PRESENTACIN DE CASO Dr Mauricio Borda Hospital Peditrico
PRESENTACIÓN DE CASO Dr. Mauricio Borda �Hospital Pediátrico Juan Pablo II �Corrientes Capital
PRESENTACIÓN �Paciente de 5 meses de edad derivado del interior de Corrientes, donde estuvo internado con diagnóstico de sepsis pulmonar, cuadro abdominal suboclusivo más intoxicación folclórica. Ingresando a nuestro hospital por descompensación respiratoria. �AP: interrogatorio de mala valoración, embarazo no controlado. RNT/PAEG, G: 13 A: 3 P: 10. Niño no inmunizado. �A. F. : niega de importancia
Rx de ingreso 14/2/ 08
Diagnósticos de ingreso: �Sepsis secundaria a foco pulmonar �Sindrome Anémico �Trastornos metabólicos (alcalosis metabólica sin alcalemia, hipokalemia, hipocalcemia) �Desnutrición II Grado �Alto Riesgo Social �TRATAMIENTO: �Medidas de sostén general �Piperacilinatazobactam /Vancomicina/Fluconazol �Oxígeno
� A los 12 días de su ingreso (26/2/08) por insuficiencia respiratoria pasa a UTI, permaneciendo por 8 días con requerimiento de ARM por 3 días. Rx 26/2
�Cultivos negativos �Virológico de ANF (-) �Evaluación cardiovascular sin alteraciones �Persiste con alcalosis metabólicat e hipokalemia por lo que sospecha tubulopatía. � 2 Tests del sudor normales ( 21 y 13 meq/l de Cl-)
�Estudio genético cariotipo normal �Esteatocrito 5% �Baciloscopía negativa. PPD 0, 5 mm �A los 46 días de internación informe de ANF: St. Aureus y Ps Aeruginosa �Serología: HIV, Chagas, Toxo, VDRL negativas.
�Dado que presentaba patología pulmonar crónica y trastornos metabólicos junto con registros reiterados de Hipertensión Arterial ante la posibilidad de Hiperaldosteronismo y se decide derivación al Hospital Garrahan para completar estudios. � En dicho hospital nefrología lo asume como HTA por corticoterapia prolongada; pero se extiende su internación a 6 meses ya que presentó infección respiratoria a VSR y Adenovirus intranosocomial, siendo externado con diagnóstico de EPOCPostviral, con requerimientos de O 2 domiciliario.
�. Rx del 27/08/08 Htal. Garrahan
�Se completan estudios inmunológicos durante su internación en el Garrahan junto con estudio para descartar Sindrome de cilias inmóviles. �Regresa de Buenos Aires el 15/9/08 para tramitar O 2 domiciliario y derivación a su localidad (Paso de los Libres). �Clínicamente estable, regular suficiencia cardiorespiratoria, con crisis de obstrucción bronquial frecuentes y requerimientos de 0, 5 a 1 l/m de O 2 para mantener sat > a 95%.
�Empieza con picos febriles y desmejoría clinica, y radiológica por lo que se medica como infección intrahospitalaria (Pipertazo / Amika ) �Rx 30/09/08
�Cumple 14 días de ATB totales y regresa a su domicilio Rx del 6/10/08 (Alta)
Control por Cons. Externo (Nov/08) � Edad: un año y un mes de vida. P: 8. 900 Satura 92 -93% aire ambiente. Normotenso. Sin signos de EPC. Buena entrada bilateral de aire. � Medicación preventiva y O 2 complementario (en espera del domiciliario continúa internado en hospital local). �Rx del 9 /12/08 17 /12/08
Cons. Externo � Marzo/ 09: concentrador de O 2 domiciliario. Evolución: FR 75´ Peso y Talla < P 3 Sat 87% aa � Abril /09: consulta febril, mayor dificultad respiratorioa e insaturación. � Rx 14/4 /09 16/4/ 09
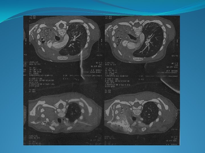
TAC DE MAYO 09
TAC DE MAYO 09
Informe de la Tac: �Algunos septos engrosados �Infiltrado en ambas bases con broncograma aéreo. �Vías aéreas permeables �Mediastino sin adenomegalias �Resto s/p
�Agosto / 10: no venía a control desde mayo /09. Consulta con estas Rx. �Dado el colapso del hemitórax derecho se decide realiza endoscopía respiratoria.
Se realizan 2 endoscopías: Abundante cantidad de secreciones verdosas; bronquio fuente desviado con latido sobre sus paredes. No se logra la expansión. TAC 09/ 2010 (post FB)
Informe de la Tac: �Colapso total del pulmón derecho, con broncograma aéreo, con bronquiectasias quísticas distribuídas en forma irregular en todo el parénquima. Ligera dilatación en las paredes bronquiales y de los bronquios fuentes que probablemente se deba a inflamación. �Pulmón izquierdo sin alteraciones.
