PRESENTATION MATERIALS Basic Chest Radiology for the TB
PRESENTATION MATERIALS Basic Chest Radiology for the TB Clinician Adapted from the ISTC TB Training Modules 2009
Basic Radiology for the TB Clinician Objectives: At the end of this presentation, participants will be able to: § Analyze the technical quality of chest X-rays (CXRs) using simple parameters § Identify basic normal CXR anatomy on both frontal and lateral views § Recognize radiographic patterns of disease and describe using appropriate terminology § Describe both the typical and atypical patterns of radiographic presentation for pulmonary tuberculosis ISTC TB Training Modules 2009 2
Basic Radiology for the TB Clinician (2) Overview: § Technical aspects of chest radiography § Systematic approach to reading CXR § Basic CXR anatomy § Patterns of disease § Radiographic manifestations of tuberculosis (TB) ISTC TB Training Modules 2009 3
Chest Radiography: Basic Principles § X-ray photon: Absorbed / scattered / transmitted § X-ray absorption depends on: • Beam energy (constant) • Tissue density Maximum X-Ray Transmission (least dense tissue) Maximum X-Ray Absorption (densest tissue) ISTC TB Training Modules 2009 Blackest air fat soft tissue calcium bone X-ray contrast metal Whitest 4
Differential X-Ray Absorption Why we see what we see: § Structures are visible on a radiograph because of the juxtaposition of two different densities creating an interface § Silhouette Sign Loss of an expected interface No boundary can be seen between two structures because they now are similar in density Image Tuberculosis Center, University of California, San Francisco ISTC TBcredit: Training Curry Modules. International 2009 5
Silhouette. Sign: RLL Pneumonia Silhouette Pneumonia Image Tuberculosis Center, University of California, San Francisco ISTC TBcredit: Training Curry Modules. International 2009 6
Silhouette. Sign: RLL Pneumonia Silhouette Pneumonia Image Tuberculosis Center, University of California, San Francisco ISTC TBcredit: Training Curry Modules. International 2009 6
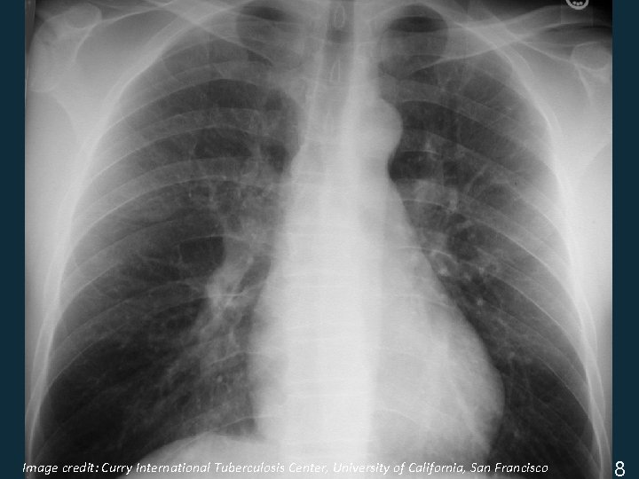
Assess CXR Technical Quality § Inspiratory effort • 9 -10 posterior ribs § Penetration • thoracic intervertebral disc space just visible § Positioning / rotation • medial clavicle heads equidistant from spinous process ISTC TB Training Modules 2009 7
Image credit: Curry International Tuberculosis Center, University of California, San Francisco ISTC TB Training Modules 2009 8
1 2 3 4 5 6 7 8 9 10 Image credit: Curry International Tuberculosis Center, University of California, San Francisco ISTC TB Training Modules 2009 8
1 2 3 4 5 6 7 8 9 10 Image credit: Curry International Tuberculosis Center, University of California, San Francisco ISTC TB Training Modules 2009 8
1 2 3 4 5 6 7 8 9 10 Image credit: Curry International Tuberculosis Center, University of California, San Francisco ISTC TB Training Modules 2009 8
Inspiratory Effort Low Lung Volumes Full Inspiration Image Tuberculosis Center, University of California, San Francisco ISTC TBcredit: Training Curry Modules. International 2009 9
Exposure Overexposure Proper Exposure Image credit: Curry International Tuberculosis Center, University of California, San Francisco ISTC TB Training Modules 2009 10
Overexposure Proper Exposure Image Tuberculosis Center, University of California, San Francisco ISTC TBcredit: Training Curry Modules. International 2009 11
Rotated (Oblique) Image credit: Curry International Tuberculosis Center, University of California, San Francisco ISTC TB Training Modules 2009 12
