Primer Diffzan disszeminlt pilocits asztrocitma rvid irodalmi ttekints



































- Slides: 35
(Primer) Diffúzan disszeminált pilocitás asztrocitóma: rövid irodalmi áttekintés és esetbemutatás DEOEC Idegsebészeti Klinika Mezey G. , Novák L. , Bognár L.
Pilocitás asztrocitóma ( PA ) • • WHO Gr. I. Lokalizáció Onkológiai kezelés Idegsebészet – klinikai megjelenés, prognózis • Az esetek egy kis részében multicentrikus megbetegedésként jelenhet meg
Multicentrikus PA Közvetlen kapcsolat nincs a tumorok, tumoros területek között: • Diffúzan disszeminált: – Leggyakrabban leptomeningeális – Ritkán subependymális – Felmerült a Virchow-Robin terek szerepe • Nodularis multicentrikus: – Multiplex genezis? Metasztatikus terjedés?
Multicentrikus PA - Malignus transzformáció? - A szövettani elemzések szerint PA multicentrikus, disszeminált eseteiben leggyakrabban nincs malignizálódás
Leptomeningeális glióma • Primer leptomeningeális glióma (általában magasabb grádus): gliomatózis - Primer szoliter leptomeningeális glióma - Primer diffúz leptomeningeális gliomatózis (magas grádus) • Leggyakrabban szekunder disszeminált gliomatózis
(Primer) diffúzan disszeminált pilocitás asztrocitóma • Ritka entitás • Általában megelőzi a szoliter góc • Vagy van kiindulási gócként azonosítható szoliter tumor, szinkron felfedezés • Irodalmi adatokban még a disszeminált forma is ritka (67) primer disszeminált (1)
Disszeminált PA • ~70 publikált eset, 64 feldolgozható • Incidencia 2 - 12%, szerzőtől függően • Habár agresszívabb formát várnánk, a PAra jellemző lassú növekedés a disszeminált formánál is fennáll • Szövettan mindig PA marad (követés időtartama? )
Túlélés, kezelés, adjuváns terápia • Sebészi kezelés • RT, Kemoterápia • Opitcus-chiasma-hypothalamus rosszabb prognózis • 3 -5 éves kor alatt rosszabb prognózis
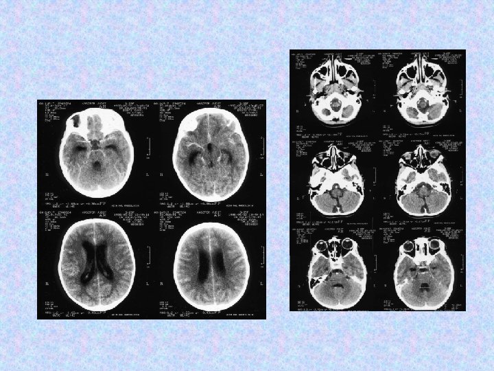
Esetismertetés K. J. • 1997. 04. született lány , 3. gyermek, normális perinatális fejlődés, terhelő szülői és autoanamnézis nélkül. • 1998. márciusában hyperpyrexiával, hányingerrel, hányással járó állapot miatt kezelték, dg. : napszúrás. • 1998. május elején fejfájás, gyakori hányás miatt indult kivizsgálása. • Az elkészült CT vizsgálat hydrocephalust igazolt, ICF jelei mellett.
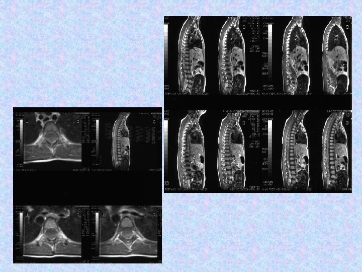
• MR vizsgálat készült liquorpassage zavar miatt. • MR vizsgálat meningeális kontraszthalmozást mutatott a bazális ciszterna, a cerebri media, a ciszterna magna területében. • Felmerült a meningitis basilaris gyanúja, amely nem igazolódott. • Liquor fehérje: 7, 05 g/l, glükóz: 5, 0 mmol/l, sejtszám 10/látótér. Baktérium nem tenyészett ki. Mikrobiológia, szerológia negatív. Citológia gyulladásos szedimentációt véleményezett. Tumor sejtek nem voltak láthatóak. • Spinalis MR thoracalis compressziót, meningeális szóródást mutatott.
• 1998. május 25. és 1998. június 25. között a beteget a Szent László Kórházban kezelték. Minden reggel hányt az ozmotikus terápia (mannitol) ellenére, csak acetazolamidra reagált. Azóta gyakorlatilag tünetmentes, hányásai, dührohamai megszűntek; agresszióját és konfúzióját korábban a liquor nyomás fluktuáci. A fent említett gyógyszerek dózisának csökkentésekor a tünetek visszatértek. • 1998. június 19 -én készült MRI a halmozó részek progresszióját mutatta. A hydrocephalus jeleinek és a klinikai kép progressziója miatt a beteg az OITI-ba került át.
• 1998. június 30 -án jobb oldali VP shunt került behelyezésre. Biopsziát későbbre terveztek. • 1998. július 20 -án készült CT beszűkült szupratentoriális kamrarendszert mutat. A shunt jó pozícióban helyezkedik el. • Az 1998. augusztusi MRI nem mutat progressziót sem a kraniális, sem a spinális folyamatokban. • Az 1998. december 7 -i MR felvétel progressziót mutat. Neurológiailag a betegnek kétoldali Babinski tünetei, élénk mélyízületi reflexei vannak, izomzata hypotoniás. Egyebekben negatív státusz. A shunt közepes nyomás mellett jól vezet.
