Ppad 8 MUDr Andrea Minichov MN Ostrava daje





















- Slides: 21
Případ č. 8 MUDr. Andrea Minichová MN Ostrava
Údaje na průvodce • 23 -letý muž s hmatnou tuhou rezistencí na horním pólu levého varlete • dle USG nehomogenní ložisko velikosti 15 x 17 mm • onkomarkery v normě • pacient indikován k radikální orchiektomii vlevo
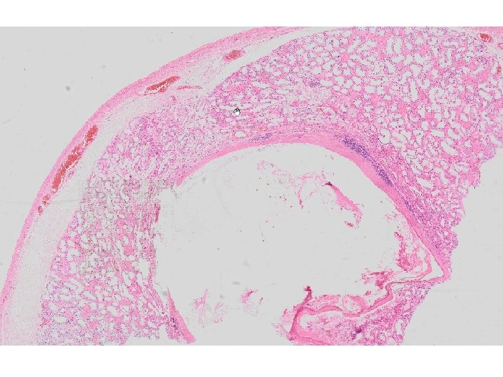
Makroskopické vyšetření • dodán materiál RAOE l. sin. • varle velikosti 48 x 27 mm • v horním pólu ohraničené bělavobéžové ložisko velikosti 18 x 16 x 15 mm, tvořené fokálně se oddrolujícími béžovými poloměkkými hmotami • ložisko bylo zablokováno celé
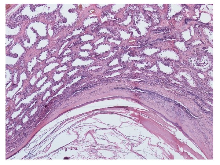
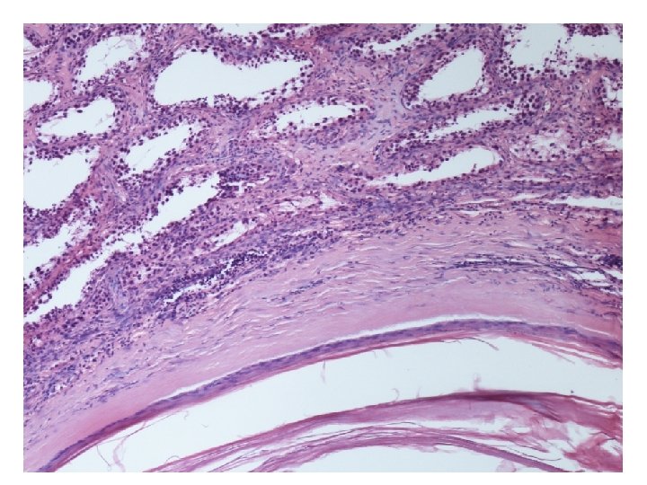
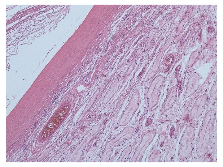
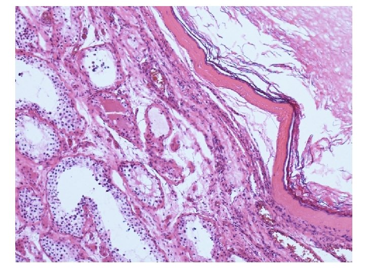
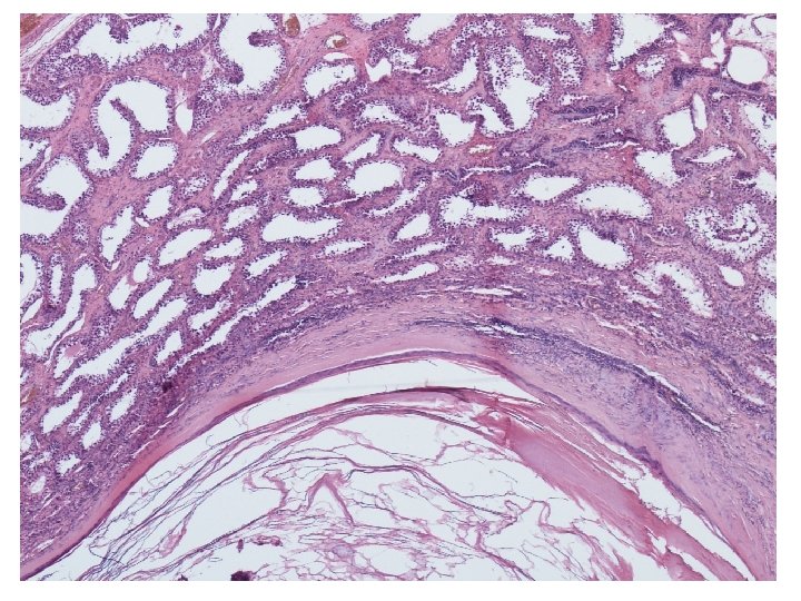
Mikroskopické vyšetření • tkáň varlete se stěnou cysty tvořenou různě silným hyalinizovaným vazivem s různě intenzivní kulatobuněčnou zánětlivou celulizací, která je ložiskově vystlaná zachovalým rohovějícím vrstevnatým dlaždicovým epitelem • v lumen cystického útvaru keratinové hmoty • v okolí cystického útvaru atrofické a hyalinizované semenotvorné kanálky
• případ byl pro podezření na ložiskovou přítomnost GCNIS zaslán ke konzultaci do Bioptické laboratoře Plzeň • screeningový marker GCNIS OCT 3/4 byl kompletně negativní • GCNIS nebyla prokázána
teratom prepubertálního typu (nezávislý na intratubulární germinální neoplázii), tzv. epidermální cysta
Diferenciální diagnostika • zralý monodermální teratom s přítomností GCNIS v okolních semenotvorných kanálcích (tzv. teratom postpubertálního typu) • smíšený germinální tumor • dermoidní cysta
