formation x. Remodelling y. Biomechanically Lower limb 12 -16 weeks 6 -8 weeks
REHABILITATION z Restoring the patient as close to pre-injury functional level as possible x. May not be possible with: • Severe fractures or other injuries • Frail, elderly patients y. Approach needs to be: x. Pragmatic with realistic targets x. Multidisciplinary • Physiotherapist, Occupational therapist, District nurse, GP, Social worker
COMPLICATIONS OF FRACTURES Early General Bone Soft-tissues Other injuries PE FES/ARDS Infection Late Chest infection UTI Bed sores Non-union Malunion AVN Plaster sores/WI Tendon rupture N/V injury Nerve compression Compartment syn. Volkmann contracture