• 1998. december 10 -én arachnoideális biopszia történt szuboccipitális kraniotómiából, ami meningeális gliomatózist igazolt alacsony proliferációs indexszel. Szövettanilag pilocitás asztrocitóma igazolódott. Komplikáció, neurológiai novum nem lépett fel. A disszemináció miatt sugárterápia javasoltak az egész koponyára és gerincre. • A gyermek kemoterápiában részesült 1999. februárjában és márciusában, a sugárterápiát 1999. júniusában és júliusában kapta. • A 2000. április 10 -i MR változatlan craniális és spinális állapotot mutat. Neurológiai novum nem alakult ki.
• 2000. december 4. !!! MRI majdnem teljes intracerebrális és teljes spinális regressziót mutat. !!!
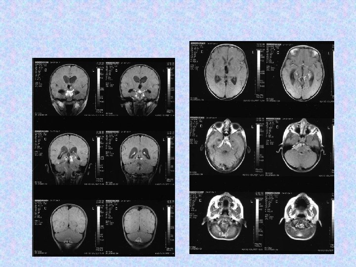
• 2002. július 10 -én koponya és teljes gerinc MRI felvétel történt. A koponya MRI felvételek összevetve a 2001. június 27 -i felvételekkel aszimmetrikus kamrarendszert mutattak, a bal kamra kitágulásával. A jobb kamra szűk, a shunt vége a frontális szarv dorzális részében helyezkedik el, jól működik. A harmadik kamra területén egy intenzíven halmozó terime látható, továbbá bal kamraszarvban bazálisan. A szubarachnoideális liquorterek megtartottak, kóros halmozás nem figyelhető meg. • A gerinc MR felvételen a kraniocervikális átmenetben, a nyúltvelő ventrális felszínén sáv alakú halmozást írtak le. Th. VII-VIII. , L. I-II. csigolyákban, a conus körül szolid halmozás figyelhető meg. Az alacsonyabb thoracalis szakaszokon lévő myelon felszínén és intradurálisan homogén halmozást írtak le. • A neuro-onkológiai konzílium nem javasolt további kemo- és radioterápiát.
• A 2002. decemberi MRI felvételeken további progresszió figyelhető meg, a harmadik kamra területén és a bal kamraszarvban tumor igazolódott. Műtétet javasoltak, a szülők nem egyeztek bele, alternatív kezelést választottak. • A 2003. májusi és októberi MRI kontroll felvételek a harmadik kamrai tumor progresszióját és következményes, aszimmetrikus hydrocephalust mutattak. Műtét történt. Nem volt újabb neurológiai eltérés státuszában.
• 2003. október 30 -án transzkallózális, transzventrikuláris feltárásból részleges rezekció történt a harmadik kamrai tumorból. Az opus után nem alakult ki neurológiai novum, a posztoperatív kontrol CT normális volt. A szövettan pilocitás asztrocitómát igazolt. A posztoperatív időszakban hypernatrémia és egyéb ioneltérések miatt obszerválták. Solu-Cortefet kellett indítani. Endokrinológiai kivizsgálása elindult.
• 2004 januárjától endokrinológiai kezelés alatt áll. Centrális hypothyreózisa és hypadréniája miatt thyroxin és kortizol szubsztitúciót kap. • A 2004. augusztusi és decemberi kontrol MRI további tumor progressziót mutatott a hátsó scala területén, újabb neurológiai jel nem alakult ki.
• A klinikai folyamat eseménytelen volt 2005. áprilisáig, ekkor újból jelentkeztek fejfájásai és reggeli hányásai. Enyhe cerebelláris tünetek is kialakultak. • 2005. április 7 -én szuboccipitális rekraniotómia történt. Makroszkóposan totális eltávolításra került a kisagy bal féltekei, a negyedik agykamrai, és a bal oldali pontocerebelláris tumor. Továbbá intraoperatívan tumor disszemináció látszott a szubarachnoideális térben. Szövettan pilocitás asztrocitóma.
• A 2006. szeptember 27 -i MRI összevetve a 2005. november 16 -i MRI-vel: a halmozás amorf formájú növekvő tumor masszát mutat mindkét frontális kamraszarvban. A kamrarendszer továbbra is tág. A caudalis durazsák halmozó tumor masszával kitöltött.
• A következő műtét 2006. októberében történt. Részleges eltávolítás, aqueductoplasica történt. Szövettan pilocitás asztrocitómát igazolt. • 2006. 12. 16 -án készült MR vizsgálat kiterjedt intraventriculáris, subarachnoideális, thoracolumbális halmozási többletekkel járó teljes neuraxist érintő disszeminációt ábrázolt.
• Progrediáló járászavar, bal oldali alsóvégtagi fájdalom miatt megismételt MR vizsgálat L. I. szintben igazolt myeloncompressiót okozó növekedést az egyebekben változatlan szóródás mellett. 2007. 01. 19 -i műtét során parciális eltávolítás történt, objektivizált teljes tumorszóródás mellett.
• Szövettan GBM-et igazolt… • A gyermek a tumor disszemináció következtében 2007. 11. 12 -én exitált.