Teratom varlete • u mužů po pubertě v tzv. čisté formě vzácný – tvoří 2, 7 – 7% germinálních testikulárních nádoru tohoto věku • naproti tomu ve smíšené formě tvoří 47 -50% germinálních testikulárních tumorů • biologické chování se zásadně liší dle věku pacienta a přítomnosti/nepřítomnosti GCNIS v okolí: U dětí jsou všeobecně považovány za nádory s benigním klinickým a biologickým chováním. Jsou většinou diploidní bez cytogenetických či molekulárně genetických aberací.
Teratom varlete U postpubertálních mužů a dospívajících lze teratom rozdělit do dvou typů dle přítomnosti/nepřítomnosti GCNIS a souvisejících změn: • „teratom postpubertálního typu“ – v okolí přítomna GCNIS, tzv. maligní teratom • „teratom prepubertálního typu“ – GCNIS v okolních kanálcích chybí, tzv. benigní teratom
Teratomy postpubertálního typu se mohou klinicky prezentovat jako maligní nádor, mohou metastazovat i tzv. čisté zralé teratomy (po pubertě metastazuje 22 -37% teratomů bez ohledu na zralost) • bývají aneuploidní Teratomy prepubertálního typu, včetně epidermoidní cysty, se mohou vyskytovat v jakémkoliv věku. • obvykle nerecidivují a nemetastazují
Terapie • U dětí benigní chování teratomů dovoluje záchovnou operaci – TSS (testis sparing surgery) • U pubertálních kluků a postpubertálních mužů je k teratomům nutno přistupovat jako k potenciálně maligním - indikována je radikální orchiektomie; léčba se řídí standardními postupy pro germinální tumory varlat
Použitá literatura • Abrahámová et al. : Nádory varlat. 1. vydání, Praha: Grada publishing, 2008. • Hes et al. : Nádory varlat. 1. vydání, Plzeň: Euroverlag Plzeň, 2007. • Moch et al. : WHO Classification of tumours of the urinary system and male genital organs. 4. vydání, Lyon, 2016 • www. linkos. cz • www. urologiepropraxi. cz
Děkuji za pozornost!