Basic Radiology for the TB Clinician A systematic approach to reading a CXR Image Lung Health Image Library/Gary Hampton ISTC TBCredit: Training Modules 2009 13
Approach to Reading a CXR Be Systematic § Lungs § Pleural surfaces § Cardiomediastinal contours § Bones and soft tissues § Abdomen Image credit: Curry International Tuberculosis Center, University of California, San Francisco ISTC TB Training Modules 2009 14
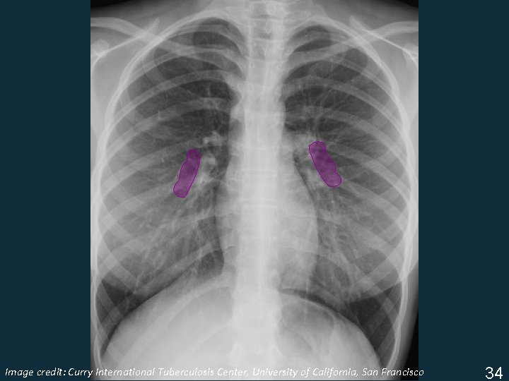
Worth a Second Look § § Apices Retrocardiac areas (left and right) Hilar regions Below diaphragm ISTC TB Training Modules 2009 15
Apical TB Image Tuberculosis Center, University of California, San Francisco ISTC TBcredit: Training Curry Modules. International 2009 16
Apical TB (2) Image Tuberculosis Center, University of California, San Francisco ISTC TBcredit: Training Curry Modules. International 2009 17
Left Retrocardiac Opacity Image Tuberculosis Center, University of California, San Francisco ISTC TBcredit: Training Curry Modules. International 2009 18
Nodule Behind Diaphragm Image Tuberculosis Center, University of California, San Francisco ISTC TBcredit: Training Curry Modules. International 2009 19
Basic Radiology for the TB Clinician Basic CXR Anatomy Image Tuberculosis Center, University of California, San Francisco ISTC TBcredit: Training Curry Modules. International 2009 20
Basic CXR Anatomy Frontal and Lateral Views § Heart § Aorta § Pulmonary arteries § Airways Image Credit: Lung Health Image Library/Pierre Virot ISTC TB Training Modules 2009 21
Image Tuberculosis Center, University of California, San Francisco ISTC TBcredit: Training Curry Modules. International 2009 22
§ Aortic arch § Right pulmonary artery § Left pulmonary artery § Trachea & bronchi Image Tuberculosis Center, University of California, San Francisco ISTC TBcredit: Training Curry Modules. International 2009 23
§ Aortic arch Image Tuberculosis Center, University of California, San Francisco ISTC TBcredit: Training Curry Modules. International 2009 23
§ Aortic arch § Right pulmonary artery Image Tuberculosis Center, University of California, San Francisco ISTC TBcredit: Training Curry Modules. International 2009 23
§ Aortic arch § Right pulmonary artery § Left pulmonary artery Image Tuberculosis Center, University of California, San Francisco ISTC TBcredit: Training Curry Modules. International 2009 23
§ Aortic arch § Right pulmonary artery § Left pulmonary artery § Trachea & bronchi Image Tuberculosis Center, University of California, San Francisco ISTC TBcredit: Training Curry Modules. International 2009 23
Basic Radiology for the TB Clinician Patterns of disease ISTC TB Training Modules 2009 24
Chest Radiographic Patterns of Disease § § § Consolidation / air-space opacity Interstitial opacity Nodules and masses Lymphadenopathy Cysts and cavities Pleural abnormalities ISTC TB Training Modules 2009 25
Consolidation / Air-Space Opacity § Caused by filling of alveoli with fluid, pus, blood, cells (tumor), etc. § May be diffuse, or isolated to segments or lobes of the lung § May be associated with air bronchograms (air -filled bronchus surrounded by opacified lung) ISTC TB Training Modules 2009 26
Pneumonia Image Tuberculosis Center, University of California, San Francisco ISTC TBcredit: Training Curry Modules. International 2009 27
Interstitial Opacity § Disease localized to pulmonary interstitium, i. e. , the alveolar septae and connective tissues that support the alveoli § Hallmarks: • Lines and/or reticulation • Small, well-defined nodules § Miliary pattern § DDX: Pulmonary edema, interstitial lung diseases (e. g. , idiopathic pulmonary fibrosis), sarcoidosis, infection, tumor (lymphangitic spread), etc. ISTC TB Training Modules 2009 28