Control posterior (Agosto/11) �Edad actual: 3 años de edad, según el relato materno “andaba bien” estos 11 meses que no vino a control. �Hipocratismo digital sin cianosis, taquipneico, satura 95% sin O 2 (usaba el O 2 nocturno). Tos productiva. Broncofonía en todo el HT derecho.
TAC volumétrica �Se logra teñir las estructuras cardiovasculares y vasos no detectándose alteraciones. �Mediastino desviado a la derecha por importante pérdida de volumen de ese lado. �Aorta y arteria pulmonar no presentan alteraciones. �Pérdida completa de volumen del pulmón derecho (colapso total) con múltiples bronquiectasias quística, con fenómenos fibróticos. �Pulmón izquierdo hiperinsuflado con infiltrado alvélo intersticial con incipientes signos de condensación en lóbulo inferior de probable origen infeccioso
�Situación Actual: En este caso los hallazgos de la Rx de tórax y de la tomografía computarizada, sugieren un pulmón destruido, con atelectasia fibrosa y bronquiectasias � Si bien se planteó neumonectomía como tratamiento. No vino a control desde el 2011, citado por Servicio Social.
PLANTEOS �Si bien el niño presentó una ínfección respiratoria severa antes del año de vida, la misma curó “ad integrum” (clínica y radiológicamente). �Asumimos que la infección intrahospitalaria severa a VSR y Adenovirus, durante la internación prolongada en el Garrahan fue el orígen de su EBPC. �Estimamos que a pesar de que estaba estable cuando regresó a su domicilio, el cuidado incierto y probablemente la falta de kinesiología adecuada provocó atelectasia progresiva masiva y sin reexpansión, aún con 2 fibrobroncoscopías.
Enfermedad Pulmonar Crónica post viral- Definición: �Si bien hay una amplia gama de presentación se podría sintetizar en: 1. Ausencia de enfermedad respiratoria perinatal 2. Período libre de síntomas entre el nacimiento y la agresión viral, en donde el paciente crece y madura adecuadamente. 3. Injuria viral. 4. Exámenes complementarios patológicos (Rx, TAC de tórax, Centellograma y Funcional respiratorio). 5. Exclusión de otras enfermedades pulmonares crónicas
Etiopatogenia De la interacción huésped y agente viral pueden aparecer tres cuadros clínicos: * Infección Respiratoria Aguda, con recuperación completa clínica y funcional superada la reparación histológica. * Hiperreactividad Bronquial Transitoria: hasta meses después del episodio inicial * Enfermedad Pulmonar Crónica Posviral: como consecuencia de daño pulmonar severo a todos los tejidos del pulmón.
�Agente viral: la mayoría de los virus respiratorios pueden agredir severamente el árbol respiratorio (VSR, Parainfluenza, Influenza), aunque el Adenovirus es el que con mayor frecuencia ha sido relacionado con ésta enfermedad, particularmente el 7 h, responsable de brotes epidémicos tanto en Chile como Argentina. Otros serotipos como el 3, 5 y 21 también pueden dar casos de EBPC. �Factores del huésped: el serotipo, la respuesta inmunológica, predisposición genética y factores medioambientales podrían determinar una susceptibilidad mayor en algunos niños para presentar formas graves de infección.
CLÍNICA: Dependiendo del grado de agresión, la evolución y pronósticos son diferentes: desde el leve que deja rápidamente el oxígeno, hasta de más severidad que sufrió un daño histológico extenso, que repara con secuelas importantes. Este último grupo tiene alta morbilidad y reagudizaciones frecuentes. La agresión viral se presenta como una bronquiolitis o una neumonía, pero la persistencia de la clínica más allá de las dos semanas debe hacer pensar en una secuela o diagnósticos diferenciales.
�Dificultad respiratoria obstructiva persistente �Requerimiento de oxígeno complementario �Radiografía patológica
TRATAMIENTO �Individualizado y multidisciplinario �Corregir la hipoxemia y prevenir la HTP �Apoyo nutricional �Inmunizaciones completas (antineumocócica y antigripal) �Kinesiología adecuada �Educación al paciente y la familia
BIBLIOGRAFIA �Enfermedades pulmonar crónica posviral, A. Colom y A. Maffey, Enfermedades Respiratorias Pediátricas, Buenos Aires, 393 -399, 2003 �Murtagh P. , Cerqueiro MC, Halac A. Adenovirus type 7 h respiratoy infections. Acta Paediatr 1993; 82: 557 -61 �Adenovirus. Libro Azul de Infectología pediátrica, 2° ed. Bs As. , 2001 p. 295 -9 �Teper A, Kofman C, Maffey A. et al. Lung function in infants with chronic pulmonary diseases after severe adenoviral illnes. J. Pediatric 1999; 134: 730 -3
- Slides: 33