Interstitial Opacity: Lines Image credit: Curry International Tuberculosis Center, University of California, San Francisco ISTC TB Training Modules 2009 29
Interstitial Opacity: Lines Image Tuberculosis Center, University of California, San Francisco ISTC TBcredit: Training Curry Modules. International 2009 29
Interstitial Opacity: Lines & Reticulation Image Tuberculosis Center, University of California, San Francisco ISTC TBcredit: Training Curry Modules. International 2009 30
Nodules and Masses § Nodule: discrete pulmonary lesion, sharply defined, nearly circular opacity 0. 2 - 3 cm § Mass: larger than 3 cm § Describe with qualifiers: • Single or multiple • Size • Border characteristics • Presence or absence of calcification • Location ISTC TB Training Modules 2009 31
Well-Defined Calcification Ill-Defined Mass Image Tuberculosis Center, University of California, San Francisco ISTC TBcredit: Training Curry Modules. International 2009 32
Lymphadenopathy (LAN) § Non-specific terms: • Mediastinal widening • Hilar prominence § Specific patterns: • Particular station enlargement (location) Important to know what “normal” should look like in order to recognize “abnormal” ISTC TB Training Modules 2009 33
Image Tuberculosis Center, University of California, San Francisco ISTC TBcredit: Training Curry Modules. International 2009 34
Image Tuberculosis Center, University of California, San Francisco ISTC TBcredit: Training Curry Modules. International 2009 34
Image Tuberculosis Center, University of California, San Francisco ISTC TBcredit: Training Curry Modules. International 2009 34
Image Tuberculosis Center, University of California, San Francisco ISTC TBcredit: Training Curry Modules. International 2009 34
Image Tuberculosis Center, University of California, San Francisco ISTC TBcredit: Training Curry Modules. International 2009 34
Lymphadenopathy § Infrahilar window (right hilar and/or subcarinal) § Left hilar § Subcarinal Image Tuberculosis Center, University of California, San Francisco ISTC TBcredit: Training Curry Modules. International 2009 35
Lymphadenopathy § Infrahilar window (right hilar and/or subcarinal) Image Tuberculosis Center, University of California, San Francisco ISTC TBcredit: Training Curry Modules. International 2009 35
Lymphadenopathy § Left hilar Image Tuberculosis Center, University of California, San Francisco ISTC TBcredit: Training Curry Modules. International 2009 35
Lymphadenopathy § Subcarinal Image Tuberculosis Center, University of California, San Francisco ISTC TBcredit: Training Curry Modules. International 2009 35
Right Paratracheal & Bilateral LAN Image Tuberculosis Center, University of California, San Francisco ISTC TBcredit: Training Curry Modules. International 2009 36
Right Hilar LAN Image Tuberculosis Center, University of California, San Francisco ISTC TBcredit: Training Curry Modules. International 2009 37
Right Hilar LAN Image Tuberculosis Center, University of California, San Francisco ISTC TBcredit: Training Curry Modules. International 2009 38
Subcarinal LAN * Image Tuberculosis Center, University of California, San Francisco ISTC TBcredit: Training Curry Modules. International 2009 39
AP Window LAN Image Tuberculosis Center, University of California, San Francisco ISTC TBcredit: Training Curry Modules. International 2009 40
Cysts & Cavities § Abnormal pulmonary parenchymal spaces (“holes”), filled with air and/or fluid, with a definable wall (>1 mm) • Cyst: congenital or acquired • Cavity: caused by tissue necrosis, (inflammatory and/or neoplastic) § Characterize: • Wall thickness at thickest portion • Inner lining • Presence / absence of air / fluid level • Number and location ISTC TB Training Modules 2009 41
TB or Not TB? Cysts and Cavities Are there radiographic features that suggest benign vs. malignant diagnoses? “ 45 year old man from China with cough, weight loss” A C B D Image Tuberculosis Center, University of California, San Francisco ISTC TBcredit: Training Curry Modules. International 2009 42
TB or Not TB? Cysts and Cavities (2) Are there radiographic features that suggest benign vs. malignant diagnoses? § Benign cysts: uniform wall thickness, 1 mm, smooth inner lining (e. g. , PCP) § Benign cavities: max. wall thickness 4 mm, minimally irregular inner lining (e. g. , TB) § Malignant cavities: max. wall thickness 16 mm, irregular inner lining ISTC TB Training Modules 2009 43
Pleural Disease: Basic Patterns § Effusion • Angle blunting to massive § Thickening § Mass § Air § Calcification ISTC TB Training Modules 2009 44
Pleural Effusion ISTC TB Training Modules 2009 45
Post-TB Pleural Calcification ISTC TB Training Modules 2009 46
Plombage with Lucite balls ISTC TB Training Modules 2009 47
Basic Radiology for the TB Clinician Radiographic Manifestations of TB ISTC TB Training Modules 2009 48
Can this be TB? “Typical Pattern”: Post-primary TB § Distribution • Apical / posterior segments of upper lobes • Superior segments of lower lobes • Isolated anterior segment involvement unusual for M. tb (think M. avium complex) ISTC TB Training Modules 2009 49
“Typical pattern”: Post-Primary TB Patterns of disease • • Air-space consolidation Cavitation, cavitary nodule Endobronchial spread Miliary Bronchostenosis Tuberculoma Pleural effusions (empyema most likely in post-primary disease) ISTC TB Training Modules 2009 50
Can this be TB? “Atypical pattern”: Primary TB § Distribution : any lobe involved (slight lower lobe predominance) § Air-space consolidation § Cavitation is uncommon (<10%) § Adenopathy is common (esp. children and HIV), predilection for right side § Miliary pattern § Pleural effusions ISTC TB Training Modules 2009 51
Can this be TB? Miliary TB ISTC TB Training Modules 2009 52
Radiographic Patterns: Pulmonary TB “Typical” (Post-Primary) “Atypical” (Primary) Infiltrate 85% upper Upper : Lower 60 : 40 Usually upper in children Cavitation Common Uncommon Adenopathy Uncommon Children common Adults ~30% Unilateral > bilateral Effusion May be present TB Pattern ISTC TB Training Modules 2009 53
CXR Pattern: Early vs. Advanced HIV Early HIV Advanced HIV Pattern “Typical” (Post-primary) “Atypical” (Primary) Infiltrate Upper lobes Lower lobes, multiple sites, or miliary Cavitation Common Uncommon Adenopathy Uncommon Common Effusion Uncommon More common (CD 4>200) ISTC TB Training Modules 2009 (CD 4<200) 54
Can this be TB? “Old / Healed” TB § Ca++ granuloma–Ghon lesion § Ca++ granuloma and hilar node calcification–Ranke complex § Apical pleural thickening § Fibrosis and volume loss ISTC TB Training Modules 2009 55
Basic Radiology for the TB Clinician Summary: § Remember: Technical quality can significantly impact your CXR interpretation § Develop a systematic approach (and use it every time!) § Practice identifying normal CXR anatomy § Important to characterize and describe lesions—this can help with your differential diagnosis § Whether typical or atypical TB can always fool you! ISTC TB Training Modules 2009 56
- Slides: 72